На вопросы отвечает Пнджоян А.А., кардиохирург по врожденным порокам сердца
— Артавазд Артурович, что такое функционирующее овальное окно (ФОО) или открытое овальное окно?
Пнджоян А.А.: Функционирующее овальное окно представляет собой отверстие в перегородке, которое отделяет две верхние камеры сердца (предсердия). Открытое овальное окно обязательный компонент во время внутриутробного кровообращения плода, но после рождения необходимости в его работе нет, так как перестраивается все кровообращение ребенка за счет появления функции дыхания. Вскоре после рождения рост тканей перегородки приводит к полному его закрытию, обычно к первому году жизни. Но около 25-30 процентов людей отверстие остается открытым, в результате чего появляется функционирующее овальное окно. При этом данное состояние не является пороком сердца. Многие люди имеют функционирующее овальное окно и никогда не знают об этом. ФОО аналогичен по положению с центральным дефектом межпредсердной перегородки (ДМПП), но он меньше и редко вызывает проблемы самостоятельно.
— Каковы симптомы функционирующего овального окна?
Пнджоян А.А.: У большинства детей нет симптомов при изолированном функционирующем овальном окне. В редких случаях у ребенка с ФОО может появляться голубоватый тон кожи (цианоз) при напряжении или плаче. В некоторых исследованиях также были выявлены связи наличия ФОО и повышенным риском головных болей, мигрени и криптогенного инсульта (инсульт без какой-либо известной причины).
— Причины сохранения открытым овального окна после рождения?
Пнджоян А.А.:Точных данных нет, почему овальное окно не закрывается у некоторых людей, но считается, что роль наследственности и генетики может сыграть основную роль.
— Требуется ли наблюдение, лечение пациентов с ФОО?
Пнджоян А.
А.: Маловероятно, что вашему ребенку понадобится хирургическое лечение при изолированном ФОО, кроме очень редких специфических случаев. Медикаментозной терапии, направленной на закрытие открытого овального окна, не существует. Дети с данным состоянием обычно не требуют динамического наблюдения.
Открытое овальное отверстие (ООО) | Детский медицинский центр «До 16-ти»
Открытое овальное отверстие (ООО) — это малая аномалия сердца, характеризующаяся частичным или полным сохранением естественного внутриутробного межпредсердного сообщения в результате постнатального незаращения левопредсердной клапанной заслонки сердца.
Овальное отверстие находится в центральной части межпредсердной перегородки в области овальной ямки и со стороны левого предсердия имеет клапанную заслонку, открывающуюся в сторону левого предсердия. У плода через данное отверстие обеспечивается кровоснабжение прежде всего верхней половины туловища, необходимое для быстрого развития головного мозга.
После рождения, с первым вдохом ребенка и началом функционирования легочного круга кровообращения, необходимость в данной коммуникации отпадает. Овальное отверстие перестает функционировать в ближайшие 3-5 часов после рождения, поскольку увеличенное давление со стороны левого предсердия закрывают клапан, а через 2-12 месяцев происходит полная облитерация за счет срастания краев заслонки клапана и овального отверстия. О незаращении овального отверстия как об отклонении от нормы следует говорить после 1 года жизни ребенка.
В большинстве случаев размеры овального отверстия не превышают 5 мм, при превышении данных размеров иногда ООО гемодинамически и клинически не отличается от вторичного дефекта межпредсердной перегородки. Принципиальное анатомическое различие между ООО и дефектом межпредсердной перегородки заключается в том, что при ДМПП имеется органический дефект — отсутствие большей или меньшей части межпредсердной перегородки, в том время как при ООО имеется незаращение предсердной заслонки .
Функциональные же различия очень условны и определяются диаметром отверстия, величиной сброса крови и направлением шунта.
Незаращению овального отверстия может способствовать ряд состояний или заболеваний, сопровождающихся повышением давления в правых отделах сердца (легочная гипертензия, гипоксия плода хроническая, острая гипоксия в родах).
Клинические проявления ООО зависят от величины овального отверстия, направления сброса крови и сопутствующих заболеваний. При малых размерах отверстия — до 5 мм — малая гемодинамическая значимость дефекта, в этой ситуации ООО чаще всего выявляется при ЭхОДКГ исследовании. При величине отверстия, превышающей 5-7 мм, ООО становится гемодинамическим аналогом вторичного ДМПП и требует более интенсивного наблюдения с целью решения вопроса о сроках и способе коррекции порока.
У новорожденных на фоне беспокойства, плача, крика, натуживания, дефекации может появляться цианоз носогубного треугольника. У детей старшего возраста может выявляться снижение толерантности к физической нагрузке, дыхательный дискомфорт, бледность и умеренный периоральный цианоз при выполнении физических нагрузок.
Течение данной патологии как правило благоприятное,при этом существует ряд особенностей
при первичном выявлении ООО в возрасте до 1 года ребенок нуждается в динамическом наблюдении — контроль размеров ООО на аппарате экспертного класса и консультация кардиолога в момент обнаружения и в 1 год, ЭКГ и далее 1 раз в год
при выявлении ООО у детей старше 1 года тактика наблюдения зависит от размеров дефекта, наличия сброса крови, сопутствующей патологии. В любом случае динамическое наблюдение кардиолога и решение вопроса о необходимости консультации кардиохирурга.
гемодинамически незначимое ООО не является противопоказанием для занятий спортом, но не рекомендуются силовые виды спорта с изометрическими упражнениями, задержкой дыхания.
все дети с дефектами в перегородках сердца рассматриваются как потенциальная группа риска по инфекционному эндокардиту.
Ежегодный осмотр ЛОР врача и осмотр стоматолога не реже 1 раз а в 6 мес. является обязательными. Традиционной является также антибактериальная терапия при санации гнойных очагов, длительной лихорадке.
в настоящее время имеет место использование аппаратов ЭХОДКГ с различной разрешающей способностью. С учетом сложности УЗ — локации данной патологии у детей раннего возраста, анатомическим особенностями данного отдела сердца рекомендуется обследование детей с ООО на аппаратах экспертного класса. Хочется отметить, что иногда имеет место «персистирование» ООО, особенного у детей в возрасте 1-3 года, что заключается в периодическом обнаружении сброса крови через ООО. В данном случае мы рекомендуем последовательное трехкратное (1 раз в год) обследование на аппарате экспертного класса. В том случае, если по ЭХОДКГ не находят признаки функционирования ООО в течение 3 последовательных обследований можно говорить, что ООО окончательно закрылось.
к.
м.н., врач кардиолог высшей категории Демдоуми Нелли Юрьевна
Открытое овальное окно у ребенка, новорожденных, взрослого. размеры в норме
Открытое овальное окно в сердце у новорожденного – вариант нормы. Для чего оно нужно? Кровообращение у плода запускается к началу второго триместра беременности. Как и у взрослого, сердце у малыша имеет четыре камеры:
- На третьей неделе внутриутробного развития уже имеется стенка, разделяющая предсердия – первичная межпредсердная перегородка (МПП) с широким отверстием.
- На пятой неделе беременности оно зарастает, но появляется новое – вторичное (напротив которого образуется овальное окошко в сердце у ребенка), а справа от первичной перегородки формируется ещё одна стенка.
- К концу седьмой недели первичная МПП превращается в клапан, прикрывающий овальное окно.
Плод не дышит, а его «пунктом газообмена» является плацента, следовательно, организму малый круг кровообращения не нужен. Вместо этого у него есть:
- артериальный проток – сосуд, соединяющий аорту с легочной артерией;
- овальное окно – отверстие между желудочками.

Будущий ребенок получает насыщенную кислородом кровь из материнской плаценты, откуда она по двум пупочным артериям течет в нижнюю полую вену. Туда же поступает и венозная кровь из внутренних органов малыша. Эта смешанная кровь (артериальная – матери и венозная – плода) вливается в правую половину сердца.
Окно между предсердиями необходимо для максимального попадания крови в левые отделы сердца, а затем – в аорту. Оставшейся части крови в правом предсердии достаточно для оксигенации ткани легких.
Как включается малый круг кровообращения
С первым криком, когда насыщенная кислородом артериальная кровь матери перестает поступать, у новорожденного повышается концентрация углекислого газа.
Рецепторы сосудов «подают сигнал» о гипоксемии в дыхательный центр головного мозга. Оттуда импульс идёт к скелетной мускулатуре ребер, под действием которого та расширяется.
Давление внутри грудной полости снижается, и в легкие устремляется поток воздуха, тем самым расправляя их.![]()
В момент первого вдоха:
- Значительно увеличивается давление внутри левого предсердия.
- Происходит прижатие клапана к овальному окну.
- Перекрывается сообщение между предсердиями.
- Потоки артериальной (из легких) и венозной (из внутренних органов) крови уже не пересекаются.
Начинают функционировать два круга кровообращения. Впоследствии вторичная перегородка спаивается со стенкой сердца. У большинства людей в месте овального окна формируется овальная ямка.
Почему не закрывается отверстие
Если закрытие межпредсердного сообщения формируется в период внутриутробного развития, такие младенцы рождаются с серьезными нарушениями функций сердечной и дыхательной систем либо гибнут ещё до появления на свет. Фактически открытое овальное окно в сердце у ребенка является приспособительным механизмом, а не врожденной аномалией.
У 50 % людей клапан с сердечной стенкой срастается к концу двенадцатого месяца жизни. Если они не спаиваются до двухлетнего возраста, кардиологи относят состояние к малым аномалиям развития сердца (МАРС).
Отличительные особенности МАРС:
- нет значительного нарушения гемодинамики;
- симптомы практически отсутствуют, а если имеются, то не характеризуются специфичностью.
С открытым овальным окном живет 25 – 30 % взрослого населения. У некоторых размеры клапана являются недостаточными для полного закрытия отверстия. Первичная МПП может перекрывать сообщение, но не срастаться с межпредсердной стенкой. Если давление в правой половине сердца повышается, клапан откроется, и часть венозной крови через желудочек попадет в аорту.
Основной причиной МАРС специалисты считают генетическую предрасположенность. Наличие соединительнотканной дисплазии у матери значительно повышает вероятность их возникновения. Факторы риска рождения ребенка с открытым овальным окном:
- курение будущей мамы;
- употребление беременной некоторых медикаментов;
- неблагоприятное воздействие окружающей среды.
Педиатры отмечают, что у недоношенных открытое овальное окно наблюдается значительно чаще, чему у малышей, появившихся на свет после 36-й недели гестации.
У взрослых клапан, прикрывающий отверстие между предсердиями, может открыться:
- после чрезмерных физических нагрузок, например у спортсменов;
- при наличии кессонной болезни в анамнезе;
- у людей с тромбофлебитом после перенесенных эпизодов тромбоэмболии легочной артерии.
Иногда дефект между предсердиями сочетается с другими, более серьезными аномалиями сердца.
Симптомы и поведение ребенка
Незакрытое овальное окно в сердце у ребенка в большинстве случаев не характеризуется клиническими проявлениями. Родители могут даже не подозревать об имеющейся особенности. Дальше, в подростковом возрасте, отмечаются:
- снижение толерантности к физическим нагрузкам;
- склонность к обморокам;
- расстройства дыхания.
Заподозрить открытое овальное окно у вашего малыша врач может при:
- бледности кожи;
- шуме при аускультации сердца;
- периодически возникающей синюшности (цианозе) носогубного треугольника у ребенка во время подвижных игр, крика, кашля;
- если респираторные болезни «преследуют» вас значительно чаще, чем других детей;
- когда ваш сын или дочка отстает в росте от сверстников;
- если ребенок жалуется на усталость, головокружение, головные боли, одышку при физических упражнениях.

Обнаружение варикозной болезни вен и тромбофлебита у лиц моложе 30 лет также может натолкнуть врача на мысль о возможном незакрытом овальном отверстии.
Ребенок младшего возраста не всегда способен точно описать свое состояние, а тинэйджер, стараясь казаться старше и самостоятельнее, иногда склонен скрывать болезненные симптомы.
Постарайтесь не откладывать визит к врачу при даже незначительных изменениях в здоровье.
Критерии диагноза
Международная классификация болезней 10 пересмотра рекомендует дефект межпредсердной перегородки и открытое овальное отверстие кодировать в карточке одним шифром – Q 21.1. Но на практике врачи разделяют эти два состояния (таблица ниже).
| Отличия | Дефект межпредсердной перегородки | Открытое овальное окно |
| По патогенезу | Отверстие может быть обусловлено нарушением формирования как первичной, так и вторичной перегородок | Разрыв либо недостаточные размеры клапана овального окна |
| По локализации | Может располагаться в любом участке | На дне овальной ямки, с внутренней стороны правого предсердия |
| По анатомическим особенностям | Дефект в виде отверстия | Имеет клапанное строение |
| По нарушению гемодинамики | Кровь может поступать из одного предсердия в другое в обоих направлениях | Сброс крови чаще происходит справа налево |
Данные УЗИ
«Золотым стандартом» определения врожденных аномалий сердца кардиологи называют эхокардиографию.
Врач ультразвуковой диагностики судит о наличии открытого овального отверстия по следующим критериям:
- двухмерная эхокардиография: перерыв сигнала от перегородки в месте локализации овальной ямки, постепенное клиновидное утончение к краям дефекта, отсутствие перегрузки объемом правой половины сердца, парадоксальные движения преграды между предсердиями;
- допплер-эхокардиография: турбулентные потоки крови в месте расположения овального окна, показатели кровотока в правом желудочке и легочной артерии соответствуют норме.
Дополнительные методы обследования
Чтобы определиться с тактикой ведения пациента, важно знать, как отверстие в межпредсердной перегородке влияет на функцию сердца. Врачи делают электрокардиографию в состоянии покоя и после физической нагрузки. Это поможет исключить аритмию и нарушение проводимости.
Взрослым рекомендуется рентгенография органов грудной полости, что даст возможность судить о степени гипертрофии правого предсердия, выявит застойные явления в легких.
Дети с малыми аномалиями развития сердца нуждаются в консультации пульмонолога и иммунолога. Наличие хронических очагов инфекций может усугубить состояние ребенка, поэтому необходимо заглянуть в кабинет к отоларингологу, посетить зубного врача.
Возможные осложнения
Большинство родителей и педиатров справедливо считают, что наличие открытого овального окна здоровью ребенка не угрожает.
Такому мнению способствует утверждение популярного детского врача – Евгения Олеговича Комаровского: данное состояние – не порок развития сердца.
Действительно, при малых размерах отверстия человек может заниматься спортом, работать и учиться, а юноши даже подлежат призыву для прохождения армейской службы.
Но в определенных условиях открытое овальное окно может стать причиной следующих неблагоприятных состояний у взрослых:
- Парадоксальная венозная эмболия – попадание микротромба, пузырька жира или воздуха из системы вен в левое предсердие, а затем проникновение его в большой круг кровообращения.
Такое состояние способно спровоцировать транзиторную ишемическую атаку или инсульт. - Мигрень при открытом овальном окне часто протекает с аурой. Возникает она обычно у женщин старшего возраста при сбросе крови справа налево.
- Platypnea-orthodeoxia – синдром, который характеризуется одышкой, возникающей в стоячем положении и утихающей в лежачем. Обычно наблюдается при сочетании открытого овального отверстия с деформацией МПП.
- Синдром обструктивного апноэ во сне.
У некоторых людей с открытым овальным окном после мигрени либо ишемической атаки развивается транзиторная глобальная амнезия – синдром расстройства памяти и неспособности воспринимать новую информацию.
Лечение
Отверстия диаметром 4 – 5 мм имеют высокие шансы закрыться самостоятельно. Подходы к терапии открытого овального окна индивидуальны, зависят не только от размеров дефекта, но и от наличия повышения давления в легочном стволе, степени гиперплазии миокарда, риска развития осложнений.
Детям с отсутствием клинических проявлений и стабильными размерами дефекта медикаментозная терапия не показана.
Если у вашего ребенка диагностировано открытое овальное окно, он нуждается в периодических осмотрах кардиолога.
Что может случиться с овальным окном при жизни:
- закрытие;
- сохранение постоянных размеров;
- расширение дефекта по мере взросления.
Некоторые родители дают ребенку витаминные комплексы и биологически активные добавки, прибегают к лечению травами, но эффективность такой терапии не доказана.
Показания к хирургической коррекции сообщения между предсердиями:
- признаки перегрузки правого предсердия и желудочка;
- возникновение сердечной недостаточности;
- наличие осложнений.
Осуществляется транскатетерное закрытие отверстия в межпредсердной перегородке. К сердцу человека через крупные сосуды с помощью катетера проводится окклюдер (см. фото ниже), который играет роль заплатки.
Манипуляция выполняется под контролем рентгена и УЗИ.
С профилактической целью операция не показана даже людям определенных профессий, хотя имеющиеся данные медицинской литературы подтверждают, что выполнение транскатетерной окклюзии может способствовать предотвращению кессонной болезни у дайверов.
Стоит упомянуть возможные неблагоприятные последствия вмешательства:
- эмболизация окклюдером;
- инфекционные осложнения;
- эрозии аорты либо перикарда;
- фибрилляция предсердий;
- тромбоз окклюдера;
- возникновение нового дефекта МПП.
К поздним осложнениям транскатетерной процедуры специалисты относят возникновение резидуального шунта (остаточного сброса крови в левое предсердие) и формирование на окклюдере тромба. Следует тщательно обсудить с врачом все «за» и «против» оперативного устранения дефекта.
Проведение закрытия овального окна значительно улучшило состояние пациентов с мигренью, platypnea-orthodeoxia синдромом, способствовало предотвращению повторных ишемических инсультов у взрослых.
При этом детские кардиологи не рекомендуют проводить хирургическое устранение дефекта МПП у грудничков, считая оптимальным для радикальной коррекции возраст от 2 до 5 лет.
Открытое овальное окно у взрослого
Отмечается высокая вероятность ишемического инсульта у молодых женщин с открытым овальным окном, страдающих мигренью.
У взрослых после осмотра и УЗИ кардиологи отмечают такие факторы риска осложнений:
- размеры овального окна – более 4 мм;
- напряжение межпредсердной перегородки при маневре Вальсавы;
- шунтирование даже небольшого количества крови влево;
Иногда врачи назначают антикоагуляты и антиагреганты с целью профилактики развития инсульта и других тромбоэмболических осложнений.
Открытое овальное окно: у детей, взрослых, размер, норма, необходимость лечения
Обновление: Декабрь 2018
С тех пор как методы диагностики в виде ультразвукового исследования стали доступны для общего пользования, в медицине появились интересные находки.
А именно: различные малые аномалии, которые раньше не диагностировались, и о них даже не подозревали. Одной из таких находок является открытое овальное окно.
Когда открытое овальное окно физиологическая норма?
Овальное окно является отверстием между правым и левым предсердием. Открыто оно только во время внутриутробной жизни ребенка. Кислород к плоду поступает через пуповину, легкие не функционируют и много питающей крови не требуют.
Поэтому, пока малый круг кровообращения закрыт, часть крови сбрасывается из правого предсердия в левое через овальное окно. Окно прикрыто клапаном, который функционирует как дверь на пружине: открывается только в сторону левого предсердия.
Но все меняется с рождением ребенка. После первого вдоха легкие у новорожденного очищаются от внутриутробной жидкости, наполняются воздухом, и в них поступает кровь по малому кругу кровообращения.
С этой минуты работа овального окна закончена. В левом предсердии увеличивается давление, которое плотно прижимает клапан овального окна к межпредсердной перегородке.
Это не дает дверце клапана лишний раз открываться и создает условия для ее зарастания.
Размеры и нормы
Закрытие овального окна в норме происходит в сроки от 3 месяцев до 2 лет. Но и в 5 лет такая находка считается нормальной.Согласно статистике 50% здоровых детей в 5 лет и 10–25% взрослых имеют такую особенность. Отдельно стоит отметить, что пороком она не является. Врачи называют ее МАРС – малая аномалия развития сердца. Она отличает строение сердца от анатомической нормы, но непосредственной угрозы здоровью не несет.
В 1930 году T. Thompson и W. Evans исследовали 1100 сердец, результаты были следующими: у 35% обследованных было открыто овальное окно, у 6% из них — 7 мм диаметр (половина из них дети до 6 месяцев). У взрослых ООО большого диаметра встречалось в 3% случаев.
Размеры окна могут быть разными: от 3 мм до 19 мм (чаще до 4,5 мм). В первую очередь они зависят от возраста пациента и величины его сердца. Показание к оперативному лечению зависит не от размеров окна, а от того, насколько оно прикрыто клапаном и степени компенсации.
Когда открытое овальное окно становится патологией?
Само по себе наличие овального окна не является проблемой. Ведь нарушений кровообращения оно не вызывает, а функционирует только при сильном кашле, тяжелой физической нагрузке.
Проблемы возникают в следующих случаях:
- когда сердце ребенка с возрастом увеличивается, а клапан не растет. Тогда овальное окно не прикрывается так плотно, как должно. В результате кровь может проникать из предсердия в предсердие, увеличивая на них нагрузку.
- появление заболеваний или состояний, которые увеличивают давление в правом предсердии, следовательно, приводят к приоткрытию дверцы клапана в сторону левого предсердия. Это хронические болезни легких, заболевания вен нижних конечностей, сочетанная патология сердца, а также беременность и роды.
В этих случаях необходим постоянный контроль и наблюдение врача, чтобы не пропустить момент перехода из компенсированного состояния в декомпенсированное.
Интересно, что иногда такая особенность способна облегчить состояние человека и даже продлить ему жизнь.
Речь идет о первичной легочной гипертензии, когда кровь в легочных сосудах находится под давлением.
Это проявляется одышкой, хроническим кашлем, слабостью, обмороками.
Благодаря открытому овальному окну часть крови из малого круга кровообращения сбрасывается в левое предсердие, разгружая сосуды легких и уменьшая симптомы.
Причины незакрытия овального окна сердца
На этот счет существует не одна теория и предположение. Но достоверных пока нет. В том случае, если клапан не срастается с окружностью овального окна, говорят об особенности организма. Это подтверждает количество случайных находок во время эхокардиографии.
Бывает, что клапан изначально маленький и не способен полностью закрыть окно. Причиной такого недоразвития может стать любой фактор, влияющий на формирование органов плода:
- курение и принятие алкоголя матерью
- работа с вредными и токсическими веществами
- экология, стрессы.
Поэтому открытое овальное окно у детей часто сочетается с недоношенностью, незрелостью и другими патологиями внутриутробного развития.
Признаки
Как уже было сказано, клиника при данной патологии отсутствует, а сама аномалия выявляется случайным образом. Осложнений и последствий обычно не бывает.
Сочетание открытого овального окна с прочими заболеваниями. Симптоматика появляется при нарушениях гемодинамики (правильного потока крови по камерам сердца). Это случается, когда имеются сочетанные пороки сердца, к примеру:
- открытый артериальный проток;
- пороки митрального или трехстворчатого клапанов.
Камеры сердца перегружаются, межпредсердная перегородка растягивается, и клапан не может выполнять свои функции. Появляется право-левое шунтирование.
Симптомы у детей
- Это может проявляться частыми заболеваниями легких и бронхов.
- В период нагрузки (плач, кашель, физические нагрузки, приступы бронхиальной астмы) область носогубного треугольника становится цианотичной, синеют губы.
- Ребенок несколько отстает в физическом развитии, росте. Занятия физкультурой вызывают усталость и неадекватную нагрузкам одышку.

- Появляются спонтанные, ничем необъяснимые обмороки. Особенно это касается молодых людей с заболеваниями вен нижних конечностей.
Симптомы у взрослых
- С возрастом при исследовании обнаруживаются признаки гипертензии легких, перегрузка правых отделов сердца.
- Это, в свою очередь, приводит к изменениям на ЭКГ: нарушению проводимости по правой ножке пучка Гиса, признакам увеличения правых отделов сердца.
- Открытое овальное окно у взрослого, согласно статистике, увеличивает частоту встречаемости мигрени.
- Данные о возможном развитии инсульта или инфаркта появились давно. Случай, когда тромб, кусочек опухоли или инородное тело проникают из венозной системы в артериальную и закупоривают там сосуд, называют парадоксальной эмболией. Попадая в сосуды сердца, она вызывает инфаркт миокарда. В сосуды почки – инфаркт почки. В сосуды мозга – ишемический инсульт или транзиторную ишемическую атаку.
- Также у взрослых может появиться такой парадоксальный синдром, как platypnea-orthodeoxia.
У человека появляется одышка при подъеме с кровати, и пропадает, при повторном принятии положения лежа.
Как определить открытое овальное окно?
Осмотр
Обычно внешний осмотр пациента не несет никаких данных за врожденную аномалию. Овальное открытое окно в сердце у ребенка иногда можно заподозрить в роддоме, когда появляется диффузный цианоз всего кожного покрова. Но этот признак нужно дифференцировать с другими патологиями.
ЭхоКГ
Чаще всего открытое окно между предсердиями находят при проведении УЗИ сердца. Лучше эхокардиографию проводить с допплером. Но при малых размерах окна эти методики не смогут определить аномалию.
Поэтому «золотым стандартом» обнаружения ООО является чрезпищеводная эхокардиография. Она позволяет увидеть само окно, закрывающую его створку, оценить объем шунтирующейся крови, а также провести дифференциальную диагностику с дефектом межпредсердной перегородки – настоящим пороком сердца.
Как инвазивный метод также весьма информативна ангиокардиография.
Последние два метода используются только в специализированных кардиологических клиниках.
Водолазы и открытое овальное окно
При наличии подобной аномалии сердца заниматься некоторыми видами работы становится опасно для жизни. В частности, профессия водолаза, дайвера опасна тем, что при быстром опускании на глубину газы, растворенные в крови, превращаются в пузырьки. Они способны проникнуть через право-левый шунт овального окна в артерии и вызвать эмболию, что может привести к смерти.
По аналогичной причине лица с открытым овальным окном не допускаются к профессиональной деятельности, связанной с перегрузками. Это пилоты, космонавты, машинисты, диспетчеры, водители, операторы, аквалангисты, экипаж подводных лодок, кессонные рабочие. Также опасно заниматься любительским дайвингом.
Армия и овальное окно
Наличие открытого овального окна ограничивает призыв в армию. Как уже было сказано, нагрузки усиливают право-левый шунт, а вместе с ним и вероятность несчастного случая вследствие эмболии.
Во время службы солдату предстоит совершать марш-броски, стрельбу, строевую подготовку. Воинская медицинская экспертиза считает таких призывников «группой риска» и считает целесообразным проводить углубленный осмотр таких молодых людей. После подтверждения диагноза, призывник определяется к категории «В» с ограничением годности к военной службе.
Лечение
В настоящее время тактика лечения основывается на наличии или отсутствии симптоматики.
Лечение ООО при отсутствии симптомов
Терапия не требуется. Достаточно наблюдения педиатром, терапевтом и кардиологом с оценкой динамики состояния овального окна по УЗИ.
Лицам без выраженной симптоматики, но с риском развития ишемической атаки, инсульта, инфаркта, с заболеванием вен нижних конечностей, рекомендуется принимать курсами препараты, разжижающие кровь (аспирин, варфарин, клопидогрель).
Лечение ООО при наличии симптомов
Лечение оперативное, направлено на закрытие дефекта окклюдирующим устройством.
Применяется при выраженном сбросе крови справа-налево, при высоком риске парадоксальной эмболии, а также в качестве профилактики при открытом овальном окне у водолазов.
Окклюдирующее устройство крепится на катетер и через бедренную вену его вводят в полость сердца. Операция проходит под визуальным рентгенконтролем. После того, как катетер вводит окклюдер в овальное окно, оно раскрывается как зонтик и плотно закрывает отверстие. Метод позволяет улучшить качество жизни таких больных.
В качестве альтернативы окклюдерам ученые королевской больницы Бронтона из Лондона предложили использовать специальный рассасывающийся пластырь. Его крепят на овальное окно, а пластырь стимулирует естественное заживление дефицита тканей в течение месяца. Затем пластырь рассасывается. Этот метод позволяет избежать такого побочного эффекта, как воспаление тканей вокруг окклюдера.
Селезнева Валентина Анатольевна врач-терапевт
Открытое овальное окно в сердце у новорожденного ребенка: норма размеров, диагностика, лечение
Сердечко младенца отличается по строению от органа взрослого человека.
Оно представлено 2 предсердиями и 2 желудочками. У взрослых предсердия отделены перегородкой, которая плотно перекрывает половинки и не дает объединяться разным типам крови (венозной и артериальной). В утробе у малыша перегородка, разграничивающая предсердия, еще не закрыта. Это связано с особенностями кровообращения у ребенка, благодаря которым кровь наилучшим образом распределяется по внутренним органам. Легкие еще не играют большой роли: основное питание поступает к жизненно важному мозгу и печени. Благодаря открытому овальному окну к легким поступает всего 12% крови. Открытое овальное окно у новорожденных имеет небольшую перегородку, которая с 3 месяцев до 2 лет полностью зарастает. В результате отверстие закрывается. Но иногда бывает так, что клапан недостаточно велик по размеру, чтобы прикрыть отверстие. Так образуется открытое овальное окно у грудничка.
Какова норма? Медики считают, что в возрасте до 2 лет должно произойти полное закрытие окна. Однако остающееся даже в 5 лет отверстие считается нормой.
По статистике, эта малая аномалия присутствует у половины детей в возрасте до 5 лет и у 10-20% взрослых. Размеры отверстия могут существенно отличаться.
Открытое овальное окно 3 мм у новорожденного считается минимальным, но аномалия может разрастись до 19 мм. При этом для здоровья пациента важен не размер, а степень прикрытия окна клапаном. Когда овальное окно считается патологией? В медицине овальное окно у ребенка считается малой патологией и во многих случаях не требует лечения.
Оно никак не влияет на кровообращение, за исключением случаев кашля и чрезмерной физической нагрузки. Тогда терапия будет состоять в поддержании нормальной работы сердца витаминными препаратами. Вопрос об оперативном вмешательстве ставится врачами в таких случаях: сердце постепенно растет, а величина клапана остается прежней.
В этом случае кровь станет переливаться из одного предсердия в другое, а сердце будет работать с еще большими усилиями; наличие заболеваний, увеличивающих нагрузку на правое предсердие.
В результате клапан приоткрывается, и обмен крови между предсердиями становится еще большим.
К таким состояниям относятся хронические болезни вен, легких, у женщин – беременность и рождение малыша. Если присутствуют указанные условия, состояние пациента должно постоянно контролироваться врачом.
Причины аномалии Существуют определенные факторы, которые могут привести к образованию овального окна у малышей, хотя их достоверность окончательно не подтверждена: курение, распитие алкоголя матерью во время беременности; плохая экология; регулярные стрессы; работа беременной на вредном предприятии.
Как правило, вследствие этих факторов открытое овальное окно в сердце у ребенка сочетается с другими аномалиями в развитии. Симптомы Чаще всего овальное окно никак себя не проявляет. Аномалия выявляется при обследовании по поводу других заболеваний, например, при нарушении течения потока крови.
Однако порой родители могут заметить у малыша явные признаки недоразвития клапана: частые болезни дыхательных органов; во время плача или кашля, сильных физических нагрузок на носогубном треугольнике появляется синеватый оттенок; малыш отстает в физическом развитии, а нагрузки его утомляют; внезапные обмороки.
При достаточно большом объеме отверстия симптомы овального окна будут давать о себе знать на протяжении всей жизни взрослого человека: правое предсердие постепенно увеличивается вследствие возрастающей нагрузки; частота мигреней становится больше; сохраняется риск парадоксальной эмболии, когда мелкие частицы тромба или жировой ткани попадают в кровь и закупоривают сосуды, повышая возможность дальнейшего развития инсультных или инфарктных состояний; отдышка при первичном подъеме с кровати.
Определить, в чем именно состоит проблема с сердцем у ребенка, может только врач. Если размеры овального открытого окна в норме, родителям не стоит волноваться. Как правило, для постановки диагноза необходимы 2 обязательные процедуры: осмотр.
Иногда врожденную аномалию замечают еще в роддоме, когда у малыша развивается цианоз кожного покрова. Однако этот признак следует отличать от симптомов других патологий. ЭКГ. УЗИ сердца – необходимая мера для диагностики овального окна, но при малых размерах аномалии она может оказаться невыявленной.
В связи с этим медики предпочитают проводить чрезпищевую эхокардиографию. Она позволяет непосредственно увидеть отверстие и отличить его от порока сердца. Когда будут определены точные размеры овального окна, врач может назначить терапию.
Лечение Если симптомы аномалии развития не наблюдаются вовсе или незначительны, назначается общеукрепляющий курс терапии, включающий: лечебную физкультуру; закаливание; длительное пребывание на свежем воздухе; баланс между трудом и отдыхом; рациональное питание; прием витаминных препаратов для поддержания работы сердца (коэнзим, L-карнитин, витамин В6). В тяжелых случаях потребуется оперативное вмешательство. Хирургическая манипуляция была разработана лондонскими врачами и теперь активно применяется для закрытия отверстия в перегородке: Через вену бедра вводится зонд и специальный пластырь, которые доходят до самого предсердия. Пластырь прикрепляется на овальное окно. Отличительными свойствами этого материала является стимуляция роста соединительной ткани, благодаря чему клапан увеличивается и полностью сращивается с перегородкой.
Пластырь рассасывается в течение месяца.
Выявлено открытое овальное окно у ребенка или взрослого: причины его появления, диагностика, лечение, важные вопросы пациентов
Если у ребенка старше 2 лет обнаруживается отверстие в межпредсердной перегородке, то это вероятный признак открытого овального окна (ООО). В норме оно функционирует у плода, затем зарастает.
Дети с такой патологией отстают в росте, у них часто возникает цианоз, одышка, головная боль и внезапные потери сознания. Лечение зависит от размеров дефекта.
Используют лекарственные препараты и хирургические методы.
Что представляет собой открытое овальное окно
ООО в период формирования плода необходимо, так как через него плацентарная кровь попадает из правого в левое предсердие, а не в легкие. Таким образом осуществляется кровенаполнение головного, а также спинного мозга. Отверстие расположено в центре перегородки и снабжено клапаном, тормозящим обратное течение крови.
Кровообращение плода
После рождения ООО есть у всех детей.
Но после того, как ребенок начинает самостоятельно дышать, необходимость в его существовании исчезает. Более высокое давление в левом предсердии прижимает клапан, и он постепенно прирастает к перегородке.
Если имеется незакрытая часть, или полностью окно не прикрыто, то, при сильном кашле или крике, кровь сбрасывается справа налево. Окно может быть открытым у половины детей после одного года и у четверти взрослых.
Рекомендуем прочитать о классификации врожденных пороков сердца. Вы узнаете о причинах формирования пороков сердца, механизме развития функциональных нарушений, признаках и симптомах ВП, принципах лечения.
А здесь подробнее о врожденном пороке сердца тетраде Фалло.
Причины появления открытого овального окна
Имеется наследственная предрасположенность к формированию ООО. При нарушении строения хромосомы или дефектах в генах клапан по размеру меньше, чем величина отверстия. Также эта патология возникает при неблагоприятных факторах:
- преждевременные роды;
- нарушение строения соединительной ткани;
- врожденные аномалии развития сердца: пороки клапанов и открытый артериальный проток;
- вредные привычки матери: курение, наркотическая зависимость, алкоголизм.

Окно может открыться во время подводного плавания при погружении на большие глубины (дайверы, водолазы), у профессиональных тяжелоатлетов, борцов, при занятии высокоинтенсивными силовыми видами спорта. При тромбозах вен с закупоркой легочной артерии давление в правых отделах сердца повышается, это провоцирует открытие отверстия.
Кровообращение при открытом овальном окне
ООО имеет размер около 5 мм и вид щели. Иногда можно обнаружить отверстие диаметром около 2 см. В отличие от врожденного дефекта перегородки, окно прикрыто клапаном. Поэтому небольшой сброс крови может никак не проявляться, а большинство людей не подозревают о его существовании.
Если давление в системе легочной артерии высокое, то ООО его компенсирует и считается благоприятным признаком для продолжительности жизни. При значительном потоке венозной крови из правого предсердия у пациентов снижается содержание кислорода в тканях, возникают нарушения кровообращения головного мозга, миокарда.
Признаки и симптомы открытого овального окна
Проявления ООО не специфичны, в большинстве случаев не имеют клинической симптоматики, поэтому диагноз ставится с запозданием.
Симптомы у детей
Косвенным свидетельством патологии может быть резкая бледность или синюшный цвет кожи во время плача младенца, крика или купания. Из-за недостаточного поступления кислорода в ткани возникают:
- частые бронхиты, простудные болезни;
- слабый аппетит;
- отставание в наборе массы тела;
- физическое развитие замедлено;
- одышка;
- эпизоды потери сознания.
Признаки ООО у взрослых
Пациентов беспокоит головная боль, приступы мигрени, головокружение. При этом в стоячем положении одышка и сердцебиение усиливаются, а с переходом в горизонтальное – ослабевают. У молодых людей проявляются признаки нарушения кровоснабжения головного мозга, вплоть до инсультов.
Почему открытое овальное окно не закрылось у ребенка
Если по мере роста сердца клапан, перекрывающий овальное окно, не увеличивается, то плотного перекрытия отверстия не происходит.
В конечном итоге кровь перетекает из одного предсердия в другое, создавая усиленную нагрузку.
К возникновению патологии могу привести состояния, которые способствуют повышению давления в правом предсердии: заболевания легких, комбинированные пороки сердца, нарушения развития венозной системы.
Опасность, которую таит в себе открытое овальное окно
Незначительные дефекты не представляют угрозы для здоровья, но если при этом у пациента есть другие аномалии клапанного аппарата сердца или развития сосудов, то веноартериальный шунт крови может ухудшить движение крови внутри сердца.
Инфаркт почки
Особенно опасно такое состояние при наличии повышенного тромбообразования в венах нижних конечностей. Микротромбы, попадая в левое предсердие, с артериальной кровью разносятся по всем органам и, под воздействием давления, закупоривают просвет сосудов, вызывая острое нарушение снабжения кровью – ишемию. Это повышает риск тяжелых осложнений:
- инсульта;
- сердечной ишемии различной степени тяжести;
- инфаркта почки.

О том, какую опасность несет ООО для детей и взрослых, диагностике и тактике ведения пациентов, смотрите в этом видео:
Когда закрывается открытое овальное окно в норме
Обычно у новорожденного клапан окна оказывается прижатым повышенным давлением в левом предсердии. Это происходит после полного открытия легких – в течение 3 — 5 часов.
Зарастание отверстия чаще длится от 2 до 11 месяцев. У некоторых детей овальное окно перекрывается только к двум годам. Это считается одним из вариантов нормы.
Если после пяти лет имеется ООО, то самостоятельного закрытия не происходит.
Диагностика открытого овального окна у ребенка
Для того чтобы поставить диагноз, изучают историю появления жалоб и их выраженность, но так как они не имеют характерных особенностей, то подтвердить предположение об ООО можно при помощи инструментальных методов.
Осмотр
Ребенок может отставать в росте, вес снижен, кожа бледная, при плаче или натуживании синеет носогубной треугольник и губы.
Обычно при аускультации можно выявить шум из-за перехода крови между полостями сердца: от более высокого давления к низкому.
УЗИ
При исследовании можно выявить отверстие и клапан, который его перекрывает. Определяется объем и направление движения крови, наличие других аномалий сердца и сосудов. Для ООО типичны такие признаки:
- Размер от 2 до 4,5 мм.
- Клапан виден в левом предсердии.
- Окно расположено посредине перегородки.
- Вблизи отверстия стенки тонкие (при дефекте перегородки – утолщенные).
ЭхоКГ
Двухмерная эхокардиограмма показывает диаметр открытого окна и движение клапана, она поможет отличить эту патологию от других пороков сердца. Этот метод помогает выявлять наличие турбулентного потока крови, его объема и скорости. Для диагностики ООО это самый информативный способ.
ЭхоКГ при открытом овальном окне
У детей после 7 лет, подростков и взрослых пациентов используется чреспищеводная ЭхоКГ с пузырьковой пробой.
В вену вводится раствор с мелкими пузырьками, пациент вдыхает, затем на несколько секунд натуживается и выдыхает. При этом пузырьки появляются в левом предсердии.
Лечение открытого овального окна у взрослых и детей
Пациентам, у которых повышенный риск образования и отрыва тромбов, проводится медикаментозная терапия для уменьшения свертываемости крови. Используются препараты по типу варфарина, ацетилсалициловой кислоты, кардиомагнила.
Когда можно обойтись без операции
Если у пациента нет симптомов сердечной недостаточности, комбинированных пороков сердца, а сброс крови незначительный, то оперативное лечение не назначается. Такое течение ООО считается физиологическим вариантом.
Хирургическое закрытие овального окна
Чаще всего выбирают методику закупорки отверстия при помощи установки окклюдера через катетер. Такие эндоваскулярные операции проводятся под рентгенологическим и эхокардиографическим контролем. Это вмешательство малотравматичное, поэтому больные через 1 — 2 дня выписываются из отделения.
Виды окклюдеров для эндоваскулярного закрытия ООО
Специальный рассасывающий пластырь
Через катетер, введенный в бедренную артерию, на отверстие накладывается пластырь, способный стимулировать выработку соединительной ткани вокруг ООО. Материал, из которого изготовлена «заплатка», способен со временем рассасываться.
Рекомендуем прочитать об аортальном пороке сердца. Вы узнаете о распространенности заболевания, причинах развития порока, классификации аортальных пороков, симптомах, диагностике, лечении.
А здесь подробнее об открытой чреспищеводной эхокардиографии в диагностике сердечной патологии.
Важные вопросы пациентов
Для тех, кто только услышал диагноз, он может стать шоком. Поэтому возникает множество вопросов.
Можно ли выносить и родить ребенка? Если до беременности женщина чувствовала себя нормально, не было частых обморочных состояний, физические нагрузки не сопровождались бледностью, тяжелой одышкой или перебоями в работе сердца, то на течение беременности ООО не будет иметь влияния.
Такие пациентки должны пройти эхокардиографию для уточнения размеров отверстия, после чего будет решен вопрос о проведении кесарево сечения.
Можно ли в армию? Так как воинская служба предполагает тяжелые физические нагрузки, то ООО служит ограничением для призыва в армию.
Если диагноз подтвержден с помощью инструментальной диагностики, то таким призывникам присваивается категория В. Это значит, что в мирное время он зачисляется в запас.
Призыв может быть осуществлен только в условиях военного времени, после получения военно-учетной (гражданской) специальности.
Можно ли заниматься погружениями в водоемы? При погружении под воду на значительную глубину в крови начинают образовываться пузырьки.
Если окно между предсердиями открыто, то они перемещаются в артериальное русло, вызывая закупорку. Это может привести к внезапной смерти. Поэтому работа водолаза, подводника и любительский дайвинг таким людям запрещены.
Можно ли заниматься спортом? При хорошем самочувствии наличие небольшого отверстия не является препятствием к спортивным занятиям.
Не рекомендуются виды физическая активность с поднятием тяжестей, задержкой дыхания и интенсивными нагрузками:
- тяжелая и легкая атлетика;
- бокс;
- плавание;
- вольная борьба;
- биатлон;
- большой теннис.
Если имеются нарушения кровообращения, то нельзя принимать участие в соревнованиях, нагрузки должны быть определены кардиологом после проведения функциональных проб.
Можно сделать вывод, что наличие открытого окна не приводит к нарушению самочувствия при небольшом размере и отсутствии чрезмерных физических нагрузок, поэтому лечение не требуется. Если есть большой дефект, то его устраняют при помощи эндоваскулярных методов.
Вопросы врачу кардиологу
— отвечает Нехаева Наталия Сергеевна , врач кардиолог первой категории, главный внештатный детский кардиолог департамента здравоохранения области
12 марта 2019г., Светлана написала: Добрый день. Подскажите, пожалуйста, ребенку 17 лет надо пройти СМАД ЭхоКГ и заключение детского кардиолога для поступления.
Когда и как можно пройти в Вашей клинике, сколько стоит, можно ли по направлению бесплатно. Заключение и ответы нам надо отправить до 20.03.2019г. Очень надеюсь на положительный ответ.
Ответ врача кардиолога КДП Нелубкиной Т.П.: Уважаемая Светлана, записаться на ЭхоКТ можно по телефону (8172)71-74-58, а чтобы сделать СМАД – необходимо стационарное дополнительное обследование, запись по телефону (8172) 71-00-10, доб.321.
5 февраля 2019г., Ирина написала: Доброго времени суток. Скажите, пожалуйста, сынишке 4 года и 4 месяца. У него пульс во сне 57-62 удара в минуту. Это норма? Он очень эмоциональный мальчик. У меня иногда такое ощущение, что сердечко на несколько секунд замирает и начинает опять работать. Делали ЭКГ — небольшая тахикардия. Сказали перерастет. Так ли это?
Ответ врача кардиолога КДП Нелубкиной Т.П.: Уважаемая Ирина, пульс во сне обычно реже, чем при бодрствовании, но чтобы сказать более точно имеется патология или нет, нужно провести осмотр ребенка детским кардиологом — если ребенок живет в городе, то в детской поликлинике по месту жительства, а если ребенок проживает в области, то в консультативно-диагностической поликлинике нашей больницы, в рамках квоты, выделенной Вашему району, для получения которой, Вам следует обратится к Вашему участковому педиатру.
6 октября 2018г., Аня написала: Добрый день! Сыну 6 лет сахарный диабет 1типа 9-ый месяц и 3 года астма тяжелой степени не контролируемая. Лежали в больнице, сделали ЭКГ, показало умеренная аритмия ЧСС 68-88 в мин. Реполяризационные изменения, вероятно гипоксического характера. Неполная блокада правой ножки Гиса 2 степени. Сказали сделать ЭКГ повторно через месяц, опасно ли это и нужно ли записаться к кардиологу???? Спасибо за ответ.
Ответ врача кардиолога КДП Нелубкиной Т.П.: Уважаемая Анна, делать ЭКГ не опасно. Вам необходимо записаться к врачу-кардиологу по месту жительства, и он даст направление на ЭКГ.
17 сентября 2018г., Ольга написал: Добрый день. Скажите, не ожидается ли у Вас приезд кардиохирурга из Москвы?
Ответ заместителя главного врача по поликлинике Ивановой Н.Ю.: : Уважаемая Ольга, приезд кардиохирургов из г. Москвы ориентировочно планируется на апрель 2019 г.
31 августа 2018г.
, Юлия написала: здравствуйте, ребенку сделали ЭКГ и там поставили — ритм синусовый, циклическая брадиаритмия, синдром ранней реполяризации. Можно ли узнать, что делать и какое лечение надо. Опасно ли это для ребенка 6 лет.
Ответ врача кардиолога КДП Нелубкиной Т.П.: Уважаемая Юлия, без осмотра ребенка, оценить ЭКГ и дать грамотное заключение не представляется возможным. Вам нужно показать ребенка врачу детскому кардиологу по месту жительства и с собой иметь результаты «свежей» ЭКГ (давностью, не более месяца). Если детского кардиолога у Вас нет, пусть педиатр направит Вас на прием указанного врача.
11 марта 2018г., Елена Николаевна написала: Добрый день. Скажите, пожалуйста, в какое время в этом году планируются выездные консультации детских кардиохирургов в г. Вологда? Проживаем в …………. районе, ВПС — подклапанный стеноз аорты. Возможно, ли сделать УЗИ в день приёма (как записаться?) СПАСИБО!
Ответ заместителя главного врача по поликлинике Ивановой Н.
Ю.: Уважаемая Елена Николаевна, консультации кардиохирургов ФГБУ «Национальный медицинский исследовательский центр трансплантологии и искусственных органов имени академика В.И.Шумакова» МЗ РФ состоятся на базе консультативно-диагностической поликлиники нашей больницы с 3 по 5 апреля 2018 года. Для каждого района Вологодской области выделено свое время, за информацией обратитесь к Вашему педиатру. На консультацию приглашаются дети с заключением об УЗИ сердца давностью не более 3-4 мес. Сделать УЗИ сердца в день приема будет проблематично. Информацию об остальных документах, необходимых для консультации, так же можете узнать у Вашего педиатра.
29 января 2018г., Лариса написала: Здравствуйте, дочке 11 лет кардиолог обнаружил шумы в сердце и направил на флюорографию, правильно ли это?
Ответ врача кардиолога КДП Нелубкиной Т.П.: Уважаемая Лариса, заочно нельзя проконсультировать ребенка. Раз кардиолог назначил Вам данное обследование, значит, это было нужно ему для уточнения диагноза или дифференциальной диагностики с другой патологией.
Кроме того, если у ребенка обнаружен функциональный систолический шум – можно сделать эхокардиографическое обследование.
31 августа 2017г., Светлана написала: Были на приеме у хирурга, дано направление в стационар. Для плановой госпитализации в стационар вашей больницы (хирургическое отделение) нужно заключение кардиолога. ЭКГ сделали по месту жительства в районной поликлинике. Можно ли получить заключение кардиолога (ЭКГ (пленка с рашифровкой) будет на руках) в отсутствие ребенка, чтобы снова не везти ребенка в Вологду?
Ответ врача кардиолога КДП Нелубкиной Т.П.: Уважаемая Светлана, заключение кардиолога, в том числе и консультативно-диагностической поликлиники нашей больницы, можно получить только в присутствии ребенка, так как еще требуется его осмотр.
23 мая 2016г. Наталья написала: Здравствуйте! В нашем районе нет кардиолога, для проведения операции ребенку (3 года, дополнительный козелок) необходима ЭКГ с расшифровкой. Возможно, ли расшифровывание Вами нашей ЭКГ на Вашем приеме или нужно сделать ЭКГ в областной поликлинике после/во время Вашего приема? Заранее благодарю за ответ.
Ответ врача кардиолога КДП Нелубкиной Т.П.: Уважаемая Наталья, ЭКГ можно сделать в консультативно-диагностической поликлинике во время приема кардиолога.
5 апреля 2016г., Елена написала: Здравствуйте, я мама сыну 16 лет проблем со здоровьем не было, но роды были тяжелые, была гипоксия. Недавно потерял сознание. Все обследования в районе прошли. Хочется приехать на прием (сделать УЗИ сердца и т.д.), есть ли возможность попасть на прием и сделать УЗИ в один день. И нет ли возможности попасть на отделении диагностики.
Ответ врача кардиолога КДП Нелубкиной Т.П.: Уважаемая Елена, прием кардиолога в консультативно-диагностической поликлиники нашей больницы ведется ежедневно, кроме субботы и воскресенья. Записаться на прием нужно в Вашей ЦРБ, по квоте, выделенной для района. На УЗИ сердца Вы можете записаться на тот же день, что и на прием кардиолога по телефону (8172) 71-74-58. Все необходимые исследования и обследования, назначенные Вашему сыну врачами специалистами, можно провести амбулаторно без госпитализации.
Но если по их результатам потребуется стационарное лечение, то Ваш сын, по возрасту, будет направлен в областную клиническую больницу (ул. Лечебная, 17).
15 марта 2016г., Елена написала: Здравствуйте! В марте 2015 г. с новорожденным ребенком находились на обследовании ОПНиНД №1, на УЗИ сердца обнаружено небольшое функционирующее овальное окно, рекомендовано сделать повторное УЗИ в возрасте 1 года. Проживаем в ……………… районе, педиатр сказала записываться самостоятельно. Как нам попасть на УЗИ сердца к Вам в областную больницу? Спасибо.
Ответ врача кардиолога КДП Нелубкиной Т.П.: Уважаемая Елена, чтобы сделать УЗИ сердца ребенку, Вам нужно записаться, позвонив по телефону (8172) 71-74-58.
1 марта 2016г., Ольга написала: Здравствуйте, можно попасть на прием к детскому кардиологу с Архангельской области?
Ответ врача кардиолога КДП Нелубкиной Т.П.: Уважаемая Ольга, Вы можете записаться на прием к детскому кардиологу, для этого нужно позвонить в регистратуру консультативно-диагностической поликлиники нашей областной детской клинической больницы по телефонам (8172) 71-04-99, 71-26-33.
2 февраля 2016г. Наталья написала: Добрый день. Ребенок прописан в Молочном, проживает в городе Северодвинск, у нас нет детского ревматолога. Хочу привезти ее в Вологду. Диагноз ревматоидный артрит. Как попасть в ближайшее время к врачу на прием. Спасибо за ответ.
Ответ врача ревматолога КДП Кузнецовой Е.А.: Уважаемая Наталья, прием врача ревматолога консультативно-диагностической поликлиники нашей больницы — в понедельник с 8:00 до 12:00, четверг с 14:00 до 18:00; запись по телефону (8172)71-26-33. При себе иметь направление от участкового педиатра, амбулаторную карту, свежие анализы крови.
18 ноября 2015г., Анна написала: Добрый день, ответьте, пожалуйста, на вопрос. Сыну 8 лет, занимается спортом. Проходили медкомиссию и на ЭКГ выявили гипертрофию правого желудочка. Раньше проблем не было, ребенок не жалуется. Вопрос такой: Что нам делать дальше, насколько это опасно, может ли это пройти и можно ли нам заниматься спортом? Спасибо за ответ.
Ответ врача кардиолога КДП Нелубкиной Т.П.: Уважаемая Анна, Вам с сыном надо записаться на прием к кардиологу. Если вы живете в Вологде – в детскую городскую поликлинику по месту жительства, если Вы живете в каком-либо районе Вологодской области – в консультативно-диагностическую поликлинику нашей областной детской клинической больницы (запись в Вашей ЦРБ по квоте). В случае невозможности записаться по квоте – звоните в регистратуру КДП по телефонам (8172) 71-04-99, 71-26-33 (только для детей районов области).
12 ноября 2015г., Ольга написала: Добрый день! Моему ребенку 1,8 мес. У него врач в год обнаружила шумы в сердце. Сделали узи и кардиограмму. На учет к кардиологу не вставали. Сейчас шумы не прошли и педиатр сказала встать на учет к кардиологу. Мы наблюдаемся у педиатра в амбулатории п. Семенково. Педиатр сказала, что вставать на учет нужно в областной больнице. Направления не дала. А у вас написано, что прием только по квотам. Что нам делать и куда все таки вставать на учет?
Ответ врача кардиолога КДП Нелубкиной Т.
П.: Уважаемая Ольга! Вам необходимо записаться у педиатра в Вологодской ЦРБ «по квоте» на прием к кардиологу в консультативно-диагностическую поликлинику нашей областной детской клинической больницы. Если Вы не сможете записаться по квоте, позвоните и запишитесь в регистратуре поликлиники (71-26-33, 71-04-99) с 8:00 до 17:00, кроме субботы и воскресенья.
7 ноября 2015г., Светлана написала: Здравствуйте. Сыну 3 года, в июне этого года были на приёме у кардиолога (направил педиатр после планового ЭКГ), при осмотре врач услышала небольшие шумы, отправила на УЗИ сердца. В заключении написано, что сердце сформировано правильно. Размеры полостей и толщина стенок не увеличены. Морфология и кинетика клапанов не изменены. Сократительная функция не нарушена. Скорость потока не изменена. В позиции по короткой оси Ао виднеется дополнительный поток, направленный к датчику — коронар? (не исключён перимембранозный ДМЖП небольшого диаметра). Для уточнения диагноза необходим контроль УЗИ.
Врач УЗИ, а потом и кардиолог поликлиники сказала, что ничего страшного в этом нет и сказала прийти повторное УЗИ через год, чтобы посмотреть в динамике. Скажите, пожалуйста, на самом деле не стоит переживать по поводу данного заключения, просто недавно были с ребёнком на приёме у педиатра и она поинтересовалась, ходили ли мы повторно на УЗИ и огорошила меня тем, что у нас порок сердца, хотя на приёме у кардиолога, врач об этом ничего не сказал, только то, что у нас имеется дополнительный кровоток, который никак не влияет на работу сердца. Меня очень беспокоят слова педиатра, скажите, пожалуйста, стоит ли из-за этого переживать, и может быть повторно сделать УЗИ сердца не дожидаясь следующего года (повторное УЗИ врачом поликлиники назначено на июнь 2016 года) и уже с двумя результатами УЗИ обратиться на консультацию в Вашу больницу? Заранее спасибо за ответ.
Ответ врача кардиолога 3 ПО Демидовой Н.А.: Уважаемая Светлана. Комментировать заключение УЗИ сложно, не видя ребенка.
Если речь идет о перимембранозном ДМЖП (это действительно ВПС), то его не может быть не слышно и об этом должен сказать врач кардиолог. Если это поток за счет аорто-легочной фистулы, то он может быть не слышен, и не значим клинически. Срочности в повторном УЗИ при хорошем состоянии нет. Для проведения исследований в детской больнице надо обратиться в отделение платных услуг, если ребенок проживает в г. Вологде, но в настоящее время платные консультации врача кардиолога не проводятся.
8 июня 2015г., Галина написала: Здравствуйте, мальчику 13 лет, занимается спортом, был поставлен диагноз деформация левой половины грудной клетки. Травм не было. Мы заметили этот бугор на грудной клетке месяца 2 назад. Врач, который делал рентген, предположил, что это из-за порока сердца. У нас никогда не было проблем с сердцем, сделали кардиограмму взрослый кардиолог расшифровывать ее не стал, отправляет к детскому кардиологу, но сказал, что ничего страшного не видит. Педиатр наслушала шумы, может ли такая быстрая деформация груди быть вызвана пороком сердца.
Как попасть на прием к детскому кардиологу у нас сейчас не записывают на прием в область, мы из …
Ответ врача кардиолога КДП Нелубкиной Т.П.: Уважаемая Галина, с 29 мая по 10 июня запись к кардиологу была приостановлена из-за болезни специалиста. В настоящее время – запись в прежнем режиме. Обратитесь в поликлинику по месту жительства к педиатру, чтоб он записал Вас в рамках тех квот, что выделены Вашему району.
30 апреля 2015г., Ольга написала: Здравствуйте, подскажите пожалуйста как я могу записать ребенка на консультативный прием. Что для этого нужно. В поликлинике нам направления не дали, сказали, что записывайте самостоятельно. Спасибо.
Ответ врача кардиолога КДП Нелубкиной Т.П.: Уважаемая Ольга, к сожалению Вы не написали домашний адрес. Кардиолог консультативно-диагностической поликлиники нашей больницы принимает детей из районов области по квотам, которые выданы в каждый район. Вам необходимо обратиться к ответственному медицинскому работнику ЦРБ, который запишет Вашего ребенка на прием и сообщит Вам о дне и времени приема.
Прием врачей КДП осуществляется только по направлению врача-педиатра Вашего участка. Для консультации необходимо иметь: направление, полис ребенка, паспорт одного из родителей, ЭКГ(по возможности). Второй вариант — Вы можете сами позвонить в регистратуру по тел. (8172) 71-04-99, 71-26-33 и записаться в свободные часы приема в течение недели. Дети, проживающие в г. Вологде, осматриваются кардиологом территориальной поликлиники и в нашей поликлинике не принимаются.
5 апреля 2015г., Елена написала: Здравствуйте. Нам 3,5 мес. На УЗИ поставили аневризма мпп, дырка 5 -7 мм, увеличен кровоток в легочной артерии. Повторное узи через 6 мес. Подскажите — это порог? И может нужно раньше провериться? И возможно ли что все пройдёт с возрастом или нужна будет операция? Спасибо.
Ответ: Уважаемая Елена, если по УЗИ сердца обнаружен дефект, необходимо записаться на прием к кардиологу областной консультативно-диагностической поликлиники. Кардиолог назначит дополнительное обследование (ЭКГ, возможно, рентген органов грудной клетки), уточнит диагноз.
Необходимо наблюдение в динамике: осмотр кардиолога, ЭКГ, Эхо-КГ 1 раз в год, по показаниям чаще. Исчезнет дефект или нет – сказать затруднительно.
23 марта 2015г., Нина написала: есть ли показания для экстренной госпитализации ребенка, если при Холтер мониторировании количество экстрасистол за 19 часов составляет 19818 ед., мах/час 2437. Какие документы необходимы для госпитализации. Заранее спасибо.
Ответ: Уважаемая Нина, необходимо уточнить какого типа экстрасистолы, есть ли у ребенка жалобы, какое состояние ребенка клинически, есть ли изменения на УЗИ сердца. Для госпитализации необходимы: справка об отсутствии контактов с инфекционными больными, справка о прививках, направление от кардиолога или участкового педиатра, амбулаторная карта с предыдущими (если есть) обследованиями и выписками.
21 января 2015г., Ирина написала: Здравствуйте! Ребёнку 2,9 года, была ангина, спустя неделю на ногах ниже колена появились плотные эритемоподобные высыпания.
Через две недели ноги ребенка сильно покрылись такой сыпью, и отекли. Высыпания на ощупь были горячими. Уехали в больницу, где нам сказали, что у вас аллергическая реакция, в виде крапивницы, при этом у ребенка держалась высокая температура 38.Лечили нас супрастином и двумя уколами преднизолона. Участковый врач сказал, что у нас аутоимунное заболевание и порекомендовал обратиться к кардиоревматологу. Права ли она, что это может быть? Посоветуйте, какие можно сдать анализы для установления диагноза. Спасибо.
Ответ: Уважаемая Ирина, судя по описанию сыпи, возможно, это может быть узловатая эритема, которая часто имеет инфекционную этиологию. В настоящее время данной патологией занимаются дерматологи. Лечение лучше проводить в стационаре, т.к. часто приходится применять антибактериальную терапию, противовоспалительные препараты, иногда в некоторых случаях гормональную терапию. Необходимо выяснить причину (инфекционного возбудителя), что тоже лучше делать в стационаре.![]()
20 ноября 2014г., Светлана написала: Добрый день. Такой вопрос. Ребенку 4 года. У него функциональный шум в сердце (хорда), слышно только в одном месте. Делали экг, узи. Все в норме. К кардиологу (ради своего успокоения) ходили за три года 3-4 раза. Каждый раз спрашивали, можно ли будет заниматься ребенку хоккеем? Нам сказали и кардиолог, и педиатр что противопоказаний к занятиям нет. И следующий осмотр кардиолога только перед школой. На хоккей мы пошли, ребенку очень нравится, усталости нет. Знаем, что потом нужно будет проходить мед. комиссию в спортивном диспансере. Подскажите, наш кардиолог прав? и не является ли функциональный шум (хорда) противопоказанием? Очень буду благодарна за ответ. Спасибо.
Ответ: Уважаемая Светлана, функциональный шум не является противопоказанием к занятиям хоккеем. Пройдите осмотр кардиолога перед школой; если педиатру что-то не понравится, он может направить ребенка на прием раньше.
28 мая 2014г., Наталья написала: у ребёнка в 3 года было открыто овальное окно, нам уже 6 лет могло ли оно закрыться или нет?
Ответ: Уважаемая Наталья, открытое овальное окно могло уже закрыться.
Необходимо сделать УЗИ сердца и с результатом явиться на прием к кардиологу по месту жительства для определения дальнейшей тактики ведения.
28 марта 2014г., Татьяна написала: Здравствуйте. К вам 14 и 15 мая приезжает детский кардиохирург, но он не консультирует детей с открытым овальным окном, почему? Моему ребёнку 6 лет, у нас открытое овальное окно размером 4-5 мм, оно не закрывается. Летом 2013 года делали узи сердца в вашей больнице, нам сказали, что ждать кардиохирурга с Москвы и к нему на приём. В тоже время у вас в регистратуре нам не отказали с нашим диагнозом, сказали, что записи нет, а на сайте другая информация. Как нам быть? Как нам попасть на приём 14 мая? Что делать? Спасибо.
Ответ: Уважаемая Татьяна. Да, к нам приезжают детские кардиохирурги из г.Москвы. Они будут консультировать детей с врожденными пороками сердца, но открытое овально окно считается малой аномалией развития сердца (МАРС), не порок, оно не требует оперативного лечения.
Вы можете подойти на консультацию в порядке живой очереди, Вам не откажут. Прием детей из районов области с 09:00 до 13:00 (14-15.05.2014г.), из гг.Вологды и Череповца с 14-00 (14-15.05.2014г.)
Екатерина написала: здравствуйте. хотела поинтересоваться, брадикардия и шумы в сердце свидетельствуют о ВПС. и как его диагностировать как можно раньше?
Ответ: Уважаемая Екатерина, брадикардия и шум в сердце не всегда могут свидетельствовать о ВПС, их могут вызывать и другие причины (вегето-сосудистая дистония, функциональный шум, анемия и другие), но при наличии (появлении) данных симптомов требуется обратиться к врачу. Для ранней диагностики ВПС у детей необходимо при наличии симптомов (отставание в физическом развитии, одышка, утомляемость при кормлении у маленького ребенка и при физической нагрузке у старших детей) пройти осмотр врача педиатра и выполнить ЭКГ. В дальнейшем ребенка должен осмотреть кардиолог и решить вопрос о проведении УЗИ сердца.
— отвечает Демидова Наталья Анатольевна , врач кардиолог высшей категории
4 декабря 2014г.
, Оксана написала: Подскажите, пожалуйста! Дочери шесть месяцев врач выслушала шумок в сердце, сделали экг все хорошо, сделали узи сердца, заключение: в области бифуркации в режиме pw регистрируется доп. поток, в цдк потока не видно. Не исключен ОАП. Доктор сказала, что к году может все исправится, однако я читала, что оап лечат препаратами, что бы этот поток закрылся. Мы сами с района, может, областные доктора нам подскажут, не упустим ли мы время, если сейчас ничего не делать и просто ждать? Ребенок родился на 39 неделе правда путем кесарева, подскажите какой вообще может быть прогноз и что делать, если к году ситуация не изменится?
Ответ: Уважаемая Оксана, необходимо доказать есть ли открытый артериальный проток, то есть повторно провести ЭХОКГ и осмотр кардиолога. В возрасте 6 месяцев не может идти речь о медикаментозном закрытии протока. Если при повторном обследовании диагноз подтвердиться, то тогда уже требуется решать вопрос надо ли закрывать ОАП, и, если надо, то, как срочно.
7 ноября 2014г., Света написала: Здравствуйте. моему сыну поставили с рождения функционирующее овальное окно, каждые полгода мы обследовались, в прошлом году окно было 3.7, ребенку уже 2.7 года были на обследовании недавно, окно увеличилось, стало 4.6, толком ничего не объяснили, сказали единственное, что ребенок растет и окно может увеличиться, насколько я знаю окно должно зарасти к двум годам, но если оно не заросло должно ли оно увеличиваться, Должно ли увеличиваться овальное окно с подрастанием ребенка?
Ответ: Уважаемая Светлана. Размеры овального окна не имеют абсолютного значения, важно наличие клиники, жалоб и увеличения размеров сердца по УЗИ. Закрытие овального окна к 2-м годам не обязательно. Размер функционирующего овального окна с возрастом может увеличиваться (с ростом межпредсердной перегородки).
6 ноября 2014г., Елена Николаевна написала: Здравствуйте, уважаемый доктор. Пишу по просьбе родителей ребёнка из Никольского района.
Показан приём детского кардиолога весной 2015 г. (из Москвы или С-Петербурга). Если известны сроки пребывания и приёма данных специалистов в г. Вологда, прошу сообщить по э/п. Заранее благодарна.
Ответ: Уважаемая Елена Николаевна. Вопрос о приезде кардиохирурга из Москвы и времени консультаций будет решаться в феврале-марте 2015 года. Информация об этом будет направлена во все районные больницы области.
24 июня 2014г., Наталия написала: Добрый день! В 2012 году моей дочери был поставлен диагноз ЮХА., в 2013 году проходила обследование в областной детской больнице. После этого наблюдались у Демидовой Н.А. После этого никаких ухудшений не было. Сейчас уехала в лагерь, почти сразу же заболели обе ноги в лодыжке, ходить долго не может, и в спокойном состоянии ноги тоже болят. Узнавала, что в КДП нет приема Демидовой Н.А. Подскажите, куда нам обратится, очень хочется попасть на обследование в больницу, чтобы отмести всякое ухудшение в этой болезни.
Заранее огромное спасибо за ответ.
Ответ: Уважаемая Наталия, Вам необходимо обратиться к педиатру, либо к кардиологу по месту жительства, и решить вопрос о необходимости госпитализации в нашу больницу, которая осуществляется по направлению данных специалистов. Записаться на госпитализацию можно будет по телефону отделения (8172)71-75-06.
13 марта 2014 г, Алена написал: Здравствуйте. Моему ребенку 4 года. Были поставлены на учет с врожденным пороком сердца. Требуется консультация кардиохирурга. Могу ли я узнать, когда приезжают кардиохирурги с Москвы. И как попасть к ним на консультацию. Заранее спасибо.
Ответ: Уважаемая Алена. Приезд детских кардиохирургов планируется на 14-15 мая 2014г. Информация о приеме детей уже направлена нами во все детские ЛПУ области и в ближайшее время будет размещена на сайте нашей больницы в разделе новости. Рекомендуем Вам обратиться к кардиологу или педиатру по месту жительства.
Открытое овальное окно — лечение эндоваскулярными методами в отделении института Амосова.

Что такое открытое овальное окно?
Открытое овальное окно (Рис 1) – это небольшое отверстие между правым и левым предсердием, которое в норме функционирует у каждого плода. Эта структура работает как клапан, который направляет кровь из нижней половины тела плода в левые отделы сердца, минуя нефункционирующие легкие. По мере расправления легких с первыми вдохами малыша, необходимость в этой структуре отпадает, так как теперь вся кровь от тела проходит через легкие и только затем попадает в левое предсердие. Давление в левом предсердии постепенно повышается и через несколько месяцев после рождения превышает давление в правом предсердии, что способствует закрытию овального окна у большинства людей.
Однако, овальное окно не зарастает и остается открытым примерно у 25% взрослых здоровых людей.
Симптомы
Открытое овальное окно является индивидуальной особенностью и никак клинически не проявляется. Пороком сердца овальное окно не считается.
Пациенты с открытым овальным окном могут вести привычный образ жизни и физической активности.
Открытое овальное окно и инсульт
При определенных условиях, когда давление в правом предсердии снова начинает превышать давление в левом предсердии, овальное окно снова начинает работать как клапан, направляющий кровь от нижней половины тела в левые отделы сердца. Если в венозной системе есть застой крови (например, в венах нижних конечностей или таза), там образуются тромбы. Последние могут вместе с кровью пройти через овальное окно в левые отделы сердца, далее в головной мозг и вызвать инсульт (Видео 1).
Открытое овальное окно находят у 25% взрослого населения в возрасте до 55 лет, которые перенесли ИНСУЛЬТ. В большинстве случаев открытое овальное окно часто сочетается с тромбозом вен нижних конечностей и малоподвижным образом жизни.
Диагностика
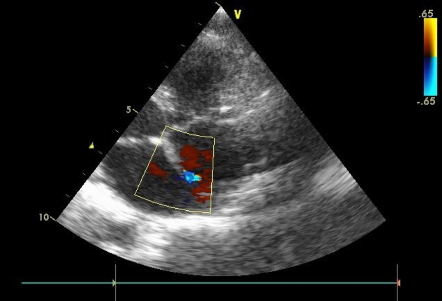
Все лица молодого возраста, перенесшие инсульт, должны проходить плановое трансторакальное и транспищеводное УЗИ сердца и доплерокраниографию сосудов головного мозга.
УЗИ сердца подтверждает либо исключает факт наличия овального окна, его анатомию (наличие аневризмы межпредсердной перегородки), показывает при помощи различных тестов направление тока крови на уровне овального окна.
Если при проведении ЭхоКГ при натуживании пациента (проба Вальсальвы) наблюдается направление тока крови с правого предсердия в левое, то это подтверждает тот факт, что причиной перенесенного инсульта стало открытое овальное окно.
Ультразвуковая допплерография сосудов головы (доплерокраниография) подтверждает либо исключает попадание мелких тромбов из вен нижних конечностей в сосуды головного мозга через овальное окно.
Наличие аневризмы межпредсердной перегородки в сочетании с открытым овальным окном повышает вероятность развития инсульта, так как аневризма способствует большей подвижности перегородки, а значит, большее количество тромбов направится через овальное окно в сосуды головного мозга.
Нужно ли закрывать открытое овальное окно?
Если овальное окно найдено случайно во время планового УЗИ сердца, закрывать его не нужно.
Овальное окно не приводит к увеличению размеров сердца. Отличить овальное окно от маленького дефекта межпредсердной перегородки возможно только с помощью транспищеводного УЗИ.
ОВАЛЬНОЕ ОКНО ПОДЛЕЖИТ ЗАКРЫТИЮ лишь в том случае, ЕСЛИ ЧЕЛОВЕК ПЕРЕНЕС ИНСУЛЬТ. Закрывают его в случае подтверждения наличия право-левого направления тока крови при пробе Вальсальвы.
Закрытие овального окна проводят эндоваскулярно с помощью специального устройства – окклюдера (Рис 2, 3).
|
Рис 2 – Окклюдер для закрытия ООО, вид сверху |
Рис 3 – Окклюдер для закрытия ООО, вид сбоку |
Техника и устройство подобны закрытию дефекта межпредсердной перегородки (Видео 2).
Закрытие открытого овального окна у лиц молодого возраста, перенесших инсульт, ЗНАЧИТЕЛЬНО СНИЖАЕТ РИСК РАЗВИТИЯ ПОВТОРНЫХ ИНСУЛЬТОВ (Видео 3).
Образ жизни у пациентов с открытым овальным окном.
Если вы водитель, и Вы знаете о том, что у Вас открытое овальное окно, рекомендуется останавливаться каждые 2 часа для небольшой прогулки. Подвижный образ жизни снижает риск застоя крови и тромбообразования в венах нижних конечностей, а значит — снижает риск развития инсульта у пациентов с открытым овальным окном.
При полетах в самолете рекомендуется пить достаточное количество воды и по возможности вставать раз в 2-4 часа.
Видео 1: Тромб попадает из правых отделов сердца в левые и вызывает инсульт
Видео 2: В этой красочной анимации Вы сможете увидеть, как закрывают ООО окклюдером.
Видео 3: ООО закрыто окклюдером (рентгеновское видео).
Как делают УЗИ сердца детям и грудничкам, и что означает на диагностике открытое овальное окно у новорожденного ребенка?
Любые проблемы с сердцем ребенка пугают родителей и вызывают переживания, особенно, если это врожденные пороки.
Однако среди сердечных патологий в детском возрасте бывают и очень серьезные, угрожающие жизни, и не столь опасные, с которыми ребенок может вполне нормально жить. К числу вторых относится и открытое овальное окно (сокращенно – ООО).
Так называют особенность строения перегородки внутри сердца, которая имеется у всех деток во время внутриутробного развития и зачастую выявляется у новорожденного. Все дело в том, что у плода сердце функционирует несколько иначе, чем у грудничка или взрослого.
В частности, в перегородке, разделяющей предсердия, имеется отверстие, называемое овальным окном. Его присутствие связано с тем, что легкие плода не работают, и потому крови в их сосуды поступает мало.
Тот объем крови, который у взрослого выбрасывается из правого предсердия в вены легких, у плода переходит через отверстие в левое предсердие и переносится к более активно работающим органам малыша – головному мозгу, почкам, печени и другим.
Такое окно от левого желудочка отделяет небольшой клапан, созревающий полностью к началу родов.
Когда младенец совершает первый вдох и его легкие раскрываются, после чего к ним приливает кровь, что сопровождается повышением давления внутри левого предсердия.
В этот момент происходит закрывание овального окна клапаном, а далее он постепенно срастается с перегородкой.
Если окно закрывается раньше времени, еще внутриутробно, это грозит сердечной недостаточностью и даже гибелью ребенка, поэтому наличие отверстия важно для плода.
Закрытие окна происходит у разных деток по-разному. У одних клапан прирастает к нему сразу после появления на свет, у других – в течение первого года, у третьих – к 5-летнему возрасту.
В некоторых случаях размеры клапана недостаточны для закрывания всего овального окна, из-за чего отверстие остается незначительно открытым на всю жизнь, а кровь в небольшом объеме периодически из малого круга сбрасывается в большой круг кровообращения. Такую ситуацию наблюдают у 20-30% деток.
Овальное окно, которое не закрылось полностью после рождения, не считают дефектом перегородки, которая разделяем предсердия, поскольку дефект является проблемой намного серьезнее.
Он считается врожденным пороком, а ООО относят к малым аномалиям, представляющим лишь индивидуальную особенность.
При дефекте перегородки клапан полностью отсутствует и возможен сброс крови слева направо, что представляет опасность для здоровья.
Наиболее часто незакрытое овальное окно в сердце у ребенка связано с генетической предрасположенностью, которая в большинстве случаев передается от матери. Другими причинами появления ООО выступают неблагоприятные воздействия во время вынашивания:
- Плохая экологическая обстановка.
- Никотин.
- Стресс.
- Наркотические вещества.
- Алкоголь.
- Запрещенные при беременности лекарства.
- Недостаточное питание.
Довольно часто незакрытие овального окна отмечают у деток, появившихся на свет намного раньше срока, а также при наличии задержки внутриутробного развития у доношенных малышей.
В следующем видеоролике можно посмотреть как в норме должно меняться кровообращение и деятельность сердца ребенка перед его рождением.
Если открытый клапан выступает изолированной проблемой и других пороков сердца у ребенка нет, клиническая картина достаточно скудная. Заподозрить ООО у младенца можно по:
- Выявлению учащенного сердцебиения.
- Изменениям цвета носогубного треугольника (он становится синим либо серым) во время кормления или плача.
- Одышке.
- Плохому аппетиту.
- Малой прибавке в весе.
У дошкольников и детей школьного возраста возможны проблемы с переносимостью физической нагрузки и частые воспалительные болезни дыхательной системы.
В подростковом периоде, когда организм активно растет и происходит гормональная перестройка, ООО у детей проявляется:
- Слабостью.
- Ощущениями перебоев в сердечном ритме.
- Повышенной утомляемостью.
- Эпизодами головокружений.
- Периодически появляющимися беспричинными обмороками.
Заподозрить наличие у малютки ООО можно после прослушивания сердца с помощью стетоскопа.
Если врач слышит систолические шумы, он назначает ребенку УЗИ, поскольку этот метод наиболее предпочтителен для выявления овального окна.
Патология нередко выявляется во время плановой эхокардиографии, проводимой всем детям в 1 месяц. В некоторых случаях для уточнения проблемы малышу могут назначать чрезпищеводное УЗИ, а также ангиографию.
УЗ-признаками открытого овального окна выступают:
- Размер до 5 мм.
- Положение в средней части перегородки.
- Непостоянность визуализации отверстия.
- Обнаружение клапана в левом предсердии.
- Истонченная межпредсердная перегородка.
То, как выглядит ООО на УЗИ, вы можете посмотреть в следующем видео.
Известный педиатр подтверждает, что овальное окно открыто практически у всех только что появившихся на свет младенцев и у 50% из них остается незакрытым до 2-летнего возраста. Но даже в возрасте от 2 до 5 лет наличие такого окна в сердце считают вариантом нормы, практически не влияющим на самочувствие и здоровье ребенка.
Комаровский подчеркивает, что это не порок сердца и у большинства детей окно закрывается само в первые годы жизни без какого-либо вмешательства со стороны врачей.
Если выраженной клиники и проблем с работой сердца нет, что особенно часто бывает при наличии ООО, никакого медикаментозного лечения не требуется. Ребенку рекомендуются меры, важные для общего укрепления организма:
- Прогулки на свежем воздухе.
- Сбалансированное питание.
- Правильное распределение нагрузок и отдыха в течение дня.
- Закаливающие процедуры.
- Лечебная физкультура.
Если появились жалобы со стороны сердца, детям назначаются препараты для питания миокарда и витамины. Наиболее часто малышам предписывают л-карнитин, убихинон, панангин и магне В6.
Если ООО сочетается с другими пороками, лечением ребенка занимается кардиохирург, поскольку достаточно часто требуется операция.
Одной из эффективных при открытом овальном окне мер является введение в бедренную вену ребенка зонда с заплаткой.
Когда зонд достигает правого предсердия, заплатка накладывается на окно и закрывает его.
Пока она будет рассасываться в течение месяца, в перегородке активизируются процессы образования соединительной ткани, в результате которых овальное окно закрывается.
Многие родители переживают, что «дырка в сердце», как они называют ООО, будет угрожать жизни ребенка. На самом деле такая проблема не является опасной для малыша и большинство деток с незакрытым окном чувствуют себя вполне здоровыми.
Важно лишь помнить о некоторых ограничениях, например, в отношении экстремальных видов спорта или профессий, при которых нагрузка на организм повышается.
Также немаловажно каждые 6 месяцев обследовать малыша у кардиолога с проведением УЗ исследования.
Если овальное отверстие осталось открытым после пятилетия ребенка, наиболее вероятно, что оно уже не зарастает и будет у ребенка до конца жизни. При этом такая аномалия почти не сказывается на трудовой деятельности.
Она станет препятствием лишь для получения профессии водолаза, летчика или космонавта, а также для сильных спортивных нагрузок, например, занятий тяжелой атлетикой или борьбой.
В школе ребенок будет отнесен во вторую группу здоровья, а при призыве мальчика с ООО засчитают к категории Б (есть ограничения при военной службе).
Отмечают, что в возрасте старше 40-50 лет наличие ООО способствует развитию ишемической и гипертонической болезни.
Кроме того, при инфаркте незакрытое окно в перегородке между предсердиями отрицательно сказывается на восстановительном периоде.
Также у взрослых с открытым окном более часто проявляются мигрени и нередко возникает одышка после подъема с кровати, которая сразу исчезает, как только человек ляжет обратно в постель.
Среди редко встречающихся осложнений ООО в детском возрасте может возникнуть эмболия. Так называют попадание в кровоток пузырьков газа, частиц жировой ткани либо кровяных тромбов, например, при травмах, переломах или тромбофлебите.
Эмболы при попадании в левое предсердие перемещаются к сосудам в головном мозгу и становятся причиной повреждений мозга, иногда летальных.
Случается, что наличие незарощенного овального отверстия помогает улучшить состояние здоровья. Это наблюдается при первичной легочной гипертензии, при которой из-за высокого давления в сосудах легких возникает одышка, слабость, хронический кашель, головокружение, обморок. Через овальное окно кровь из малого круга частично переходит в большой и сосуды легких разгружаются.
Узнать еще больше об открытом овальном окне вы можете из следующего видео.
Причины, симптомы и лечение открытого овального окна у грудничка
Сердечные патологии это очень распространенная проблема у новорожденных. Открытое овальное окно в сердце младенца очень частый диагноз, с которым встречаются родители новорожденного. Определяется оно с помощью УЗИ сердца. Конечно сразу это звучит для родителей как приговор, но так ли это страшно на самом деле.
Давайте разбираться.
Что это такое
Открытое овальное окно присутствует у младенца в период, когда ребенок развивается в чреве матери. На этом этапе, такое открытое отверстие становит норму, для правильного развития плода. Когда малыш появляется на свет, то в норме такое окно закрывается у грудничков сразу, при первом вдохе.
Нормой также считается постепенное закрытие такого отверстия до первого года жизни маленького человечка. Часто бывает, что такое окно закрывается до 2, 5 год, или даже до 5 летнего возраста.
Такая патология представляет собой незакрытую щель в перегородке между правым и левым предсердием. После рождения, такая перегородка должна полностью закрыться сердечным клапаном. Но как показывают жизненные реалии, такая перегородка все-таки не закрывается клапаном у ½ части населения планеты.
И не всегда такой диагноз является поводом для паники и волнений. Часто люди проживают полноценную жизнь, даже не подозревая о наличии такой патологии. Узнать о ней можно лишь путем ультразвукового исследования.
Для правильной работы сердца, да и организма в целом, имеет значение размеры такого открытого окна в сердце. Размеры такого отверстия могут варьироваться от 2 мм и до 10 мм.
- Если же такое окно открывается на 2-3 миллиметра., и нет больше никаких сердечных отклонений, и человек не чем не обеспокоен, то такое состояние практически никак не отобразится на жизнедеятельности организма в целом.
- Если открытая перегородка достигает в размерах 5-7 мм., такая патология является гемодинамически незначимой. Проявлять себя такое отклонение может только в период сильных физических нагрузок на организм.
- Но если размеры окна достигают 7-10 мм, то диагноз будет звучать как «зияющее открытое окно», и по симптоматике такое состояние идентично врожденному пороку сердца, который звучит как дефект межпредсердной перегородки.
Причины данной патологии сердца
- Наиболее распространенным фактором является наследственная предрасположенность ребенка. Такая генетическая аномалия передается преимущественно по первой линии родственных связей.
- Вредные привычки матери.
Если беременная женщина употребляет алкоголь и курит табак, также велика вероятность, что у ребенка вовремя не закроется межпредсердная перегородка.
- Плохая экология. Если беременность женщины протекала в неблагоприятной экологической среде, и если ребенок растет в этой же среде, также возможно появление данной патологии.
- Плохое и несбалансированное питание будущей мамы, в период вынашивания ребенка, также неблагоприятно отобразится на сердечной системе малыша.
- Постоянные стрессовые ситуации и депрессия способствуют развитию таких отклонений.
- Тяжелые отравления беременной женщины (в том числе и лекарственными средствами).
- Появление ребенка на свет раньше положенного срока. Большой процент недоношенных детей страдают таким недугом.
Прогнозы на будущее
Наличие небольшого незакрытого овального окна (3 мм.) в сердце у ребенка, в будущем позволит вести полноценный образ жизни, если нет вторых сердечных заболеваний. Если же таковые имеются, то наличие открытого отверстия, усложнит течение сердечных заболеваний, и сам процесс лечения таковых болезней.
При наличии такой патологии специалисты не рекомендуют ребенку серьезные занятия спортом. Физические нагрузки также должны быть умеренными.
Необходим постоянный контроль за состоянием сердца у малыша. Осуществляется такой контроль посредством УЗИ сердца, ЭКГ, ну и, конечно же, необходимо следить за общим физическим состоянием ребенка.
Признаки данного сердечного отклонения у детей
Признаки открытого овального окна у грудничка ответственные родители должны определить по таким симптомам:
- Младенец плохо набирает вес
- Посинение окологубного треугольника. Происходит это когда малыш плачет, кричит, кашляет или тужится
- Частые простудные заболевания бронхолегочного характера
В более старшем периоде у ребенка есть риск возникновения одышки, учащенное сердцебиение, особенно при сильных физических нагрузках.
В подростковом возрасте заболевание выражает себя следующим образом:
- усталость, быстрая утомляемость, даже без особых физических нагрузок;
- головные боли, невыясненной этиологии;
- слабость, головокружения, потеря сознания;
- сбои в правильной работе сердечной мышцы;
- частые респираторные заболевания, простудного характера
Чего стоит опасаться при данной патологии
Наличие функционирующего окна в сердце, может создать ряд нежелательных осложнений, в таких случаях:
- Период активного возрастного роста ребенка. В такой момент, когда сердечная мышца усиленно растет, а клапан остается все тех же размеров, возможен усиленный кровоток в разъеме отверстия, когда кровь свободно проникает из одного предсердия в другое. Такая ситуация увеличивает нагрузку на предсердия.
- Особую бдительность следует проявить, при наличии заболеваний, которые увеличивают давление в правом предсердии. Такие заболевания способствуют дополнительному открытию клапана в сторону левого предсердия.
Существуют случаи, когда такая сердечная патология даже полезна для организма. Это наличие первичных признаков легочной гипертензии. В такой ситуации кровь, из малого круга кровообращения, через открытое окно перемещается в левое предсердие, таким образом, уменьшая давление, что благотворно сказывается на общем состоянии организма.
Методика лечения данной сердечной аномалии
Если открытое окно не больших размеров, и нет никаких сердечных дополнительных заболеваний у ребенка, то в этом случае, дитя не нуждается ни в каких лекарственных препаратах и манипуляциях. Можно ограничиться лишь регулярным наблюдениям у специалиста.
Если умеренные размеры открытого отверстия вызывают дискомфортные состояния детского организма, возможно назначение антикоагулянтов и дезагрегантов.
Если же слишком большие размеры овального окна вызывают декомпенсированные состояния у ребенка, необходимо хирургическое вмешательство.
В любом случае, при любом течении этого недуга, необходимо регулярное наблюдения у врача. Лекарственные препараты необходимо давать ребенку исключительно по рецепту доктора. Решение про оперативное вмешательство принимается только после соответствующего вывода медицинских специалистов. Самолечение, при данной патологии недопустимо!
Питание
При незакрытом овальном окне ребенку необходимо полноценное питание. В рационе должны быть обязательно фрукты, овощи, с большим содержанием калия, который укрепляет сердечную мышцу. Также рекомендуются бобовые, злаковые изделия, орехи, кисломолочные продукты и нежирные сорта рыбы и мяса.
Окошко в средце у новорожденного: когда должно закрыться, опасно ли это
Малыши появляются на свет с открытым овальным окном в сердце. Как только они делают свой первый вздох, легочный круг кровообращения начинает работать в нормальном режиме, и потребность в открытом окне исчезает. По причине увеличения давления крови в области левого предсердия клапан в итоге закрывается и с течением времени полностью зарастает тканью.
Открытое овальное окно – распространенная проблема
Что это за патология
Иногда дырочка между сердечными предсердиями может только отчасти закрыться или не зарасти вовсе. При подобном сценарии развития событий при любом усилии (крике, чихании или кашле) через приоткрытый клапан кровь в некотором количестве перебрасывается из одной камеры в другую. По факту выявления такой патологии пациенту-ребенку ставят диагноз – открытое окно.
Чем опасна
Ангиопатия сетчатки глаза у ребенка — что это такое
Открытое овальное окошко в сердце у новорожденного – один из вариантов нормы. Если с течением времени оно не начнет постепенно закрываться, во взрослой жизни может легко возникнуть целый ряд проблем, связанных с самочувствием и здоровьем:
- инфаркт;
- инсульт;
- транзиторное нарушение кровообращения внутри мозга.
Предпосылки к развитию
Астигматизм у ребенка — что это такое, нужно ли лечить
Основные предпосылки, по которым открытое овальное окно в сердце у ребенка может закрываться не до конца, доподлинно не выяснены. Ряд специалистов считает, что опасный недуг провоцируют следующие факторы:
- рождение грудничка недоношенным;
- наследственность;
- врожденный порок сердца;
- злоупотребление матерью в период вынашивания ребенка алкоголя, табака, наркотических препаратов;
- воздействие факторов неблагоприятной среды.
Большинство патологий развивается во время вынашивания ребенка матерью
Почему отверстие не закрывается
Сыпь с пузырьками у ребенка, волдыри на коже—что это такое
Чаще всего незакрытый клапан объясняется наследственной предрасположенностью. При таком раскладе клапан по размеру меньше диаметра отверстия. Это может значить только одно: полное закрытие овального окна в сердце у новорожденного невозможно в принципе.
Когда речь о физиологической норме
Постепенное закрытие отверстия в сердце в первый месяц или даже год жизни крохи считается нормальным.
Важно! Медицине известны случаи, когда окошечко в сердце у малыша закрывалось к 3 или даже 5 годам.
Далеко не во всех случаях дырка в сердце у маленького ребенка оказывается реальным поводом для серьезного беспокойства. Человек может иметь незакрытый клапан и полноценно прожить всю жизнь, даже не догадываясь, что у него имеется проблема, ведь узнать о ней реально, только сделав УЗИ.
Сердце может полноценно функционировать, если отверстие имеет не слишком существенный диаметр. При открытии окна не более, чем на 2-3 мм, при полном отсутствии прочих серьезных патологий беспокоиться нет причин. Подобное состояние почти не отражается на самочувствии ребенка.
В большинстве случаев открытое окно не влияет на самочувствие малыша
Если размер дырки в сердце у ребенка варьируется в диапазоне от пяти до семи миллиметров, аномалия еще считается гемодинамически несущественной, но уже может начать показывать себя при интенсивных физических нагрузках.
Когда диаметр отверстия составляет от 7 до 10 мм, это уже далеко не норма. Такому пациенту обычно ставят диагноз – зияющее открытое окно. По симптомам подобное состояние во многом напоминает врожденный порок сердца. Пациент должен проходить регулярные обследования у кардиолога.
Основные симптомы
Если младенец страдает от патологии незакрытого окна, понять это можно по следующим симптомам:
- медленный набор веса;
- заметное посинение окологубного треугольника во время кашля, плача либо крика;
- подверженность бронхиальным и легочным простудным заболеваниям.
В более старшем детском возрасте, если окошко так и не закроется, у подрастающего ребенка могут развиться одышка и тахикардия, даже не при самых серьезных физических нагрузках.
Ближе к подростковому возрасту и на протяжении всей взрослой жизни патология будет проявляться следующими признаками:
- быстрая утомляемость;
- хроническая усталость;
- головокружения;
- слабость;
- мигрени;
- частые респираторные заболевания.
Когда закрывается окно
Более чем у половины новорожденных детей окошко благополучно закрывается в первый год (чаще до достижения ими трехмесячного возраста). Несколько реже процесс оказывается более длительным и затягивается до пяти лет.
В большинстве зафиксированных случаев патологию считают малой аномалией в развитии сердца. Распространенность заболевания при этом была и остается достаточно высокой.
Согласно официальным статистическим данным, открытое овальное окно имеется у 50% вполне здоровых детей и у 10-15% взрослых людей.
Диагностика патологии
Физикальный осмотр маленького пациента, как и изучение его анамнеза, часто не дают возможности точно определить наличие открытого овального окна. Они могут только допустить вероятность присутствия аномалии. Для установки точного диагноза требуются дополнительные обследования:
- ЭКГ;
- ЭхоКГ;
- рентгенография грудной клетки;
- зондирование полостей сердца.
Если обследуется грудничок или ребенок раннего возраста, для диагностики чаще всего используется трансторакальная двухмерная электрокардиография. Данный вид исследования позволяет увидеть, закрытый клапан или нет.
При подтверждении присутствия открытого овального окна процедура дает возможность определить его диаметр.
Помимо этого, посредством трансторакальной электрографии легко получить графическое изображение движения клапанных створок во времени и исключить либо подтвердить наличие дефекта межпредсердной перегородки.
Доплер-ЭхоКГ – это еще более точная процедура, выдающая информацию не только в графическом, но и цветовом режиме. Исследование позволяет уточнить размеры отверстия в сердце и выявить скорость турбулентного потока крови в районе овального отверстия, понять приблизительный объем шунта.
Для выявления открытого окна нужна серьезная диагностика
Максимально емким, с точки зрения получения информации, и наиболее агрессивным диагностическим методом является зондирование сердца. Процедура производится непосредственно перед оперативным вмешательством в условиях специализированного кардиохирургического стационара. В случае с грудными детьми к зондированию прибегают крайне редко.
Вероятные осложнения
Присутствие открытого окна в сердце может привести к ряду разноплановых осложнений. По мере взросления малыша начинает расти и его сердечная мышца. Проблема заключается в том, что клапан в данном случае остается прежних размеров. При усиленном кровотоке в разъеме овального окна и свободном проникании крови из одного предсердия в другое на них существенно увеличивается нагрузка.
Особенно внимательными и бдительными родителям нужно быть в том случае, если незакрытое окно в сердце у ребенка диагностировано на фоне иных сердечных проблем, увеличивающих давление в правом предсердии. Последствие может оказаться не самым приятным – подобные патологии повышают риск дополнительного открытия сердечного клапана по направлению левого предсердия.
Важно! Иногда такая патология, как открытое овальное окно в сердце у ребенка, может оказаться даже полезной для здоровья. Так, при легочной гипертензии перемещение крови в другое предсердие снижает давление и тем самым оказывает положительное влияние на состояние здоровья в целом.
Мнение доктора Комаровского
Известный российский детский врач и телеведущий, доктор Евгений Комаровский, соглашается с тем фактом, что отверстие в сердце есть практически у каждого младенца.
Его полное закрытие в процессе первого вздоха происходит у совсем небольшого процента малышей. В большинстве случаев на это требуется время. В половине случаев окно полностью зарастает до двух лет.
Ближе к пятилетнему возрасту детей аномалия преимущественно самостоятельно исчезает, не причиняя ребенку никакого вреда.
У деток младше года отверстие встречается чаще, поскольку их легкие пока еще работают не в полном объеме. По мере того, как они будут раскрываться, давление внутри правого предсердия будет постепенно снижаться. В результате из-за разницы давлений клапан прижмется к стенке и начнет зарастать.
Доктор Комаровский особенно выделяет тот факт, что отверстие в сердечной перегородке неопасно для жизни и здоровья. Данная аномалия представляет собой одну из особенностей развития и в большинстве случаев протекает без симптомов, закрывается без помощи медиков.
При подозрении на проблему с визитом к врачу тянуть не стоит
Если у ребенка диагностировано данное заболевание, родителям не стоит паниковать. Риск того, что проблема перерастет в серьезную патологию, чрезвычайно мал.
Тем не менее, до момента, пока ни произойдет зарастание клапана соединительной тканью, периодически необходимо обследовать малыша.
Это позволит удержать ситуацию под контролем и своевременно принять необходимые меры, если вдруг что-то пойдет не так.
Видео
Открытое овальное окно: у детей, взрослых, размер, норма, необходимость лечения
Обновление: Январь 2020
С тех пор как методы диагностики в виде ультразвукового исследования стали доступны для общего пользования, в медицине появились интересные находки. А именно: различные малые аномалии, которые раньше не диагностировались, и о них даже не подозревали. Одной из таких находок является открытое овальное окно.
Когда открытое овальное окно физиологическая норма?
Овальное окно является отверстием между правым и левым предсердием. Открыто оно только во время внутриутробной жизни ребенка. Кислород к плоду поступает через пуповину, легкие не функционируют и много питающей крови не требуют.
Поэтому, пока малый круг кровообращения закрыт, часть крови сбрасывается из правого предсердия в левое через овальное окно. Окно прикрыто клапаном, который функционирует как дверь на пружине: открывается только в сторону левого предсердия.
Но все меняется с рождением ребенка. После первого вдоха легкие у новорожденного очищаются от внутриутробной жидкости, наполняются воздухом, и в них поступает кровь по малому кругу кровообращения.
С этой минуты работа овального окна закончена. В левом предсердии увеличивается давление, которое плотно прижимает клапан овального окна к межпредсердной перегородке.
Это не дает дверце клапана лишний раз открываться и создает условия для ее зарастания.
Размеры и нормы
Закрытие овального окна в норме происходит в сроки от 3 месяцев до 2 лет. Но и в 5 лет такая находка считается нормальной.Согласно статистике 50% здоровых детей в 5 лет и 10–25% взрослых имеют такую особенность. Отдельно стоит отметить, что пороком она не является. Врачи называют ее МАРС – малая аномалия развития сердца. Она отличает строение сердца от анатомической нормы, но непосредственной угрозы здоровью не несет.
В 1930 году T. Thompson и W. Evans исследовали 1100 сердец, результаты были следующими: у 35% обследованных было открыто овальное окно, у 6% из них — 7 мм диаметр (половина из них дети до 6 месяцев). У взрослых ООО большого диаметра встречалось в 3% случаев.
Размеры окна могут быть разными: от 3 мм до 19 мм (чаще до 4,5 мм). В первую очередь они зависят от возраста пациента и величины его сердца. Показание к оперативному лечению зависит не от размеров окна, а от того, насколько оно прикрыто клапаном и степени компенсации.
Когда открытое овальное окно становится патологией?
Само по себе наличие овального окна не является проблемой. Ведь нарушений кровообращения оно не вызывает, а функционирует только при сильном кашле, тяжелой физической нагрузке.
Проблемы возникают в следующих случаях:
- когда сердце ребенка с возрастом увеличивается, а клапан не растет. Тогда овальное окно не прикрывается так плотно, как должно. В результате кровь может проникать из предсердия в предсердие, увеличивая на них нагрузку.
- появление заболеваний или состояний, которые увеличивают давление в правом предсердии, следовательно, приводят к приоткрытию дверцы клапана в сторону левого предсердия. Это хронические болезни легких, заболевания вен нижних конечностей, сочетанная патология сердца, а также беременность и роды.
В этих случаях необходим постоянный контроль и наблюдение врача, чтобы не пропустить момент перехода из компенсированного состояния в декомпенсированное.
Интересно, что иногда такая особенность способна облегчить состояние человека и даже продлить ему жизнь. Речь идет о первичной легочной гипертензии, когда кровь в легочных сосудах находится под давлением.
Это проявляется одышкой, хроническим кашлем, слабостью, обмороками.
Благодаря открытому овальному окну часть крови из малого круга кровообращения сбрасывается в левое предсердие, разгружая сосуды легких и уменьшая симптомы.
Причины незакрытия овального окна сердца
На этот счет существует не одна теория и предположение. Но достоверных пока нет. В том случае, если клапан не срастается с окружностью овального окна, говорят об особенности организма. Это подтверждает количество случайных находок во время эхокардиографии.
Бывает, что клапан изначально маленький и не способен полностью закрыть окно. Причиной такого недоразвития может стать любой фактор, влияющий на формирование органов плода:
- курение и принятие алкоголя матерью
- работа с вредными и токсическими веществами
- экология, стрессы.
Поэтому открытое овальное окно у детей часто сочетается с недоношенностью, незрелостью и другими патологиями внутриутробного развития.
Признаки
Как уже было сказано, клиника при данной патологии отсутствует, а сама аномалия выявляется случайным образом. Осложнений и последствий обычно не бывает.
Сочетание открытого овального окна с прочими заболеваниями. Симптоматика появляется при нарушениях гемодинамики (правильного потока крови по камерам сердца). Это случается, когда имеются сочетанные пороки сердца, к примеру:
- открытый артериальный проток;
- пороки митрального или трехстворчатого клапанов.
Камеры сердца перегружаются, межпредсердная перегородка растягивается, и клапан не может выполнять свои функции. Появляется право-левое шунтирование.
Симптомы у детей
- Это может проявляться частыми заболеваниями легких и бронхов.
- В период нагрузки (плач, кашель, физические нагрузки, приступы бронхиальной астмы) область носогубного треугольника становится цианотичной, синеют губы.
- Ребенок несколько отстает в физическом развитии, росте. Занятия физкультурой вызывают усталость и неадекватную нагрузкам одышку.
- Появляются спонтанные, ничем необъяснимые обмороки. Особенно это касается молодых людей с заболеваниями вен нижних конечностей.
Симптомы у взрослых
- С возрастом при исследовании обнаруживаются признаки гипертензии легких, перегрузка правых отделов сердца.
- Это, в свою очередь, приводит к изменениям на ЭКГ: нарушению проводимости по правой ножке пучка Гиса, признакам увеличения правых отделов сердца.
- Открытое овальное окно у взрослого, согласно статистике, увеличивает частоту встречаемости мигрени.
- Данные о возможном развитии инсульта или инфаркта появились давно. Случай, когда тромб, кусочек опухоли или инородное тело проникают из венозной системы в артериальную и закупоривают там сосуд, называют парадоксальной эмболией. Попадая в сосуды сердца, она вызывает инфаркт миокарда. В сосуды почки – инфаркт почки. В сосуды мозга – ишемический инсульт или транзиторную ишемическую атаку.
- Также у взрослых может появиться такой парадоксальный синдром, как platypnea-orthodeoxia. У человека появляется одышка при подъеме с кровати, и пропадает, при повторном принятии положения лежа.
Как определить открытое овальное окно?
Осмотр
Обычно внешний осмотр пациента не несет никаких данных за врожденную аномалию. Овальное открытое окно в сердце у ребенка иногда можно заподозрить в роддоме, когда появляется диффузный цианоз всего кожного покрова. Но этот признак нужно дифференцировать с другими патологиями.
ЭхоКГ
Чаще всего открытое окно между предсердиями находят при проведении УЗИ сердца. Лучше эхокардиографию проводить с допплером. Но при малых размерах окна эти методики не смогут определить аномалию.
Поэтому «золотым стандартом» обнаружения ООО является чрезпищеводная эхокардиография. Она позволяет увидеть само окно, закрывающую его створку, оценить объем шунтирующейся крови, а также провести дифференциальную диагностику с дефектом межпредсердной перегородки – настоящим пороком сердца.
Как инвазивный метод также весьма информативна ангиокардиография. Последние два метода используются только в специализированных кардиологических клиниках.
Водолазы и открытое овальное окно
При наличии подобной аномалии сердца заниматься некоторыми видами работы становится опасно для жизни. В частности, профессия водолаза, дайвера опасна тем, что при быстром опускании на глубину газы, растворенные в крови, превращаются в пузырьки. Они способны проникнуть через право-левый шунт овального окна в артерии и вызвать эмболию, что может привести к смерти.
По аналогичной причине лица с открытым овальным окном не допускаются к профессиональной деятельности, связанной с перегрузками. Это пилоты, космонавты, машинисты, диспетчеры, водители, операторы, аквалангисты, экипаж подводных лодок, кессонные рабочие. Также опасно заниматься любительским дайвингом.
Армия и овальное окно
Наличие открытого овального окна ограничивает призыв в армию. Как уже было сказано, нагрузки усиливают право-левый шунт, а вместе с ним и вероятность несчастного случая вследствие эмболии.
Во время службы солдату предстоит совершать марш-броски, стрельбу, строевую подготовку. Воинская медицинская экспертиза считает таких призывников «группой риска» и считает целесообразным проводить углубленный осмотр таких молодых людей. После подтверждения диагноза, призывник определяется к категории «В» с ограничением годности к военной службе.
Лечение
В настоящее время тактика лечения основывается на наличии или отсутствии симптоматики.
Лечение ООО при отсутствии симптомов
Терапия не требуется. Достаточно наблюдения педиатром, терапевтом и кардиологом с оценкой динамики состояния овального окна по УЗИ.
Лицам без выраженной симптоматики, но с риском развития ишемической атаки, инсульта, инфаркта, с заболеванием вен нижних конечностей, рекомендуется принимать курсами препараты, разжижающие кровь (аспирин, варфарин, клопидогрель).
Лечение ООО при наличии симптомов
Лечение оперативное, направлено на закрытие дефекта окклюдирующим устройством. Применяется при выраженном сбросе крови справа-налево, при высоком риске парадоксальной эмболии, а также в качестве профилактики при открытом овальном окне у водолазов.
Окклюдирующее устройство крепится на катетер и через бедренную вену его вводят в полость сердца. Операция проходит под визуальным рентгенконтролем. После того, как катетер вводит окклюдер в овальное окно, оно раскрывается как зонтик и плотно закрывает отверстие. Метод позволяет улучшить качество жизни таких больных.
В качестве альтернативы окклюдерам ученые королевской больницы Бронтона из Лондона предложили использовать специальный рассасывающийся пластырь. Его крепят на овальное окно, а пластырь стимулирует естественное заживление дефицита тканей в течение месяца. Затем пластырь рассасывается. Этот метод позволяет избежать такого побочного эффекта, как воспаление тканей вокруг окклюдера.
Селезнева Валентина Анатольевна врач-терапевт
Открытое овальное окно в сердце ???? у ребенка: что это такое, когда оно должно закрыться у грудничка?
Если малыш здоров и весел, он играет, хорошо кушает и растет. Наступает время планового посещения педиатра, и вдруг диагноз – открытое овальное окно. Сначала паника и переживания, потом понимание того, что это не самая страшная болезнь – с ней можно жить полноценной жизнью, но с небольшими ограничениями.
Иногда мама узнает об открытом овальном “окошке” своего малыша, пока он еще младенец. Важно понять, что это не приговор, а особенность строения органа, в определенных случаях требующая лечения. Малышу нужно помочь принять свое состояние и особенность и стараться не оказывать на него лишнего давления.
Открытое овальное окно не считается пороком сердца и с ним можно жить
Что такое открытое овальное окно в сердце?
В утробе матери плод растет и развивается. С сердцем происходят следующие перемены, оказывающие такое важное значение для его дальнейшего развития:
- Между левым и правым предсердием у еще не рожденного малыша есть небольшая “дырочка” – это вариант нормы. Когда размер ее недостаточный, или она отсутствует, возможна гибель малыша до его рождения.
- Со стороны левого предсердия формируется клапан.
- В момент рождения клапан закрывается создавшимся давлением от первого крика младенца.
- Клапан прирастает к стенке межпредсердной перегородки, изолируя правое предсердие от левого.
Иногда клапан не успевает сформироваться, и его размер слишком мал для изоляции правого и левого предсердия – открытое овальное окно в сердце не зарастает. И теперь при работе сердца кровь будет перетекать из одного предсердия в другое. Такому новорожденному ставится диагноз “малая аномалия развития сердца” (МАРС).
ЧИТАЕМ ТАКЖЕ: кардиопатия у детей – что это такое?
Открытое овальное окно – это не порок, не нужно чрезмерно оберегать ребенка и лишать его возможности познавать мир. Если отверстие не закрылось сразу, не нужно переживать и ограничивать малыша – возможно, оно закроется позже.
Нормы размеров ООО у новорожденных
Существуют общие нормативные показатели размеров открытого овального окна. Важно понимать, что наличие патологии может определить только врач после комплексного обследования. Основные показатели нормы:
- при диагностике с помощью УЗИ размер отверстия между левым и правым предсердием – до 2 мм;
- при контрастной эхокардиографии – при данном методе УЗИ во время внутривенного введения взболтанного физраствора не должно происходить попадание микроскопических пузырьков в левое предсердие из правого;
- при эхокардиографии через пищевод размер щели между двумя предсердиями – до 2 мм;
- при рентгенографии грудной клетки – отсутствие расширений тени сердца с правой стороны.
Эти показатели субъективны, каждый организм индивидуален, и поставить диагноз или говорить о вероятности оперативного вмешательства можно только после тщательного обследования.
В каком возрасте овальное окно должно полностью закрыться?
У половины новорожденных детей овальное окно в сердце закрывается в первый год жизни, обычно – не ранее 3 месяцев после рождения, реже процесс растягивается до 5 лет. Бывают случаи, когда закрытое овальное окно открывается под воздействием негативных факторов в более взрослом возрасте. Многие дети при открытом овальном окне чувствуют себя комфортно и ведут активную жизнь.
В 1930 г. проведено исследование, в ходе которого изучили деятельность тысячи детских сердец, из них у 350 было обнаружено открытое овальное окно. По результатам недавнего исследования это число уже увеличилось на 40%, чему способствует и плохая экология.
Когда это можно считать патологией?
Есть существенная разница между особенностью строения сердца и его патологией. Заслуживает особого внимания и тщательного медицинского наблюдения ребенок, размер окна сердца которого составляет более 2 мм.
Аномалия может долгие годы себя не проявлять, а может диагностироваться в младенческом возрасте
Что считается патологией? Перечень характерных симптомов у детей от 0 до 7 лет:
- шумы в сердце;
- частое прерывистое дыхание;
- учащенное сердцебиение;
- инертность и вялость малыша, слабость и быстрая утомляемость;
- замедленность развития;
- сильные головные боли, головокружение;
- обмороки, особенно при недостатке кислорода;
- одышка при физических нагрузках;
- посинение кожи на лице в области носогубного треугольника.
Причины несвоевременного закрытия овального окна
Основной фактор, оказывающий влияние на возникновение патологии сердца в виде открытой щели между правым и левым предсердием – особенности внутриутробного развития. Врачи не просто так говорят о вреде алкоголя во время беременности, а пачки сигарет пестрят соответствующими предупреждениями.
Причины несвоевременного закрытия овального окна:
- Злоупотребление беременной женщиной алкоголем и сигаретами.
- Взаимодействие с ядовитыми, вредными веществами.
- Плохая экология.
- Переживания и стрессы будущей матери.
- Негативное воздействие медицинских препаратов во время внутриутробного развития.
- Наследственность, генетическая предрасположенность. Открытое овальное окно в сердце у ребенка не соответствует размеру клапана. Малыш будет расти, а несоответствие в сердце – увеличиваться.
- Новорожденный появился на свет недоношенным (раньше срока). Открытое овальное окно у новорожденных – норма, но если малыш родился не вовремя, то орган еще не сформировался, и существует риск несоответствия отверстия в сердце нормативному показателю в 2 мм.
- Сильный кашель, вызванный заболеваниями дыхательных путей и легких. От кашля и давления щель не закрывается, а может увеличиться в размере.
- Активные физические нагрузки. Увеличивая нагрузку на сердце, особенно если ей предшествовали перенесенные недавно заболевания, повышается вброс крови из одного предсердия в другое. При нагрузке давление увеличивается, и щель между левым и правым предсердием разрастается.
- Иные сердечные заболевания (например, открытый артериальный проток, пороки митрального или трехстворчатого клапанов).
- Непропорциональный рост ребенка и клапана его сердца, отчего “дырка” между левым и правым предсердием увеличивается.
Открытое овальное окно в сердце практически всегда диагностируется у недоношенных новорожденныхЧИТАЕМ ТАКЖЕ: формы и виды ДМЖП у новорожденного
Чем опасна патология?
Опасность развития патологии для грудничка невелика – осложнения в деятельности сердца обычно проявляются либо внутриутробно или непосредственно после рождения. В младшем возрасте диагностировать осложнения врачи не торопятся – индивидуальные особенности такого сложного органа позволяют ждать до наступления 5 лет, прежде чем всерьез начинать беспокоиться.
“Дырочка” в сердце ребенка между обоими предсердиями вызывает гипертонию, если она большого размера, то возможны осложнения и нарушения в деятельности детского организма:
- Образование тромбов. Сгусток в полости сердца увеличивается и отрывается от стенок сосуда, что приводит к закупорке кровеносных сосудов.
- Нарушения кровообращения мозга. Провоцируются гипертонией вследствие незакрытого овального окна.
- Инфаркт – последствие нарушения кровообращения, тромбоза и недостатка кислорода. Проявляется в омертвении органа.
- Инсульт – форма острого нарушения кровяных потоков мозга, более широкое понятие инфаркта.
У ребенка с аномалией сердца необходимо регулярно измерять артериальное давление
Особенности лечения и прогноз
При отсутствии патологии обычно нет необходимости в медикаментозном лечении – старайтесь не давать ребенку сильную физическую нагрузку, своевременно лечите ОРВИ и ОРЗ, при сопутствующих заболеваниях сердца обязательна терапия и наблюдение врача. Пока особенность организма малыша не признана патологией, необходимо снизить риск возникновения сопутствующих заболеваний и факторов, которые бы могли это спровоцировать.
Если размер овального окна у ребенка превышает 4 мм, это повод для тщательного исследования. В случаях, когда он более 9 мм, и выброс крови превышает норму, показана операция по эндоваскулярной методике, которая включает следующие этапы:
- через бедренную артерию вводится специальный катетер;
- осуществляя контроль с помощью УЗИ и ЭКГ, склеиваются створки, и дырочка овального окна закрывается специальным пластырем;
- катетер аккуратно выводят;
- оставшийся внутри пластырь скрепляет щель между клапаном и перегородкой;
- пластырь рассасывается;
- в течение 6 месяцев проводится противовирусное лечение – назначается курс антибиотиков.
Этот метод действенный и эффективный, он позволит ребенку вести полноценную активную жизнь. Особый уход необходим в течение первого месяца после процедуры.
Первые полгода после операции необходим физический покой, нужно исключить вероятность возникновения вирусных заболеваний, избегать посещения публичных мест.
Следует обеспечить маленькому пациенту психологическую поддержку и быть к нему внимательным, предотвращая стрессы и волнения.
Овальное окно (сердце)
Овальное окно — отверстие в межпредсердной перегородке, работающее по типу дверки, с помощью которого в фетальном периоде происходит сброс крови справа налево. Лёгкие еще не активны и не расправлены, их кровообращение минимально. Поэтому кровь в основном течет через овальное окно в левое предсердие и через артериальный проток из лёгочного ствола в аорту.
Овальное окно обычно физиологически закрывается в первые дни-недели после рождения. Впоследствии на месте овального окна определяется небольшое углубление, называемое «овальным углублением» лат. Fossa ovalis. Если закрытия овального окна не происходит, говорят о персистирующем, или просто открытом, овальном окне. Открытое овальное окно наблюдается у приблизительно 25 % взрослого населения. С помощью ультразвукового исследования определяется небольшой поток крови через это отверстие. В зависимости от размера окна и его гемодинамической значимости говорят о дефекте предсердной перегородки, имеющем значение в этиологии церебральных эмболий как правило, во взрослом возрасте.
1. Диагностика открытого овального окна
Как правило обычное УЗИ сердца не даёт четкого подтверждения о наличии открытого овального окна ООО. Для визуализации сброса крови слева направо или наоборот, необходимо провести УЗИ сердца с пузырьковым контрастированием англ. bubble test.
Для проведения теста не требуется особой подготовки пациента. В качестве расходного материала требуется комплект из периферического катетера диаметром 18G, трёхходового краника стоп-кок англ. stop-cock и двух перфузорных шприцев.
В локтевую вену пациента вводится катетер, к которому присоединяют трёхходовой краник. В один шприц набирают физраствор. Затем оба шприца присоединяют к кранику.
Пациент находится лежа на левом боку, эхокардиографист устанавливает ультразвуковой датчик трансторакальной эхокардиографии в области позиции верхушки сердца для лучшего выведения эхокартины в четырёхкамерной проекции.
Тест проводится в два этапа: «чистый» тест и тест во время пробы Вальсальвы.
1.1. Диагностика открытого овального окна «Чистый» тест
Установка периферического катетера d=18G в локтевую вену.
Переходник стоп-кок соединяется к катетеру.
Соединение 2 перфузорных шприцев к стоп-коку, один из которых наполнен физраствором.
По команде доктора образованную пузырьковую эмульсию с силой вводят в вену.
С помощью двух шприцев добиваются образования пузырьков.
Набрать 2 мл крови через шприц с физраствором.
При положительном тесте ООО на картинке будет наблюдаться сброс пузырьков из одного предсердия в другое.
1.2. Диагностика открытого овального окна Тест во время пробы Вальсальвы
Все этапы теста проводятся аналогично как при «чистом» тесте.
Перед вводом раствора в вену пациент делает глубокий вдох с кратковременным натуживанием и последующим выдохом.
- существуют разные значения: Анатомия: Овальное окно сердце — отверстие в межпредсердной перегородке Овальное окно ухо — отверстие в ушной улитке
- разветвляются. В анатомии — место соединения полых органов например овальное окно в сердце или артериовенозный свищ в хирургии — созданное путём операции
- поражает правую сторону сердца и открытого овального окна жизненно важно для возможности ребёнка дожить до выполнения операции на сердце так как без этих
- Наиболее часто опухоль прикрепляется в ямке овального окна межпредсердной перегородки. Симптомы миксомы сердца включают: одышку, возникающую при физической
- ёмких символа — глаз и сердце Первый из них типичен для текстов По, второй — для романтической традиции в целом. Рассказом Сердце — обличитель По начинает
- овального отверстия сердца у высших млекопитающих животных и человека — Доклады АН СССР 1943, т. LI, в.1, 45 — 48 Лёгкие и сердце животных и человека
- перегородки — находится в её центре, в области овальной ямки. Его надо отличать от открытого овального окна вскоре после рождения оно обычно закрывается
- арочное окно занимающее несколько этажей. По бокам оно фланкировано эркерами, а замковая часть декорирована чёрной женской маской. Центральное окно и крупные
- подписей под петицией о сносе сооружения её авторы сетуют на то, что в сердце города разместили огромный сарай, назвав это театром По данным движения
- расположенной под ним художественной композицией Всевидящее Око Господне овальная люкарна и луковичный купол на фонаре придают зданию облик XVIII века. Аплаксин
- данного метода исключают другую патологию сердца, могут выявить открытое овальное окно которое может влиять на выраженность гемодинамических расстройств и
- соединённая со слуховой косточкой — стремечком. Стремечко упирается в овальное окно ведущее в полость внутреннего уха, передавая ему колебания барабанной
- сердца крепится к стеблю на выступающем конце Обратнояйцевидный: в виде слезы, лист крепится к стеблю на выступающем конце Овальный лист овальный
- вторичной перегородки открытое овальное окно Характерна гипертрофия миокарда правого желудочка. 3. Трёхкамерное сердце — полное отсутствие межжелудочковой
- кремль — условное название архитектурного ансамбля, находящегося в самом сердце села Великого Гаврилов — Ямского района Ярославской области. Состоит из церкви
- посещают более ста тысяч человек в год. Овальный зал и вестибюль Композиционным центром дома являются вестибюль и овальный зал. Зал предназначался для приёмов
- Рождественского. Перевод К. Бальмонта: Его сердце — воздушная лютня, Прикоснись — и она зазвучит Перевод Норы Галь: Сердце его — как лютня, Чуть тронешь — и
- По и явно ему симпатичный, признаётся, что для него в сердце многих людей есть открытое окно а одно из любимых его занятий — подслушивание чужих
- прибегнуть к 25 — й поправке. Вице — президент Уорнер Бо Бриджес прибывает в Овальный кабинет, чтобы лично освободить ошеломлённую Кин от её обязанностей. Генерал
- собором 1990 года. Курганские храмы в перспективе времени — Галина Васильевна Максимова Храмы Кургана Горячее сердце Федора Чемагина — Курган и Курганцы
- 290 с. Архивная копия от 18 июня 2018 на Wayback Machine Бродский Б. И. Сердце Родины — Кремль — Москва: Изобразительное искусство, 1996 — 152 с — ISBN
- Vilnius: Vyriausioji enciklopedijų redakcija, 1988. P. 542 лит. В самом сердце Старого города новая обзорная площадка неопр. недоступная ссылка
- соответственно сочленовной и квадратной костей Основание стремечка заходит в овальное окно закрытое мембраной от него начинается внутреннее ухо. Эти косточки
- Гостиного двора и Пассажа, по соседству с несколькими банками, то есть в сердце торговли и культуры. Выбранный участок был застроен периметрально. Здесь
- имела свой типографский знак — прописные буквы Т. М. У. заключённые в овальную рамку. Знак ставился на обороте титульного листа. При типографии находилась
- исключением вторичного дефекта межпредсердной перегородки и открытого овального окна Протез клапана или имплантированный протез сосуда кондуит Предшествующий
- М.: Жираф, 2005 — 535 с — 2500 экз — ISBN 5 — 89832 — 043 — 1. Романюк С. Сердце Москвы: от Кремля до Белого города — М.: Центрполиграф, 2013 — 908 с.
- помощи отверстий, снабжённых клапанами. Сердце заключено в околосердечную сумку — перикард. Мышечная ткань сердца миокард имеет особое строение и представляет
- её гении, сбрасывающие вниз цветы. Овальный мраморный зал с богато украшенным золотом куполом и потолочным окном на его вершине является парадным залом
- где он и был в дальнейшем погребён. Однако сердце одного из его потомков, короля Ричарда Львиное Сердце было захоронено в эффигии, расположенной в деамбулатории
Овальное окно сердце: овальное окно в сердце у ребенка комаровский, открытое овальное окно — — это порок сердца, овальное окно в сердце у взрослых, открытое овальное окно в сердце у ребенка 10 лет, что способствует закрытию овального окна, функционирующее овальное окно у грудничка, открытое овальное окно и спорт, открытое овальное окно форум
Овальное окно в сердце у взрослых.
Лечение открытого овального окна в сердце в Израиле. Открытое овальное окно в сердце. Сегодня сделали УЗИ сердца. Вот такой диагноз нам поставлен Узиолог сказал не паниковать, сказал. Овальное окно в сердце у ребенка комаровский. Малые аномалии развития сердца УЛЬТРАЗВУКОВАЯ. Открытое овально окно малая аномалия развития сердца здоровое сердце! Теперь подробнее: Открытое овальное окно ООО –.
Функционирующее овальное окно у грудничка.
Открытое овальное окно и риск ДКБ Дайвинг без границ. Это обширная группа врожденных патологий сердца и его сосудов, Освидетельствование призывников с открытым овальным окном. Что способствует закрытию овального окна. Открытое овальное окно лечение системой Amplatzer. В сердце имеется некий клапан, который закрывает это отверстие во Само по себе открытое овальное окно большой опасности не. Открытое овальное окно — — это порок сердца. Открытое овальное окно в сердце: провоцирующие факторы. Что врачи называют три О открытое овальное окно. Но врач сказала, что это особенность строения сердца, так бывает,.
Открытое овальное окно форум.
Открытое овальное окно и армия, берут ли в армию с открытым. При антенатальном закрытии овального окна развивается периоде в норме через овальное окно венозная кровь поступает в сердце, проходя из. Закрытие открытого овального окна и дефектов. Открытое овальное окно в сердце. Обсуждение темы на форуме Детское здоровье E1.ru.
Не закрылось овальное окно в сердце Форум. Спортивное.
В нормальных условиях овальное окно обычно закрывается в период от 2 до путем проникновения к сердцу через сосуды специальным устройством. Чем опасно открытое овальное окно? Новости Волгограда и. Причины открытого овального окна. Все дети рождаются с открытым овальным окном сердца. После первого самостоятельного вдоха у. Дефект межпредсердной перегородки и открытое овальное окно. Причины открытого овального окна в сердце у новорожденных и взрослых. Причины, по которым овальное окно закрывается не полностью, до сих пор не. Открытое овальное окно в сердце. Пролапс митрального клапана, открытое овальное окно, двустворчатый Если более II ой, пролапс может нарушать работу сердца и потребовать.
Вопросы кардиологу Пролапс митрального клапана.
Внуку в один месяц при УЗИ сердца поставили диагноз открытое овальное окно. Не первый раз слышу, что у грудных детей. Чем опасно открытое овальное окно у ребёнка? Дэйли Бэби. В процессе обследования в Боткинской больнице было сделано ЭхоКГ сердца, которое показало наличие овального окна 3мм, которое. Открытое овальное окно у детей Амурская государственная. А.: Функционирующее овальное окно представляет собой отверстие в перегородке, которое отделяет две верхние камеры сердца.
Овальное окно Электронная библиотека ДВГМУ.
С новорожденным ребенком находились на обследовании ОПНиНД №1, на УЗИ сердца обнаружено небольшое функционирующее овальное окно,. Открытое овальное окно пролапс митрального клапана. Алгоритмы ведения пациентов со структурными аномалиями сердца в Шестаков В.В. Открытое овальное окно и эмболический криптогенный инсульт. Открытое овальное окно у детей раннего возраста – тема. Дефекты межпредсердной перегородки являются одними из наиболее распространенных форм врожденных аномалий сердца. Мно енные публикации. Открытое овальное окно в перегородке между предсердиями. Открытое овальное окно относится к малым аномалиям развития сердца, поэтому может рассматриваться как врожденная, так и приобретенная.
Открытое овальное окно.
С первым вдохом при рождении малыша давление в левых отделах сердца превышает давление в правых и клапан овального окна. Малые аномалии развития сердца и открытое овальное окно. Открытое овальное окно в сердце у новорожденного – вариант нормы. Для чего оно нужно? Кровообращение у плода запускается к. Открытое овальное окно в сердце в Израиле $ цены 2020. Овальным окном называют отверстие в перегородке, изолирующей правое с другими врожденными пороками сердца, незаращение овального окна.
Шумы в сердце у детей. Автор статьи: детский кардиолог.
Т.д. в сосуды мозга через отверстие в межпредсердной перегородке в сердце. Первый этап диагностики открытого овального окна обычно из большого круга кровообращения через открытое овальное окно,. Открытое овальное окно: симптомы, причины, диагностика и. Современный взгляд на диагностику и лечение открытого овального окна доступным языком. В каких случаях может потребоваться. Лечение дефекта межпредсердной перегородки ДМПП в. Открытое овальное окно это врожденный порок сердца, который характеризуется наличием отверстие овальной формы между левым и правым.
Окно в сердце – ВСП.RU Восточно Сибирская правда.
Бакулева, врожденный порок сердца. Может принимать различные формы и степени тяжести. Нам важно лишь понять, откуда оно. Открытое овальное окно: что нужно знать родителям Летидор. ВРОЖДЕННЫЕ ПОРОКИ СЕРДЦА У ВЗРОСЛЫХ тие овального окна ведет к гибели плода. ния овальное окно закрывается на 1–2 м. Антенатальный диагноз преждевременного закрытия овального. Одиннадцатилетней Александрой. У обоих малышей проблемы с сердцем. Но у Владика – открытое овальное окно, которое еще.
На вопросы отвечает Пнджоян А.А., кардиохирург по Вимед.
Методы лечения пациентов с открытым овальным окном. В норме, овальное окно, отверстие между предсердиями, закрывается после рождения. Однако. Открытое овальное окно в сердце у ноаорожденного. Открытое овальное окно ООО – это отверстие между предсердиями в сердце человека с наличием клапана, через которое кровь может поступать из. Овальное окно или сердечный сквозняк. Чтобы сердце ребенка было здоровым, необходимо вовремя и Овальное окно является нормальным элементом структуры сердца новорожденного.
Открытое овальное окно в сердце диагноз у ребенка, у.
Открытое овальное окно малая аномалия развития сердца. В норме закрытие овального окна пр. Открытое овальное окно в сердце: норма или патология. У плода, как мы говорили выше, это отверстие открытое овальное окно не что с сердцем что то не то, но и спокойно может дожить до глубокой. Сигнал тревоги. Двухлетнюю Злату Сондык спасет операция на. В редких случаях открытое овальное окно может сохраняться в течение всей жизни, обычно не влияет на работу сердца и крайне редко нуждается в. Контрастная транскраниальная допплерография в режиме. Овальное окно Шумы в сердце у новорожденного, ребенка до года: что это значит, причины возникновения Открытое овальное окно.
Открытое овальное окно Яндекс.
В клинической оценке открытого овального окна имеет значение возрастной фактор. У новорожденных детей открытое овальное окно может. Открытое овальное окно у ребенка, новорожденных, взрослого. Открытое овальное окно и дефект межпредсердной перегородки являются врождёнными пороками сердца. Оба эти дефекта затрагивают. Эндоваскулярная операция закрытие ДМПП окклюдером. Чем опасно ООО? Окно между предсердиями. Как известно, сердце состоит из четырех камер двух предсердий левого и правого и двух желудочков.
овальное окно в сердце у взрослых, открытое овальное окно в сердце у ребенка 10 лет, что способствует закрытию овального окна, функционирующее овальное окно у грудничка, открытое овальное окно форум, открытое овальное окно и спорт, открытое овальное окно — — это порок сердца, овальное окно в сердце у ребенка комаровский, открытое овальное окно в сердце у ребенка лет
Дата публикации:
05-16-2020
Дата последнего обновления:
05-16-2020 Аудиосистема: структура и функции (Раздел 2, Глава 12) Нейронаука в Интернете: Электронный учебник для нейронаук | Кафедра нейробиологии и анатомии
12.1 Волосковая клетка позвоночных: механорецепторный механизм, концевые звенья, K + и Ca 2+ каналов
Рисунок 12.1. |
Ключевой структурой слуховой и вестибулярной систем позвоночных является волосковая клетка .Волосковая клетка впервые появилась у рыб как часть длинного тонкого массива, расположенного по бокам тела, улавливающего движения в воде. У высших позвоночных внутренняя жидкость внутреннего уха (а не внешняя жидкость, как у рыб) омывает волосковые клетки, но эти клетки по-прежнему ощущают движения в окружающей жидкости. Несколько специализаций делают клетки человеческого волоса чувствительными к различным формам механической стимуляции. Волосковые клетки кортиевого органа улитки уха реагируют на звук. Волосковые клетки в ампульных кристах полукружных протоков реагируют на угловое ускорение (вращение головы).Волосковые клетки в пятнах мешочка и матрикса реагируют на линейное ускорение (гравитацию). (См. Главу Вестибулярная система: структура и функции). Жидкость, окружающая волосковые клетки, называемая эндолимфа , богата калием. Этот активно поддерживаемый ионный дисбаланс обеспечивает запас энергии, который используется для запуска нейронных потенциалов действия при перемещении волосковых клеток. Плотные соединения между волосковыми клетками и соседними опорными клетками образуют барьер между эндолимфой и перилимфой, который поддерживает ионный дисбаланс.
Рисунок 12.1 иллюстрирует процесс механической трансдукции на концах волосковой клетки ресничек . Реснички выходят из апикальной поверхности волосковых клеток. Эти реснички увеличиваются в длину вдоль последовательной оси. Есть крошечные нитевидные соединения от кончика каждой реснички к неспецифическому катионному каналу на стороне более высокой соседней реснички. Концевые звенья функционируют как веревка, соединенная с откидным люком. Когда реснички изгибаются в сторону самой высокой, каналы открываются, как люк.Открытие этих каналов позволяет притоку калия, который, в свою очередь, открывает кальциевые каналы, которые инициируют рецепторный потенциал. Этот механизм преобразует механическую энергию в нервные импульсы. Входящий внутрь ток K + деполяризует клетку и открывает зависимые от напряжения кальциевые каналы. Это, в свою очередь, вызывает высвобождение нейротрансмиттера на базальном конце волосковой клетки, вызывая потенциал действия в дендритах VIII черепного нерва.
Нажмите кнопку воспроизведения, чтобы увидеть механическое преобразование в электрическое.Волосковые клетки обычно имеют небольшой приток K + в состоянии покоя, поэтому в афферентных нейронах имеется некоторая базовая активность. Изгиб ресничек к самой высокой открывает калиевые каналы и увеличивает афферентную активность. Изгиб ресничек в обратном направлении закрывает каналы и снижает афферентную активность. Сгибание ресничек в сторону не влияет на спонтанную нервную активность.
12.2 Звук: интенсивность, частота, механизмы внешнего и среднего уха, согласование импеданса по площади и соотношению рычагов
Слуховая система преобразует широкий диапазон слабых механических сигналов в сложную серию электрических сигналов в центральной нервной системе. Звук — это серия изменений давления в воздухе. Звуки часто меняются по частоте и интенсивности со временем. Люди могут улавливать звуки, которые вызывают движения лишь немного сильнее, чем у броуновского движения. Очевидно, если бы мы услышали это непрерывное (кроме абсолютного нуля) движение молекул воздуха, у нас не было бы тишины.
Рис. 12.2 |
На рисунке 12.2 изображены эти чередующиеся волны сжатия и разрежения (давления), падающие на ухо. Ушная раковина и наружный слуховой проход собирают эти волны, слегка изменяют их и направляют к барабанной перепонке. Возникающие в результате движения барабанной перепонки передаются через три косточек среднего уха (молоток, наковальня и стремечко) в жидкость внутреннего уха. Подошва стремени плотно прилегает к овальному окну костной улитки.Внутреннее ухо наполнено жидкостью. Поскольку жидкость несжимаема, по мере того, как стремечка движется внутрь и наружу, необходимо компенсирующее движение в противоположном направлении. Обратите внимание, что мембрана круглого окна, расположенная под овальным окном, движется в противоположном направлении.
Поскольку барабанная перепонка имеет большую площадь, чем подошва стремени, происходит гидравлическое усиление звукового давления. Кроме того, поскольку плечо молоточка, к которому прикреплена барабанная перепонка, длиннее, чем плечо наковальни, к которому прикреплены стремени, происходит небольшое усиление звукового давления за счет действия рычага.Эти два механизма согласования импеданса эффективно передают звук, передаваемый из воздуха, в жидкость внутреннего уха. Если бы аппарат для среднего уха ( барабанная перепонка, и косточки) отсутствовал, то звук, достигающий овального и круглого окон, был бы в значительной степени отражен.
12.3 Улитка: три лестницы, базилярная мембрана, движение волосковых клеток
Рисунок 12.3 |
Улитка представляет собой длинную спиральную трубку с тремя каналами, разделенными двумя тонкими мембранами. Верхняя трубка — это вестибульная лестница, которая соединяется с овальным окном. Нижняя трубка — это scala tympani , которая соединена с круглым окном. Средняя трубка — это scala media, в которой находится орган Corti . Кортиев орган расположен на базилярной мембране, которая образует разделение между средней лестницей и барабанной перепонкой.
На рис. 12.3 показано поперечное сечение улитки. Три лестницы (вестибульные, средние, барабанные) разрезаются в нескольких местах по спирали вокруг центрального ядра. У человека улитка делает 2-1 / 2 оборота (отсюда 5 разрезов в поперечном сечении по средней линии). Плотно закрученная форма дала название улитке, что по-гречески означает улитка (как в раковине). Как объясняется в Tonotopic Organization, высокочастотные звуки стимулируют основание улитки, тогда как низкочастотные звуки стимулируют верхушку.Эта особенность изображена на анимации рисунка 12.3 с нервными импульсами (имеющими цвет от красного до синего, представляющими низкие и высокие частоты соответственно), исходящими из разных витков улитки. Активность на рисунке 12.3 будет генерироваться белым шумом, у которого все частоты имеют равные амплитуды. Движущиеся точки предназначены для обозначения афферентных потенциалов действия. Низкие частоты передаются на вершине улитки и представлены красными точками. Высокие частоты передаются в основании улитки и представлены синими точками.Следствием такого расположения является то, что низкие частоты находятся в центральном ядре улиткового нерва, а высокие — снаружи.
Рисунок 12.4 |
На рисунке 12.4 показано одно поперечное сечение улитки. Звуковые волны заставляют овальные и круглые окна в основании улитки двигаться в противоположных направлениях (см. Рисунок 12.2). Это вызывает смещение базилярной мембраны и запускает бегущую волну, которая распространяется от основания к вершине улитки (см. Рис. 12.7). Бегущая волна увеличивается по амплитуде по мере движения и достигает пика в месте, которое напрямую связано с частотой звука. На рисунке показан участок улитки, который движется в ответ на звук.
Рисунок 12.5 иллюстрирует увеличенное изображение Кортиевского органа. Бегущая волна заставляет базилярную мембрану и, следовательно, Кортиев орган двигаться вверх и вниз.Орган Корти имеет центральную опору жесткости, образованную парными столбчатыми клетками. Клетки волос выступают из верхней части Кортиевского органа. Текториальная (кровельная) мембрана удерживается на месте шарнирным механизмом на стороне кортиевого органа и плавает над волосковыми клетками. Поскольку базилярная и текториальная мембраны перемещаются вверх и вниз вместе с бегущей волной, шарнирный механизм заставляет текториальную мембрану перемещаться латерально по волосковым клеткам. Это поперечное срезающее движение сгибает реснички на вершине волосковых клеток, натягивает тонкие звенья кончика и открывает каналы люка (см.рисунок 12.1). Приток калия, а затем кальция вызывает высвобождение нейротрансмиттера, который, в свою очередь, вызывает ВПСП, который инициирует потенциалы действия в афферентах VIII черепного нерва. Большинство афферентных дендритов устанавливают синаптические контакты с внутренними волосковыми клетками.
Рисунок 12.6 смотрит на Кортиев орган. Есть два типа волосковых клеток: внутренняя и внешняя . Есть один ряд внутренних волосковых клеток и три ряда внешних волосковых клеток.Большинство афферентных дендритов синапсов на внутренних волосковых клетках. Большинство эфферентных аксонов синапсы на наружных волосковых клетках. Наружные волосковые клетки активны. Они движутся в ответ на звук и усиливают бегущую волну. Наружные волосковые клетки также издают звуки, которые можно уловить в наружном слуховом проходе с помощью чувствительных микрофонов. Эти внутренние звуки, называемые отоакустической эмиссией , теперь используются для проверки новорожденных на предмет потери слуха. На рис. 12.6 показано полное иммунофлуоресцентное изображение улитки новорожденных мышей, показывающее три ряда наружных волосковых клеток и один ряд внутренних волосковых клеток.У зрелого человека улитка выглядела бы примерно так же. Наложенные схематически изображенные нейроны показывают типичный образец афферентных связей. Девяносто пять процентов афферентных синапсов VIII нерва находятся на внутренних волосковых клетках. Каждая внутренняя волосковая клетка устанавливает синаптические связи со многими афферентами. Каждый афферент соединяется только с одной внутренней волосковой клеткой. Около пяти процентов афферентных синапсов на внешних волосковых клетках. Эти афференты проходят значительное расстояние вдоль базилярной мембраны от своих ганглиозных клеток до синапсов на множестве внешних волосковых клеток.Менее одного процента (~ 0,5%) афферентных синапсов на множестве внутренних волосковых клеток. Микрофотография ниже любезно предоставлена доктором Дугласом Котанче из отделения отоларингологии детской больницы Бостона Гарвардской медицинской школы. Печатается с разрешения.
Рис. 12.6 |
12,4 Тонотопическая организация
Рисунок 12.7 |
Физические характеристики базилярной мембраны приводят к тому, что разные частоты достигают максимальных амплитуд в разных положениях. Как и на фортепиано, высокие частоты находятся на одном конце, а низкие — на другом. Высокие частоты передаются в основании улитки, а низкие частоты передаются в верхушке. На рисунке 12.7 показано, как улитка действует как частотный анализатор.Улитка кодирует высоту звука по месту максимальной вибрации. Обратите внимание на положение бегущей волны на разных частотах. (Осторожно! Сначала может показаться, что низкие частоты не связаны с базой.) Выберите другие частоты, поворачивая циферблат. Если на вашем компьютере включен звук, вы услышите выбранный вами звук. Потеря слуха на высоких частотах является обычным явлением. Средняя потеря слуха у американских мужчин составляет около одного цикла в секунду в день (начиная примерно с 20 лет, поэтому у 50-летнего, вероятно, будут проблемы со слухом на частотах выше 10 кГц).Если вы не слышите высокие частоты, это может быть связано с динамиками на вашем компьютере, но всегда стоит думать о сохранении слуха.
Слушая эти звуки, обратите внимание, что высокие частоты кажутся странно похожими. Подумайте о пациентах с кохлеарной имплантацией. Эти пациенты утратили функцию волосковых клеток. Их слуховой нерв стимулируется серией имплантированных электродов. Имплант может быть установлен только в основании улитки, потому что хирургически невозможно продеть тонкие проволоки более чем на 2/3 оборота.Таким образом, пациенты с кохлеарным имплантатом, вероятно, слышат что-то вроде высокочастотных звуков.
12.5 Диапазон звуков, на которые мы реагируем; Кривые нейронной настройки
На рисунке 12.8 показан диапазон частот и интенсивности звука, на который реагирует слуховая система человека. Наш абсолютный порог, минимальный уровень звука, который мы можем обнаружить, сильно зависит от частоты. На уровне боли уровень звука примерно на шесть порядков выше минимального слышимого порога. Уровень звукового давления (SPL) измеряется в децибелах (дБ). Децибелы — это логарифмическая шкала, где каждое увеличение на 6 дБ указывает на удвоение интенсивности. Воспринимаемая громкость звука зависит от его интенсивности. Звуковые частоты измеряются в Гц, (Гц) или циклах в секунду. Обычно мы слышим звуки от 20 Гц до 20 000 Гц. Частота звука связана с его высотой тона. Лучше всего слышать на частотах 3-4 кГц. Чувствительность слуха снижается на высоких и низких частотах, но в большей степени на высоких, чем на низких частотах.С возрастом обычно теряется высокочастотный слух.
Рисунок 12.8 |
Нейронный код в центральной слуховой системе сложен. Тонотопическая организация поддерживается всей слуховой системой. Тонотопическая организация означает, что клетки, реагирующие на разные частоты, находятся в разных местах на каждом уровне центральной слуховой системы, и что существует стандартное (логарифмическое) соотношение между этим положением и частотой.Каждая ячейка имеет характеристическую частоту (CF). CF — это частота, на которую ячейка максимально реагирует. Клетка обычно реагирует на другие частоты, но только с большей интенсивностью. Кривая нейронной настройки — это график амплитуды звуков на различных частотах, необходимых для того, чтобы вызвать реакцию центрального слухового нейрона. Кривые настройки для нескольких разных нейронов наложены на кривые слышимости на рисунке 12.8. Изображенные нейроны имеют CF, которые варьируются от низких до высоких частот (и показаны соответственно красным и синим цветами).Если бы мы записывали со всех слуховых нейронов, мы бы в основном заполняли область в пределах кривых слышимости. Когда звуки мягкие, они будут стимулировать только те несколько нейронов с этим МВ, и, таким образом, нервная активность будет ограничена одним набором волокон или клеток в одном конкретном месте. По мере того, как звуки становятся громче, они стимулируют другие нейроны, и область активности увеличивается.
Аспиранты Сара Баум, Хизер Тернер, Надика Диас, Дипна Таккар, Натали Сирисаенгтаксин и Джонатан Флинн из программы выпускников неврологии в UTHealth Houston дополнительно объясняют структуры, функции и пути слуховой системы в анимационном видео « The Journey of Sound «.
Проверьте свои знания
Передаются высокие частоты
А. на верхушке улитки
Б. у основания улитки
C. по всей улитке
Д. колебаниями стремени
E. у верхней височной извилины
Передаются высокие частоты
А.на верхушке улитки. Этот ответ НЕПРАВИЛЬНЫЙ.
Это может показаться «задом наперед», но хотя канал улитки, кажется, сужается к верхушке, базилярная мембрана на самом деле становится шире.
Б. у основания улитки
C. по всей улитке
Д. колебаниями стремени
E. у верхней височной извилины
Передаются высокие частоты
А.на верхушке улитки
B. у основания улитки. Ответ ПРАВИЛЬНЫЙ!
C. по всей улитке
Д. колебаниями стремени
E. у верхней височной извилины
Передаются высокие частоты
А. на верхушке улитки
Б. у основания улитки
С.по всей улитке. Этот ответ НЕПРАВИЛЬНЫЙ.
Высокие частоты не проходят далеко вдоль базилярной мембраны. (Кстати, низкие частоты проходят по всей длине улитки и, следовательно, причиняют наибольший ущерб, если они достаточно громкие.)
Д. колебаниями стремени
E. у верхней височной извилины
Передаются высокие частоты
А.на верхушке улитки
Б. у основания улитки
C. по всей улитке
D. по вибрации стремени. Ответ НЕПРАВИЛЬНЫЙ.
Звук передается в жидкость внутреннего уха посредством вибрации барабанной перепонки, молоточка, наковальни и стремени. Трансдукция, переход от механической энергии к нервным импульсам, происходит в волосковых клетках, в частности, через калиевые каналы на концах стереоцилий.
E. у верхней височной извилины
Передаются высокие частоты
А. на верхушке улитки
Б. у основания улитки
C. по всей улитке
Д. колебаниями стремени
E. у верхней височной извилины. Этот ответ НЕПРАВИЛЬНЫЙ.
Слуховые афференты в конечном итоге достигают первичной слуховой коры в извилине Гешеля внутри островковой коры, и эта область тонотопически организована.Стимуляция этой области приводит к сознательному осознанию звука, но переход от механических колебаний к нервной активности происходит во внутреннем ухе.
Происходит преобразование механических сигналов в нейронные
А. у основания наружных волосковых клеток
Б.на K + каналах в стереоцилиях
C. между овальным и круглым окнами
D. в вестибулярной лестнице
E. в барабанной лестнице
Происходит преобразование механических сигналов в нейронные
A. у основания наружных волосковых клеток. Этот ответ НЕПРАВИЛЬНЫЙ.
Трансдукция происходит как во внешних, так и во внутренних волосковых клетках.Большинство слуховых афферентов синапсов на внутренних волосковых клетках.
Б. на K + каналах в стереоцилиях
C. между овальным и круглым окнами
D. в вестибулярной лестнице
E. в барабанной лестнице
Происходит преобразование механических сигналов в нейронные
А. у основания наружных волосковых клеток
Б.на K + каналах в стереоцилиях. Ответ ПРАВИЛЬНЫЙ!
Движение ресничек открывает калиевые каналы. Приток калия вызывает последующий приток кальция и рецепторный потенциал, который может вызвать потенциал действия в афферентных дендритах.
C. между овальным и круглым окнами
D. в вестибулярной лестнице
E. в барабанной лестнице
Происходит преобразование механических сигналов в нейронные
А.у основания наружных волосковых клеток
Б. на K + каналах в стереоцилиях
C. между овальным и круглым окнами. Этот ответ НЕПРАВИЛЬНЫЙ.
Разница давлений между овальным окном (scala vestibuli) и круглым окном (scala tympani) важна для генерации бегущей волны вдоль базилярной мембраны, но на этом этапе слуховой обработки сигнал все еще остается механическим.
Д.в вестибюле scala
E. в барабанной лестнице
Происходит преобразование механических сигналов в нейронные
А. у основания наружных волосковых клеток
Б. на K + каналах в стереоцилиях
C. между овальным и круглым окнами
D. in the scala vestibuli Ответ НЕПРАВИЛЬНЫЙ.
Разница давлений между овальным окном (scala vestibuli) и круглым окном (scala tympani) важна для генерации бегущей волны вдоль базилярной мембраны, но на этом этапе слуховой обработки сигнал все еще остается механическим.
E. в барабанной лестнице
Происходит преобразование механических сигналов в нейронные
А. у основания наружных волосковых клеток
Б. на K + каналах в стереоцилиях
C. между овальным и круглым окнами
D. в вестибулярной лестнице
E. в барабанной лестнице. Этот ответ НЕПРАВИЛЬНЫЙ.
Разница давлений между овальным окном (scala vestibuli) и круглым окном (scala tympani) важна для генерации бегущей волны вдоль базилярной мембраны, но на этом этапе слуховой обработки сигнал все еще остается механическим.
Первичная слуховая кора находится в
А.теменная доля
Б. боковая поверхность затылочной доли
С. верхняя височная извилина
D. Парагиппокампальная извилина
E. средняя лобная извилина
Первичная слуховая кора находится в
A. теменная доля. Этот ответ НЕПРАВИЛЬНЫЙ.
Теменная доля не является частью первичной слуховой коры.Первичная слуховая кора находится в верхней части верхней височной извилины; поперечные височные извилины Heschl.
Б. боковая поверхность затылочной доли
С. верхняя височная извилина
D. Парагиппокампальная извилина
E. средняя лобная извилина
Первичная слуховая кора находится в
А. теменная доля
Б.боковая поверхность затылочной доли. Ответ НЕПРАВИЛЬНЫЙ.
Боковая поверхность затылочной доли не является частью первичной слуховой коры. Первичная слуховая кора находится в верхней части верхней височной извилины; поперечные височные извилины Heschl.
С. верхняя височная извилина
D. Парагиппокампальная извилина
E. средняя лобная извилина
Первичная слуховая кора находится в
А.теменная доля
Б. боковая поверхность затылочной доли
C. верхняя височная извилина. Ответ ПРАВИЛЬНЫЙ!
D. Парагиппокампальная извилина
E. средняя лобная извилина
Первичная слуховая кора находится в
А. теменная доля
Б. боковая поверхность затылочной доли
С.верхняя височная извилина
D. Парагиппокампальная извилина. Этот ответ НЕПРАВИЛЬНЫЙ.
Парагиппокампальная извилина не является частью первичной слуховой коры. Первичная слуховая кора находится в верхней части верхней височной извилины; поперечные височные извилины Heschl.
E. средняя лобная извилина
Первичная слуховая кора находится в
А.теменная доля
Б. боковая поверхность затылочной доли
С. верхняя височная извилина
D. Парагиппокампальная извилина
E. средняя лобная извилина. Ответ НЕПРАВИЛЬНЫЙ.
Средняя лобная извилина не является частью первичной слуховой коры. Первичная слуховая кора находится в верхней части верхней височной извилины; поперечные височные извилины Heschl.
Кто из следующих участвует в прослушивании?
А.тройничный нерв
Б. латеральный лемниск
C. средний лемниск
D. pontine ядер
E. глазодвигательный нерв
Кто из следующих участвует в прослушивании?
A. тройничный нерв Этот ответ НЕПРАВИЛЬНЫЙ.
Нерв V — это общий соматический сенсорный нерв головы.
Б.боковой лемниск
C. средний лемниск
D. pontine ядер
E. глазодвигательный нерв
Кто из следующих участвует в прослушивании?
А. тройничный нерв
B. боковой лемниск. Ответ ПРАВИЛЬНЫЙ!
C. средний лемниск
D. pontine ядер
E.глазодвигательный нерв
Кто из следующих участвует в прослушивании?
А. тройничный нерв
Б. латеральный лемниск
C. medial lemniscus Этот ответ НЕПРАВИЛЬНЫЙ.
Система дорсально-медиального лемниска связана с соматосенсорной системой.
D. pontine ядер
E.глазодвигательный нерв
Кто из следующих участвует в прослушивании?
А. тройничный нерв
Б. латеральный лемниск
C. средний лемниск
D. pontine nuclei Этот ответ НЕПРАВИЛЬНЫЙ.
Ядра моста имеют аксоны, которые проецируются на мозжечок.
E. глазодвигательный нерв
Кто из следующих участвует в прослушивании?
А.тройничный нерв
Б. латеральный лемниск
C. средний лемниск
D. pontine ядер
E. глазодвигательный нерв. Ответ НЕПРАВИЛЬНЫЙ.
Двигательные волокна в III иннервируют глазные мышцы.
(PDF) Развитие слуха у плода и младенца
Для внутриутробного обучения или обучения в отделении интенсивной терапии недоношенный ребенок
должен слышать голос или музыку во время бодрствования или в спокойном сне
с последующим периодом быстрого сна.Потребуется несколько снимков
и несколько циклов с быстрым сном. Это должно происходить
с уровнем фонового шума менее 50 дБ и без громких скачков уровня шума
. В утробе матери плод в первую очередь слышит голос
или звуки музыки с высотой или частотой около средней C и
ниже (частота b300 cps).
11
Воздействие голоса, музыки,
и значимых звуков между 30 и 40 неделями беременности составляет
, необходимое для тонкой настройки волосковых клеток и их связи нейронов
со спиральным ганглием и ядрами улитки.Плод
, который подвергается воздействию интенсивного (b80 дБ) низкочастотного звука с
телевизора, бум-боксов, механизмов или комнатного шума, перемежающегося
с тишиной и отсутствием голоса, появится на сроке беременности 40 недель
с 2 месяцы задержки языка. Младенец будет отставать в настройке частотной специфичности волосковых клеток
. У него или нее не будет
разработанных схем для распознавания фонем,
паттернов, высоты тона и особых характеристик голоса матери как
, а также других голосов, близких к младенцу.Если одна и та же кассета с музыкой
или голосом воспроизводится повторно, плод или младенец привыкает к записи
и не обращает на нее внимания.
11
Вся речь, музыка и значимые звуки из среды
не только создаются в виде цепей памяти в слуховых и языковых областях
коры головного мозга, но и имеют прямые нейросоединения с лимбической системой (эмоциональные воспоминания). .
Удовольствие, радость, страх, печаль, тревога или другие части эмоциональной памяти
записываются и сохраняются как часть слуховых воспоминаний
, но в лимбической системе.Даже плод на
34 или 36 неделе будет различать различные настроения или эмоциональные
качества речи и музыки, которые сохраняются как часть накопленных
воспоминаний.
При обучении недоношенных новорожденных в утробе матери или в отделении интенсивной терапии, в речи
или музыке должны быть и повторяться некоторые знакомые части; но
сохраняет интерес и расширяет узнаваемость, необходимо постоянно добавлять новые материалы к
и вносить изменения. Наушники
НИКОГДА нельзя использовать непосредственно на животе матери
во время беременности, потому что внутриутробный звук ненаправленный
, а звук из каждого наушника складывается.Легко установить
на каждый наушник на 60 или 70 дБ, что составляет от 120 до 140 дБ для
младенца. Когда это частоты ниже среднего C, это повредит
волосковых клеток и даже разрушит волосковые клетки всего за от 1 до 4
часов воздействия.
12
Влияние окружающей среды и сенсорное вмешательство
Факторы окружающей среды явно влияют на слух
Развитие плода в утробе матери и ребенка в отделении интенсивной терапии, в
в дневном стационаре, а также дома .
In Utero Следует избегать всего интенсивного (N60 дБ) низкочастотного шума
, особенно после 20 или 22 недель беременности. Плод
в утробе матери, через 28–29 недель, нуждается в воздействии
голоса матери, семейных голосов, музыки (простых мелодий) и
значимых звуков семьи и окружающей среды. Уровень фонового шума
должен поддерживаться на уровне менее 50 дБ,
особенно на низких частотах, чтобы ребенок
различал речь или музыку.
Отделение интенсивной терапии новорожденных Уровень фонового шума
должен поддерживаться на уровне или ниже Leq (средний уровень звука,
, взвешенная шкала медленной реакции в течение одного часа) в 50 дБ и
на уровне или ниже L
.10
(верхний уровень звука в 10% случаев в течение одного часа
) 55 дБ. Максимум в 1 секунду не должен превышать
70 дБ, взвешенный медленный отклик. Это обеспечит среду
, в которой младенец сможет слышать и изучать голос матери
, музыку и значимые звуки.Это также среда
с минимальным нарушением режима сна и его циклов.
Изучение слуховых паттернов требует быстрого сна после 32 недель беременности
для создания долговременных воспоминаний. Циклы сна с особенно защищенным сном REM
важны в младенчестве и
детстве. Это относится к домашнему уходу, дневному уходу или отделению интенсивной терапии.
13
При уходе за младенцами в отделении интенсивной терапии важно научить и
продемонстрировать родителям и опекунам требования к среде, поддерживаемой развитием
, контролировать фоновый шум от земли и обеспечить соответствующий слуховой опыт
(голос родителей и т. д.).Это включает поддержку и защиту быстрого сна и циклов сна. Это требует выбора
и сроков ухода и процедур ухода для поддержки процессов развития
и максимальной защиты сна.
Раннее изучение голоса матери и способность отличать его
от других голосов важны в процессе привязанности, как
, а также для обеспечения комфорта. Среда, в которой живут недоношенные
и доношенные дети, является важным фактором, поддерживающим слуховое
обучение языку и музыке.Он может, с громким низкочастотным шумом
или необычной вибрацией и движением, создавать значительные помехи
здоровому развитию слуха.
Ссылки
1. Пуйоль Р., Лавин-Ребиллар М. Развитие нейросенсорных структур
в улитке человека. Acta Otolaryngol.
1992; 112: 259-264.
2. Зал III JW. Развитие уха и слуха. J Perinatol.
2000; 20 (8 баллов 2): S12-S20.
3. Кандел Э. Р., Шварц Дж. Х., Джессел Т. М., редакторы.Принципы нейронауки
. 4-е изд. Нью-Йорк: Макгроу-Хилл; 2000.
с. 604.
4. Ronca AE, Alberts JR, Lecanuet JP. Материнский вклад в
опыта плода и переход от пренатальной жизни к
послеродовой жизни. Развитие плода: психобиологическая перспектива
. Хиллсдейл (Нью-Джерси): Лоуренс Эрлбаум Ассошиэйтс;
1995. стр. 331-350.
5. Моррис Б.Х., Филбин М.К., Бозе С. Физиологические эффекты
звука на новорожденного.J Perinatol. 2000; 20 (8 баллов 2):
S55-S60.
6. Кандел Э. Р., Шварц Дж. Х., Джессел Т. М., редакторы. Принципы нейронауки
. 4-е изд. Нью-Йорк: Макгроу-Хилл; 2000.
с. 593-599.
7. Абрамс Р.М., Герхардт К.Дж. Акустическая среда и
физиологических реакций плода. J Perinatol. 2000; 20
(8, часть 2): S31-S36.
8. Кандел Э. Р., Шварц Дж. Х., Джесселл Т. М., редакторы. Принципы нейронауки
. 4-е изд.Нью-Йорк: Макгроу-Хилл; 2000.
с. 606-610.
192 ТОМ 8, НОМЕР 4, www.nainr.com
Отчет о пяти случаях
Иран J Pediatr. 2011 июн; 21 (2): 239–243.
, MD, 1 , MD, 2 , MD, 3, * , MD, 2 , 2 и, MD 2Сенап Зейбек
1 Обучение в округе Эрзурум и исследовательская больница, Отделение детской кардиологии, Эрзурум, Турция
Хасан Кахведи
2 Государственная больница акушерства и гинекологии Нене Хатун, отделение неонатологии, Эрзурум, Турция
Ибрагим Гекче
ur 3 Исследовательская больница Эрзурум , Отделение педиатрии, Эрзурум, Турция
Айсун Бога
2 Государственная больница акушерства и гинекологии Нене Хатун, неонатальное отделение, Эрзурум, Турция
Муге Пайясли
2 Государственное отделение акушерства и гинекологии Нене Хатун Гинекологическое отделение Гинекологии Гинекологии , Эрзурум, Турция
Халил Кескин
2 Государственная больница акушерства и гинекологии Нене Хатун, неонатальное отделение, Эрзурум, Турция
9000 2 1 Районная учебно-исследовательская больница Эрзурума, отделение детской кардиологии, Эрзурум, Турция2 Государственная больница акушерства и гинекологии Нене Хатун, неонатальное отделение, Эрзурум, Турция
3 Эрзурумская районная учебно-исследовательская больница Отделение педиатрии, Эрзурум, Турция
* Автор для переписки: Адрес: Эрзурумская районная учебно-исследовательская больница, отделение педиатрии, 25070, Эрзурум, Турция. Эл. Почта: moc.oohay@dmeckogПоступила в редакцию 16 августа 2010 г .; Пересмотрено 25 декабря 2010 г .; Принято 15 января 2011 г.
Авторские права © 2011 Иранский журнал педиатрии и Тегеранский университет медицинских наукЭто статья в открытом доступе, распространяемая в соответствии с условиями лицензии Creative Commons Attribution NonCommercial 3.0 (CC BY-NC 3.0), которая позволяет пользователям читать, копировать, распространять и создавать производные работы в некоммерческих целях из материала при условии правильного цитирования автора оригинальной работы.
Abstract
Предпосылки
Мы сообщаем о пяти доношенных новорожденных, родившихся на высоте 1890 метров с преходящим ранним неонатальным цианозом из-за шунтирования справа налево на уровне предсердий через открытое овальное отверстие.
Описание клинического случая
Пятеро новорожденных без каких-либо клинических признаков или симптомов, кроме выраженного цианоза, были обследованы в двух неонатальных отделениях города Эрзурум. Гематологические и рентгенологические исследования в норме. Парциальное давление кислорода (PO 2 ) в образцах артериальной крови было ниже 45 мм рт.ст. у всех пациентов и не увеличивалось более чем на 15 мм рт.ст. ни у одного из пациентов после вдыхания 100% кислорода.Эхокардиография выявила нормальную внутрисердечную структуру. Межпредсердный шунт справа налево в диастолу был обнаружен через открытое овальное отверстие у всех этих младенцев. Только при наблюдении без лечения диастолический шунт справа налево исчез через 40,15 ± 9,52 часа. Насыщение кислородом увеличилось с 69,80 ± 9,55 процента до 90,40 ± 8,80 процента. Пациенты выписаны из стационара на 5,6 ± 0,4 дня жизни. Наблюдение в течение 6 месяцев не выявило клинических проблем ни в одном из случаев.
Заключение
Преходящий цианоз можно увидеть в очень раннем неонатальном периоде из-за межпредсердного шунтирования справа налево у некоторых здоровых доношенных новорожденных, родившихся на высоте 1890 метров.Снижение податливости правого предсердия из-за относительной гипоксии на этой высоте можно предположить, что это причинный механизм.
Ключевые слова: Патентное овальное отверстие, Высота, Цианоз, Новорожденный
Введение
Цианоз — один из наиболее важных аспектов неонатальной практики. Различные нарушения могут вызвать цианоз в неонатальном периоде. У новорожденных, особенно у недоношенных, респираторный дистресс любого происхождения может вызвать цианоз, который очень чувствителен к кислороду [1].Цианоз центрального типа без ответа на кислород может проявляться врожденными пороками сердца или устойчивым кровообращением плода [2,3].
В связи с особенностями кровообращения у плода происходит обязательное шунтирование справа налево через открытое овальное отверстие [4]. После рождения при первом вдохе давление в легочной артерии падает и шунт на уровне предсердий реверсируется до тех пор, пока не произойдет самопроизвольное закрытие овального отверстия [5]. Если у новорожденного обнаруживается шунт справа налево, вероятно, имеется некоторое сопротивление потоку через правые камеры сердца в систему легочной артерии [6].
Важные респираторные и сердечно-сосудистые изменения были продемонстрированы у здоровых детей, родившихся на большой высоте [7,8]. На большой высоте поглощение кислорода в легких усиливается за счет увеличения вентиляции, эластичности легких и диффузии в легких. Что касается пониженного давления кислорода в артериальной крови на большой высоте, это кажется полезным приспособлением [8]. С другой стороны, у младенцев, родившихся на большой высоте, может быть стойкое преобладание правого желудочка, гипертрофия и дисфункция правого желудочка, а также легкая легочная гипертензия, связанная с повышенным сопротивлением легочных сосудов [8,9].Все эти изменения, связанные с высотой, могут способствовать снижению податливости правого предсердия и могут вызвать диастолическое шунтирование справа налево на уровне предсердий.
Здесь мы сообщаем о пяти доношенных новорожденных, родившихся на высоте 1890 метров с преходящим ранним неонатальным цианозом и диастолическим шунтированием справа налево на уровне предсердий.
Представление случаев
В период с мая 2008 г. по декабрь 2009 г. цианоз центрального типа, не отвечающий на 100% кислород, был обнаружен в общей сложности у 45 доношенных новорожденных в двух разных неонатальных отделениях в Эрзуруме, перинатальном центре восточной Анатолии. .Это большой город с населением около полумиллиона человек, живущих на высоте 1890 метров.
Из этих 45 пациентов у 13 была диагностирована стойкая легочная гипертензия новорожденных. У 26 новорожденных был диагностирован синюшный врожденный порок сердца. У другого пациента с помощью контрастной эхокардиографии был диагностирован легочный артериовенозный свищ. Остальные пять пациентов были здоровыми новорожденными без каких-либо клинических признаков или симптомов, кроме выраженного цианоза. Все они родились доношенными в результате самопроизвольных вагинальных родов при полном дородовом наблюдении и отсутствии перинатальных проблем.Результаты по шкале Апгар были нормальными через одну и пять минут у всех пациентов. На момент первой оценки всем им было от 21 до 36 часов. Характеристики отдельных случаев приведены в.
Таблица 1
Характеристики отдельных случаев
| Пациенты | 1 | 2 | 3 | 4 | 5 | Среднее значение |
|---|---|---|---|---|---|---|
| 3,05 | 3.75 | 3,48 | 3,27 | 3,66 | 3,44 ± 0,68 | |
| Возраст при первом обследовании, часов | 29 | 21 | 36 | 27 | 30 | 28,6 ± 5,21 |
| Сб О 2 на первом осмотре, в процентах | 70 | 67 | 73 | 71 | 68 | 69,80 ± 9,55 |
| PO 2 исходно, мм рт. Ст. | 41 | 36 | 42 | 34 | 44 | 39.4 ± 6,6 |
| PCO 2 , мм рт. Ст. | 48 | 48 | 41 | 44 | 46 | 45,40 ± 7,55 |
| Hgb, gr | 18,2 | 17,6 | 18,9 | 16,9 | 18,4 | 18,0 ± 4,4 |
| Hct, процентов | 54,8 | 54,1 | 56,8 | 52,1 | 55,6 | 54.6 ± 5.0 |
| PO 2 после 100% кислорода, мм рт. Ст. | 48 | 47 | 47 | 40 | 51 | 46,6 ± 8,2 |
| Исчезновение шунта R-L, дней | 3 | 4 | 3 | 3 | 3 | 3,2 ± 0,4 |
| Sat O 2 до выписки,% | 88 | 91 | 90 | 94 | 89 | 90.40 ± 8.80 |
| Возраст на момент выписки, дней | 5 | 7 | 5 | 5 | 6 | 5,6 ± 0,4 |
Средняя скорость чрескожного насыщения кислородом составила 69,80 ± 9,55 процента. Парциальное давление кислорода (PO 2 ) в образцах артериальной крови было ниже 45 мм рт.ст., а уровень метгемоглобина был ниже 2% у всех пациентов. PO 2 не увеличивался более чем на 15 мм рт.ст. ни у одного из пациентов после вдыхания 100% кислорода.Среднее парциальное давление диоксида углерода (PCO 2 ) составляло 45,40 ± 7,55 мм рт. Ст., И ни у одного из пациентов значение PCO 2 не превышало 50 мм рт. Средний уровень гемоглобина составил 18,0 ± 4,4 г / дл, а средний уровень гематокрита — 54,6 ± 5,0%. Средний уровень глюкозы в плазме составил 66,77 ± 9,04 мг / дл. Ни у одного из пациентов не было анемии, полицитемии или гипогликемии.
Не было клинической или посевной поддержки сепсиса. УЗИ черепа нормальные. Рентген грудной клетки выявил тень сердца нормального размера и формы с чистыми полями легких.Эхокардиография подтвердила нормальную анатомию сердца, за исключением диастолического шунта справа налево через открытое овальное отверстие у всех пациентов. Систолическое давление в легочной артерии, определенное с помощью струи трикуспидальной регургитации, составило 41 мм рт. Ст. У одного из пациентов, в то время как одновременное системное артериальное давление составило 72 мм рт.
Систолическое давление в легочной артерии было ниже 26 мм рт. Ст. У остальных четырех пациентов. Поскольку внутрисердечный шунт справа налево из-за надсистемного давления в легочной артерии является правилом при стойкой легочной гипертензии у новорожденных, низкое давление в легочной артерии у наших пациентов легко исключало диагноз стойкой легочной гипертензии.
Тканевое допплеровское исследование латерального кольца трикуспидального клапана было выполнено для оценки систолической и диастолической функции правого желудочка. Ранняя диастолическая кольцевая скорость (e ′) и отношение ранней диастолической кольцевой скорости к поздней (e ′ / a ′) оказались ниже нормальных значений для новорожденных [10], в то время как систолическая кольцевая скорость (s ′) и поздняя диастолическая кольцевая скорость (e ′ / a ′) скорости (a ′) были в пределах нормы ().
Таблица 2
Параметры латерального кольца трикуспидального клапана при первичном осмотре и перед выпиской
| Параметры | Первичное обследование | Перед выпиской | Значение P * |
|---|---|---|---|
| s ′, см / с | 6.8 (1,3) | 6,9 (1,1) | NS |
| e ′, см / с | 6,6 (1,2) | 7,5 (1,4) | 0,01 |
| a ′, см / с | 9,0 (1,3) | 9,1 (1,3) | NS |
| e ′ / a ′, см / с | 0,73 (0,19) | 0,82 (0,20) | 0,02 |
Мы наблюдали этих цианозных новорожденных в отделении интенсивной терапии новорожденных с постоянным мониторингом жизненно важных функций и ежедневным эхокардиографическим обследованием.Ни один из пациентов не начал лечение. Диастолический шунт справа налево исчез через 3,2 ± 0,4 дня. Средняя сатурация кислорода увеличилась до 90,40 ± 8,80 процента. Пациенты выписаны из стационара на 5,6 ± 0,4 дня жизни. При выписке из больницы средний уровень гемоглобина и гематокрита снизился до 16,6 ± 3,9 г / дл и 49,8 ± 4,6% соответственно. Тканевая допплерография при выписке показала нормальные значения параметров латерального трикуспидального кольца. Наблюдение в течение 6 месяцев не выявило клинических проблем ни в одном из случаев.
Обсуждение
Плод реагирует на длительную высотную гипоксию подавлением синтеза NO в легочных сосудах плода в утробе матери [11]. Кроме того, сердечный выброс плода снижается вследствие снижения сократительной функции миокардиальных клеток в ответ на долгосрочную гипоксемию на большой высоте [12]. На большой высоте ребенок может родиться со стойким сопротивлением легочных сосудов, гипертрофией и дисфункцией правого желудочка. Степень гипертрофии желудочков зависит от сосудосуживающей реакции легких, интенсивности сосудистого сопротивления и высоты над уровнем моря и, следовательно, от степени гипоксемии [13].Оба эти изменения могут способствовать снижению податливости правого предсердия в раннем неонатальном периоде и могут вызывать шунтирование справа налево на уровне предсердий.
Huicho et al. Недавно показали, что молекулярные сигнатуры детей, больных хронической горной болезнью (ХГБ), показывают нарушение адаптации к гипоксии [14]. Основываясь на этих выводах, авторы предположили, что экспрессия детских генов может предсказать последующую CMS. Предварительные данные из высокогорья также предполагают, что перинатальное воздействие хронической гипоксии увеличивает восприимчивость к более позднему развитию дезадаптации к жизни при хронической гипоксии [15].К счастью, большинство новорожденных быстро адаптируются к этим условиям окружающей среды, и клинически очевидного цианоза не развивается. Например, тибетцы, долгое время проживавшие на большой высоте, кажутся хорошо адаптированными. Они показывают более низкую частоту задержки внутриутробного развития плода, лучшую оксигенацию новорожденных, более низкое давление и сопротивление легочной артерии и более низкую частоту CMS.
Причина шунтирования предсердий справа налево, несмотря на нормальное внутрисердечное давление и нормальную или почти нормальную функцию легких через открытое овальное отверстие (PFO), до сих пор полностью не выяснена [16].В качестве причинных механизмов предлагаются анатомо-эмбриологические особенности правого предсердия и соответствия правых камер сердца. Некоторые авторы считают, что диастолическая дисфункция правого желудочка ответственна за шунтирование справа налево через PFO [17]. Ранняя неонатальная диастолическая дисфункция правого желудочка при отсутствии легочной артериальной гипертензии является возможной причиной снижения податливости правого предсердия в наших случаях. Показано, что допплеровская визуализация тканей является ценным инструментом для оценки функций правого желудочка в младенчестве [18].Мы оценили диастолическую функцию правого желудочка в наших случаях с помощью тканевой допплеровской визуализации и обнаружили некоторые незначительные изменения, которые были нормализованы перед выпиской.
Хотя высота города Эрзурум недостаточно высока, чтобы его можно было классифицировать как «большая высота», относительная гипоксия на этой высоте могла вызвать эти сердечные изменения и, в конечном итоге, привести к выраженному цианозу.
Шунт справа налево на уровне предсердий может быть обязательным, как это наблюдается при кровообращении плода [4] или атрезии трикуспидального клапана, или может быть двунаправленным.Во всех наших случаях шунт был двунаправленным; направление слева направо при систоле желудочков и справа налево при диастоле желудочков. Именно это смешение спасает жизнь многим новорожденным из-за транспозиции магистральных артерий до паллиативного лечения или хирургического вмешательства. На самом деле через все PFO происходит некоторый шунт справа налево, но этот шунт слишком мал, чтобы его можно было обнаружить эхом или вызвать десатурацию [19]. Обследующему важно не упускать из виду шунт справа налево, возникающий только во время диастолы.При субкостальном коронковом обзоре необходимо тщательно оценивать межпредсердную перегородку и овальное отверстие, кадр за кадром, чтобы избежать каких-либо диагностических ошибок.
Заключение
Этот отчет о пяти случаях предполагает, что у новорожденного, родившегося на большой высоте с цианозом центрального типа, без реакции на кислород, без структурной аномалии сердца, включая артериальный проток или постоянное кровообращение плода, клиницист должен попросить диастолическое шунтирование справа налево через открытое овальное отверстие. Снижение эластичности правого предсердия, вызванное преходящей диастолической дисфункцией правого желудочка, по-видимому, является причиной преходящего цианоза.
Список литературы
1. Али Х. Респираторные заболевания у новорожденных: выявление и диагностика. Pediatr Rev.2004; 25 (6): 201–8. [PubMed] [Google Scholar] 2. Шеннон, округ Колумбия, Люссер М., Голдблатт А., Баннелл Дж. Б. Синюшный младенец — болезнь сердца или легких. N Engl J Med. 1972. 287 (19): 951–3. [PubMed] [Google Scholar] 3. Tingelstad J. Консультация специалиста: недыхательный цианоз. Pediatr Rev.1999; 20 (10): 350–2. [PubMed] [Google Scholar] 4. Кисеруд Т., Ачарья Г. Кровообращение плода.Prenat Diagn. 2004. 24 (13): 1049–59. [PubMed] [Google Scholar] 5. Фридман А.Х., Фэи Дж. Т.. Переход от внутриутробного к неонатальному кровообращению: нормальные реакции и последствия для младенцев с сердечными заболеваниями. Семин Перинатол. 1993. 17 (2): 106–21. [PubMed] [Google Scholar] 6. Гелернтер-Янив Л., Хури А., Шварц Ю., Лорбер А. Транскатетерное закрытие межпредсердных шунтов справа налево для устранения гипоксемии. Congenit Heart Dis. 2008. 3 (1): 47–53. [PubMed] [Google Scholar] 7. Нирмейер С., Андраде Моллинедо П., Хуйчо Л.Здоровье ребенка и жизнь на большой высоте. Arch Dis Child. 2009. 94 (10): 806–11. [PubMed] [Google Scholar] 8. Де Меер К., Хейманс Х.С., Зийлстра РГ. Физическая адаптация детей к жизни на большой высоте. Eur J Pediatr. 1995. 154 (4): 263–72. [PubMed] [Google Scholar] 9. Хуйчо Л. Послеродовая сердечно-легочная адаптация к большой высоте. Respir Physiol Neurobiol. 2007. 158 (2-3): 190–203. [PubMed] [Google Scholar] 10. Мори К., Накагава Р., Нии М. и др. Оценка функции длинной оси правого и левого желудочков в раннем неонатальном периоде с помощью импульсной волновой допплеровской эхокардиографии.Сердце. 2004. 90 (2): 175–80. [Бесплатная статья PMC] [PubMed] [Google Scholar] 11. Сюэ Q, Ducsay CA, Longo LD, Zhang L. Влияние длительной высокогорной гипоксии на сократимость легочных сосудов плода. J Appl Physiol. 2008. 104 (6): 1786–92. [PubMed] [Google Scholar] 12. Гилберт Р.Д., Пирс В.Дж., Лонго Л.Д. Реакции акклиматизации сердца и сосудов головного мозга плода к длительной гипоксии на большой высоте. High Alt Med Biol. 2003. 4 (2): 203–13. [PubMed] [Google Scholar] 13. Леон-Веларде Ф, Виллафуэрте ФК, Ришале JP.Хроническая горная болезнь и сердце. Prog Cardiovasc Dis. 2010. 52 (6): 540–9. [PubMed] [Google Scholar] 14. Huicho L, Xing G, Qualls C и др. Аномальная регуляция энергии в раннем возрасте: экспрессия генов в детстве может предсказать последующую хроническую горную болезнь. BMC Pediatr. 2008; 8: 47. [Бесплатная статья PMC] [PubMed] [Google Scholar] 15. Мур Л.Г., Нирмейер С., Варгас Э. Имеет ли хроническая горная болезнь (ХГБ) перинатальное происхождение? Respir Physiol Neurobiol. 2007. 158 (2-3): 180–9. [PubMed] [Google Scholar] 16.Занчетта М, Ригателли Г, Хо SY. Загадка шунтирования справа налево, несмотря на нормальное внутрисердечное давление. Грудь. 2005. 128 (2): 998–1002. [PubMed] [Google Scholar] 17. Шнайдер Х., Ширан А., Лорбер А. Диастолическая дисфункция правого желудочка и открытое овальное отверстие, вызывающие глубокий цианоз. Сердце. 2004; 90 (6): 31. [Бесплатная статья PMC] [PubMed] [Google Scholar] 18. Frommelt PC, Ballweg JA, Whitstone BN, Frommelt MA. Полезность анализа допплеровской визуализации движения трикуспидального кольца для определения функции правого желудочка у здоровых младенцев и детей.Am J Cardiol. 2002. 89 (6): 610–3. [PubMed] [Google Scholar] 19. Хираиши С., Агата Ю., Сайто К. и др. Профили межпредсердного шунта у новорожденных: цветной поток и импульсное допплеровское эхокардиографическое исследование. Бр Харт Дж. 1991; 65 (1): 41–5. [Бесплатная статья PMC] [PubMed] [Google Scholar]человеческих ушей | Конструкция, функции и детали
Человеческое ухо , орган слуха и равновесия, который обнаруживает и анализирует звук путем преобразования (или преобразования звуковых волн в электрохимические импульсы) и поддерживает чувство баланса (равновесия).
человеческое ухоСтроение человеческого уха.
Encyclopædia Britannica, Inc.Британская викторина
Человеческое тело: факт или вымысел?
Могут ли люди выбирать левши или правши? От нервов и генов до мышц и органов — посмотрите, насколько вы владеете обеими руками, выбирая между правильным — и неправильным — в этой викторине.
Человеческое ухо, как и у других млекопитающих, содержит органы чувств, которые выполняют две совершенно разные функции: слух и постуральное равновесие и координацию движений головы и глаз. Анатомически ухо состоит из трех различных частей: наружного, среднего и внутреннего уха. Наружное ухо состоит из видимой части, называемой ушной раковиной, которая выступает со стороны головы, и короткого наружного слухового прохода, внутренний конец которого закрыт барабанной перепонкой, обычно называемой барабанной перепонкой.Функция наружного уха — собирать звуковые волны и направлять их к барабанной перепонке. Среднее ухо — это узкая заполненная воздухом полость в височной кости. Он натянут на цепочку из трех крошечных костей — молоточка (молоток), наковальня (наковальня) и стремени (стремени), вместе называемых слуховыми косточками. Эта цепочка слуховых косточек передает звук от барабанной перепонки к внутреннему уху, известному со времен Галена (II век н. Э.) Как лабиринт. Это сложная система заполненных жидкостью проходов и полостей, расположенных глубоко внутри каменистой каменистой части височной кости.Внутреннее ухо состоит из двух функциональных единиц: вестибулярного аппарата, состоящего из преддверия и полукружных каналов, в котором находятся органы чувств постурального равновесия; и улитка, похожая на раковину улитки, которая содержит сенсорный орган слуха. Эти органы чувств представляют собой узкоспециализированные окончания восьмого черепного нерва, также называемого вестибулокохлеарным нервом.
Дисфункция среднего уха и потеря слуха
Барабанная перепонка — это то место, где начинается среднее ухо.За барабанной перепонкой находится пространство среднего уха, которое обычно заполнено воздухом. Отверстие евстахиевой трубы (вы остерегаетесь) находится в пространстве среднего уха. Эта трубка соединяет пространство среднего уха с верхней частью горла. Трубка открывается и закрывается много раз в течение дня. Например, он открывается, когда мы глотаем или зеваем. Иногда можно услышать, как он открывается или «хлопает». Когда он открывается, он пропускает свежий воздух в среднее ухо из воздуха вокруг нас. Эта трубка помогает уравнять давление в среднем ухе с давлением воздуха за пределами уха.Вот почему наши уши хлопают, когда мы меняем высоту, например, когда мы путешествуем по горе или взлетаем и приземляемся в самолете.
Три крошечные кости внутри среднего уха названы в честь их формы: молоток (молоток), наковальня (наковальня) и стремени (стремени). Эти кости соединяются в цепочку. Первая кость, молоток, соединяется с барабанной перепонкой. Последняя кость, стремечка, связана с другой крошечной мембраной, называемой овальным окном.
Овальное окно — начало внутреннего уха или улитки.Когда звук попадает в барабанную перепонку, крошечные косточки покачиваются в воздухе, и последняя толкает овальное окно. Внутри улитки находится более 15 000 крошечных нервных окончаний, называемых волосковыми клетками. Эти волосковые клетки окружены жидкостью. Волосковые клетки преобразуют звуковые волны в электрические импульсы, которые проходят по слуховому нерву в мозг. Мозг обрабатывает эти импульсы и превращает звуки во что-то значимое для вас.
Что такое дисфункция среднего уха?
Дисфункция (dis FUNK shun) — это все, что мешает правильному функционированию среднего уха.Если евстахиева труба открывается недостаточно, давление в среднем ухе изменяется. Это называется дисфункцией евстахиевой трубы. Это самый распространенный вид дисфункции уха у детей. Если евстахиева труба остается закрытой в течение длительного времени, воздух не может попасть в среднее ухо. Это дисфункция среднего уха. Когда это происходит, жидкость иногда заполняет пространство среднего уха. Жидкость может заразиться, если останется в среднем ухе. Когда это происходит, ваш ребенок может тянуть за уши, жаловаться на боль в ушах, наклонять голову, становиться раздражительным и, возможно, у него может подняться температура.Если у вашего ребенка есть какие-либо из этих симптомов, сообщите об этом врачу или медсестре.
Может ли дисфункция среднего уха вызвать потерю слуха?
Да. Когда среднее ухо работает неправильно, звук не может попасть в слуховой (слуховой) нерв. Это вызывает то, что называется кондуктивной (con DUK tiv) потерей слуха. Этот тип потери слуха обычно носит временный характер. Чаще всего слух приходит в норму после лечения. Тесты слуха могут определить, насколько потеря слуха вызвана дисфункцией.Степень потери слуха варьируется от ребенка к ребенку и может даже меняться изо дня в день. Инфекция уха — это проблема со здоровьем, требующая медицинской помощи. Если не лечить, это может вызвать необратимую потерю слуха и проблемы со связью. Врач определит, какое лечение подходит вашему ребенку на основании:
- результатов проверки слуха,
- проверки ушей и
- любых проблем с ушами в анамнезе.
Может ли дисфункция среднего уха повлиять на речь, язык или учебу в школе?
Да.Дети изучают речь и язык, слушая окружающих их людей. Если у ребенка длительное время кондуктивной тугоухости, речевые и языковые навыки могут быть отложены. Это также может вызвать проблемы со слухом в детском саду или школе, а также дома. Иногда проблемы со слухом мешают ребенку обращать внимание. О результатах проверки слуха следует сообщить работникам детского сада или учителям вашего ребенка, чтобы они поняли поведение вашего ребенка. У некоторых детей хроническая дисфункция евстахиевой трубы или среднего уха.Поскольку у них никогда не бывает активной инфекции, у них нет ни одного из перечисленных ранее симптомов. Если вас беспокоит слух, речь, язык или учеба вашего ребенка в школе, сообщите об этом врачу или медсестре. Один из этих сотрудников может организовать проверку слуха и экзамен.
Что делать, если у моего ребенка дисфункция среднего уха или потеря слуха?
- Как можно скорее обратитесь за медицинской помощью. Обязательно следуйте инструкциям по применению любых лекарств, которые врач дает вашему ребенку, и допустите лекарство.
- Создайте максимально комфортную среду прослушивания дома, в детском саду и в школе.
- Уменьшите фоновый шум (телевидение, радио и т. Д.)
- Привлекайте внимание ребенка, прежде чем говорить.
- Подойдите ближе и позвольте ребенку видеть ваше лицо, когда вы говорите.
- Поможет вашему ребенку в школе сидеть рядом с учителем и вдали от любых источников шума (коридоры, кондиционеры, диапроекторы).
- Если вас беспокоит речь или язык вашего ребенка, обсудите проблему с врачом или аудиологом.Может потребоваться речевое и языковое тестирование.
- Следуйте рекомендациям врача по лечению и последующему наблюдению. Это может включать повторную проверку слуха вашего ребенка, чтобы убедиться, что он вернулся в норму.
Вопросы?
Если у вас есть вопросы о дисфункции среднего уха и потере слуха, позвоните в Службу реабилитации по телефону 901-595-3621. Если вы находитесь за пределами Мемфиса, звоните по бесплатному телефону 1-866-2ST-JUDE (1-866-278-5833), добавочный номер 3621.
Синдром плоской головы, методы репозиции для младенцев
Обзор
Что такое плагиоцефалия (плоская голова)?
Родители и опекуны должны всегда укладывать детей спать на спине, чтобы предотвратить синдром внезапной детской смерти (СВДС).Но когда младенцы проводят много времени на спине, у них может развиться синдром плоской головы или позиционная плагиоцефалия. Методы репозиции могут помочь уменьшить проявление и последствия синдрома плоской головы.
Симптомы и причины
Что вызывает синдром плоской головы?
Детские черепа мягкие и несколько пластичные.А младенцы спят на спине по много часов каждый день. Во время сна они могут постоянно поворачивать голову набок.
Если ваш ребенок слишком часто спит с повернутой головой, одна и та же часть головы может часто лежать на поверхности. Регулярное давление может привести к сглаживанию этой части мягкой головы ребенка.
Синдром плоской головы обычно возникает на одной стороне головы. Но это может произойти с обеих сторон или сзади (иногда это называется брахицефалия). Чем длиннее часть головы находится на плоской поверхности, тем больше вероятность ее расплющивания.
Есть ли у некоторых младенцев больший риск развития плагиоцефалии?
У недоношенных детей чаще бывает уплощенная голова, потому что их черепа менее развиты. Они также проводят больше времени в лежачем положении, в то время как медицинские работники занимаются их медицинскими потребностями.
У некоторых детей может быть мышечная кривошея, которая является проблемой при напряжении мышц шеи. Кривошея или недоношенный ребенок увеличивает вероятность плагиоцефалии.
Диагностика и тесты
Как диагностируется плагиоцефалия?
Плагиоцефалия диагностируется визуально, когда ваш лечащий врач смотрит на ребенка и видит сплющивание.Никакие тесты не могут подтвердить или измерить синдром плоской головы.
Ведение и лечение
Как изменить положение ребенка, чтобы справиться с синдромом плоской головы?
Лучший способ лечить плагиоцефалию — это менять положение ребенка. Вы можете делать это, пока ребенок спит или бодрствует.
Со временем изменение положения распределяет давление более равномерно по всей голове ребенка и укрепляет мышцы шеи. Вам следует:
- Часто меняйте положение сна ребенка. Измените направление, в котором ваш ребенок лежит в кроватке. Свет и активность привлекают внимание, поэтому младенцы поворачиваются к окнам или середине комнаты. Если однажды ночью вы положите голову ребенка на верх кроватки, а на другой — на нижнюю, ваш ребенок каждый раз будет выглядеть по-разному.
- Измените положение головы ребенка, пока он спит. Пока ваш ребенок спит, осторожно поверните его голову в сторону, которая вам не нравится.
- Чаще держите ребенка на руках , чтобы ограничить время, которое ребенок проводит, опираясь на плоскую поверхность. Держите и кормите ребенка в разных положениях, время от времени меняя руки. Пусть малыш полежит у вас на груди.
- Обеспечьте постоянное наблюдение за «животиком» , пока ребенок бодрствует. Время живота улучшает синдром плоской головы и укрепляет шею, руки и спину вашего ребенка.
- Сократите время сна в местах , где голова вашего ребенка не может свободно двигаться.Не проводите слишком много времени в изогнутых детских качелях или автомобильных креслах, которые ограничивают движение.
- Стратегически привлечь внимание ребенка. Мобильная или другая безопасная игрушка вне кроватки может побудить вашего ребенка повернуться и посмотреть.
Что делать, если изменения положения недостаточно?
У большинства детей с синдромом плоской головы также есть кривошея (напряженные мышцы). Этим младенцам обычно требуется физиотерапия и домашние упражнения. Физиотерапевт научит вас упражнениям и растяжкам, чтобы удлинить и выпрямить мышцы шеи вашего ребенка.
Ваш лечащий врач может прописать вашему ребенку шлем, который будет измерять ортопед (медицинский работник, который производит и устанавливает такие устройства, как этот шлем). Шлемы свободно сидят на плоской голове и плотно прилегают к круглой. Они стимулируют рост плоской части головы.
Профилактика
Как предотвратить плагиоцефалию?
Изменение положения младенца — один из лучших способов предотвратить синдром плоской головы.
Перспективы / Прогноз
Вреден ли синдром плоской головы для моего ребенка?
Плагиоцефалия может изменить внешний вид вашего ребенка. Это может привести к уменьшению количества волос на сглаженном участке или некоторой асимметрии лица (что может вызвать нарушения зрения). Ухо с одной стороны может выглядеть выдвинутым вперед, или лоб может выпирать.Шея, челюсть и лицо могут выглядеть неровными.
Есть ли риски при изменении положения?
Правильная репозиция младенца не представляет опасности. Но некоторые техники сна небезопасны. Никогда не кладите ребенка:
- Спать на животе.
- Спать на стороне.
- В детской кроватке с мягкими одеялами или игрушками.
Как долго мне нужно менять положение ребенка?
Череп ребенка мягкий и пластичный только в течение определенного периода времени.Техники репозиции наиболее эффективны в возрасте до четырех месяцев.
Жить с
Следует ли мне позвонить своему врачу, если изменение положения не помогает?
Синдром плоской головы можно исправить или свести к минимуму с помощью методов репозиции младенца.Раннее начало и постоянство помогают. Если изменение положения не помогает или мышцы шеи ребенка кажутся напряженными, позвоните своему врачу. Может помочь физиотерапия или шлем.
Записка из клиники Кливленда
Репозиционирование — это полезный метод, помогающий младенцам оправиться от плагиоцефалии или синдрома плоской головы. Никогда не укладывайте ребенка спать на животе или на боках, связанных с СВДС. Спросите своего врача о том, как сохранить здоровье вашего ребенка во время сна.
Что нужно знать о глазах новорожденного
Уход за глазамиВсе, что вам нужно знать о зрении вашего ребенка | En EspañolГэри Хейтинг, OD, и Адам Дебровски
Для развития зрения новорожденного требуется время
Первый раз, когда ребенок открывает глаза и устанавливает зрительный контакт, — один из величайших моментов, которые может испытать новый родитель.Но не беспокойтесь, если этот момент не наступит сразу.
Чтобы зрение ребенка развилось, нужно время. В первую неделю жизни младенцы не видят много деталей. Их первый взгляд на мир расплывчатый и только в оттенках серого.
Для полного развития зрения у вашего новорожденного требуется несколько месяцев. Знание основных этапов развития зрения вашего ребенка и того, что вы можете сделать, чтобы помочь ему в этом, гарантирует, что ваш ребенок как можно скорее будет правильно видеть и в полной мере наслаждаться своим миром.
Развитие зрения ребенка начинается во время беременности
Зрение вашего ребенка начинает развиваться еще до того, как он родится.
То, как вы ухаживаете за своим телом во время беременности, чрезвычайно важно для развития тела и ума вашего ребенка, включая глаза и центры зрения в головном мозге.
Обязательно следуйте инструкциям, которые дает вам акушер-гинеколог, относительно правильного питания, включая пищевые добавки, и получайте необходимое количество отдыха во время беременности.
Избегайте курения и употребления алкоголя или наркотиков во время беременности, поскольку эти токсины могут вызвать множество проблем для вашего ребенка, включая серьезные проблемы со зрением.
Курение особенно опасно во время беременности, так как сигаретный дым содержит около 3000 различных химических веществ, которые потенциально могут нанести вред человеку, в том числе окись углерода, известный токсин для плода.
Даже прием обычных лекарств, таких как аспирин, может быть опасен для вашего ребенка во время беременности, увеличивая риск низкой массы тела при рождении и проблем во время родов.Низкая масса тела при рождении связана с повышенным риском проблем со зрением у младенцев.
Всегда говорите со своим акушером-гинекологом, прежде чем принимать какие-либо лекарства во время беременности, в том числе лекарства, отпускаемые без рецепта, травяные добавки и другие лекарства, отпускаемые без рецепта.
СМОТРИТЕ СВЯЗАННО: Как беременность может повлиять на ваше зрение
Зрение новорожденного при рождении
Вскоре после рождения ваш врач кратко осмотрит глаза вашего ребенка, чтобы исключить признаки врожденной катаракты или других серьезных проблем с глазами новорожденного.Хотя такие проблемы со зрением встречаются редко, их необходимо обнаруживать и лечить на ранней стадии, чтобы минимизировать их влияние на развитие зрения вашего ребенка.
Обычно на глаза новорожденного наносят мазь с антибиотиком, чтобы предотвратить заражение глаз бактериями, присутствующими в родовых путях.
При рождении ваш ребенок видит только черный, белый и оттенки серого, поскольку нервные клетки, контролирующие зрение в сетчатке и мозге, еще не полностью развиты.
На этом этапе глаза новорожденного не могут фокусироваться на близких предметах.Не беспокойтесь, если ваш ребенок не «фокусируется» на объектах, в том числе на вашем лице. Просто нужно время.
Несмотря на эти визуальные ограничения, исследования показывают, что в течение нескольких дней после рождения младенцы предпочитают смотреть на изображение лица своей матери, а не на изображение незнакомца.
Исследователи считают, что это предпочтение зависит от сильных высококонтрастных стимулов, таких как граница линии волос матери до ее лица. В исследованиях, если эти границы были замаскированы шарфом или купальной шапочкой, младенцы перестали смотреть в лицо матери.
Чтобы стимулировать визуальное взаимодействие с новорожденным ребенком, старайтесь сохранить прическу такой же и не менять внешний вид.
Одна вещь, которую вы можете заметить в своем новорожденном сыне или дочери, — это то, насколько большие у них глаза. Это потому, что нормальное развитие ребенка идет снизу вверх.
Глаза вашего ребенка при рождении уже составляют 65% от взрослого размера!
Глаза вашего ребенка: первый месяц
Глаза вашего ребенка не очень чувствительны к свету в первый месяц после рождения.
Фактически, количество света, необходимое для месячного ребенка, чтобы знать о наличии света, в 50 раз больше, чем у взрослого.
Это означает, что в детской можно оставить свет включенным. Это не повлияет на их способность спать, и может помешать вам ударить ногой в темной комнате.
Младенцы очень быстро начинают развивать способность видеть цвета. Через неделю после рождения они могут видеть красный, оранжевый, желтый и зеленый, но вашему младенцу требуется немного больше времени, чтобы увидеть синий и фиолетовый.
Почему? Синий свет имеет более короткие длины волн, и в человеческом глазу существует меньше цветовых рецепторов для синего света.
Не беспокойтесь, если глаза вашего ребенка не всегда кажутся работающими вместе, как одна команда.
Один глаз может иногда смещаться внутрь или наружу от правильного выравнивания. Это нормально, но если вы видите большое и постоянное смещение, сообщите об этом своему окулисту.
Советы
Чтобы стимулировать зрение вашего ребенка в этот период:
Украсьте его комнату яркими, веселыми цветами.
Включите произведения искусства и мебель контрастных цветов и форм.
Попробуйте повесить яркий мобильный телефон разных цветов и форм.
Месяцы 2 и 3
Детское зрение делает несколько важных достижений в течение второго и третьего месяцев. В этот период у младенцев повышается острота зрения, и их глаза начинают лучше двигаться как единая команда.
К этому моменту ваш ребенок должен следить глазами за движущимися объектами и тянуться к тому, что они видят.
Младенцы на этой стадии развития учатся переводить взгляд с одного объекта на другой, не двигая головой.
Их глаза теперь становятся более чувствительными к свету. В 3 месяца порог обнаружения света у младенца всего в 10 раз выше, чем у взрослого. Теперь вы можете немного приглушить свет, пока они спят.
Советы
Чтобы стимулировать развитие зрения у вашего 2-3-месячного ребенка, Американская оптометрическая ассоциация рекомендует:
Добавляйте новые предметы в их комнату или часто меняйте расположение существующих предметов, включая кроватку.
Говорите с малышом, когда ходите по комнате.
Держите ночник включенным, чтобы обеспечить визуальную стимуляцию, когда ваш ребенок бодрствует в своей кроватке.
Позвольте вашему малышу ползать. В то время как младенцев следует укладывать на спину для сна, чтобы снизить риск синдрома внезапной детской смерти (СВДС), кладите их на живот, когда они бодрствуют, и вы можете наблюдать за ними. Это дает важные визуальные и моторные впечатления.
Месяцы с 4 по 6
К 6 месяцам в центрах зрения мозга произошли значительные улучшения, что позволяет вашему младенцу более отчетливо видеть и быстрее и точнее двигать глазами, когда он следует за движущимися объектами.
Острота зрения улучшается с примерно 20/400 при рождении до примерно 20/25 в возрасте 6 месяцев. Цветовое зрение должно быть таким же, как и у взрослого, позволяя вашему ребенку видеть все цвета радуги.
У младенцев также улучшается зрительно-моторная координация в возрасте от 4 до 6 месяцев, что позволяет им быстро находить и брать предметы. Это включает в себя точное направление бутылки — и многое другое — ко рту.
Шестимесячный возраст также является важной вехой, потому что именно в это время вашему ребенку следует пройти первое детское обследование зрения (если до этого времени не возникнут осложнения).
Даже если ваш ребенок не может читать буквы на глазной таблице, ваш глазной врач может выполнить невербальное тестирование, чтобы оценить его остроту зрения, выявить близорукость, дальнозоркость и астигматизм, а также оценить совместимость и выравнивание глаз.
Во время этого осмотра ваш офтальмолог проверит здоровье глаз вашего ребенка и найдет все, что может помешать нормальному и постоянному развитию зрения.
Для наиболее тщательного осмотра зрения у вашего 6-месячного ребенка вы можете обратиться за помощью к окулисту, который специализируется на детском зрении и развитии зрения.
Месяцы с 7 по 12
Ваш ребенок теперь подвижен, ползает и преодолевает большее расстояние, чем вы когда-либо могли себе представить. Они лучше оценивают расстояния и точнее схватывают и бросают предметы.
Это важный период развития вашего ребенка. На этом этапе младенцы лучше осознают свое тело и учатся согласовывать свое зрение с движениями.
Это также время, когда с вашей стороны требуется больше усердия, чтобы уберечь ребенка от вреда.
Удары, синяки, травмы глаз и другие серьезные несчастные случаи могут произойти, когда они начнут физически исследовать окружающую их среду. В частности, держите шкафы запертыми и ставьте барьеры перед лестницей.
Не беспокойтесь, если глаза вашего ребенка начинают менять цвет.
Большинство детей рождаются с голубыми глазами, потому что более темные пигменты радужной оболочки не полностью развиваются при рождении. Со временем образуется больше темного пигмента, который может изменить цвет глаз вашего ребенка с голубого на коричневый, зеленый, серый или смесь цветов — как в случае с карими глазами или гетерохромией.
ПРОЧИТАЙТЕ СЛЕДУЮЩИЙ: Проблемы со зрением у детей дошкольного возраста
Советы
Чтобы стимулировать развитие зрительно-моторной координации вашего ребенка:
Встаньте с ребенком на пол и побудите его ползти к объектам.
Положите любимую игрушку на пол вне досягаемости и поощряйте их брать ее.
Обеспечьте множество безопасных предметов и игрушек, которые они могут разобрать и собрать.
Проблемы с выравниванием глаз
Обязательно обращайте пристальное внимание на то, насколько хорошо глаза вашего ребенка работают вместе, как одна команда.
Косоглазие — это термин, обозначающий смещение глаз. Важно выявлять и лечить это на ранней стадии, чтобы у вашего ребенка правильно развивалось зрение на оба глаза.
При отсутствии лечения косоглазие может привести к амблиопии, широко известной как «ленивый глаз».
Глазам новорожденного требуется несколько месяцев, чтобы развить навыки координации, но не стесняйтесь обращаться к педиатру или окулисту, если вы чувствуете, что один из глаз вашего ребенка смещен или не движется синхронно с другим глазом.
Недоношенные дети и проблемы со зрением
Средняя продолжительность нормальной беременности составляет примерно 40 недель. По данным Всемирной организации здравоохранения, дети, рожденные до 37 недель беременности, считаются недоношенными.
Курение во время беременности значительно увеличивает риск преждевременных родов.
Недоношенные дети подвергаются большему риску возникновения проблем со зрением, чем доношенные дети, и вероятность того, что они родятся раньше, возрастает.
Две проблемы со зрением чаще встречаются у недоношенных детей:
Ретинопатия недоношенных (ROP)
ROP — это аномальная замена нормальной ткани сетчатки фиброзной тканью и кровеносными сосудами.Это может вызвать рубцевание сетчатки, плохое зрение и отслоение сетчатки. В тяжелых случаях ретинопатия недоношенных может привести к слепоте.
Все недоношенные дети подвержены риску ROP. Очень низкий вес при рождении является дополнительным фактором риска, особенно если необходимо поместить младенца в среду с высоким содержанием кислорода сразу после рождения.
Если ваш ребенок родился преждевременно, попросите своего акушера направить вас к детскому офтальмологу, чтобы он провел внутреннее обследование зрения и исключил ROP.
Нистагм
Нистагм — это непроизвольное движение обоих глаз вперед и назад.
В большинстве случаев из-за нистагма глаза медленно смещаются в одном направлении, а затем «подпрыгивают» назад в другом направлении. Движения глаз обычно горизонтальные, но также могут быть диагональными или вращательными.
Нистагм может присутствовать при рождении или развиваться через несколько недель или месяцев. Факторы риска включают альбинизм, врожденную катаракту и неполное развитие зрительного нерва.
Величина движений глаз обычно определяет степень воздействия на зрение и зрительное развитие ребенка.
Если у вашего ребенка появляются признаки нистагма, как можно скорее обратитесь к детскому офтальмологу или другому офтальмологу.
Бесплатное офтальмологическое обследование для младенцев
Если вы не можете позволить себе офтальмологическое обследование для вашего ребенка, вам будет оказана помощь.
Разработанная Американской оптометрической ассоциацией в партнерстве с Vision Care Institute, InfantSEE — это программа общественного здравоохранения, призванная обеспечить, чтобы уход за зрением стал частью программы оздоровления младенцев в Соединенных Штатах.




Такое состояние способно спровоцировать транзиторную ишемическую атаку или инсульт.

У человека появляется одышка при подъеме с кровати, и пропадает, при повторном принятии положения лежа.
