Биопсия рака легких в Израиле – виды и методы проведения
Биопсия легких – ключевой момент расширенной диагностики органов дыхания после флюорографии, КТ и МРТ при подозрении на рак. Она подразумевает взятие небольшого количества атипичных тканей из новообразования для дальнейшего исследования под микроскопом. Зачастую, чтобы добиться выяснения полной картины заболевания, может понадобиться биопсия лимфатических узлов легких, бронхов и плевры.Основные цели процедуры – определить, является ли опухоль раковой и изучить все ее характеристики, на основе которых в дальнейшем специалисты составят эффективный индивидуальный план лечения.
Биопсия легкого – как делают исследование в Израиле, виды проведения процедуры
Главный вопрос всех без исключения людей, столкнувшихся с необходимостью проведения биопсии легких: «Как делают подобный анализ и не опасно ли это?». Нет, не опасно, тем не менее у процедуры есть ряд нюансов. До середины прошлого века биопсию легких проводили исключительно открытым способом, но уже с семидесятых годов для этого начали использовать гибкие бронхоскопы.
Сегодня, благодаря развитию медицинских технологий, биопсия легких в Израиле стала преимущественно малоинвазивной процедурой и выполняется при помощи нескольких небольших проколов. Это позволяет сократить процесс восстановления с двух недель (открытый метод) до нескольких дней.
В Израиле биопсию легких выполняют 4-мя методами:
- Трансбронхиальным
- Пункционным
- Торакоскопическим
- Открытым
Какой из них наиболее актуален в вашем случае, на этапе предварительной диагностики решает лечащий врач.
Выбранный метод напрямую зависит от месторасположения опухоли:
- Если она удалена от центра органа – актуальна торакоскопическая или пункционная процедура
- Если опухоль расположена в центре
– проводится трансбронхиальная биопсия - Открытая биопсия выполняется при больших поражениях легких, достоверную природу которых невозможно установить эндоскопическими и малоинвазивными исследованиями
Рассмотрим детальнее все виды биопсии и особенности проведения процедуры в Израиле:
Трансбронхиальная биопсия
Ее выполняет пульмонолог при помощи бронхоскопа – гибкой или жесткой трубки диаметром 3-6 мм, оснащенной лампой и фото-видеокамерой.
Инструмент вводится через нос или рот, процедура не сопровождается болевыми ощущениями, т. к. проходит под общим наркозом.После введения эндоскопа в дыхательные пути врач визуализирует новообразование, щипцами извлекает небольшие кусочки ткани. Данный метод применяется для диагностики опухолей, расположенных рядом с бронхами.Через несколько часов после манипуляции вы отправляетесь домой.
Пункционная
Для получения образцов совершается прокол грудной клетки. Пациент находится под местным наркозом, все манипуляции проводятся под контролем УЗИ. Исследование выполняет специалист пульмонолог либо радиолог. Во время ввода иглы, врач попросит вас не кашлять или временно задержать дыхание.Длительность всей процедуры составляет до 50 минут. На место укола надевается бандаж, через 2-3 часа вы отправляетесь домой. Такой метод биопсии легкого при раке актуален при близком расположении опухоли к стенке грудной клетки.
Торакоскопическая биопсия
Специалист выполняет несколько мини-надрезов в межреберном пространстве, куда вводится троакар – медицинский инструмент для пункции – и другое необходимое оборудование (источник света, видеокамера и пр.
). Орган осматривают, берут образцы, после чего накладывает бандаж или минишвы.Процедура является малоинвазивной операцией, предполагает общий наркоз и последующее пребывание в клинике под наблюдением наших специалистов в течение нескольких дней.
Открытая биопсия легких
Это операция, во время которой грудная клетка вскрывается. Проводится под общей анестезией, хирург извлекает из тканей необходимое количество тканей, накладывает швы, устанавливает дренаж для оттока жидкости. Дренаж удаляется через несколько дней, швы снимаются через две недели.Этот способ забора биоптата наиболее травматичен, используется реже остальных и только в тех случаях, когда невозможно полностью изучить опухоль тремя описанными выше методами диагностики.
Биопсия легкого в Израиле – результаты, правила забора материала
Для получения максимально точных результатов образцы тканей извлекаются из центра новообразования и других его частей – их должно быть не менее пяти. Затем ткани помещаются в специальный контейнер и отправляются в лабораторию на исследование.Длительность ожидания результатов составляет от трех дней до двух недель – в зависимости от времени, необходимого для подготовки материала для изучения.
Биопсия для определения генетических мутаций и резистентности к лекарственным препаратам
Как и все виды онкологии, рак легкого имеет множество мутаций. Генетическое изучение тканей позволяет определить особенности каждой конкретной опухоли и составить индивидуальный план лечения. После цитологического, гистологического исследований и выяснения типа мутации наши врачи выбирают подходящую тактику лечения и назначают соответствующие биологические препараты. Такой подход позволяет значительно продлить жизнь и улучшить ее показатели даже у пациентов с тяжелыми формами заболевания.
Что это значит на конкретном примере: если у пациента диагностирован немелкоклеточный рак легких с мутацией EGFR, эффективность лечения препаратом «Гефитиниб» составляет 71,2%, а химиотерапии в сочетании «Карбоплатин+Паклитаксел» 47,3%. При отсутствии данного типа генной мутации эффективность «Гефитиниба» снижается до 1%, что делает препарат бесполезным. Именно персонализированный подход в медицине делает лечение онкологии эффективным.
Биопсия легких в Израиле – подготовка к процедуре
Длительность и болезненность процедуры напрямую зависит от выбранного врачом метода биопсии. Однако перед любым из них изначально наши специалисты назначают дополнительные диагностические исследования – рентген легких, КТ, МРТ, общеклинические анализы.Важно: обязательно сообщите врачу о наличии аллергии на какие-либо медицинские препараты и перечислите весь список лекарств, которые принимаете регулярно. Антикоагулянты – лекарства, разжижающие кровь, перед процедурой исключаются.
Последствия и восстановление после биопсии легкого
Биопсия легкого – сложная, но необходимая процедура, позволяющая установить точный диагноз среди сотни возможных заболеваний органов дыхания. Одним из наиболее часто встречающихся побочных эффектов является пневмоторакс – боли за грудиной, посинение кожи, увеличение пульса до 90 ударов в минуту, одышка. В отдельных случаях возможны кровотечения.Чтобы избежать этих негативных явлений, после биопсии в обязательном порядке выполняется рентген. При наличии каких-либо отклонений в работе легких назначается лекарственная терапия. Также несколько дней после биопсии возможен прием обезболивающих препаратов. В целом, процесс возврата к нормальной жизни занимает от нескольких дней при малоинвазивном виде процедуры до двух недель при открытом.
Цена биопсии рака легких в Израиле
Стоимость биопсии легких начинается от 960 долларов. Однако окончательная сумма рассчитывается индивидуально для каждого пациента: на нее влияет выбранный метод диагностики, ваше общее состояние здоровья, список дополнительных анализов, которые посчитает необходимым назначить специалист.
Кроме того, если ранее вы уже проходили процедуру биопсии, возможно проведение ее ревизии – повторного изучения взятого материала для уточнения диагноза. Ее стоимость при предоставлении всех необходимых образцов составляет 590 долларов.
КАК ДОКТОРА ДИАГНОСТИРУЮТ БОЛЕЗНИ ЛЕГКИХ И ВЕРХНИХ ДЫХАТЕЛЬНЫХ ПУТЕЙ БЕЗ ЕДИНОГО РАЗРЕЗА НА ТЕЛЕ ПАЦИЕНТА
В Казахстане сегодня эту процедуру выполняют только доктора отделения эндоскопии Президентской клиники. Нам удалось заглянуть прямо в операционную и поговорить с человеком, который привез эту технологию в страну.Женисбек Тынкозиев – врач-эндоскопист. О профессии и выполняемых манипуляциях он рассказывает подробно и очень сосредоточено: непрофессионалу легко запутаться в сложной терминологии описываемой технологии. Тем временем, трансбронхиальная биопсия, верит доктор, — медицинская фраза, которая со временем станет такой же широко употребляемой и понятной непрофессионалам, как, например, флюорография. Все дело в методе, говорит доктор Тынкозиев: он позволяет врачам точно и с минимальными последствиями определять диагноз пациентам, которые поступают с подозрениями на болезнь легких и верхних дыхательных путей.
«Миниинвазивность» — не просто модное слово в медицинском словаре доктора: процедуры с минимальными вмешательствами дают шанс на диагностику и лечение пациентам, которым в ином случае бы отказали в медицинской помощи по причине слабого здоровья. К таким миниинвазивным способам как раз относится трансбронхиальная биопсия, которой доктор Президентской клиники Женисбек Тынкозиев обучился во время стажировки в России, Германии и Израиле. О ней же он рассказывает сегодня в нашем материале.
ТРИДЦАТЬ ЧЕТЫРЕ СЛУЧАЯ
Каждый раз перед началом выполнения манипуляции испытываешь волнение и страх, что в нашем случае, на мой взгляд, является положительным фактором: сложно представить доктора, который не волнуется и не боится, так как без этих чувств пропадает ответственность перед пациентом, операционной командой и самой профессией. Во время выполнения трансбронхиальной биопсии внутренний «ответственометр» достигает максимальной отметки: ведь мы имеем дело с легкими и его составляющими – плеврой, трахеями, бронхами.
Любой неверный шаг может обернуться серьезным последствием для пациента.
С медицинской командой отделения эндоскопии Президентской клиники за последний год мы выполнили тридцать четыре манипуляции. Из них в подавляющем большинстве случаев (87%) наша диагностика позволила поставить точный диагноз (онкология, туберкулез, саркоидоз), в оставшихся 13% нам удалось подтвердить отсутствие болезни.
Но для начала предлагаю стартовать с основ: что значит трансбронхиальная биопсия, кому и при каких случаях ее выполняют, и почему она дает точные результаты?
ЕЩЕ МЕНЬШЕ ПОСЛЕДСТВИЙ
В нашей Больнице мы применяем два способа диагностики легких и верхних дыхательных путей с помощью эндоскопа: первый – это трансбронхиальная биопсия, то есть забор материла, который извлекается из ткани легкого, второй –трансбронхиальная пункция лимфоузла средостения, то есть прокол для анализа материала лимфоузлов, расположенных в полости между легкими (средостения).
Оба метода являются миниинвазивными — проводятся без открытого вмешательства и разреза в грудной клетке пациента, как это, например, происходит при более широко распространенных на сегодня методах диагностики болезней легкого – трансторакальной пункционной и открытой биопсии.
Впрочем, нужно отметить, что бронхоскоп – вид эндоскопа для осмотра и забора материла легких – давно применяется в медицинской практике, разница между трансброхиальным методом и всеми остальными — в масштабах досягаемости: что при открытом способе, что при использовании обычного бронхоскопа, поле действия врачей, как правило, ограничено возможностями самих технологий. Бронхоскопом мы можем пройти в сегментарные отделы легкого, но продвинуться дальше за их пределы для осмотра образований на периферии органа – это будет сделать невозможно.
Кроме того, способ трансбронхиальной диагностики является самым инклюзивным среди существующих методов диагностики онкологических болезней легких, туберкулеза и саркоидоза: так как манипуляция является миниинвазивной, мы проводим ее даже тем пациентам, которым противопоказана открытая операция.
Сюда относятся, например, пациенты с болезнями сердца либо люди преклонного возраста.
ПРЯМОЙ ЭФИР И ЭКПРЕСС-ЛАБОРАТОРИЯ
Для трансбронхиальной биопсии легкого и трансбронхиальной пунции лимфоузла мы используем специальные иглы, с помощью которых можем проходить в самые труднодоступные участки легкого. Представьте себе, что диаметр самой трахеи достигает двух сантиметров, главных бронхов – полтора, если спускаться глубже, то просвет ветвей бронхов будет с каждым разом становиться уже. В сегментарном отделе их диаметр равен всего семи миллиметрам. Наш аппарат по размеру лишь на миллиметр меньше.
А теперь представьте себя в операционной: с помощью эндоскопа продвигаемся через просветы бронхов — сквозь трубку диаметром в 6 миллиметров проводим еще более тонкие иглы для выполнения манипуляции в легком и в лимфоузлах. При этом поле нашего действия (сегмент легкого, пределы предполагаемого образования) мы перед этим подробно изучили благодаря снимку компьютерной томографии пациента, потому знаем, в какой области нам необходимо действовать.
Но для точности этого не достаточно: навигатором во время самой манипуляции нам служит рентген – по нему мы видим, как и в каком направлении движутся наши инструменты в самом легком в режиме «прямого эфира»: на экране мы видим картину легкого, благодаря которому управляем всем процессом изнутри.
По времени сама процедура занимает не больше часа: за это время мы успеваем не только взять необходимый материал для исследования, а также узнать о наличие или отсутствии болезни не выходя из операционной. Все дело в том, что полученный из органа материал мы сразу отправляем на экпресс-цитологию в клинико-диагностическую лабораторию нашей Больницы и спустя пятнадцать-двадцать минут мы можем поставить диагноз пациенту. Такой экспресс-алгоритм пока выполняется только в нашей Больнице.
ИСТОРИИ ИЗ ПРАКТИКИ
У нас как-то был случай: к нам обратилась пациентка, которая несколько раз до этого проходила бронхоскопию в родном городе, один раз ей выполнили биопсию легкого открытым методом, но результат выдался не таким успешным – взятые фрагменты оказались малоинформативными.
У пациентки, тем временем, после открытого вмешательства произошли осложнения, возникли спайки в легочном отделе, из-за чего ей долгое время пришлось провести в реанимации.
После восстановления она обратилась к пульмонологу нашей Больницы, Бакеновой Розе Агубаевне, таким образом, команда наших эндоскопистов подключилась к процессу лечения. Снимки компьютерной томографии показали, что очаг образования в легком размером не превышает трех миллиметров: нам нужно было точно все заранее рассчитать, чтобы также точно провести исследование. Конечно, был риск и волнение, но нам в итоге удалось попасть в очаг и в течение пятнадцать минут определить диагноз, который не могли установить долгое время. У пациентки — саркоидоз.
К нам на диагностику приезжают пациенты со всего Казахстана, многие из них — с подозрением на онкологию. В некоторых случаях мы для начала проводим обычную бронхоскопию, и если в доступном для этого инструмента просвете мы ничего не можем обнаружить, то приступаем к трансбронхиальной биопсии.
Она, как помните, позволяет нам глубже исследовать территорию органа, благодаря чему нам не раз удавалось опровергать либо подтверждать подозрения на онкологию, и даже определять ее степень. Последнее, впрочем, также можно считать позитивным исходом для пациента, особенно, если онкология находится на начальной стадии развития. Все наши пациенты с подтвердившимся диагнозом не так давно были удачно прооперированы в центре онкологии и трансплантологии.
Биопсию мы берем не только в легком, но и в лимфоузлах средостения, что бывает особенно критично при подтверждении туберкулеза, саркойдоза и особенно онкологии. В лимфоузлах могут находиться метастазы раковых клеток, даже если в самом очаге образования в легком нет никаких признаков болезни. В некоторых случаях мы пунктировали лимфоузлы и, таким образом, обнаруживали начальную стадию рака.
ЗА И ПРОТИВ
Трансбронхиальная биопсия, как и любая медицинская манипуляция, конечно же, имеет свои противопоказания: мы не берем пациентов, которые получают высокие дозы антикогулянтов (препаратов разжижающих кровь).
Из-за них увеличивается риск внезапного кровотечения во время выполнения процедуры. По причине большой вероятности осложнений, трансбронхиальная биопсия также противопоказана пациентам с высоким легочным давлением.
Но все же список тех, кому эта манипуляция позволена и даже показана, намного шире, так как она, повторюсь, является миниинвазивной и соответственно, менее ущербной для самого пациента.
Кроме того, в нашем случае пациент получает не только «экспресс-результат» уже по окончании манипуляции: за одну процедуру мы можем взять все виды анализов необходимых для исследования легких на туберкулез, онкологию, цитологию (изучение клеток) и гистологию (анализ ткани). Традиционно все эти анализы берутся отдельно.
Еще одно важное преимущество – в финансовой стороне вопроса: сама манипуляция стоит тридцать тысяч тенге, дороже обходятся расходные материалы, которые являются одноразовыми – сто девяносто тысяч тенге. Но, как говорится, все познается в сравнении: трансбронхиальная биопсия в Израиле достигает восьми тысяч долларов, а в Европе и США – десяти тысяч американских денег.
Впрочем, во всем мире все больше пациентов обращаются к этой манипуляции, благодаря которой наши действия становится все менее инвазивными, а возможности — все более точными и достоверными.
СПРАВКА: Тынкозиев Женисбек Кадирбекович — врач хирург-эндоскопист. Стаж 10 лет. Закончил Южно-Казахстанскую медицинскую академию. До внедрения технологии в Казахстане, прошел обучение в России, Германии и Израиле. Состоит в Обществе эндоскопистов РК, Европы и России, а также во Всемирном Обществе эндоскопистов.
Биопсия легкого | Архив | Аргументы и Факты
Мне никак не могут поставить диагноз, и врач назначил биопсию легкого. Как ее делают?
К. Л е о н о в, Химки
Отвечает заместитель директора по научной работе НИИ пульмонологии МЗ РФ, доктор мед. наук, профессор Андрей Львович ЧЕРНЯЕВ:
— В ПУЛЬМОНОЛОГИИ проводят 4 вида биопсий.
Какую именно надо назначить, зависит от клинической картины и того, что показывают рентгенография и компьютерная томография.
Во время бронхобиопсии врач с помощью эндоскопа «откусывает» кусочек стенки бронха. На мой взгляд, такая биопсия показательна при центральном раке легкого, но малоинформативна при хроническом бронхите. Хронический обструктивный бронхит, или, как его называют за границей, хроническая обструктивная болезнь легких (ХОБЛ), — это поражение бронхов меньше 2 мм в диаметре, до которых нельзя добраться эндоскопически. Зонд в них провести еще можно, но где взять такие кусачки, чтобы можно было воспользоваться ими в этом тонюсеньком просвете? Хронический бронхит мозаичен: в одном месте воспаление есть, а в другом — нет; чем глубже по бронхиальному дереву, тем сильнее выражено воспаление. Вот и получается, что биопсия показывает абсолютно здоровые ткани, а у больного по всем признакам — ярко выраженный хронический бронхит. Или наоборот: больной чувствует себя довольно хорошо, а врачу-патологоанатому попался кусочек, где ткань — в предраковом состоянии.
При трансбронхиальной биопсии бронх прокалывают бронхоскопом и берут 2-3-миллиметровый кусочек легочной ткани. Перед биопсией обязательно делают компьютерную томографию и выявляют пораженную зону, поэтому снимки позволяют действовать в нужном месте, а не брать биопсию наугад. Трансбронхиальная биопсия позволяет выявить диффузные паренхиматозные заболевания легких — так называемые альвеолиты, когда воспаление — в стенках альвеол. Однако результативность таких биопсий во всем мире составляет около 40%: все-таки альвеолит — это диффузное поражение, и можно не попасть бронхоскопом в нужную точку.
Пункцию лимфоузла через бронх выполняют, если на рентгеновских снимках видны увеличенные лимфатические узлы или есть подозрение на опухоль. Но сегодня такие процедуры делают редко.
Самая информативная биопсия — торакоскопическая (или открытая): ее диагностическая точность — 85%. Через два маленьких разреза вводят эндоскопические аппараты — камеру и «ножницы».
Глядя в камеру, находят наиболее уязвимые участки и из них берут биопсию. С помощью лазерного прибора можно затем запаять легочную ткань. Возникает вопрос: если кусочек вырезают целенаправленно из пораженной ткани, почему достоверность не 100-процентная? Диагноз должен ставиться на консилиуме пульмонолога, рентгенолога и патологоанатома, и нельзя сказать, что кто-то из трех специалистов важнее. Для правильного диагноза нужны все трое. Патологоанатом описывает то, что он видит под микроскопом, но без клиники и рентгенографии поставить диагноз бывает сложно. Например, даже если врач-патологоанатом видит участок склероза, по одному кусочку нельзя сказать, как далеко распространился этот процесс.
Смотрите также:
Page not found – МЕДИЦИНСКИЙ ЦЕНТР ГАЛИЛЕЯ
Dropdown *выберите странуАвстралияАвстрияАзербайджанАлбанияАлжирАнгильяАнголаАндорраАнтигуаАргентинаАрменияАрубаАфганистанБагамские о-ваБангладешБарбадосБахрейнБеларусьБелизБельгияБенинБермудские о-ваБолгарияБоливияБосния и ГерцеговинаБотсванаБразилияБрунейБуркина-ФасоБурундиБутанВануатуВатиканВеликобританияВенгрияВенесуэлаВиргинские о-ва (Великобритания)Виргинские о-ва (США)Восточное — Самоа (США)Восточный ТиморВьетнамГабонГавайские о-ваГаитиГайанаГамбияГанаГваделупаГватемалаГвиана – французскаяГвинеяГвинея-БисауГерманияГернсиГибралтарГондурасГонконгГренадаГренландияГрецияГрузияГуамДанияДжерсиДжибутиДиего Гарсия о-ваДоминикаДоминиканская РеспубликаЕгипетЗамбияЗанзибар о-вЗападное СамоаЗимбабвеИзраильИндияИндонезияИорданияИракИранИрландияИсландияИспанияИталияЙеменКабо-ВердеКазахстанКайманКамбоджаКамерунКанадаКатарКенияКипрКиргизияКирибатиКитайКокосовы (Килинг) о-ваКолумбияКоморские о-ваКонгоКонго (Демократическая республика)Корея СевернаяКорея ЮжнаяКоста-РикаКот-д’ИвуарКубаКувейтКука о-ваЛаосЛатвияЛесотоЛиберияЛиванЛивияЛитваЛихтенштейнЛюксембургМаврикийМавританияМадагаскарМайоттаМакаоМакедонияМалавиМалайзияМалиМальдивыМальтаМарианские о-ваМароккоМартиникаМаршалловы о-ваМексикаМидуэйМикронезияМозамбикМолдавияМонакоМонголияМонтсерратМьянмаМэнНамибияНауруНепалНигерНигерияНидерландыНикарагуаНиуэ о-вНовая ЗеландияНовая КаледонияНорвегияНормандские о-ваНорфолкОбъединённые Арабские ЭмиратыОлдерниОльстерОманПакистанПалауПалестинаПанамаПапуа Новая ГвинеяПарагвайПеруПольшаПортугалияПуэрто-РикоРеюньонРоссийская ФедерацияРуандаРумынияСальвадорСамоаСан-МариноСан-Томе и ПринсипиСаудовская АравияСвазилендСвятой Елены о-ваСейшельские о-ваСенегалСент-Винсент и ГренадиныСент-Кристофер и НевисСент-ЛюсияСент-Пьер и МиелокСербия и ЧерногорияСеута и МелильяСингапурСирияСловакияСловенияСоединенные Штаты АмерикиСоломоновы о-ваСомалиСуданСуринамСьерра-ЛеонеТаджикистанТаиландТайваньТанзанияТеркс и Кайкос о-ваТогоТокелауТонгаТринидад и ТобагоТристан-Да-Кунья ос-вТувалуТунисТуркменияТурцияУгандаУзбекистанУкраинаУоллис и Футуна о-ваУругвайУэйкФарерские о-ваФиджиФилиппиныФинляндияФолклендские (Мальвинские) о-ваФранцияФранцузская ПолинезияХорватияЦентральноафриканская РеспубликаЧадЧехияЧилиШвейцарияШвецияШпицбергенШри-ЛанкаЭквадорЭкваториальная ГвинеяЭритреяЭстонияЭфиопияЮжно-Африканская РеспубликаЯмайкаЯпония
Single Line Text
Трансторакальная биопсия под контролем компьютерной томографии в диагностике объемных образований легких и средостения
Своевременная диагностика заболеваний органов грудной клетки обеспечивает наиболее благоприятные условия для их успешного лечения.
В значительном числе наблюдений существует необходимость морфологической верификации при периферических образованиях в легких. Диагностика, основанная только на клинических данных, особенно на начальной стадии развития заболевания, весьма затруднительна и зачастую недостаточна [2, 12, 13]. Нередко бессимптомность течения и трудности инструментальных исследований не позволяют достоверно устанавливать диагноз и полноценно контролировать динамику заболевания. Оценка скиалогических особенностей объемных образований легких и средостения по данным рентгенографии или КТ имеет большое значение в дифференциальной диагностике. Очаги можно классифицировать по размерам, характеру контуров, структуре, плотности, состоянию окружающей легочной ткани. Для образований, имеющих анатомические или метаболические признаки злокачественности, необходима полноценная морфологическая верификация, являющаяся основой формирования онкологического диагноза [6, 7]. Рак легкого остается наиболее распространенным злокачественным новообразованием в мировой популяции, что в условиях онкологической настороженности обусловливает максимально возможное обследование больных с образованиями в легких.
В настоящее время существует множество способов получения морфологического материала из опухолей органов грудной клетки, описанных в отечественной и зарубежной литературе [1, 5]. Задачи постановки окончательного диагноза решаются с помощью хирургических методов обследования: диагностической торакотомии, видеоторакоскопии, медиастиноскопии, трансбронхиальной и трансторакальной биопсии. При этом последняя, являясь наименее инвазивной, дает возможность получить материал для гистологического, цитологического, бактериологического и других исследований, позволяя завершить диагностический поиск и определить тактику лечения заболевания [4, 10]. Трансторакальная пункция может быть осуществлена с использованием различных методов визуализации: рентгенографии, УЗИ и КТ. Совершенствование рентгенологических методик и широкое ведение высокотехнологичной аппаратуры позволили сократить частоту использования рентгеноскопии для проведения трансторакальных пункций до минимума и большинство манипуляций проводить под контролем КТ, а применение различных биопсийных методик открыло новые возможности верификации диагноза на дооперационном этапе даже при малых размерах образований [9, 11, 14].
Цель настоящего исследования — оценка диагностических возможностей различных методов трансторакальной биопсии образований легких и средостения под контролем компьютерной томографии.
Материал и методы
С 2005 по 2010 г. 107 больным была произведена в отделении лучевого и хирургического лечения заболеваний торакальной области МРНЦ Минздравсоцразвития России трансторакальная пункционная биопсия под контролем компьютерной томографии. Возраст больных варьировал от 20 до 86 лет (в среднем 58,5 года). Каждый пациент был проинформирован об особенностях предстоящей процедуры и возможных осложнениях. Исследование проводилось под местной анестезией в горизонтальном положении больного на столе компьютерного томографа. Место прокола грудной стенки избиралось индивидуально в зависимости от расположения очага, пути прохождения иглы, удобства пункции и снижения риска потенциальных осложнений. Положение иглы контролировалось КТ в различные временные этапы выполнения процедуры.
Важное место при биопсии объемных образований легких занимала равномерная глубина вдохов во время разметки и пункции образования.
Тонкоигольную аспирационную биопсию (ТИАБ) выполняли иглами диаметром 20G по стандартной методике. Для трепанационной биопсии использовали иглы (диаметр 14G, длина 100 мм), представляющие собой троакар, внутри которого при проколе располагается мандрен, затем при локализации иглы в опухоли проводили стилет с расщепленным концом, позволяющий захватить кусочек ткани, достаточный для гистологического исследования (рис. 1).Рисунок 1. Игла для тканевой биопсии легкого. а — троакар иглы; б — мандрен; в — стилет с расщепленным концом (г) для захвата кусочка ткани. Также эта техника выполнения пункции дает возможность получать материал для цитологического исследования в виде отпечатков опухолевой ткани или смывов с иглы.
Результаты и обсуждение
Размер пунктируемых образований составил от 10×10 до 200×87 мм (в среднем 49,6×38,7 мм).
Объемные образования органов грудной клетки субплеврально локализовались у 24 (22,4%) больных, в легочной паренхиме на расстоянии 1-3 см от грудной стенки — у 54 (50,5%), на расстоянии более 4 см — у 18 (16,8%) и в области средостения — у 11 (10,3%) больных.
При проведении трансторакальной биопсии легкого получить материал для дальнейшего исследования удалось у 103 пациентов. В 4 наблюдениях проведение пункции оказалось неудачным и морфологический материал не был получен по причине развившегося пневмоторакса (3 наблюдания), не позволившего локализовать иглу в опухоли, и в связи с плотной консистенцией опухоли и ее малым размером (1). Процедура пункции вместе с предварительной КТ-разметкой занимала от 15 до 35 мин. Как правило, для локализации иглы в опухоли было достаточно одного прокола грудной стенки (рис. 2),Рисунок 2. Компьютерная томограмма больного С. Конец иглы локализован в центре опухоли правого легкого. в редких наблюдениях эта процедура осуществлялась повторно.![]()
Диагноз злокачественной опухоли легкого установлен у 80 больных из 107 и был подтвержден при проведении трансторакальной биопсии, последующего оперативного вмешательства или динамического наблюдения. Рассматривая результаты использования различных методов биопсии, следует отметить, что условия их выполнения были различными и к выбору подходили дифференцировано. ТИАБ чаще использовалась в сложных условиях: при малом размере опухоли, ее расположения вблизи крупных сосудов и при высоком риске грубого повреждения легочной ткани.
ТИАБ успешно выполнена 34 больным, в том числе злокачественная опухоль была у 24 больных, неопухолевый процесс — у 10. Из 24 больных со злокачественной опухолью у 18 удалось правильно распознать заболевание. В 6 наблюдениях получены ложноотрицательные заключения, чувствительность ТИАБ при верификации злокачественного процесса составила 75%. Из 10 больных с неопухолевыми образованиями у 7 удалось правильно верифицировать диагноз. Таким образом, точность ТИАБ составила 73,5%.
Осложнения в виде пневмоторакса, не сопровождающиеся клиническими проявлениями, отмечены у 5 (14,7%) больных, при контрольном сканировании была выявлена тонкая полоса воздуха в плевральной полости. Интервенционных методов лечения и интенсивной медикаментозной терапии по поводу развившихся осложнений не проводилось.
Трепанационная биопсия была выполнена 69 больным (рис. 3).Рисунок 3. Компьютерная томограмма больной С. На срезе видны две части иглы: троакар у переднего полюса опухоли и проведенный через него стилет с расщепленным концом в центре опухоли. Окончательный диагноз в 57 наблюдениях был представлен злокачественными опухолями. В 53 из них по результатам морфологического исследования правильно верифицировано заболевание (в 83,9% — гистологически, в 76,8% — цитологически). Чувствительность трепанационной биопсии для верификации злокачественного процесса составила 93%. Из 13 больных с неопухолевыми образованиями легких у 12 правильно верифицирован диагноз. Таким образом, точность трепанационной биопсии составила 94,2%.
Осложнения наблюдались у 10 (14,5%) больных: пневмоторакс — у 8, кровохарканье — у 2. Клинически значимые осложнения, потребовавшие вмешательства и медикаментозной коррекции, развились в 2 наблюдениях (дренирование плевральной полости, гемостатическая терапия). Отмечено, что при проведении трепанационной биопсии осложнения были более тяжелыми, это вполне соответствует данным литературы, свидетельствующим об увеличении частоты пневмотораксов при использовании игл большего диаметра [3, 8]. По полученному гистологическому материалу 5 больным раком легкого выполнено исследование опухоли на наличие мутации EGFR, что в значительной степени повлияло на тактику лечения.
При анализе зависимости информативности ТИАБ и трепанационной биопсии от размера образования никаких закономерностей не выявлено (табл. 1). Следует отметить, что основной причиной неудач при трепанационной биопсии стало получение большого количества некротизированной ткани, избыточное присутствие которой не позволяло установить морфологический диагноз.
По-видимому, при размере очагов более 3 см вероятность деструктивных изменений в тканях весьма велика, тогда как при меньшем размере некротические изменения менее выражены и возможность получить жизнеспособную ткань выше. При этом значительный размер образования (более 6 см) позволяет получить несколько образцов ткани из различных частей (центра, периферии, «капсулы») и дает больше шансов на получение информативного материала и перспективу работы морфолога с различными тканевыми структурами.
Анализ зависимости информативности различных видов биопсии от глубины расположения образования продемонстрировал противоречивые результаты (табл. 2). Локализация очага около грудной стенки создавала наиболее благоприятные условия выполнения трепанационной биопсии, что обеспечило повышение чувствительности метода при приближении границ образования к париетальной плевре. В то же время при ТИАБ указанной зависимости не выявлено, что может быть объяснено недостаточным количеством наблюдений, а также большим процентом неопухолевых заболеваний в группе больных с образованиями, прилежащими к грудной стенке, верификация которых затруднена.
При последующем наблюдении за больными со злокачественными опухолями оценивалась возможность развития имплантационных метастазов в области прохождения биопсийной иглы. Ни у одного больного не было выявлено признаков имплантационного метастазирования.
Таким образом, трепанационная биопсия легкого и средостения с последующим цитологическим и гистологическим исследованием материала обладает более высокой диагностической ценностью при верификации объемных процессов в легких по сравнению с тонкоигольной аспирационной биопсией. Метод прост в использовании и не сопровождается тяжелыми осложнениями. Близкое расположение опухоли и ее большой размер способствуют повышению чувствительности трепанационной биопсии, позволяя получить достаточное количество тканевого материала и проводить качественное морфологическое исследование. Различные виды трансторакальной биопсии должны чаще использоваться в диагностике периферических образований органов грудной клетки для установления правильного диагноза и проведения своевременного лечения.
Игла для биопсии легкого, тип Франзен (Franzen)
FBL — специальный инструмент для взятия гистологических биопсий. Данный тип иглы был разработан доктором Франзеном. Предназначен для взятия биоптата ротационным методом.
Наиболее часто применяется для биопсии легочной ткани, а так же для биопсии простаты.
Конструктивные особенности:
- чётко видимая сантиметровая разметка и скользящий полимерный ограничитель облегчают контроль за глубиной погружения иглы
- игла оснащена удлиненной рукоятью (35 мм), удобно располагающейся в руке, что повышает точность манипуляций
- имеет порт Луер-Лок (Luer-Lock) для соединения со шприцем
- имеет трёхгранную заточку мандрена, совмещенную с заточкой режущих кромок иглы. Такой рисунок кромки иглы в виде трезубца позволяет легко отделять образцы «пористой» ткани
- Внимание! По заказу возможна поставка эхогенных игл, видимых под УЗИ по всей длине. В этом случае к коду иглы необходимо добавить литер «E», например,
FBL20x25 E.
- маркирована в соответствии с международной цветовой кодировкой размеров
- широкий диапазон размеров: диаметр 0,7—1,2 мм, длина 10—25 см
| Стандартная, код товара: | Эхогенная, код товара: | Размеры | Количество в упаковке |
|---|---|---|---|
| FBL18/10 | FBL18/10E | 18Gx10 см | 20 |
| FBL18/15 | FBL18/15E | 18Gx15 см | 20 |
| FBL18/20 | FBL18/20E | 18Gx20 см | 20 |
| FBL18/25 | FBL18/25E | 18Gx25 см | 20 |
| FBL19/10 | FBL19/10E | 19Gx10 см | 20 |
| FBL19/15 | FBL19/15E | 19Gx15 см | 20 |
| FBL19/20 | FBL19/20E | 19Gx20 см | 20 |
| FBL19/25 | FBL19/25E | 19Gx25 см | 20 |
| FBL20/10 | FBL20/10E | 20Gx10 см | 20 |
| FBL20/15 | FBL20/15E | 20Gx15 см | 20 |
| FBL20/20 | FBL20/20E | 20Gx20 см | 20 |
| FBL20/25 | FBL20/25E | 20Gx25 см | 20 |
| FBL21/10 | FBL21/10E | 21Gx10 см | 20 |
| FBL21/15 | FBL21/15E | 21Gx15 см | 20 |
| FBL21/20 | FBL21/20E | 21Gx20 см | 20 |
| FBL21/25 | FBL21/25E | 21Gx25 см | 20 |
| FBL22/10 | FBL22/10E | 22Gx10 см | 20 |
| FBL22/15 | FBL22/15E | 22Gx15 см | 20 |
| FBL22/20 | FBL22/20E | 22Gx20 см | 20 |
| FBL22/25 | FBL22/25E | 22Gx25 см | 20 |
Роль бронхоскопии в диагностике рака легких
Бронхоскопия выполняется для диагностики онкологической и другой патологии дыхательных путей.
Бронхоскопия – единственный на сегодняшний день вид лечебно-диагностического исследования, позволяющий изнутри осмотреть трахеобронхиальное дерево и оценить его состояние.
Бронхоскопия – метод диагностики заболеваний трахеи и бронхов с помощью специального прибора, имеющего осветительное оборудование и видеокамеру. Эта трубка вводится в просвет трахеи через гортань и достигает разветвлений бронхов. Изображение дыхательных путей выводится на экран монитора. Современные приборы созданы на основе оптоволоконных технологий и обеспечивают высокую диагностическую эффективность. При бронхоскопии удается осмотреть дыхательные пути до сегментарных бронхов и в 97% случаев поставить точный диагноз. Для исследования более мелких ветвей применяются другие методы диагностики.
Показания к проведению бронхоскопии: немотивированный мучительный кашель, одышка непонятного происхождения, кровохарканье, частые бронхиты и пневмонии, подозрение на инородное тело бронхов, подозрение на опухоль трахеи и бронхов, признаки патологических изменений на рентгенограмме.
Необходимость бронхоскопии и возможность ее проведения определяет врач-пульмонолог, терапевт, хирург.
Техника выполнения бронхоскопии требует ее проведения в условиях стационара-в специально оборудованном кабинете и с полным соблюдением правил стерильности. Исследование проводиться натощак, последний прием пищи должен быть не позднее, чем за 8 часов до процедуры.
При исследовании гибким бронхоскопом чаще всего применяют местную анестезию. Общая анестезия рекомендована детям и людям с лабильной психикой. Бронхоскоп вводят через носовой ход или рот. В момент вдоха бронхоскоп проводят через голосовую щель в трахею и дальше в бронхи. Бронхоскоп намного тоньше дыхательных путей, поэтому он не мешает дыханию.
Комплексное обследование при подозрении на онкологическое заболевание легких включает в себя биопсию, во время которой необходим забор материала для гистологического и цитологического исследования. Биопсийный материал можно взять разными способами: откусывание ткани специальными щипцами, браш-биопсия-взятие материала с помощью специальной щетки-скарификатора.
Затем проводят исследование ткани и клеток под микроскопом. Благодаря биопсии можно подтвердить или опровергнуть заболевание. Таким образом, бронхоскопия и биопсия легких при раке играют большую роль в постановке диагноза.
В эндоскопическом отделении Тамбовской областной клинической больницы имени В. Д. Бабенко бронхоскопия проводится в течение длительного времени. Ежегодно выполняется около 2,5 тыс. манипуляций. В настоящее время исследование выполняется на видеоэндоскопе японского производства, что позволяет визуализировать мельчайшую патологию слизистой. При появлении симптомов, связанных с патологией бронхиального дерева необходимо обратится к специалисту, который при необходимости порекомендует эндоскопическое исследование трахеобронхиального дерева.
Согласно статистическим данным, в последнее время отмечается рост числа людей, заболевших раком. Ученые исследовали различные проявления раковых опухолей и доказали, что только 10 – 30% из раковых изменений вызваны наследственностью, а оставшиеся 70 – 90% изменений связаны с воздействием вредных условий среды.
Данное исследование важно в плане профилактики онкологических заболеваний.
На частоту возникновения рака лёгких, помимо неправильного питания и факторов внешней среды, очень сильно влияет курение. Рак лёгких чаще встречается среди курильщиков. При этом рак легких может возникать даже у пассивных курильщиков.
Все права на материалы и новости, опубликованные на сайте Управления здравоохранения Тамбовской области, охраняются в соответствии с законодательством РФ. Допускается цитирование с обязательной прямой ссылкой на Управление здравоохранения Тамбовской области.
Типы, цели, процедуры, риски и чего ожидать
Если ваш врач обнаружит что-то необычное на рентгеновском снимке вашей грудной клетки или компьютерной томографии, он может попросить вас сделать биопсию легкого. В этой процедуре врач удаляет небольшой образец клеток из вашего легкого и проверяет его под микроскопом на наличие признаков заболевания.
Вы также можете пройти биопсию легкого, чтобы выяснить, почему в ваших легких есть жидкость, или для диагностики рака.
Какой бы ни была причина, у вас может возникнуть множество вопросов о том, как это делается и как подготовиться.Многое зависит от того, какой тип биопсии легкого рекомендует ваш врач.
Бронхоскопия (трансбронхиальная биопсия)
Ваш врач вводит гибкую трубку шириной примерно с карандаш в ваш рот или нос, а оттуда в легкие. Свет и камера помогают направлять крошечные инструменты, которые выводят клетки из вашего легкого через трубку.
Вы будете бодрствовать, пока это будет происходить, но вы можете получить лекарства через капельницу, чтобы расслабиться, а также кислород через маску или носовую трубку.
Продолжение
Чтобы определить правильное место для биопсии, ваш врач может сделать рентгеновский снимок. Затем вам в горло будут распылять обезболивающее.
После того, как они введут трубку, вы можете почувствовать дискомфорт в горле, и вы не сможете глотать, но сможете дышать. После этого у вас может появиться боль в горле, кашель или охриплость, которые проходят через несколько дней.
Игольная биопсия легкого (трансторакальная биопсия)
Этот тип биопсии легкого обычно проводится, когда клетки не могут быть обнаружены с помощью бронхоскопии.Врач вводит иглу в грудную клетку между двумя ребрами, чтобы взять образец из внешней области легких.
Вы проснетесь, ваша кожа онемеет, и вы можете принять успокаивающее средство. Чтобы найти лучшее место для проведения процедуры, вам сделают УЗИ, компьютерную томографию или специальный рентгеновский снимок, известный как рентгеноскопия.
Когда игла входит в легкое, вы можете почувствовать дискомфорт или давление. Вам нужно избегать кашля и, возможно, придется задерживать дыхание.
Торакоскопическая биопсия легкого (торакоскопия)
Вы также можете слышать, как ваш врач называет это торакоскопической хирургией с использованием видео (VATS).Он проверяет наличие проблем снаружи ваших легких.
Для этой процедуры вам будет сделана общая анестезия, а это значит, что вы не проснетесь для нее.
Ваш врач вставляет дыхательную трубку вам в горло и в легкие и следит за вашим дыханием, артериальным давлением, уровнем кислорода и частотой сердечных сокращений.
Врач делает до трех небольших надрезов на груди между ребрами, затем вставляет тонкую освещенную трубку с камерой на конце и с помощью крошечных инструментов извлекает некоторые клетки.
Открытая биопсия легкого (ограниченная торакотомия)
Ваш врач обычно предлагает этот тип биопсии только тогда, когда другие методы не могут получить образцы клеток.
Как и при торакоскопической биопсии легкого, для этой процедуры вы не проснетесь. Ваш хирург делает более крупный разрез, чем при других методах, который может проходить от груди и под мышками к спине. Это позволяет вашему врачу добраться до ваших легких и удалить клетки.
Как подготовиться к биопсии легкого
Чтобы убедиться, что биопсия легкого безопасна, ваш врач может предложить вам пройти полный медицинский осмотр и анализы крови.
Сообщите им, если вы беременны или у вас есть аллергия, в том числе на латекс или лекарства.Также сообщите им, принимаете ли вы лекарства, особенно аспирин или другие препараты, влияющие на свертываемость крови.
Вы подпишете документы о согласии. Внимательно прочтите их, чтобы понять процедуру и риски.
Спросите своего врача, чего ожидать во время процедуры. Обсуждая варианты, нужно подумать о чем:
Если вам сделают бронхоскопию или игольную биопсию, вы выздоровеете быстрее. Однако врачи удаляют меньше клеток, чем при других процедурах, что иногда затрудняет постановку диагноза.
Если вам делают торакоскопию или открытую биопсию, вы можете сразу же сдать образец клеток на анализ.В зависимости от результатов ваш врач может взять больше образцов или даже все легкое во время одной операции.
По крайней мере, за 8 часов до биопсии легкого, обычно около полуночи, вам, вероятно, придется прекратить есть и пить. Если вы проснетесь во время процедуры, вы сможете пить воду утром.
Что происходит после биопсии?
Ваш образец биопсии легкого будет отправлен в лабораторию, и вы получите результаты в течение недели.
Вам могут сделать рентген грудной клетки, чтобы убедиться, что ваши легкие работают нормально.Если вы не спали, вы сможете вернуться домой через несколько часов. Попросите кого-нибудь подобрать вас, потому что ехать небезопасно. В противном случае вам может потребоваться остаться в больнице на одну или несколько ночей.
В следующие несколько дней ваша грудь может болеть. Если после процедуры у вас образовалась рана, следуйте указаниям врача по ее очистке. Обычно вы можете вернуться к своей обычной деятельности, но, возможно, вам придется избегать интенсивных физических нагрузок в течение нескольких дней. Принимайте только обезболивающие, прописанные врачом, поскольку некоторые из них, например аспирин, могут вызвать усиление кровотечения.
Риски и осложнения
Пневмония представляет собой риск для всех типов биопсии легких.![]()
Пневмоторакс, при котором воздух просачивается между легким и грудной полостью, может затруднить дыхание или вызвать коллапс легкого при этих процедурах, но ваш врач будет следить за этим и при необходимости высасывать воздух.
Продолжение
Другие редкие, но серьезные осложнения хирургической биопсии легкого могут включать сильное кровотечение, инфекцию раны и образование тромбов.
Позвоните своему врачу, если у вас есть какие-либо признаки инфекции или осложнения, в том числе:
- Лихорадка более 100.4 F
- Покраснение, отек или вытекание крови или жидкости из раны
- Сильная боль в груди
- Одышка
- Кашель с кровью или кровянистой слизью
Процедура биопсии легкого: типы, подготовка и recovery
Биопсия легкого — это медицинская операция. Процедура часто включает удаление тканей или новообразований из легких.
Есть несколько причин, по которым врач может рекомендовать биопсию легкого.
Они могут выбрать один из нескольких типов биопсии в зависимости от того, какой из них наиболее подходит для пациента.
Во многих случаях биопсия может не подходить для данного человека.
Люди могут испытывать некоторую тревогу перед биопсией. Однако понимание характера процедуры, а также рисков и преимуществ может помочь кому-то заранее почувствовать себя более комфортно.
В этой статье мы рассмотрим, когда необходима биопсия легкого, какие процедуры и чего ожидать до, во время и после.
Тип биопсии влияет на то, что происходит во время процедуры.
Процедура игольной биопсии
Когда патологическая ткань образовалась рядом с грудной стенкой, специалист может выполнить игольную биопсию для сбора этой ткани.
Человеку не требуется общая анестезия для пункционной биопсии. Процедура также не требует пребывания в стационаре.
Врач вводит иглу в легкое через кожу, ориентируясь на рентгеновском или компьютерном томографе.
Процедура может занять до 1 часа.
Человеку может потребоваться голодание за 8 часов до приема.
Открытая биопсия
Врач может запросить эту процедуру, когда ему нужно удалить уплотнение полностью или частично. Когда хирург полностью удаляет опухоль, это называется лампэктомией.
Врач запросит визуализацию, чтобы определить местонахождение опухоли или уплотнения. Они также могут поместить в эту область проволоку или иглу, чтобы направлять процедуру. Хирурги проводят этот вид биопсии в операционной.
Они поместят человека под общий наркоз и откроют грудную клетку для извлечения ткани.
Бронхоскопическая биопсия
Врачи используют эту процедуру для взятия образца легочной ткани, расположенной близко к дыхательным путям. Специалист вводит устройство, называемое бронхоскопом, в легкие через нос или рот.
Эта процедура может занять до часа.
Узнайте больше о бронхоскопии.
Кому понадобится биопсия легкого?
Процедура биопсии легкого иногда необходима для диагностики заболевания, обычно рака.
Врач часто порекомендует провести биопсию после выявления аномалий в грудной клетке во время компьютерной томографии или рентгенографии грудной клетки.
Процедура может потребоваться людям, у которых есть подозрение на рак грудной клетки, например, рак легких. Биопсия легкого может определить, являются ли какие-либо необычные образования злокачественными, то есть злокачественными, или доброкачественными, то есть доброкачественными.
Если при биопсии обнаруживается злокачественное новообразование в легких, результаты могут помочь врачу определить стадию рака и лечение.
Процедура биопсии легкого иногда может помочь врачу диагностировать причину доброкачественного состояния. Например, это может помочь им диагностировать инфекцию или причину скопления жидкости в легких.
Способы подготовки к биопсии легкого различаются в зависимости от типа биопсии. Медицинский работник может дать совет, касающийся конкретного типа процедуры, которую кто-то проходит.
Для некоторых типов процедуры биопсии легких человеку может потребоваться предварительное голодание.Если это необходимо, врач посоветует.
Врач, наблюдающий за процедурой биопсии легкого, должен знать о любых лекарствах, которые может принимать человек. Они посоветуют, следует ли продолжать курс лечения перед процедурой или нет.
Если человек, которому делают биопсию, беременен, он не сможет пройти определенные процедуры. Это потому, что они требуют сканирования, которое может излучать излучение. Это излучение может быть вредным для развивающегося плода.
Врач должен оценить все важные факторы, такие как аллергия или беременность, прежде чем рекомендовать процедуру.
Хорошая идея — составить план после биопсии. Например, заблаговременная организация надежного транспорта до дома может помочь уменьшить послеоперационный стресс и неудобства, особенно если врач принимает успокаивающее средство.
Вероятное время восстановления после процедуры биопсии легкого будет зависеть от ряда факторов, включая тип процедуры и любые осложнения.
Если человеку требуется общая анестезия, ему может также потребоваться остаться в больнице. Что касается местного анестетика, врач может выпустить пациента, как только его артериальное давление и пульс стабилизируются.
Врач может провести сканирование после процедуры, чтобы исключить осложнения.
После биопсии легкого людям следует отдыхать в течение нескольких дней. Им также следует избегать физических нагрузок, пока медицинский работник не сообщит, что это безопасно.
Восстановление занимает больше времени у людей, перенесших торакальную операцию по поводу открытой биопсии.
Для обсуждения результатов биопсии потребуется один или несколько последующих посещений.
Все инвазивные процедуры сопряжены с определенным риском. Риски будут варьироваться в зависимости от типа процедуры и причины биопсии.
Процедура игольной биопсии легкого сопряжена с риском коллапса легкого. Когда специалист вводит иглу в легкие, может образоваться зазор, через который может выйти воздух.
Врач может провести рентген через несколько часов после процедуры, чтобы проверить, нет ли утечки воздуха.
У человека может возникнуть боль в горле после процедуры биопсии легкого, которая включает введение трубки через нос или рот для доступа к легким. Различные послеоперационные меры могут помочь облегчить боль в горле, в том числе полоскание горла соленой водой или использование леденцов для горла.
Место проведения пункционной биопсии может ощущаться болезненным или болезненным в течение нескольких дней после процедуры.
Во избежание инфекции человек должен содержать в чистоте любые повязки. Через несколько дней эти повязки, как правило, можно безопасно снять.
Для открытой биопсии легкого часто требуется госпитализация на несколько дней. Риски могут зависеть от количества ткани легких, которую удаляет хирург. Если врач рекомендует открытую биопсию, лучше всего обсудить с ним хирургические риски до процедуры.
Риски могут включать:
- повреждение зубов из-за бронхоскопии или анестезиологического оборудования
- изменения артериального давления
- инфекция грудной клетки
- боль в плече
- кровотечение
- сгустки крови
- быстрое сердцебиение
- сердечные события, такие как сердечный приступ или инсульт после операции
Человек может быть не в состоянии пить жидкость сразу после открытой биопсии легкого.
Им, возможно, придется вводить жидкость через внутривенные трубки, пока они снова не смогут пить.
Если после биопсии легкого у человека наблюдаются следующие симптомы, ему следует немедленно обратиться за медицинской помощью:
- серьезная боль в груди
- одышка
- кашель с кровью
- лихорадка
Для некоторых людей время восстановления для биопсии легкого процедуры могут быть относительно короткими.
Процедуры игольной биопсии могут быть надежным методом получения образцов ткани и диагностики новообразований как злокачественных или доброкачественных.
Процедуры биопсии легких обычно безболезненны и сопряжены с небольшими рисками, которые врачи связывают с ними.
Врач порекомендует процедуру биопсии легкого только для подтверждения своего диагноза. Например, если у человека есть более мелкие узелки в легких, биопсия может быть слишком рискованной и трудно оправданной.
Однако, когда это необходимо с медицинской точки зрения, биопсия может сформировать индивидуальное мировоззрение и план лечения такого состояния, как рак легких.
Q:
Какие еще тесты могут выявить рак легких?
A:
При подозрении на рак легких медицинский работник часто выполняет компьютерную томографию грудной клетки, если на рентгеновском снимке грудной клетки обнаруживаются отклонения от нормы.
Лабораторные исследования, такие как общий анализ крови, электролиты, функциональные пробы печени, функциональные пробы почек и уровни кальция, также могут помочь определить вероятность рака легких.
Тем не менее, окончательным тестом для идентификации рака легких является биопсия для исследования части легочной ткани на наличие раковых клеток.
Элейн К. Луо, MD Ответы отражают мнение наших медицинских экспертов. Весь контент носит исключительно информационный характер и не может рассматриваться как медицинский совет.
Биопсия легких под контролем КТ | Американская ассоциация легких
Что такое биопсия легкого под контролем компьютерной томографии?
Узелки в легких — это ненормальные тени на легких, выявленные на рентгенограмме грудной клетки или компьютерной томографии.
Врачи не всегда могут сказать, является ли узелок раком легких, только на основании этих изображений. В зависимости от размера узелка и ваших факторов риска может потребоваться дальнейший анализ, включая биопсию узелка. Это позволяет исследовать ткань внутри узелка, чтобы определить, содержит ли он рак.Один из способов получить эту ткань — попросить врачей, специализирующихся на визуализации (радиологов), использовать компьютерную томографию, чтобы ввести иглу через стенку грудной клетки в узелок в легких.
Чего ожидать
В день процедуры вас попросят не есть и не пить как минимум за шесть-восемь часов до этого. Также важно сообщить врачу, если вы принимаете какие-либо лекарства, разжижающие кровь. Перед началом процедуры вы переоденетесь в халат и лягте на стол компьютерного томографа, где вам дадут лекарство, которое поможет вам расслабиться.Рентгенолог очистит участок кожи, через который пройдет игла, поместит стерильную салфетку вокруг области и онемеет. Используя компьютерный томограф, игла вводится через кожу в легкое до узелка и будет взято несколько образцов.
После процедуры за вами будут наблюдать медсестры для планового наблюдения.
Понимание результатов
Врач, специализирующийся на изучении тканей под микроскопом (патолог), будет исследовать ткань во время вашего наблюдения.Бывают случаи, когда патолог не может поставить диагноз, что может потребовать дополнительных процедур для получения ткани, таких как хирургическое вмешательство или бронхоскопия. Если это рак, вас, скорее всего, направят к онкологу (онкологу) и / или хирургу. Если обнаружена другая причина узелка, например инфекция или воспаление, ваш врач может прописать лекарство для лечения основной причины.
Каковы риски?
Хотя биопсия легких под контролем компьютерной томографии менее инвазивна, чем другие процедуры, используемые для получения ткани из легочного узелка, она не лишена определенного риска.У очень немногих пациентов может возникнуть утечка воздуха из-за того, что игла вызывает отверстие в легком. Обычно это проходит само по себе и не требует дополнительных процедур.
Но если утечка воздуха достаточно велика или вы испытываете симптомы из-за утечки воздуха, может потребоваться ввести трубку через кожу и стенку грудной клетки, чтобы слить воздух из грудной полости. А поскольку процедура включает иглу, проходящую через кожу, есть вероятность, что инфекция может быть занесена в организм, что может потребовать лечения антибиотиками.Как и во многих инвазивных процедурах, существует небольшая вероятность возникновения кровотечения во время процедуры, что может привести к необходимости переливания крови.
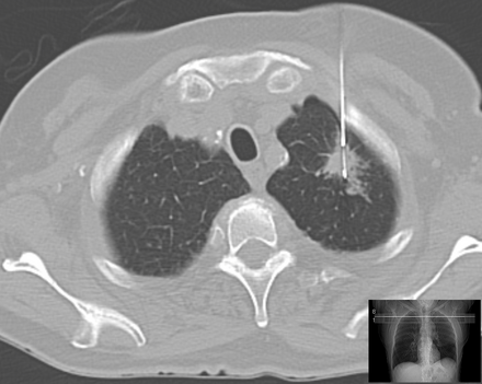
Игольная биопсия легкого: цель, процедура и риски
Что такое игольная биопсия легкого?
Игольная биопсия легкого — это процедура получения очень небольшого образца легочной ткани. Затем ткань исследуют под микроскопом. Он используется для диагностики неправильной области ткани в легких. Этот метод также называется чрескожной иглой.
Ваш врач может провести игольную биопсию легкого, чтобы исследовать аномалию, обнаруженную при рентгенографии грудной клетки, компьютерной томографии или другом визуализирующем тесте.
Цель — поставить точный диагноз.
Ваш врач может использовать эту процедуру, чтобы:
- определить, является ли образование злокачественным (злокачественным) или доброкачественным (доброкачественным)
- стадия злокачественной опухоли легкого
- контролировать прогрессирование заболевания легких
- определить причину воспаления в вашем легком
- объясните, почему в вашем легком скопилась жидкость
- диагностировать легочную инфекцию
Игольная биопсия легкого может быть выполнена сама по себе.Это также можно сделать с помощью других тестов, таких как:
- Бронхоскопия. Через рот в горло вводится зонд, а затем в дыхательные пути легких. Это позволяет вашему врачу просматривать различные части ваших легких.
- Медиастиноскопия. Через разрез в груди вводится специальный прицел. Затем ваш врач собирает ткань лимфатического узла для исследования.
Узнайте больше о причинах появления пятен на легком.
Специалист, известный как интервенционный радиолог, обычно выполняет биопсию с помощью компьютерной томографии или другого типа сканирования.
Перед биопсией
Ваш радиолог указывает точное место, где должна быть введена игла, нанося маркер на кожу.
Возможно, вам вставили внутривенную трубку в вену на одной из ваших рук. Он используется для введения седативных препаратов, вызывающих сонливость.
Техник или медсестра поможет вам занять правильное положение. Кожу над местом биопсии очищают антисептиком. Затем они вводят анестетик, чтобы обезболить пораженную область.Это может ужалить.
Во время биопсии
Ваш радиолог обычно использует иглу для биопсии длиной несколько дюймов. Конструкция иглы — более широкая, чем те, которые используются для обычных уколов, и полая — это то, что позволяет им получать образец ткани.
На коже можно сделать крошечный разрез, чтобы можно было легко ввести иглу для биопсии. Вставлена игла для биопсии.
Насколько он вставлен, зависит от местоположения патологической ткани легких. Затем ваш радиолог берет образцы патологической ткани.Это может ощущаться как давление или даже резкая боль.
Вас попросят оставаться неподвижным и не кашлять во время биопсии. Когда радиолог будет готов взять образец ткани, вам нужно будет задержать дыхание. Может потребоваться несколько образцов.
После биопсии
После проведения биопсии игла удаляется. К месту введения прикладывается давление, чтобы помочь остановить кровотечение. Когда кровотечение прекратится, место перевязки. Иногда при надрезе требуется наложение одного или нескольких швов.Типичная пункционная биопсия легкого обычно выполняется менее чем за 60 минут.
Образцы тканей будут отправлены в лабораторию для исследования.
Биопсия легочной иглы обычно безопасна. Однако, как и с любой процедурой, есть риски. Для пункционной биопсии легкого к ним относятся:
- кровотечение
- инфекция
- кашель с кровью
- коллапс легкого
Обязательно сообщите своему врачу о любых недавних заболеваниях, а также о беременности или возможной беременности.
Сообщите врачу обо всех лекарствах, которые вы принимаете, как без рецепта, так и по рецепту. Ваш врач может попросить вас прекратить прием определенных лекарств перед процедурой. Вам могут посоветовать избегать приема некоторых лекарств в течение определенного периода времени перед процедурой, таких как:
- нестероидные противовоспалительные препараты (НПВП), такие как ибупрофен (Адвил, Мотрин IB)
- аспирин (Буферин)
- некоторые препараты для разжижения крови, такие как варфарин (кумадин)
Кто-нибудь из медицинского учреждения, где вам сделают биопсию, позвонит вам перед процедурой, чтобы подтвердить время и место.Вам могут запретить есть и пить в течение восьми часов до биопсии. Например, если биопсия назначена на утро, вам могут запретить есть и пить после полуночи накануне вечером.
Сразу после биопсии медсестры и техники будут следить за вами на предмет выявления каких-либо осложнений.
Вы сможете покинуть учреждение вскоре после завершения биопсии.
Перед процедурой спросите, отправят ли вас в тот же день домой.
Если вы принимали седативные препараты, восстановление после приема лекарства может занять около дня.В этом случае попросите друга или родственника отвезти вас домой. Они также должны оставаться с вами, когда вы вернетесь домой, пока вы не проснетесь полностью.
Поговорите со своим врачом о том, как долго вам следует отдыхать, прежде чем вернуться на работу или учебу. Также спросите о любых ограничениях, таких как поднятие тяжестей или тяжелые упражнения.
Вы можете откашливать небольшое количество крови. Если вас это беспокоит, позвоните своему врачу.
Вам может потребоваться обезболивающее, чтобы справиться с дискомфортом после биопсии. Избегайте аспирина и НПВП.Они могут увеличить риск кровотечения. Вместо этого примите обезболивающее, не являющееся аспирином, например ацетаминофен (тайленол). Ваш врач может также выписать рецептурное обезболивающее.
Позвоните своему врачу, если у вас возникнут какие-либо из следующих симптомов после биопсии:
- кровотечение из места биопсии
- кашель более чем небольшое количество крови
- затрудненное дыхание
- боль в груди
- лихорадка
- покраснение или дренаж в месте биопсии
После исследования образцов ткани вашему врачу будет отправлен отчет.
Ваш врач может получить отчет быстро или это может занять несколько дней. Ваш врач свяжется с вами и сообщит результаты.
В зависимости от результатов врач может назначить дополнительные анализы. Как только они установят диагноз, они могут предложить план лечения или направить вас к другим специалистам.
Q:
Как скоро после биопсии я смогу вернуться к нормальной деятельности, например, к упражнениям?
A:
Ваш врач скажет вам, когда можно будет вернуться к обычному графику.Обычно вы можете вернуться к своей обычной деятельности через день после пункционной биопсии легкого. Если вы не уверены, позвоните своему врачу.
Beth Holloway, RN, MEd Ответы отражают мнение наших медицинских экспертов. Весь контент носит исключительно информационный характер и не может рассматриваться как медицинский совет.Биопсия легкого | Мичиган Медицина
Обзор теста
При биопсии легкого удаляется небольшой кусочек легочной ткани, который можно рассмотреть под микроскопом.
Биопсию можно сделать четырьмя способами. Используемый метод зависит от того, откуда будет взят образец, и от вашего общего состояния здоровья.
- Бронхоскопическая биопсия. В этом типе биопсии используется инструмент с подсветкой (бронхоскоп), который вводится через рот или нос в дыхательные пути для взятия образца легочной ткани. Этот метод можно использовать при подозрении на инфекционное заболевание, если патологическая легочная ткань расположена рядом с дыхательными трубками (бронхами) или перед попыткой более инвазивных методов, таких как открытая биопсия легкого.
- Игловая биопсия. При игольной биопсии используется длинная игла, вводимая через стенку грудной клетки для взятия образца легочной ткани. Этот метод используется, если патологическая ткань легкого расположена близко к грудной стенке. Компьютерная томография (КТ), УЗИ или рентгеноскопия обычно используются для направления иглы к аномальной ткани.
- Открытая биопсия.
При открытой биопсии производится хирургический разрез (разрез) между ребрами и извлекается образец легочной ткани.Открытая биопсия обычно проводится, когда другие методы биопсии легкого не дали результата, не могут быть использованы или когда для постановки диагноза требуется больший кусок легочной ткани. - Видеоассистированная торакоскопическая хирургия (VATS). VATS использует зрительную трубу (называемую торакоскопом), которую пропускают через небольшой разрез в груди, чтобы взять образец легочной ткани.
Зачем это нужно
Биопсия легкого проводится, чтобы:
- Диагностировать определенные заболевания легких, такие как саркоидоз или фиброз легких.В редких случаях при тяжелой пневмонии может быть сделана биопсия легкого, особенно если диагноз неясен.
- Диагностировать подозрение на рак легких.
- Оцените любые отклонения, обнаруженные при других тестах, таких как рентген грудной клетки или компьютерная томография.
Биопсия легкого обычно проводится, когда другие тесты не могут определить причину проблем с легкими.
Как подготовиться
Вам будет предложено подписать форму согласия, в которой говорится, что вы понимаете риски, связанные с тестом, и соглашаетесь на его выполнение.
Поговорите со своим врачом о любых проблемах, которые у вас есть относительно необходимости теста, его рисков, того, как это будет проводиться или что будут означать результаты. Чтобы помочь вам понять важность биопсии, заполните информационную форму медицинского обследования.
Перед тем, как сделать биопсию легкого, сообщите своему врачу, если вы:
- Принимаете какие-либо лекарства.
- Есть аллергия на любые лекарства, в том числе анестетики.
- Примите разбавитель крови, или если у вас были проблемы с кровотечением.
- Беременны или могут быть беременны.
Ваш врач может назначить определенные анализы крови, такие как общий анализ крови (CBC) и факторы свертывания крови, перед биопсией легкого.
Ваш врач скажет вам, как скоро до биопсии прекратить есть и пить. Точно следуйте инструкциям о том, когда прекратить есть и пить, иначе операция может быть отменена. Если врач посоветовал вам принимать лекарства в день операции, запивайте только глоток воды.
Договоритесь, чтобы кто-нибудь отвез вас домой после процедуры, если вам не нужно оставаться в больнице.
Как это делается
Игольную или бронхоскопическую биопсию можно сделать, не пребывая в больнице. Открытая биопсия требует пребывания в больнице не менее нескольких дней.
Вас могут попросить снять зубные протезы, очки или контактные линзы, слуховые аппараты, парик, макияж и украшения перед биопсией. Перед биопсией вы опорожните мочевой пузырь.Вам нужно будет снять всю или большую часть одежды (вам может быть разрешено оставить нижнее белье, если оно не мешает проведению биопсии). Вам дадут ткань или бумажное покрытие для использования во время биопсии.
Бронхоскопическая биопсия
Бронхоскопическая биопсия проводится врачом, специализирующимся на проблемах с легкими (пульмонолог).
Обычно это делается с помощью тонкого гибкого бронхоскопа. В редких случаях биопсия может быть сделана с помощью жесткого бронхоскопа.
Бронхоскопия обычно занимает от 30 до 60 минут.Вы будете находиться в палате восстановления от 1 до 2 часов. Рентген грудной клетки обычно делают после биопсии легкого, чтобы выявить любые проблемы, связанные с биопсией.
Игольная биопсия
Игольная биопсия выполняется врачом, специализирующимся на рентгеновских исследованиях (радиолог), или пульмонологом. Ваш врач будет использовать компьютерную томографию, ультразвук или рентгеноскопию, чтобы направить иглу биопсии. Место, куда врач вводит иглу, сначала промывается антисептическим раствором и накрывается стерильными полотенцами.Ваш врач назначит вам местный анестетик, чтобы вы не чувствовали боли при введении иглы в грудную клетку.
После этого врач сделает небольшой прокол и попросит вас задержать дыхание, пока игла для биопсии вводится в легкое. Очень важно не кашлять и не двигаться, когда игла находится в груди.
После сбора необходимого количества ткани игла удаляется и на место прокола накладывается повязка. Вам нужно будет полежать на боку не менее часа, чтобы место укола иглой заклеилось.
Эта биопсия занимает от 30 до 60 минут. Вы будете находиться в палате восстановления от 1 до 2 часов. Рентген грудной клетки обычно делают после биопсии легкого, чтобы выявить любые проблемы, связанные с биопсией.
Открытая биопсия и торакоскопическая хирургия с видеосъемкой (VATS)
Открытая биопсия проводится грудным (торакальным) хирургом или хирургом общей практики. Анестезиолог сделает вам общий наркоз. Также в комнате может быть один или несколько помощников.
Примерно за час до биопсии вам дадут успокоительное, чтобы расслабиться.Вам будет введена внутривенная линия (IV) в вену. В дыхательное горло (трахею) вставят трубку, и аппарат поможет вам дышать.
Разрез делается между ребрами над областью легкого, где должен быть взят образец ткани. Через этот разрез можно пропустить телескоп, называемый торакоскопом, чтобы осмотреть поверхность легкого и взять образец легочной ткани.
Если для взятия образца ткани требуется открытая биопсия, будет сделан более крупный разрез.
После того, как образец ткани будет взят, ваш врач вставит дренажную трубку (грудную трубку) в область и закроет разрез швами.Один конец трубки будет в пространстве рядом с вашим легким, а другой конец будет торчать из груди и соединен с контейнером для сбора. Пневматическая трубка помогает повторно расширить легкое. Пневматические дренажные трубки будут удалены, когда дренаж из грудной клетки прекратится и воздух не будет вытекать из разреза грудной клетки, как правило, в течение нескольких дней. Ваши швы будут сняты через 7–14 дней.
Вся биопсия обычно занимает около часа. После того, как будет сделана биопсия легкого, вы попадете в палату восстановления примерно на час.Затем вас отвезут в вашу больничную палату.
Восстановление после торакоскопической хирургии с использованием видео (VATS) занимает меньше времени, чем после операции открытой биопсии.
Рентген грудной клетки обычно делают после биопсии легкого для выявления любых проблем, связанных с биопсией.
Видео-торакоскопическая хирургия (VATS) может быть недоступна в вашем регионе. Для этого теста вам может потребоваться поехать в региональный медицинский центр.
Как это себя чувствует
Бронхоскопическая биопсия
Местный анестетик, которым вводят рот или нос, обычно имеет горький привкус и может вызвать удушье.В течение нескольких часов после биопсии во рту может быть очень сухо. У вас также может быть боль в горле и некоторая охриплость в течение нескольких часов. Рассасывание леденцов или полоскание теплой соленой водой может помочь при боли в горле.
Анестезия может затруднить глотание. Возможно, вам придется избегать еды и питья в течение как минимум часа после процедуры.
Вскоре после биопсии у вас может подняться умеренная температура, которая обычно проходит в течение 24 часов. Если этого не произошло, позвоните своему врачу.
Игольная биопсия
Когда вам сделают укол, чтобы обезболить кожу в месте биопсии иглой, вы почувствуете резкое покалывание или жжение, которое длится несколько секунд.
Когда игла введена в грудь, вы снова почувствуете резкую боль в течение нескольких секунд. Радиолог может попросить вас задержать дыхание на несколько секунд в разное время во время биопсии.
Открытая биопсия
Успокаивающее средство заставит вас почувствовать сонливость и расслабиться. Вы будете спать во время биопсии из-за общей анестезии.
После биопсии вы можете чувствовать усталость в течение 1-2 дней или испытывать общие мышечные боли. У вас также может быть легкая боль в горле из-за трубки, которая была вставлена в горло для облегчения дыхания. Рассасывание леденцов или полоскание теплой соленой водой может помочь при боли в горле.
Вы можете почувствовать некоторый дискомфорт в месте биопсии, когда сделаете глубокий вдох. По мере заживления разрез может чесаться. Ваш врач пропишет вам обезболивающее.
Повязка будет наложена на место биопсии.Вам могут посоветовать держать место биопсии закрытым и сухим в течение 48 часов. У вас может быть небольшое кровотечение из места биопсии.
Спросите своего врача, сколько ожидаемого кровотечения.
Риски
Биопсия легкого, как правило, является безопасной процедурой. Любой риск зависит от того, есть ли у вас заболевание легких и насколько оно серьезное. Если у вас уже есть серьезные проблемы с дыханием, ваше дыхание может ухудшиться на короткое время после биопсии.
Бронхоскопическая и игольчатая биопсия обычно более безопасна, чем открытая биопсия или биопсия VATS, но VATS и открытая биопсия с большей вероятностью позволят удалить хороший образец легкого.Хороший образец помогает определить, в чем проблема легких и какие варианты лечения можно выбрать. Бронхоскоп или пункционная биопсия не требуют общей анестезии, вызывают меньше проблем, и вам не нужно оставаться на ночь в больнице. Ваш врач обсудит с вами любые риски.
- Биопсия легкого может увеличить вероятность развития коллапса легкого (пневмоторакса) во время биопсии. Вашему врачу может потребоваться вставить трубку в вашу грудную клетку, чтобы ваше легкое было надутым, пока место биопсии заживает.

- Может возникнуть сильное кровотечение (кровоизлияние).
- Может возникнуть инфекция, такая как пневмония, но обычно такие инфекции можно лечить антибиотиками.
- Могут возникнуть спазмы бронхов, которые могут вызвать затруднение дыхания сразу после биопсии.
- Возможны нарушения сердечного ритма (аритмии).
- У людей с тяжелым заболеванием легких очень маленький шанс умереть от биопсии. Но это бывает редко. Если вы получаете общую анестезию, вероятность смерти от осложнений, связанных с общей анестезией, крайне мала.
После биопсии
После биопсии легкого немедленно позвоните своему врачу, если у вас есть:
- Сильная боль в груди.
- Головокружение.
- Проблемы с дыханием.
- Чрезмерное кровотечение через повязку.
- Откашлял больше столовой ложки крови.
Если у вас жар, позвоните своему врачу.
Результаты
При биопсии легкого удаляется небольшой кусочек легочной ткани, который можно рассмотреть под микроскопом.
Результаты биопсии легкого обычно доступны в течение 2–4 рабочих дней. Получение результатов из образцов тканей, которые проверяются на определенные инфекции, например туберкулез, может занять несколько недель.
Нормальный: | Ткань легкого нормальна под микроскопом. Признаков инфекции, воспаления или рака нет. |
Аномальные: | Аномальные клетки и ткани в легких могут быть вызваны активной инфекцией, некоторыми заболеваниями легких или несколькими различными типами рака.При наличии рака легких результаты биопсии могут определить варианты лечения (хирургическое вмешательство, лучевая терапия или химиотерапия). |
Что влияет на тест
Образец биопсии, слишком маленький для диагностики, может повлиять на точность результатов.
Игольчатая биопсия собирает ткань с такой маленькой области, что есть шанс пропустить рак.
Что думать о
- Перед тем, как будет поставлен окончательный диагноз, результаты биопсии легких будут рассмотрены вместе с вашим прошлым здоровьем, физическим осмотром и результатами других тестов, включая рентген грудной клетки или компьютерную томографию.Также может помочь бронхоскопия.
- Биопсия легкого не может быть сделана людям с:
- Продвинутым заболеванием легких, таким как эмфизема.
- Нарушения свертываемости крови.
- Сердечная недостаточность, высокое кровяное давление в легких (легочная гипертензия) или увеличение правой части сердца (легочное сердце).
Список литературы
Консультации по другим работам
- Pagana KD, Pagana TJ (2014).Руководство Мосби по диагностическим и лабораторным исследованиям, 5-е изд. Сент-Луис: Мосби.
кредитов
Текущий по состоянию на:
26 октября 2020 г.
Автор: Healthwise Staff
Медицинский обзор:
Адам Хусни, доктор медицины, семейная медицина,
, Э. Грегори Томпсон, врач, терапевт,
, Дэвид К.Stuesse MD — Сердечная и торакальная хирургия
По состоянию на: 26 октября 2020 г.
Автор: Здоровый персонал
Медицинское обозрение: Адам Хусни, доктор медицины, семейная медицина, Э. Грегори Томпсон, врач, терапевт и Дэвид С. Стюсс, доктор медицины, кардиологическая и торакальная хирургия
Биопсия легкого: типы, результаты и риски
Биопсия легкого — это процедура для получения образца подозрительной легочной ткани.Рассматривая образец ткани под микроскопом, врачи могут лучше определить, что именно вызывает аномалию, и является ли процесс злокачественным.
Назначение биопсии легкого
При раке легкого биопсия легкого важна для определения типа рака легкого, а также молекулярного или генетического профиля опухоли. Биопсия легкого может быть рекомендована по нескольким причинам:
- Для оценки узелка или новообразования при визуализации грудной клетки и определения их доброкачественности или злокачественности (злокачественности).
- Для отслеживания отклонений в результатах КТ-скрининга рака легких.
- Для диагностики легочной инфекции. Инфекции легких могут быть бактериальными (например, туберкулезом), вирусными или грибковыми (например, аспергиллезом или кокцидиомикозом).
- Для диагностики заболеваний легких, таких как саркоидоз, фиброз легких, гранулематоз с полиангиитом или ревматоидное заболевание легких.
- Для проведения генетического тестирования (молекулярного профилирования) рака легких. Это тестирование ищет «нацеленные» генные мутации, то есть мутации в раковых клетках, которые «вызывают» рак, некоторые из которых теперь доступны для лечения.

- Для определения типа рака легких.
- Чтобы помочь определить стадию известного рака легких.
Игольная биопсия легкого
При тонкоигольной биопсии легкого врачи вводят длинную иглу через вашу спину в легкое, чтобы получить образец ткани. Это делается с помощью компьютерного томографа или ультразвука, чтобы направить иглу в нужное место. Игольная биопсия — наименее инвазивный способ взятия пробы из подозрительного участка легких, но при этом не всегда удается получить достаточно ткани, чтобы поставить правильный диагноз.Игольная биопсия легкого также называется «трансторакальной» биопсией или «чрескожной» биопсией.
Трансбронхиальная биопсия
Трансбронхиальная биопсия проводится во время бронхоскопии — процедуры, при которой зрительная труба направляется вниз изо рта в верхние дыхательные пути легких. С помощью ультразвука (эндобронхиальное ультразвуковое исследование) врачи могут направить иглу в подозрительную область и получить образец (трансбронхиальная игольчатая аспирация).
Эта процедура наиболее эффективна, когда аномалия или опухоль находится в или рядом с большими дыхательными путями легкие.
Торакоскопическая биопсия легкого
При торакоскопической биопсии легкого через стенку грудной клетки в область легкого, подлежащую биопсии, вводится зонд. Во время торакоскопической биопсии используется видеокамера, чтобы помочь врачам найти и провести биопсию участка ткани. С помощью этой процедуры, также известной как торакоскопическая хирургия с помощью видео (VATS), врачи также могут удалить участок подозрительной ткани или злокачественную долю легкого. (Примечание: они не сделают этого, не обсудив это с вами перед процедурой.)
Открытая биопсия легкого
В качестве наиболее инвазивного способа взятия пробы ткани иногда необходима открытая биопсия легкого, если другие методы оказались неэффективными. Это серьезная хирургическая процедура, которая проводится под общим наркозом. Может потребоваться разделение ребер или удаление части ребра, чтобы получить доступ к легким.
Иногда открытая биопсия выполняется как часть операции по удалению узелка или новообразования, особенно если ваш хирург совершенно уверен, что у вас рак.Взаимодействие с другими людьми
Жидкая биопсия
Жидкая биопсия — это новая захватывающая область, изучаемая для оценки рака легких. Эта процедура, требующая простого взятия крови, ищет циркулирующие раковые клетки, чтобы оценить ДНК опухоли на предмет мутаций генов-драйверов, то есть мутаций в раковых клетках, для которых могут быть доступны специальные методы лечения. Иногда, когда выполняется биопсия легкого, врачи не могут извлечь достаточное количество ткани для выполнения этого теста, и жидкая биопсия может сделать эти результаты доступными, не прибегая к дополнительным опухолевым тканям.
В июне 2016 года была одобрена первая жидкая биопсия для выявления мутаций EGFR у людей с немелкоклеточным раком легкого.
Результаты биопсии легкого
Если ваш врач сможет получить хороший образец ткани, вы, вероятно, узнаете о результатах в течение двух-трех дней, хотя иногда это занимает больше времени, особенно если более одного патологоанатома желают просмотреть результаты.
Во время процедуры полезно спросить своего врача, когда вы можете ожидать услышать свои результаты, получите ли вы телефонный звонок или вам нужно будет записаться на прием, чтобы узнать о результатах.Некоторым врачам удобно звонить вам по телефону, чтобы сообщить о своих выводах, в то время как другие, возможно, пожелают назначить повторный прием, чтобы обсудить результаты.
Хотя ваш врач может иметь хорошее представление о том, какими будут результаты, врачи нередко ошибаются, увидев образец ткани. Вероятность того, что патология является злокачественной, зависит от многих факторов, одним из которых является размер. Узелки в легких (пятна на легком размером 3 сантиметра [1½ дюйма] или меньше) с меньшей вероятностью являются злокачественными, чем образования легких (пятна на легком размером более 3 сантиметров).
Иногда образец ткани не позволяет установить диагноз. Такой отчет может быть возвращен как «безрезультатный». Если это так, есть еще несколько вариантов. Если вероятность того, что заболевание грудной клетки является раком, низкая, вы можете подождать и провести повторное сканирование через несколько месяцев.
Точно так же, даже если пятно может быть злокачественным и точный диагноз не повлияет на лечение, вы можете подождать.
С другой стороны, если диагноз важен, вы и ваш врач можете повторить биопсию или найти другие способы получения образца ткани.Вы можете узнать больше о разнице между доброкачественными и злокачественными опухолями и о том, почему иногда бывает сложно провести различие.
Молекулярное профилирование
Важно отметить, что каждому больному немелкоклеточным раком легкого следует пройти генное тестирование (молекулярное профилирование) опухоли. Поговорите со своим врачом, если вы не слышали об этом. В настоящее время лекарства одобрены для пациентов с перестройками ALK, мутациями EGFR и перестройками ROS1, а лечение других целевых мутаций проводится в клинических испытаниях.Взаимодействие с другими людьми
Риски
Риски биопсии легких зависят от типа процедуры, расположения ткани и вашего общего состояния здоровья. Наиболее частые осложнения — кровотечение или утечка воздуха из легких.
Другие возможные осложнения включают:
- Пневмоторакс: коллапс легкого (утечка воздуха). Если в результате биопсии у вас развивается пневмоторакс, вашему хирургу, вероятно, потребуется установить дренажную трубку. Это трубка, по которой воздух выходит из легких до тех пор, пока утечка воздуха не закроется.
- Кровотечение
- Инфекция
- Риск анестезии: Как местная, так и общая анестезия могут нести риски.
- Системная воздушная эмболия: Утечка воздуха в основные артерии, которые могут попасть в сердце; так называемая системная воздушная эмболия, встречается менее чем в 1% случаев пункционной биопсии легкого.
- «Посев» опухоли: Существует гипотетический риск того, что опухоль распространится по следу игольной биопсии, когда сделана центральная биопсия.Этот риск встречается редко, и в настоящее время игольная биопсия считается очень безопасным способом проведения биопсии легких при необходимости.

Слово Verywell
Какой бы ни была причина, по которой ваш врач рекомендовал биопсию легкого, с неуверенностью может быть трудно справиться. Многие люди сказали, что они чувствуют себя более спокойно с плохим диагнозом, чем с жизнью в состоянии незнания.
Положитесь на свою семью и друзей и на этот раз. Обратитесь к людям, которые, как вы знаете, помогут вам справиться с ожиданием, например к тем, кто обычно поднимает вам настроение.Это также хорошее время, чтобы любезно попросить своих близких не «ставить диагноз» вам, пока вы не узнаете больше, и воздерживаться от рассказов (то, что мы называем ужасными историями) о других людях, столкнувшихся с чем-то подобным.
Если вы думаете о наихудших сценариях, имейте в виду, что медицина постоянно меняется. Если вам поставили тот же диагноз, что и ваша бабушка много лет назад, это не значит, что у вас будет такой же опыт. В период с 2011 по 2016 год было одобрено больше новых методов лечения рака легких, чем за 40 лет до 2011 года.
Биопсия легкого | Лечение рака легких
Какие бывают виды процедур биопсии легких?
Существует несколько типов биопсии легких. Ваш врач определит, какая биопсия наиболее подходит для вашего случая, оценив тип проблемы с легкими, локализацию поражения и ваше общее состояние здоровья.
Трансбронхиальная биопсия
Также известная как бронхоскопия, выполняется, когда врач хочет исследовать дыхательные пути. Во время процедуры ваш врач вставит бронхоскопию через нос или рот и проведет ее до легких.
Игольная биопсия легкого
Также известная как трансторакальная биопсия легкого, это вариант для пациентов, когда подозрительные клетки не могут быть обнаружены с помощью бронхоскопии. Во время игольной биопсии легкого ваш врач вставит иглу в грудную клетку, чтобы взять образец ткани на внешних краях легких.
Торакоскопическая биопсия
Также известна как торакоскопия или торакоскопическая хирургия с видеосъемкой (VATS), проверка на наличие каких-либо заболеваний или аномалий на внешней стороне легких.
Открытая биопсия легкого
Также известный как ограниченная торакотомия, это инвазивный тип биопсии легкого, который обычно выполняется только в том случае, если врач не может получить образец ткани ни одним из других методов.
Зачем нужна биопсия легкого?
Вам может потребоваться биопсия легкого по номеру:
- Диагностировать легочную инфекцию
- Определить причину скопления жидкости в легких
- Определить, является ли опухоль в легком раковой или доброкачественной
- Определите стадию злокачественной (раковой) опухоли.
- Когда ваш врач обнаружит что-то ненормальное на рентгеновском снимке или компьютерной томографии вашей грудной клетки.
Если вы беременны, проконсультируйтесь с врачом перед биопсией легкого.
Какие риски связаны с биопсией легкого?
Биопсия легких обычно выполняется с помощью рентгеновского аппарата, поэтому вы будете подвержены минимальным дозам радиации.
У большинства пациентов облучение не вызывает побочных эффектов.
Риски, связанные с биопсией легкого, будут различаться в зависимости от типа биопсии легкого, которую вы делаете.
Осложнения, связанные с торакоскопической биопсией легкого, также известной как открытая биопсия легкого, включают:
- Сгустки крови
- Кровотечение
- Боль
- Инфекция в месте операции
- Пневмония
Осложнения, связанные с трансбронхиальной биопсией легкого, также известной как игольная биопсия легкого, включают:
- Легкое кровотечение
- Инфекция в месте введения иглы
- Проблемы с дыханием
- Низкий уровень кислорода
- Коллапс легкого — если воздух попадает в плевральную полость
- Сердечный приступ
- Пневмония
Обратитесь в медицинскую группу Mercy Health, если у вас поднялась температура, если из раны вытекает кровь или жидкость, или вы испытываете сильную боль в груди, одышку или кашляете кровью или кровянистой слизью.
Чего ожидать во время биопсии легкого
То, что вы можете ожидать во время биопсии легкого, будет зависеть от типа биопсии легкого, а также от того, будет ли процедура закрытой или открытой.
Бронхоскопия
Бронхоскопия — это закрытая процедура, которая длится примерно 30 минут. Во время процедуры ваш врач вставит бронхоскоп в нос и продет его до бронхов. Оказавшись в правильном месте, щетки или иглы, прикрепленные к концу бронхоскопа, начинают сбор образцов ткани легких.У некоторых пациентов врач может распылить физиологический раствор на бронхи, чтобы смыть клетки с поверхности легких. Затем клетки собирают и оценивают в лаборатории под микроскопом.
При оценке клеток врач может обнаружить кровь, слизь, инфекцию, опухоль, опухоль или закупорку дыхательных путей. Если ваш врач обнаружит закупорку, вам может потребоваться стент, чтобы дыхательные пути оставались открытыми.
Игольная биопсия легкого
Вы проснетесь во время пункционной биопсии легкого.
Ваш врач обезболит пораженный участок и даст вам успокоительное. Вам нужно будет пройти УЗИ, компьютерную томографию или рентгеноскопию, чтобы определить наиболее подходящее место для процедуры. Когда местоположение будет установлено, ваш врач вставит иглу в легкое, чтобы собрать ткань для исследования в лаборатории.
Торакоскопия
Во время торакоскопической биопсии легких вам сделают общую анестезию, чтобы вы уснули. Бригада медперсонала вставит вам в горло дыхательную трубку и проведет ее до легких.Медсестры и медицинский персонал будут внимательно следить за вашим кровяным давлением, дыханием, уровнем кислорода и частотой сердечных сокращений в течение всей процедуры.
После того, как вы должным образом введете успокоительное, ваш врач сделает три разреза между ребрами на вашей груди и вставит трубку с камерой в это пространство. Находясь в нужном положении, ваш врач возьмет образец ткани или жидкости для исследования в лаборатории.
Открытая биопсия легкого
Из-за сложности процедуры вам сделают общую анестезию, чтобы вы уснули для открытой биопсии легкого.
Ваш хирург сделает большой разрез, который может идти от груди до спины. Большой разрез позволит вашему врачу легко получить доступ к легким и удалить ткань для оценки в лаборатории.
Восстановление после биопсии легкого
Вы быстрее выздоровеете после процедуры закрытой биопсии легкого, чем если бы у вас была процедура открытой биопсии легкого. Для всех процедур ваш врач будет делать рентген грудной клетки перед выпиской, чтобы убедиться, что ваши легкие работают должным образом. Перед выпиской ваша медицинская бригада также будет внимательно следить за вашим выздоровлением, чтобы обеспечить стабилизацию вашего дыхания и артериального давления.Вам будет предложено ничего не есть и не пить в течение примерно двух часов или до тех пор, пока он не перестанет чувствовать онемение в горле. Из-за анестезии вам нужно будет попросить кого-нибудь отвезти вас домой из больницы.
Когда вы вернетесь домой, ваша грудь может болеть до пары недель. Важно избегать любых интенсивных физических нагрузок и внимательно следовать инструкциям врача по обезболиванию и заживлению ран.


При открытой биопсии производится хирургический разрез (разрез) между ребрами и извлекается образец легочной ткани.Открытая биопсия обычно проводится, когда другие методы биопсии легкого не дали результата, не могут быть использованы или когда для постановки диагноза требуется больший кусок легочной ткани.
Биопсия легкого обычно проводится, когда другие тесты не могут определить причину проблем с легкими.

