Степени поражения легких: КТ1, КТ2, КТ3, КТ4
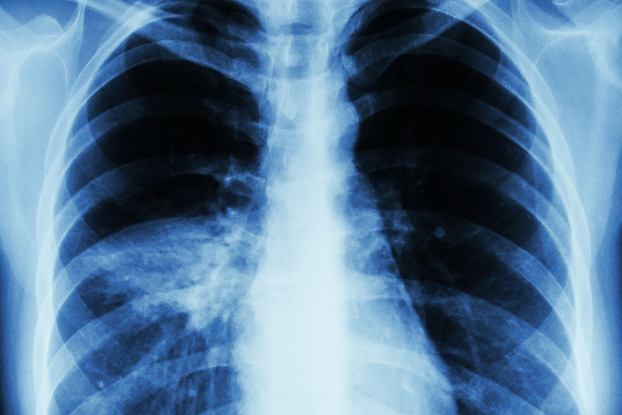
Компьютерная томография (КТ) легких считается «золотым стандартом» диагностики воспаления легких, в частности пневмонии, ассоциированной с COVID-19. На томограммах — множественных сканах дыхательного органа в трех плоскостях — визуализируются нефункциональные участки уплотнения или инфильтрации легочной ткани.
Когда говорят о поражении легких при пневмонии, то имеют в виду, что альвеолы — маленькие пузырькообразные полости легких, которые отвечают за хранение воздуха и газообмен, заполняются жидкостью, слизью, фиброзной тканью и «выходят из строя».
На ранних стадиях пневмония может протекать практически бессимптомно или вызывать незначительный дискомфорт: кашель, затрудненное дыхание, повышение температуры. Однако она быстро переходит в более тяжелую форму и человек начинает ощущать нехватку воздуха, спазм в груди, вызванный отеком легких, или острый респираторный дистресс-синдром — обширный воспалительный процесс, который дает осложнение на сердце и в некоторых случаях приводит к летальному исходу.
В этой связи очень важно вовремя распознать пневмонию и начать лечение. КТ легких — единственный метод диагностики, который позволяет выявить очаги инфильтрации и оценить степень их выраженности, даже если поражено менее 5% легких.
После компьютерной томографии легких, особенно при наличии подозрений на вирусную пневмонию, пациентов в первую очередь интересуют результаты и расшифровка обследований. В этой статье мы расскажем о том, что означает КТ1, КТ2, КТ3, КТ4 в заключении, и на что следует обратить внимание, если пневмония все-таки была обнаружена.
Что означает КТ1, КТ2, КТ3, КТ4 при вирусной пневмонии COVID-19?
Чтобы врачи могли объективно оценивать объем поражения легких, взвешивать риски и реагировать на вызовы, был принят единый стандарт классификации вирусных пневмоний по степени тяжести, где:
КТ-0 — отсутствие признаков вирусной пневмонии;
КТ-1 — легкая форма пневмонии с участками «матового стекла», выраженность патологических изменений менее 25%;
КТ-2 — умеренная пневмония, поражено 25-50% легких;
КТ-3 — среднетяжелая пневмония, поражено 50-75% легких;
КТ-4 — тяжелая форма пневмонии, поражено >75% легких.
Процент деструкции легочной ткани определяется по томограммам. Врач-рентгенолог оценивает по пятибалльной шкале каждую из пяти долей легких.* Если признаки пневмонии не выявлены, то значение соответствует 0; 1 балл свидетельствует о поражении легких 5%, и так далее.
* Согласно «Временным методическим рекомендациям» Министерства Здравоохранения РФ от октября 2020 г., принятая и описанная выше балльная система оценки легочных сегментов и долей упразднена. Объективность оценки поддерживается программным обеспечением и медицинской экспертизой.
Иными словами, сокращение КТ1, КТ2, КТ3 или КТ4, которое врач-рентгенолог пишет в заключении, указывает на объемы нефункциональной легочной ткани в совокупности с другими признаками, характерными для той или иной стадии. Это эмпирическая визуальная шкала, принятая рентгенологами.
Ее ввели специалисты из Центра диагностики и телемедицины США, изучив КТ-исследования 13 003 человек, которые составили основную выборку.Примечательно, что скорость перехода пневмонии к следующей, более осложненной степени зависит не только от возраста пациента (чем старше, тем быстрее), но и от текущей стадии заболевания. А именно, если вирусная пневмония SARS-CoV-2 у пациента была выявлена еще на первой стадии (КТ1), то предотвратить переход к следующей (КТ2) будет легче как минимум потому, что сравнительно малому числу вирионов требуется больше времени, чтобы распространиться по легким и спровоцировать более обширный воспалительный процесс. В то время как переход от КТ3 к КТ4 происходит очень быстро, и тогда жизнь пациента находится под угрозой. Анализируя уже упомянутую группу пациентов, ученые из США пришли к выводу, что при переходе в следующую группу, риск летального исхода при коронавирусе увеличивался примерно на 38%.
Процент вовлечения паренхимы (собственно поражения) легких в заключениях обычно указан приблизительно, поэтому диапазон значений может быть довольно широким, однако это не главный показатель.
1) Наличие «матовых стекол» на сканах КТ, их локализация, консолидация. «Матовые стекла» — это светлые участки легких на томограммах, которые свидетельствуют об очагах инфильтрации. Плотная ткань не пропускает рентгеновские лучи. «Матовые стекла» — основной признак поражения легких на КТ. Их распространенность и консолидация соответствует тяжелым стадиям пневмонии КТ3 и КТ4.
2) Утолщение междолькового пространства легких или «симптом булыжной мостовой» — ткань легких на сканах КТ имеет внешнее визуальное сходство с брусчаткой. Соответствует тяжелой стадии пневмонии КТ4.
3) Симптом «обратного гало» или «ободка́» — на томограммах выглядит как светлые кольца. Это участки уплотнения вокруг очага инфекции. Считается признаком организующейся пневмонии.
4) Ретикулярные изменения — тонкие линии патологически измененного легочного интерстиция, формирующие сеть.![]()
Если в заключении указана «полисегментарная пневмония», это значит, что признаки воспалительного процесса обнаружены в обоих легких, в нескольких сегментах.
Поражение легких КТ1
На сканах КТ легких обнаружены «матовые стекла» — менее трех. Диаметр очага инфильтрации не превышает 3 см, иные патологические изменения легких не обнаружены. У пациента может быть высокая температура, затрудненное дыхание, кашель, иногда явные симптомы отсутствуют. Лечиться от внебольничной пневмонии КТ1 можно в амбулаторных условиях и дома после консультации врача.
Поражение легких КТ2
КТ2 означает, что обнаружено более трех участков воспаления легких по типу «матового стекла» диаметром не более 5 см. Также как и в случае с КТ1, это внебольничная пневмония, при которой не нужна госпитализация. Пациент лечится дома, соблюдая рекомендации врача. КТ легких поможет ответить на вопрос — имеется ли активный воспалительный процесс и тенденция к консолидации «матовых стекол».
Поражение легких КТ3
Обнаружены множественные участки «матового стекла» с тенденцией к консолидации. Это основной признак, но возможны и другие: ретикулярные изменения, «дерево в почках» или центрилобулярные очаги. При пневмонии КТ3 поражено более 50% легких, нужна срочная госпитализация и интенсивная терапия. Множественные инфекционные очаги и подавленные защитные силы организма способствуют тому, что переход от КТ3 к КТ4 происходит быстрее и легче, чем от КТ1 к КТ2.
Поражение легких КТ4
Критическая стадия поражения легких, когда более 75% легких не участвует в газообмене. На томограммах визуализируется как диффузное поражение лёгочной ткани с ретикулярными изменениями и симптомом «булыжной мостовой», гидроторакс.
симптомы, диагностика и лечение воспаления легких
Проникшие в легкие человека воздушно-капельным путем, бактерии и вирусы приводят к воспалению легких. Попав в благоприятные для себя условия микроорганизмы начинают размножаться в носоглотке, а затем достигают альвеол легкого. Когда объем вдыхаемой инфекции становится значительным или иммунная защита человека ослаблена, происходит заражение легких. Стремительный иммунный ответ человека повреждает легочную ткань, что приведет к затруднению транспорта кислорода.
Какие бывают пневмонии?
Если человек заболел пневмонией вне больницы, то пневмония называется внебольничной.
Внутрибольничная пневмония, напротив развивается в условиях больниц, домов престарелых. К ней относят и пневмонию, связанную с ИВЛ.
Разделение болезни по ее происхождению помогает выбрать необходимые антибиотики в первые часы болезни.
Чем больше участков легких будет охвачено воспалением, тем драматичнее развитие пневмонии.
В зависимости от расположения зон воспаления различают односторонние, двусторонние, полисегментарные, долевые.
«Атипичная» и «типичная» пневмонии
Любая пневмония опасна, если она вовремя не выявлена и не назначено правильное лечение. Слово «атипичная» закрепилось после появления SARS в 2003. Эта пневмония требовала совершенно иного лечения. У атипичной пневмонии жалобы и симптомы могут отличаться от классической — не высокая температура, симптомы больше похожи на ОРВИ.
Типичная пневмония вызывается «классическими» возбудителями. К ним относятся Streptococcus pneumonia (пневмококк), а также Haemophilus influenza(гемофильная палочка) .
Неклассические микроорганизмы вызывают атипичную пневмонию. Например, Legionella, Mycoplasma pneumoniae, Chlamydia pneumoniae, Chlamydia psittaci, Coxiella burnetiid.
Пневмонии, вызванные респираторными вирусами группируются обособленно — Грипп A, Грипп B, Риновирусы, Парагрипп, Аденовирус, Респираторно синцитиальный вирус, Метапневмовирус, Коронавирусы (SARS Cov- 1, SARS Cov-2, MERS).
Различия между «атипичной» и «типичной» условное. Если сделать рентген легких, то возможно предположить атипичный возбудитель по особенностям полученной рентгенограммы.
От чего зависит тяжесть пневмонии?
- Пневмония может ограничиться лихорадкой, кашлем с мокротой без нарушения дыхания. Это описание легкой формы.
- Тяжелое течение проявляется дыхательными расстройствами, полиорганной недостаточностью, сепсисом.
- Иммунный ответ человека определяет степень повреждений легких. Чем массивней ответ, тем тяжелее болезнь.
- Ожирение, хронические болезни сердца и легких, диабет ухудшают прогноз болезни.
Кто чаще болеет пневмониями?
- Чем старше человек, тем выше риск болезни.
- Пациенты, страдающие ХОБЛ, бронхоэктазами, астмой, хроническими болезнями сердца (сердечная недостаточность), инсультом, сахарным диабетом.
- Перенесенная вирусная инфекция (ОРВИ) провоцирует бактериальную или грибковую пневмонию.

- Курение и чрезмерное употребление алкоголя способствует заболеванию
- Другие факторы образа жизни – например, тюрьмы, приюты для бездомных, воздействие экологических токсинов (например, растворителей, красок или бензина)
Симптомы и признаки пневмонии
Жалобы при пневмонии носят внезапный характер. Лихорадка, озноб, усталость, боль в груди в сочетании с кашлем (с мокротой или без), одышка, затрудненное дыхание , учащение дыхания возникают и нарастают в течение нескольких часов.
Анализы крови помогут в диагностике болезни: лейкоцитоз или лейкопения являются результатами воспалительного ответа организма. Воспалительные маркеры, такие как СОЭ, C-реактивный белок и прокальцитонин могут нарастать, хотя последний в значительной степени специфичен для бактериальных инфекций.
Обязательным исследованием для диагностики пневмонии считают рентгенографию легких.
Пневмония при инфекции КОВИД 19.
Течение болезни не выходит за рамки общих представлений о пневмонии.
Классические симптомы присутствуют: лихорадка, озноб, боли в мышцах, кашель.
80 % болеют пневмонией без нарушения дыхания и в домашних условиях.
У 20% тяжелые проявления болезни: затруднено дыхание, человек начинает дышать часто, возникает потребность использовать дополнительно кислород. При ухудшении может возникнуть отказ важных органов- сердца, почек. Чем дольше пациент находится в больнице, тем больше вероятности присоединения больничной инфекции и грибов.
Обязательно необходима госпитализация при пневмонии COVID 19?
Нет, госпитальное лечение требуется не всегда.
Амбулаторный режим возможен для пациентов с легкой пневмонией. Пациенты, которые исходно здоровы, с нормальным дыханием, без сопутствующих заболеваний лечатся в домашних условиях.
Госпитализация необходима для пациентов, у которых насыщение кислородом менее 94% , они часто дышат.
Мне кажется, что мне тяжело дышать. У меня дыхательная недостаточность?
Самый простой способ понять, что у вас развивается дыхательная недостаточность – подсчитать «вдох-выдох» за минуту.
Если более 21, то следует вызвать врача. Другой способ — это измерить кислород в крови. Пульсоксиметр уже есть у многих дома. Этим прибором можно следить за сатурацией — если она ниже 94%, то расценить эту ситуацию как ухудшение и обратиться за помощью к врачам.
Применение КТ в диагностике вирусных пневмоний.
Компьютерная томография имеет высокую чувствительность по сравнению с рентгенографией, обнаруживает изменения лёгких на начальных этапах заболевания раньше результатов лабораторных тестов.
- преимущество метода — в выявлении изменений в лёгких даже у людей, инфицированных COVID-19, но у которых отсутствуют симптомы инфекции.
- Несмотря на высокую чувствительность, КТ не может дать точного ответа о причинах пневмонии (бактерии, вирусы, грибы).
Что такое «матовое стекло» в заключении КТ?
Уплотнения лёгочной ткани “матовое стекло” — это начальная фаза воспаления легких. Возникает при постепенном заполнении альвеол жидкостью.
Когда бронхи и альвеолы заполнятся жидкостью, возникнут участки уплотнения, которые называются консолидацией. Консолидация лёгочной ткани возникает при длительном воспалительном процессе.
У меня COVID 19 и КТ-2 Что это означает?
Важно понять сколько легочной ткани поражено. Чем больше вовлечено легочной ткани в воспаление, тем более затруднено получение кислорода из вдыхаемого воздуха. Без кислорода человек быстро погибает. Например, при пневмонии, вызванной COVID 19, ухудшение в легких занимает несколько часов. Чем раньше будет принято решение о госпитализации, кислородотерапии и лечении, тем больше шансов вылечиться.
Для оценки изменений подсчитывается сколько процентов легких повреждено пневмонией. Измерение проводится «на глаз». Полученный результат сопоставляется с шкалой распространённости изменений:
- КТ-0 – нет признаков пневмонии
- КТ-1 – до 25%
- КТ-2 – от 25 до 50%
- КТ-3 – от 50 до 75%
- КТ-4 – свыше 75%
Процентная оценка сортирует пациентов, кому срочно требуется госпитальное лечение и тех, кто может лечиться в домашних условиях.
Если у вас КТ 2, это соответствует легкой пневмонии. Такие изменения не сопровождаются затрудненным дыханием, не требуют госпитализации. Но КТ 2 может при неправильном лечении перейти в КТ 3 и 4. Поэтому наблюдение со стороны врача обязательно!
Если врач не слышит хрипы в легких при прослушивании, значит у меня нет пневмонии?
Это неверно. Постановка диагноза требует демонстрации изменений в легочной ткани при рентгенографии (КТ) и клинических проявлений (например, лихорадка, одышка, кашель и образование мокроты), изменений в анализах крови.
Лечение пневмонии
Для лечения пневмонии необходимо знать название инфекции. У пациентов название возбудителя в самом начале болезни неизвестно, поэтому применяется эмпирическая терапия антибиотиками – лечение, направленное на вероятного возбудители. Для всех пациентов с ВП разработаны схемы лечения, нацеленные на уничтожение S.pneumoniae и атипичных возбудителей.
Для большинства больных используют комбинированную терапию с бета-лактамными антибиотиками либо макролидами.
Альтернативные схемы включают монотерапию фторхинолоном.
Лечение SARS CoV-2
- Принципы лечение пневмонии общие. Назначение противовирусной и антибактериальной терапии.
- В тяжелых случаях, в условиях больницы назначение высокопоточной кислородотерапии, моноклональных антител, антикоагулянтов, легочной вентиляции.
- Антибиотики на вирус COVID 19 не действуют.
Реабилитация после пневмонии
Помимо лекарственной терапии, направленной на бактерии, вирус и воспаление, необходимо восстановление функции легких до исходного здорового уровня..
После перенесенной болезни в легких формируются изменения. Это и «матовое стекло» и фиброз легочной ткани, пневмофиброз. В этих участках затруднен газообмен, нарушено питание альвеол и бронхов, защита бронхов снижается. Инфекция и пневмония действуют на человека одновременно лишая сил, уверенности, снижается качество жизни Необходимо приложить усилия и предотвратить фиброзные изменения в легких.
Решает задачу реабилитационная программа, состоящая из комплекса лечебных процедур, ингаляций, дыхательных тренажеров, упражнений ЛФК.
Подробнее о реабилитации
Наши специалисты
Чикина Светлана Юрьевна
Кандидат медицинских наук, врач-пульмонолог высшей категории. Официальный врач эксперт конгрессов РФ по пульмонологии.
более 30 лет
Кулешов Андрей Владимирович
Главный врач, кандидат медицинских наук, врач-пульмонолог, сомнолог, член European Respiratory Society (ERS).
Опыт работы 26 лет
Мещерякова Наталья Николаевна
Кандидат медицинских наук, врач-пульмонолог высшей категории, доцент кафедры пульмонологии им. Н.И. Пирогова.
Опыт работы 26 лет
Никитина Наталия Владимировна
Зам. главного врача, пульмонолог аллерголог высшей категории. Действительный член Европейской академии аллергологии и иммунологии.
Опыт работы 15 лет
Стоимость услуг
| Консультативный прием пульмонолога | ✕| |
|---|---|
| Первичная консультация пульмонолога | 3500 |
| Повторная консультация пульмонолога | 3000 |
Первичная консультация главного врача, пульмонолога Кулешова А. В. | 5000 |
| Повторная консультация главного врача, пульмонолога Кулешова А.В. | 3500 |
Фотографии пневмонии | Скачать бесплатные картинки на Unsplash
Pneumonia Pictures | Скачать Free Images на Unsplash- ФотоФотографии 116
- Стопка фотографийКоллекции 1
- Группа людейПользователи 1
пневмония
вирус
коронавирус 9001 1
человек
карантин
пандемия
эпидемия
covid19
covid
болезнь
защита
грипп
логотип Unsplash Unsplash+В сотрудничестве с Getty Images
Unsplash+
Разблокировать
доставщик доставщик
x-raydraw дыхательный аппарат
–––– –––– ––– – – –––– – ––– – –– – –– –––– – – –– ––– –– –––– – –.
omicroncovid19Hd фиолетовые обои
Природа фотона улице
covidwellnessрадиологи
Елена МожвилоСовместно с Getty Images
Unsplash+
Разблокировать
Hd обои для компьютераHd обои для ноутбукастол
Владимир Грищенковирусфармацевтическийфармакологический
Елена Можвило 9 0011пандемиятекущие событиячастицы
Афиф РамдхасумаHd синие обоидокторгрипп
Can yılmazвспышкарискклиника
Наталья Смирноваrnadanger3dillustration
Логотип Unsplash Unsplash+В сотрудничестве с Getty Images
Unsplash+
Разблокировать
Изображения и фотографии автомобилейsolitudeepidemic
Ehimetalor Ahere Unuabonatrafalgar Squarelondonuk
Грищенко В.
В. 19dangerouscorona-virus Сардар Файзанcarechineseinfected
Логотип Unsplash Unsplash+В сотрудничестве с Getty Images
Unsplash+
Разблокировать
коридорная защитаСербия
Can yılmazfacemanPeople images & картинки
доставщикдоставщик
omicroncovid19Hd фиолетовые обои
covidwellnessрадиологи
коронавирусычихание микробы
пандемиятекущие событиячастицы
вспышкарискклиника
автомобиль изображения и фотографииодиночествоэпидемия
медицинафармацевтыаптека
19опасныйкоронавирус
коридорзащита сербия
—— —— —- — —— —— — — — — — — — — — — – –– –––– – –.
рентгенвдох вдох
Природа фотона улице
Hd обои компьютерHd обои ноутбукстол
вирусфармацевтическийфармакологический
трафальгарская площадь лондонук
linebannerlaboratory
carechineseinfected
Связанные коллекции
не стыдись перед Богом
1 фото ry mendelivery manNature imagesна открытом воздухе
вирусфармацевтическийфармакологический
вспышкарискклиника
trafalgar Squarelondonuk
19dangerouscorona-virus
x-raydraw дыханиевдыхание
коронавирусычиханиемикробы
пандемиятекущие событиячастицы
изображения и фотографии автомобилейодиночествоэпидемия
линиябаннерлаборатория
коридорзащитасербия
–––– –––– –––– ––––– – –––– –– – –– –– –– – – –– ––– –– –––– – –.
omicroncovid19Hd фиолетовые обои
covidздоровьерадиологи
Hd обои для компьютераHd обои для ноутбукастол
Hd синие обоидокторгрипп
Похожие коллекции
не стыдись Бога
1 фото 11Просматривайте премиум-изображения на iStock | Скидка 20% на iStock
Unsplash logoСделайте что-нибудь потрясающее
Аспирационная пневмония Информация | Гора Синай
Анаэробная пневмония; Аспирация рвотных масс; Некротизирующая пневмония; Аспирационный пневмонит
Пневмония — это воспаление (отек) и инфекция легких или крупных дыхательных путей.
Аспирационная пневмония возникает при вдыхании пищи или жидкости в дыхательные пути или легкие, а не при проглатывании.
На этом снимке показан микроорганизм Pneumococci.
Эти бактерии обычно парные (диплококки) или появляются в виде цепочек. Пневмококки обычно связаны с пневмонией, но могут вызывать инфекцию других органов, таких как головной мозг (пневмококковый менингит) и кровоток (пневмококковая септицемия). (Изображение предоставлено Центрами по контролю и профилактике заболеваний)
Бронхоскопия — это хирургический метод осмотра внутренней части дыхательных путей. Используя сложные гибкие волоконно-оптические инструменты, хирурги могут исследовать трахею, главные стволовые бронхи и некоторые мелкие бронхи. У детей эта процедура может использоваться для удаления вдыхаемых посторонних предметов. У взрослых эта процедура чаще всего используется для взятия образцов (биопсии) подозрительных поражений и для посева определенных участков легких.
Основные элементы легких включают бронхи, бронхиолы и альвеолы. Альвеолы представляют собой микроскопические мешочки, выстланные кровеносными сосудами, в которых происходит обмен кислорода и углекислого газа.
Воздух вдыхается через носовые ходы, проходит через трахею и бронхи в легкие.
Причины
Факторы риска вдыхания (аспирации) инородных тел в легкие:
- Снижение концентрации внимания из-за лекарств, болезни, операции или по другим причинам
- Кома
- Употребление большого количества алкоголя
- Прием запрещенных наркотиков (например, опиоидов), которые снижают концентрацию глубокий сон при хирургических вмешательствах (общая анестезия)
- Пожилой возраст
- Слабый рвотный рефлекс у людей, находящихся в бессознательном состоянии (в бессознательном или полубессознательном состоянии) после инсульта или черепно-мозговой травмы
- Проблемы с глотанием
Госпитализация может увеличить риск этого состояния.
Материалы, которые могут попасть в легкие при вдыхании, включают:
- Слюна
- Рвота
- Жидкости
- Пищевые продукты
Тип бактерий, вызывающих пневмонию, зависит от:
- Ваше здоровье
- Место проживания ( например, дома или в учреждении длительного ухода)
- Были ли вы недавно госпитализированы
- Ваш недавний прием антибиотиков
- Ослаблена ли ваша иммунная система
Симптомы
Симптомы могут включать любые из следующих:
- Боль в груди
- Кашель с зловонной, зеленоватой или темной мокротой (мокротой) или мокротой, содержащей гной или кровь
- Усталость
- Лихорадка
- Одышка
- Свистящее дыхание
- Запах изо рта
- Повышенное потоотделение
- Проблемы с глотанием
- Con сплав
Exams and Tests
Ваш лечащий врач будет использовать стетоскоп, чтобы выслушать хрипы или необычные звуки дыхания в груди.
Постукивание по стенке грудной клетки (перкуссия) помогает медицинскому работнику выслушать и почувствовать ненормальные звуки в груди.
При подозрении на пневмонию врач, скорее всего, направит вас на рентген грудной клетки.
Следующие тесты также могут помочь диагностировать это состояние:
- Анализ газов артериальной крови
- Посев крови
- Бронхоскопия (используется специальный эндоскоп для осмотра дыхательных путей легких) в некоторых случаях
- Общий анализ крови (ОАК)
- Рентген или КТ органов грудной клетки
- Посев мокроты
- Анализы на глотание
Лечение
Некоторым людям может потребоваться госпитализация. Лечение зависит от того, насколько тяжела пневмония и насколько болен человек до аспирации (хроническое заболевание).
Иногда для поддержки дыхания необходим аппарат ИВЛ (дыхательный аппарат).
Скорее всего, вы получите антибиотики.
Возможно, вам потребуется проверить функцию глотания. Людям, у которых есть проблемы с глотанием, возможно, придется использовать другие методы кормления, чтобы снизить риск аспирации.
Перспективы (прогноз)
Исход зависит от:
- состояния здоровья человека до заболевания пневмонией
- типа бактерий, вызывающих пневмонию
- степени поражения легких
-срочное поражение легких.
9Когда обращаться к медицинскому работнику
Позвоните своему врачу, обратитесь в отделение неотложной помощи или позвоните по местному номеру экстренной помощи (например, 911), если у вас есть:
- Боль в груди
- Озноб
- Лихорадка
- Одышка
- Посинение губ или языка (цианоз)
- Свистящее дыхание
Мушер ДМ.


В.