О флюорографии. Туберкулез излечим при своевременном выявлении
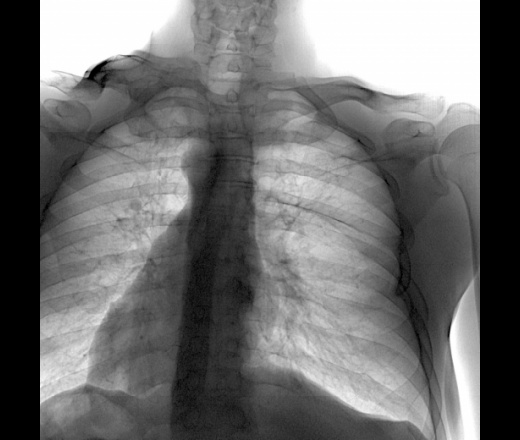
Флюорография – это скрининговый метод массового рентгенологического обследования населения с целью раннего выявления тех заболеваний легких, которые в начальных стадиях протекают скрыто, без жалоб. Это прежде всего туберкулез и рак легкого.
Туберкулез легких с древних времен и до нашего времени является одной из важных и сложных проблем медицины. Каждый год в мире заболевают 8 млн. человек, около 2 млн. человек умирают. Болезнь не щадит ни детей, ни стариков, ни богатых, ни бедных.
Туберкулез – это инфекционное заболевание, которое вызывается палочкой Коха. Основной путь передачи инфекции -воздушно-капельный. При громком разговоре, кашле, чихании больной туберкулезом человек может распространять возбудителя на расстоянии до 5 метров. В закрытом помещении микроб может сохраняться до 2-х часов, в высушенной мокроте на платке, одежде, предметах обихода, посуде, на полу – в течение нескольких месяцев.
А если учесть поразительную жизнестойкость палочки Коха, выдерживающую даже минусовую температуру, нетрудно представить, как опасны люди, больные открытой формой туберкулеза – бацилловыделители – для окружающих. Каждый такой бацилловыделитель может заразить в течение года более 10 человек.
Чаще всего палочка Коха впервые проникает в организм в детском и подростковом возрасте. Но болезнь развивается не всегда, а возбудитель остается в организме в неактивном состоянии. Для заболевания взрослого человека не обязательно повторное заражение. Достаточно снижения иммунитета и дремлющие многие годы в организме палочки Коха могут вызвать заболевание. Все, что способствует снижению иммунитета, ведет к росту туберкулеза. Это и нерациональное питание, частые стрессовые ситуации, алкоголизм, курение, неблагоприятные социально-бытовые условия и т. д.
В последние годы отмечается рост лекарственно устойчивого туберкулеза во всех странах.
Рентгенофлюорографическое обследование — надежный способ раннего выявления туберкулеза и других скрыто протекающих болезней легких.
С каждым годом все более тревожная обстановка по заболеванию опухолями легких, которым принадлежит 1-е место среди всех опухолевых заболеваний. Отмечается их рост из года в год. Одной из причин этого является курение, в том числе пассивное, запыленность, загазованность. Участились случаи выявления запущенных форм, когда помочь больному уже трудно.
Кроме того при флюорографии выявляется и другая патология: заболевания сердца, пневмонии, хронические заболевания легких. И ее выявление в 20 раз выше, чем туберкулеза и опухолей.
Флюорография – это «надежный страж» для раннего выявления заболеваний органов грудной клетки.
В настоящее время в г.Минске произведена полная модернизация флюорографической службы – это внедрение программы «Телемедицина» и полная замена морально устаревших пленочных флюорографических аппаратов на цифровые «Пульмосканы», что обеспечивает надежный диагноз; возможность архивирования и сравнения снимков пациента за различные годы; возможность посылать информацию через телекоммуникационные сети и самое главное – в многие разы уменьшить дозу облучения пациента.
Люди – главная ценность нашей страны. Заветные желания каждого человека – не болеть, а уж если заболел – быстро вылечиться.
Прохождение ежегодного флюорографического обследования должно стать обязательным в сознании каждого человека. Проявите заботу о своем здоровье! Положите на одну чашу весов теоретический риск минимально возможных последствий от облучения при флюорографии, а на другую – реальный риск запущенной формы туберкулеза или опухоли и связанные с этим страдания. Что перевесит?
Информационный материал подготовила врач-терапевт здравпункта 1 ГКБ Сокол И.Н. по данным 1-го городского противотуберкулезного диспансера.
Что нужно знать о туберкулезе для личной безопасности?
Туберкулез—это воздушно-капельная инфекция, которая вызывается микобактериями туберкулеза.
158168
Источник инфекции: человек больной активным туберкулезом легких.
Треть населения земного шара инфицирована микобактериями туберкулеза, но далеко не все им болеют. У большинства людей защитные силы организма препятствуют развитию туберкулеза. В ряде случаев, при массивном инфицировании микобактериями туберкулеза, быстро развивается болезнь.
В других случаях, под влиянием защитных сил инфекция приобретает «дремлющий» характер. Развитию туберкулеза в этом случае способствуют факторы, ослабляющие защитные силы организма: переутомление, продолжительное чрезмерное волнение, неполноценное питание, употребление наркотиков, алкоголя, а также хронические болезни, когда «дремлющие» микобактерии туберкулеза начинают размножаться и вызывают болезнь.
Чаще всего туберкулезом поражаются легкие, но инфекция может поразить и любой другой орган.
Признаки туберкулеза:
- Незначительное повышение температуры тела по вечерам.

- Общая слабость и быстрая утомляемость, повышенная потливость.
- Снижение аппетита, потеря веса.
- Кашель более 2-3 недель.
- Боль в грудной клетке более 3 недель.
Кровохарканье.
Как выявляется туберкулез?
К методам раннего выявления туберкулеза у взрослого населения относится флюорография и проба Манту, у детей проба Манту или Диаскин-тест.
Флюорография позволяет диагностировать все случаи туберкулеза легких от малых до деструктивных форм и многообразную другую патологию органов грудной клетки: опухоли, воспаления легких.
Поэтому, для своевременного выявления туберкулеза, жителям Санкт-Петербурга необходимо проходить флюорографию ежегодно.
Проба Манту позволяет определить инфицированы ли вы туберкулезной палочкой. Что означает инфицирование? Инфицирование туберкулезом происходит в основном в детском возрасте и к 17 годам около 50 % подростков в нашем городе тубинфицированы.
Вначале при первом контакте с микобактерией туберкулеза происходит так называемое инфицирование, когда внешних проявлений нет, и факт проникновения в организм возбудителя заболевания можно определить только по измененной реакции МАНТУ.
Реакция МАНТУ это не прививка, а диагностическая проба, которая показывает наличие аллергической реакции на туберкулез.
Если результаты обследования указывают на возможность инфицирования туберкулезом, ребенок подлежит обязательному обследованию в противотуберкулезном диспансере. В этой ситуации большую роль играет отношение родителей и осознание ими необходимости тщательного обследования, в дальнейшем лечения или проведения профилактических курсов лечения. Отказ родителей от лечения, уклонение от обследования часто приводит к развитию у инфицированного ребенка активного туберкулеза.
Для того, чтобы не заболеть туберкулезом следует:
Правильно питаться. Питание должно быть достаточным и сбалансированным.
В рацион необходимо включить продукты, укрепляющие иммунную систему: мясо, яйца, фасоль, рыба, сыр, творог, горох, орехи, овощи, фрукты.
Избавьтесь от вредных привычек, так как курение, алкоголь, наркотики снижают защитные силы организма.
Внимательное отношение к собственному здоровью, своевременное обращение к врачу при появлении признаков туберкулеза помогут избежать развития заболевания!
Территориальный отдел Управления Роспотребнадзора по городу Санкт-Петербургу в Выборгском и Калининском районах
1.860 Флюорография Стоковые фото, картинки и изображения
Врач смотрит на голограмму легких, проверяет результат теста в виртуальном интерфейсе и анализирует данные. пневмония, донорство, инновационные технологии, медицина будущегоPREMIUM
Рентген грудной клетки женщины. врач-рентгенолог изучает рентгенологическое исследование. к телу больного прилагается снимок органов грудной полостиPREMIUM
Рентген грудной клетки мужчины со спины. врач-рентгенолог изучает рентгенологическое исследование. к телу пациента прилагается снимок органов грудной полостиPREMIUM
Врач смотрит на голограмму легких, проверяет результат теста на виртуальном интерфейсе и анализирует данные.
Госпитальный радиологический кабинет. рентген аппарат для флюорографии. женщина-пациент сканирует грудную клетку, сердце или легкие в кабинете клиники. взрослая женщина проходит медицинский осмотр. медицинский рентгеновский аппарат для рентгенографии.PREMIUM
Набор пульмонолога. идея здоровья и лечения. здоровыйПРЕМИУМ
Стоматолог анализирует рентгенограмму челюстей на экране персонального компьютера.2020PREMIUM
Набор пульмонолога. идея здоровья и лечения. здоровый легочныйPREMIUM
Молодой бородатый мужчина держит рентгеновский снимок легких и сердца перед грудью, белый фонPREMIUM
Пульмонолог веб-баннер или целевая страница. идея здоровьяPREMIUM
Медицинское страхование, здравоохранение, целевая страница профилактики заболеваний головного мозга. онлайн-сервисы для заказа флюорографического обследования, компьютерной томографии, выезда специалиста на дом. векторная иллюстрацияПРЕМИУМ
Пульмонолог.
идея здоровья и лечения. HealthPREMIUM
Веб-баннер или целевая страница пульмонолога. идея здоровьяPREMIUM
Врач или лаборант в белой перчатке держит указатель над рентгеном грудной клетки. день рентгенолога или фтизиатра. концепция профилактики туберкулеза или медицинского обучения. ПРЕМИУМ
Вектор легких и бронхов. векторный дизайн. точечный стильPREMIUM
Женщина-пациент сканирует грудную клетку, сердце или легкие в кабинете клиникиPREMIUM
Концепция плоского медицинского дизайна с домом престарелых реанимация флюорография описание реабилитации векторная иллюстрацияPREMIUM
Флюорография и рентгеновское сканирование пациента. врач делает рентген грудной клетки. радиолог делает процедуру проверки легких, анализирует рентгеноскопические изображения, рентгенографию, рентгенографию грудной клеткиPREMIUM
Концепция респираторной медицины, здравоохранения и пульмонологии. врач проверяет легкие человека с помощью увеличительного стекла ищет патологию.
Полиартрит, артрит, саркоидоз, пиелонефрит, концепт-вектор, урартрит, цистит, ПРЕМИУМ
Пульмонолог, концепт-вектор. легочный фиброз, иллюстрация туберкулеза. пневмония, диагностика легких, рентгеновский аппарат. крошечные врачи лечат, сканируют легкиеPREMIUM
Инструмент энта-врача изометрическая иконка векторная иллюстрацияPREMIUM
Современная векторная линия значок рентгена, МРТ, УЗИ. медицинские исследования, линейный логотип клиники. очертить символ рентгеновской лаборатории. элемент дизайна флюорографии для сайта, больницы. обследование на рак легких, рентгеновский знакPREMIUM
Иконки флюорографии устанавливают изометрический вектор. мужское легкое. здоровье телаPREMIUM
Концепция пульмонологии. диагностика легких, лечение туберкулезной пневмонии. риски курения, врачи респираторного здравоохранения произносят векторный баннер. иллюстрация диагноз респираторное легкоеPREMIUM
Врач смотрит на рентген легких пациента и показывает большой палец вверх.
PREMIUM
Вектор легких и бронхов. векторный дизайн. точечный стильPREMIUM
Рентгенограмма легких взрослого мужчины с двусторонней пневмонией.PREMIUM
Рентген грудной клетки женщины. врач-рентгенолог изучает рентгенологическое исследование. к телу больного прилагается снимок органов грудной полостиPREMIUM
Госпитальный рентгенологический кабинет. рентген аппарат для флюорографии. женщина-пациент сканирует грудную клетку, сердце или легкие в кабинете клиники. взрослая женщина проходит медицинский осмотр. медицинское рентгеновское оборудование для рентгенографии.PREMIUM
Медсестра лечение пациента больница медицина синий фонPREMIUM
Больничный рентгенологический кабинет. рентген аппарат для флюорографии. женщина-пациент сканирует грудную клетку, сердце или легкие в кабинете клиники. взрослая женщина проходит медицинский осмотр. медицинское рентгеновское оборудование для радиографииPREMIUM
Легкие и бронхи переносчика. векторный дизайн.
точечный стильPREMIUM
Врач в синей форме показывает снимок флюорограммы флюорографии, рентген легких для профилактики и ранней диагностики туберкулеза.PREMIUM
Диагностика заболеваний легочной системы. здоровье легких. медицинская концепция с крошечными людьми. плоская векторная иллюстрация. ПРЕМИУМ
Человек в медицинской форме рентгенодиагностика стетоскоп обследование работа изолированный фонПРЕМИУМ
Легкие и бронхи переносчика. векторный дизайн. точка и точка стильПРЕМИУМ
Вектор легкие и бронхи. векторный дизайн. точка и точка стильPREMIUM
Концепция здравоохранения пульмонологии и легких. молодые врачи герои мультфильмов в белой униформе осматривают легкие и дыхательную систему для осмотра внутренних органов, проверяют наличие болезней, болезней или проблем. PREMIUM
Легкие и бронхи, дыхательная система человека. медицина и здоровье. векторные иллюстрации.PREMIUM
Мужчина и врач осматривают рентген крупным планомPREMIUM
Рентгенолог лечение пациента больница медицина светлый фонPREMIUM
УЗИ врач-кардиолог консультирует пациента, осматривает сердце, ультразвуковое исследование.
медицинская больница диагностическая флюорография.заболевания сердца, кардиограмма артериального давления.векторная иллюстрацияPREMIUM
Респираторная медицина пульмонология концепция здравоохранения. врачи проверяют легкие туберкулеза человека с помощью увеличительного стекла, делают рентген. медицинский плакат баннер флаер брошюра. мультяшная плоская векторная иллюстрацияПРЕМИУМ
Женщина-врач проводит рентген вместе с пациентом. PREMIUM
Кабинет радиологии больницы. рентгеновское отделение в современной больнице. медицинское оборудование. сканер для флюорографии. техник регулирует рентгеновский аппарат. сканирование грудной клетки, сердца, легких в современной клинике. PREMIUM
Врач-мужчина, рентгенодиагностика, стетоскоп, обследование, работа, синий фон. PREMIUM
Старший мужчина с кашлем на осмотре у врача. симптомы коронавируса, диагностика и концепция лечения. врачи и персонажи пациентов, векторная иллюстрация. вирусная инфекция у пожилых.ПРЕМИУМ
Рентгенолог лечение пациента больница медицина светлый фонPREMIUM
Врач-мужчина медицинское лечение рентгенологическое обследование изолированный фонPREMIUM
Молодой врач держит модель позвоночника аккуратный флипчарт с рентгеном и размытым коллегойPREMIUM
Педиатр смотрит на флюорографию рядом с семьей и ноутбуком в клиника PREMIUM
В полный рост.
женщина-врач смотрит на рентген пациентаPREMIUM
Афроамериканский врач жестикулирует во время разговора с размытыми коллегами возле флип-чарта с рентгеном легкихPREMIUM
Врач смотрит на голограмму легких, проверяет результат теста на виртуальном интерфейсе и анализирует данные. пневмония, донорство, инновационные технологии, медицина будущего.PREMIUM
Вирус пневмонии, стетоскоп, снимок легких с таблетками. рентгенологическое обследование легких. врач исследует патологию на сканированном изображении для диагностики пациента мультяшная плоская векторная иллюстрацияПРЕМИУМ
Мужчина в медицинской форме лечение рентгенологическое обследование синий фонPREMIUM
Врач смотрит на голограмму легких, проверяет результат теста на виртуальном интерфейсе и анализирует данные. пневмония, донорство, инновационные технологии, медицина будущего.PREMIUM
Векторные 3d легкие из треугольных многоугольников на синем фонеPREMIUM
Больничный радиологический кабинет.
рентген аппарат для флюорографии. врач-рентгенолог в халате настраивает рентгеновский аппарат для рентгенографии. медицинское оборудование. сканирование грудной клетки, сердца или легких в кабинете клиникиPREMIUM
Медсестра лечение пациента больница медицина светлый фонPREMIUM
Молодой бородатый мужчина держит рентгеновский снимок легких и сердца перед грудью, белый фон. вертикальная ориентацияPREMIUM
Молодой врач пишет в буфер обмена, в то время как размытые многонациональные коллеги разговаривают возле рентгена легкихPREMIUM
Педиатр в медицинской маске смотрит на флюорографию рядом с размытой матерью, обнимающей ребенкаPREMIUM
Женщина в медицинской маске обнимает ребенка рядом с семейным врачом с флюорографиейPREMIUM
Мужчина-врач здравоохранение лечение рентгенологическое исследование изолированный фонPREMIUM
Врач смотрит на рентген легких пациента и показывает знак ОК.PREMIUM
Женщина-травматолог с рентгеном ноги пациентаPREMIUM
Мужчина-врач здоровье уход лечение рентгенологическое исследование изолированный фонPREMIUM
Рентгеновское медицинское оборудование в современной клинике.
улыбающаяся женщина-врач афроамериканки, стоящая возле аппарата, помогает пациенту мужского пола во время рентгенографии грудной клетки. крупный планПРЕМИУМ
Рентгенолог рентген диагностика стетоскоп обследование работа светлый фонPREMIUM
Медсестра лечение пациента больница медицина синий фонPREMIUM
Больничный радиологический кабинет. рентген аппарат для флюорографии. врач-рентгенолог в халате настраивает рентгеновский аппарат для рентгенографии. медицинское оборудование. сканирование грудной клетки, сердца или легких в кабинете клиники. PREMIUM
Векторный набор трехмерных легких из треугольных многоугольников на синем фоне. PREMIUM
Векторный набор трехмерных легких и бронхов. изолированные на белом фоне. элемент медицинского дизайна.PREMIUM
Врач смотрит на голограмму легких, проверяет результат теста на виртуальном интерфейсе и анализирует данные. пневмония, донорство, инновационные технологии, медицина будущего. ПРЕМИУМ
Улыбающийся врач стоит возле флип-чарта с рентгеном легких и показывает модель позвоночника многонациональным коллегам.
ПРЕМИУМ
Вид спереди на трех врачей, мусульманку в хиджабе и двух арабских мужчин, работает перед поликлиникой. женщина с компьютерной томографией, мужчины с планшетом и буфером обмена, обсуждают диагноз пациентов. ПРЕМИУМ
Миниатюрная фотография фигурок людей. мужчина-врач или медсестра думает, стоя перед органом легких. изолированный белый фон. image photoPREMIUM
Мужской врач лечение пациента больница медицина изолированный фонPREMIUM
Coronavirus covid-19 набор иллюстраций. врач делает тест мазка из носа. лаборант исследует образец с помощью микроскопа. открытие вакцины. медицинская бригада делает компьютерную томографию. поврежденные легкие на экранеPREMIUM
Coronavirus covid-19диагностическое исследование. врачи делают тест мазка из носа, делают компьютерную томографию для пациента. анализ рентгеновского снимка легких, поврежденных пневмонией, на экране монитора. плоская векторная иллюстрация PREMIUM
Медсестра рентгенодиагностика стетоскоп осмотр работа студия образ жизниPREMIUM
Женщина-травматолог с рентгеном стопы пациентаPREMIUM
Больничный рентгенологический кабинет.
рентгеновское отделение в современной больнице. медицинское оборудование. сканер для флюорографии. техник регулирует рентгеновский аппарат. сканирование грудной клетки, сердца, легких в современной клинике. ПРЕМИУМ
Три врача, женщина в хиджабе и двое мужчин в медицинской одежде, обсуждают пациентов с рентгеновским томографом, гуляют на фоне современной больницыPREMIUM
Руки врача в синих перчатках показывают антибиотики, таблетки от инфекций, флюорографию, x -луч на фоне, лечение пневмонии и бронхита и диагностика больного во время эпидемии.ПРЕМИУМ
Врач и пациент в медицинских масках указывают на флюорографию во время консультации в клиникеПРЕМИУМ
Рентгенолог лечение пациента больница медицина светлый фонPREMIUM
Врач консультирует кавказскую женщину и комментирует рентген легких.PREMIUM
Врач смотрит на голограмму легких, проверяет результат теста на виртуальном интерфейсе и анализирует данные. пневмония, донорство, инновационные технологии, медицина будущего.

