Терапия саркоидоза легких: медикаментозные и немедикаментозные методики лечения | Германия
Саркоидоз развивается на фоне гиперреакции иммунной системы на бактерии, вирусы или химические вещества. Иммунное воспаление приводит к образованию гранулем в различных органах (легких, лимфатических узлах, коже, глазах и др.). Поражение органов грудной клетки является наиболее типичным проявлением заболевания. Саркоидоз вызывает одышку, боль в груди и сухой кашель. В таком случае требуется медикаментозная терапия в сочетании с немедикаментозными методами. На данный момент полное излечение саркоидоза невозможно, но грамотно подобранная схема лечения уменьшает воспаление и облегчает симптомы. Комплексное лечение саркоидоза проводится в клиниках Германии, Турции, Швейцарии и других развитых стран.
Подтверждение диагноза
До разработки схемы лечения врач оценивает степень поражения внутренних органов. Начиная с общего осмотра (обследование кожи на предмет уплотнений или сыпи, обследование лимфатических узлов, аускультация сердца и легких и т. д.), врач переходит к более информативным инструментальным методам:
- Рентгенография органов грудной клетки позволяет визуализировать гранулему в легочной ткани и выявить увеличение внутригрудных лимфатических узлов. Это самая простая и недорогая диагностическая процедура.
- КТ органов грудной клетки позволяет получить подробные изображения легких, сердца и внутригрудных лимфатических узлов в поперечном сечении. В некоторых случаях обследования при помощи КТ может быть достаточно для подтверждения диагноза.
- Функциональная диагностика легких позволяет оценить жизненную емкость легких и наличие или отсутствие дыхательной недостаточности. Во время процедуры пациент делает выдохи в спирометр – это устройство, которое измеряет скорость и объем выдыхаемого пациентом воздуха. Как правило, при саркоидозе функциональные показатели легких ухудшаются.

- Бронхоскопия – это прямое обследование внутренней поверхности легких и дыхательных путей. Бронхоскоп, небольшая гибкая трубка с миниатюрной камерой и источником света, вводится через рот или нос. Для более комфортного проведения процедуры может выполняться местная анестезия.
- Трансбронхиальная игольная аспирация под контролем эндобронхиального ультразвукового исследования (EBUS-TBNA) похожа на бронхоскопию, за исключением того, что она дополняется ультразвуковым исследованием и биопсией. Процедура EBUS-TBNA с большей вероятностью позволяет установить точный диагноз, чем обычная бронхоскопия.
- Биопсия – это забор образца пораженной легочной ткани для последующего микроскопического исследования. Обычно биопсия проводится во время бронхоскопии или процедуры EBUS-TBNA.
Дополнительно могут проводиться лабораторные анализы (например, общий анализ крови, анализ крови на витамин D и ангиотензинпревращающий фермент). Эти обследования не подтверждают диагноз, но полезны для оценки общего состояния пациента и определения прогноза.
Консервативное лечение
В большинстве случаев лечение саркоидоза начинается с наблюдения в динамике, поскольку симптомы болезни могут пройти самостоятельно при ослаблении патологической реакции со стороны иммунной системы. При выраженном иммунном воспалении назначаются иммунодепрессанты.
Кортикостероиды. Наиболее распространенным препаратом из этой фармакологической группы является преднизолон, неспецифическое противовоспалительное средство. На старте терапии Ваш врач может назначить более высокую дозировку преднизолона, чтобы контролировать воспалительный процесс эффективнее. Как только состояние улучшится, дозировка препарата будет постепенно снижаться, с переходом на поддерживающую.
Метотрексат, азатиоприн, гидроксихлорохин и микофенолат являются нестероидными иммунодепрессантами. Эти препараты блокируют различные стадии пролиферации и репродукции иммунных клеток.
Таким образом, иммунная реакция ослабевает и воспаление становится менее выраженным. Некоторые из этих препаратов, например метотрексат, можно применять одновременно с преднизолоном или вместо него.
Инфликсимаб и адалимумаб – химерные моноклональные антитела, которые предотвращают повреждение легких при помощи блокирования фактора некроза опухоли-альфа (TNF-α). Инактивация TNF-альфа приводит к подавлению синтеза провоспалительных цитокинов на местном и системном уровнях. В результате воспалительный процесс становится менее выраженным, и качество жизни пациента улучшается.
Продолжительность лечения может быть разной. Некоторые люди принимают препараты в течение нескольких лет, другим требуется более продолжительная терапия. Основной целью лечения является профилактика осложнений саркоидоза, например, инфекционных поражений легких, катаракты, почечной недостаточности и т. д., а также улучшение качества жизни пациента.
Немедикаментозные методы лечения и модификация образа жизни
После достижения частичной или полной ремиссии на первый план выходят профилактические меры. Люди с саркоидозом могут продолжать вести обычную жизнь и не ограничивать себя в физической активности. Следуя простым рекомендациям, пациент с саркоидозом может избежать обострения заболевания:
- Откажитесь от курения и употребления табачных изделий. Хотя курение и не вызывает саркоидоз, оно ухудшает функцию легких.
- Избегайте контактов с химикатами, токсичными веществами или пылью, которые могут привести к повреждению легких. Если избежать этого нельзя, используйте респираторы или дыхательные фильтры.
- Ограничьте употребление богатых кальцием продуктов и витамина D, отдавайте предпочтение свежим фруктам и овощам.
- Будьте физически активными, уделите внимание пульмонологической реабилитации.
- Обеспечьте себе 6-8 часов сна каждую ночь.
Кроме того, Вам стоит проходить регулярные медицинские обследования. Обязательно посещайте врача по меньшей мере один раз в год или чаще, при развитии неблагоприятных симптомов.
Оптимальное лечение саркоидоза с Booking Health
Лечение саркоидоза подразумевает не только профилактические меры и консервативную терапию, но и трансплантацию легких (в тяжелых случаях), поэтому люди могут обращаться за специализированной медицинской помощью в зарубежные клиники. Например, лечение в Германии включает полный спектр диагностических и терапевтических процедур, начиная от постановки точного диагноза и заканчивая проведением комплексной пульмонологической реабилитации.
Те пациенты, которые не имеют опыта лечения за рубежом, могут воспользоваться помощью Booking Health, профессионального международного оператора медицинского туризма. Компания Booking Health предоставляют следующие услуги:
- Помощь в выборе клиники на основании ежегодного квалификационного профиля
- Прямая коммуникация непосредственно с Вашим врачом
- Запись на прием на удобную для вас дату
- Предварительная подготовка программы лечения
- Обеспечение выгодной стоимости лечения, без надбавок и дополнительных комиссий для иностранных пациентов (экономия до 50%)
- Оформление медицинской страховки на сумму 200 000 евро сроком действия 4 года
- Контроль медицинской программы на всех этапах
- Помощь в приобретении и пересылке лекарств
- Коммуникация с медицинским учреждением после завершения программы лечения
- Контроль счетов и возврат неизрасходованных средств
- Организация дополнительных обследований
- Бронирование отелей и авиабилетов, организация трансфера
Чтобы начать подготовку к лечению за границей, просто заполните форму «Отправить запрос» на официальном сайте компании Booking Health.
Выбирайте лечение за рубежом и Вы, несомненно, получите отличный результат!
Авторы: Доктор Надежда Иванисова, Доктор Сергей Пащенко
Читайте:
Почему Booking Health – Вопросы и ответы
Как не ошибиться в выборе клиники и специалиста
7 причин доверять рейтингу клиник на сайте Booking Health
Booking Health – Стандарты качества
Отправить запрос на лечение
САРКОИДОЗ ОРГАНОВ ДЫХАНИЯ | Степанян И.
Э., Озерова Л.В.Саркоидоз – системное заболевание неизвестной этиологии, характеризующееся развитием в пораженных органах гранулематозного воспаления.
Число больных саркоидозом во всем мире постоянно увеличивается. В России показатель распространенности саркоидоза достигает 20 на 100 000 населения. Перед исследователями в области саркоидоза остается много нерешенных вопросов, однако современные возможности диагностики и лечения больных саркоидозом позволяют обеспечить им удовлетворительный уровень качества жизни. В статье приведены сведения о классификации, клинических проявлениях, течении, диагностике, лечении и диспансерном наблюдении больных саркоидозом органов дыхания, которые могут быть интересны для практических врачей различного профиля.
И.Э. Степанян – доктор медицинских наук, ведущий научный сотрудник Центрального НИИ туберкулеза РАМН, Москва
Л.В. Озерова – кандидат медицинских наук, доцент, старший научный сотрудник Центрального НИИ туберкулеза РАМН, Москва
E.E. Stepanyan, MD, Leading Researcher, Central Research Institute of Tuberculosis, Russian Academy of Medical Sciences, Moscow
L.V. Ozerova, Candidate of Medical Sciences, Senior Researcher, Central Research Institute of Tuberculosis, Russian Academy of Medical Sciences, Moscow
Саркоидоз – системное заболевание, характеризующееся развитием продуктивного воспаления с формированием эпителиоидно-клеточных гранулем без некроза и исходом в рассасывание или фиброз.
Впервые саркоидоз был описан как заболевание кожи (папиллярный псориаз) Гетчинсоном (J.Hutchinson) в 1869 г., затем Бенье (E.Besnier, 1889) и в 1899 г. Беком (C.Boeck), который на основании сходства гистологических изменений в коже с саркомой предложил термин «саркоид».
Системный характер заболевания был отмечен Бенье, описавшим случай одновременного поражения кожи, периферических лимфатических узлов и суставов кистей. Позднее Шауманн (J. Schaumann, 1917) установил характерное для саркоидоза поражение периферических и внутригрудных лимфатических узлов. В 1934 г. на международном съезде дерматологов в Страсбурге было предложено именовать заболевание болезнью Бенье – Бека – Шауманна, а с середины ХХ в. наиболее широко употребляется термин «саркоидоз».

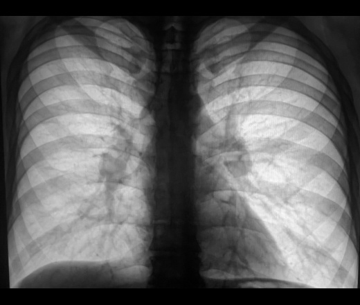
| Рис. 1. Рентгенограмма грудной клетки больного саркоидозом внутригрудных лимфатических узлов. |
|
Эпителиоидно-клеточные гранулемы могут формироваться в разных органах: лимфатических узлах, печени, селезенке, слюнных железах, глазах, сердце, коже, мышцах, костях, кишечнике, центральной и периферической нервной системе. Наиболее часто поражаются внутригрудные лимфатические узлы (ВГЛУ) и легкие. Формированию гранулем предшествуют и в дальнейшем сопутствуют васкулит и лимфоидно-макрофагальная инфильтрация пораженного органа (в легочной ткани – альвеолит). Гранулемы при саркоидозе имеют характерный «штампованный» вид, центральная часть их состоит из эпителиоидных и гигантских многоядерных клеток Пирогова – Лангханса, по периферии располагаются лимфоциты, макрофаги, плазматические клетки и фибробласты. Гранулемы при саркоидозе имеют большое сходство с туберкулезными, а также гранулемами, наблюдаемыми при микозах и экзогенных аллергических альвеолитах. Для саркоидных гранулем не характерен казеозный некроз, как при туберкулезе; в части гранулем может формироваться фибриноидный некроз. Гранулемы могут рассасываться практически бесследно или фиброзироваться, приводя к развитию диффузного интерстициального пневмосклероза, вплоть до «сотового легкого», что наблюдается только в 5 – 10% случаев.
Рис. 2. Рентгенограмма грудной клетки больного саркоидозом внутригрудных лимфатических узлов и легких.Резко выраженное усиление и деформация легочного рисунка за счет диффузного уплотнения и инфильтрации интерстициальных структур, рассеянных мелких очаговоподобных теней, диффузной реакции плевры. Корни легких умеренно расширены за счет увеличения бронхопульмональных внутригрудных лимфоузлов. | |
Предложены разнообразные классификации саркоидоза. Наиболее широко используется классификация К.Wurm (1958), в которой выделяют 3 стадии болезни: 1 – изолированное поражение внутригрудных лимфатических узлов, 2 – сочетанное поражение ВГЛУ и легких, 3 – сочетанное поражение ВГЛУ и легких с выраженными распространенными фиброзными изменениями.
В данной классификации жестко схематизировано течение заболевания и не нашли отражения возможности первичного развития саркоидоза ВГЛУ и легких, изолированного поражения легких, сочетание легочной и внелегочной локализации саркоидоза, воспалительная активность процесса. В классификации саркоидоза органов дыхания, предложенной А.Г.Хоменко и соавт. (1982), выделены 5 клинико-рентгенологических вариантов заболевания: саркоидоз ВГЛУ; саркоидоз ВГЛУ и легких; саркоидоз легких; саркоидоз органов дыхания, комбинированный с единичным внелегочным поражением; генерализованный саркоидоз (органов дыхания и множественным поражением других органов). Указаны также фазы развития заболевания (активная, регрессии, стабилизации), характер течения (спонтанная регрессия, благоприятное, рецидивирующее, прогрессирующее), осложнения (стеноз бронха, ателектаз, дыхательная и легочно-сердечная недостаточность) и остаточные изменения (пневмосклероз, эмфизема легких, адгезивный плеврит).
Начало заболевания может быть бессимптомным, постепенным или острым. При отсутствии клинических проявлений, что наблюдается у 10% больных, заболевание обычно выявляется при рентгенологическом обследовании грудной клетки. Наиболее часто (у 2/3 больных) имеет место постепенное начало заболевания со скудной клинической симптоматикой: болью в груди, между лопаток, сухим кашлем, одышкой при физическом напряжении, общим недомоганием. Аускультативные изменения в легких часто отсутствуют, иногда могут выслушиваться жесткое дыхание и сухие хрипы. Острое начало заболевания, наблюдаемое примерно у 1/4 больных, характеризуется лихорадкой, появлением узловатой эритемы, полиартрита.Саркоидоз органов дыхания сочетается с экстрапульмональными поражениями почти у 20% больных. Наиболее частыми внелегочными локализациями процесса являются периферические лимфатические узлы (до 40%), кожа и подкожная клетчатка (около 20%), почки, печень, селезенка, сердце, нервная система. Реже поражаются щитовидная железа, глотка, кости, молочные железы. Интактными при саркоидозе остаются только надпочечники.
Внелегочные локализации саркоидоза обычно имеют множественный характер, и их наличие, как правило, предопределяет рецидивирующее течение заболевания.
Существует два основных пути выявления больных саркоидозом. На долю профилактических осмотров, в том числе флюорографии, приходится от 1/3 до 1/2 случаев преимущественно с бессимптомным или постепенным началом болезни.
| Рис. 3. Рентгенограмма грудной клетки больного саркоидозом легких.
Диффузное усиление и обогащение легочного рисунка за счет интерстициальной инфильтрации, рассеянные мелкие очаговоподобные тени. |
|
Основными задачами диагностики саркоидоза являются выделение характерного клинико-рентгенологического симптомокомплекса, гистологическая верификация диагноза и определение активности процесса.
Важнейшая роль в выявлении и установлении предварительного диагноза принадлежит рентгенографии; томо- и зонографию легких через плоскость корней с поперечным размазыванием теней, компьютерную томографию используют как уточняющие методы. Основу рентгенологического симптомокомплекса при саркоидозе органов дыхания составляют внутригрудная аденопатия, диссеминация и интерстициальные изменения, обусловленные явлениями альвеолита и пневмосклероза. Для саркоидоза характерно двустороннее увеличение ВГЛУ преимущественно бронхопульмональных групп, хотя в 5 – 8% случаев наблюдают одностороннее поражение, что может вызывать диагностические трудности. Симптом внутригрудной аденопатии наблюдают изолированно при саркоидозе ВГЛУ (рис.1) или в сочетании с изменениями легочной ткани при саркоидозе ВГЛУ и легких (рис.2). Легочная диссеминация характеризуется рассеянными очаговоподобными тенями диаметром от 2 до 7 мм, тяготеющими к плевральным оболочкам и сосудам и более тесно располагающимися в аксилярных зонах. Интерстициальные изменения проявляются мелкосетчатой деформацией легочного рисунка, обусловленной инфильтрацией внутридольковых интерстициальных структур. Часто наблюдают симптом «матового стекла» – диффузное снижение прозрачности легочной ткани – проявление альвеолита.
Реже встречают изменения пневмонического типа, обусловленные инфильтрацией и гиповентиляцией участка легкого. Изолированные изменения в легких без аденопатии наблюдают примерно у 5% больных саркоидозом (рис.3). Достаточно редко при саркоидозе обнаруживают выпот в плевральных полостях, полостные образования в легких.
Сочетание клинических проявлений и характерного рентгенологического симтомокомплекса позволяет диагностировать саркоидоз органов дыхания в 30 – 40% случаев. Тем не менее отсутствие гистологического подтверждения часто является источником диагностических ошибок, которые имеют место у 40 – 50% больных.
Верификацию саркоидоза осуществляют на основании гистологического исследования биоптатов пораженных органов. Достаточно информативным методом (80%) является трансбронхиальная внутрилегочная биопсия, позволяющая получить для гистологического исследования фрагмент легочной ткани. Более информативны (до 95%), но и более травматичны медиастиноскопия и медиастинотомия. Известен и другой специфический метод подтверждения диагноза саркоидоза – проба Квейма, предложенная в 1941г. Гомогенат ткани пораженного лимфоузла или селезенки больного саркоидозом (антиген Квейма) вводят обследуемому внутрикожно. В месте введения через месяц формируются саркоидные гранулемы, которые обнаруживают при гистологическом исследовании иссеченного участка кожи. Информативность метода составляет 60–70%. В настоящее время проба Квейма используется редко в связи со сложностью, длительностью и опасностью переноса инфекции.
Активность воспалительного процесса при саркоидозе может быть оценена на основании многих лабораторных тестов. В гемограмме могут иметь место как лейкопения, так и умеренный лейкоцитоз, а также абсолютная лимфопения и моноцитоз. У 2/3 больных определяется умеренная диспротеинемия. Гиперкальциурия и гиперкальциемия наблюдается у 15 – 20% больных. Важнейшими признаками активности саркоидоза являются повышение содержания лимфоцитов (более 8%) в осадке бронхоальвеолярного смыва; накопление цитрата галлия-67 активированными макрофагальными элементами в пораженных органах, выявляемое при сканировании; и повышение в сыворотке крови уровня ангиотензинпревращающего фермента, продуцируемого эпителиоидными клетками саркоидных гранулем.
Лимфоцитоз в бронхоальвеолярном смыве характерен для активного саркоидоза как при наличии изменений в легких, так и при саркоидозе ВГЛУ без рентгенологически выявляемых изменений в легочной ткани, поэтому бронхоальвеолярный лаваж информативен при всех формах саркоидоза.
Спирография и пневмотахография позволяют выявить у части больных саркоидозом органов дыхания рестриктивные и обструктивные нарушения, выраженность которых, как правило, незначительна и не соответствует обширности поражения легких. Саркоидоз ВГЛУ чаще всего приходится дифференцировать с туберкулезом ВГЛУ, медиастинальной формой лимфогранулематоза и другими лимфомами, иерсиниозом, метастазами рака в лимфатические узлы средостения, инфекционным мононуклеозом, загрудинным зобом, тератомой, бронхогенными кистами. Саркоидоз легких требует проведения дифференциальной диагностики с диссеминированным туберкулезом, карциноматозом, бронхиолоальвеолярным раком, пневмокониозами, токсоплазмозом, альвеолитами, лейомиматозом и целым рядом других заболеваний, для которых характерна легочная диссеминация.
Лечение
Все методы лечения саркоидоза основаны на подавлении воспалительной реакции и предотвращении фиброзной трансформации гранулем. На сегодня наиболее эффективным средством терапии саркоидоза являются кортикостероиды, которые оказывают мощное противовоспалительное действие, подавляя выработку иммуноглобулинов, интерлейкинов и других медиаторов воспаления.
Вопрос о показаниях к началу кортикостероидной терапии не решен однозначно. В соответствии с одной крайней точкой зрения, наличие активного воспалительного процесса и возможности формирования необратимых фиброзных изменений в органах требуют начинать лечение сразу же после установления диагноза. С другой стороны, высокая вероятность спонтанной регрессии с полным рассасыванием воспалительных изменений и вероятность возникновения осложнений от лечения делают нецелесообразным раннее начало лечения во всех случаях.
Причина затруднений в определении лечебной тактики заключается в том, что у большинства пациентов при выявлении заболевания нельзя достоверно прогнозировать его дальнейшее течение.
Абсолютными показаниями для немедленного начала лечения являются наличие поражения сердца и глаз в связи с риском развития опасных для жизни осложнений и потери зрения. Целесообразно также назначение кортикостероидов в случаях:
— острого начала саркоидоза с наличием высокой активности воспалительного процесса, проявляющегося полиартритом и узловатой эритемой;
— значительного, прогрессирующего поражения легочной ткани с выраженными нарушениями функции дыхания;
— сочетания саркоидоза органов дыхания с любыми внелегочными локализациями, когда высока вероятность прогрессирующего или рецидивирующего течения;
— рецидивов саркоидоза с выраженными клиническими проявлениями и функциональными нарушениями.
В остальных случаях, особенно при первичном выявлении саркоидоза, вопрос о необходимости лечения решается после 3 – 6 мес наблюдения за больным.
Кортикостероидная терапия проводится обычно длительно: в течение 6 – 8 мес. Короткого (3-месячного) курса лечения недостаточно для достижения стойкой ремиссии, и вероятность рецидива существенно возрастает. Используемые при саркоидозе дозы кортикостероидов варьируют от 20 до 80 мг эквивалента преднизолона в сутки. Оптимальной с точки зрения соотношения эффективности и побочных действий лечения является начальная суточная доза 25 – 30 мг. После 40 – 60 дней ежедневного приема препаратов у 70 – 80% больных определяется отчетливая положительная динамика, выражающаяся в клиническом улучшении и уменьшении изменений в легких и ВГЛУ на рентгенограммах. Частота умеренно выраженных побочных проявлений кортикостероидной терапии обычно не превышает 15%. Интермиттирующий (через день) прием 25 – 30 мг кортикостероидов позволяет добиться улучшения несколько позже – через 2 – 3 мес, но частота и выраженность побочных действий лечения уменьшаются в 1,5 – 2 раза.
После регистрации положительного эффекта от начатой кортикостероидной терапии возможен переход с ежедневного приема препарата на интермиттирующий, дозу постепенно уменьшают до полной отмены и продолжают наблюдение за пациентами (см.далее). Желательно использовать кортикостеродные препараты, обладающие лучшей переносимостью (метилпреднизолон, триамсинолон, бетаметазон). Кортикостероиды целесообразно сочетать с препаратами калия, при необходимости использовать известные средства для коррекции побочных проявлений лечения.
Другие методы лечения саркоидоза можно рассматривать как альтернативу или дополнение к базисной терапии системными кортикостероидами в случаях, когда имеются противопоказания или ограничения для ее применения.
Результаты использования при саркоидозе ингаляционных кортикостероидов (беклометазона дипропионата, флунизолида, флутиказона) оценивают неоднозначно. Несомненна целесообразность назначения препаратов местного действия в случаях поражения слизистой бронхов, которые выявляется у 20% больных. В то же время отсутствие системного действия, позволяющее избежать многих осложнений, одновременно снижает терапевтический эффект топических стероидов.
Для лечения саркоидоза используют также нестероидные противовоспалительные средства (делагил, плаквенил), антиоксиданты (альфатокоферол, аскорутин, тиосульфат натрия). Эффективность такого лечения значительно скромнее результатов системной кортикостероидной терапии.
Профилактический курс противотуберкулезной терапии (обычно препаратами ГИНК) одновременно с кортикостероидами целесообразно назначать только больным саркоидозом, у которых имеются остаточные посттуберкулезные изменения.
В лечении больных саркоидозом с успехом используют ряд немедикаментозных методов. Разгрузочно-диетическая терапия обладает мощным иммуносупрессивным действием, а также стимулирует функцию надпочечников.
По данным М.М.Ильковича и соавт., положительный эффект после 2 нед.
полного голодания и последующего недельного восстановительного периода отмечается у 30 – 80% больных в зависимости от стадии болезни.
Эффективным физиотерапевтическим методом при саркоидозе является КВЧ-терапия. Курс из 20 процедур воздействия длиной волны 5,6, 6,4 или 7,1 мм на область вилочковой железы позволяет добиться улучшения при активном впервые выявленном саркоидозе или рецидиве заболевания. Более эффективно сочетание КВЧ-терапии с редуцированными дозами (10 – 15 мг/сут) кортикостероидов.
Хорошие результаты лечения больных саркоидозом дает применение плазмафереза, действие которого основано на удалении с плазмой крови медиаторов воспаления, иммунных комплексов, улучшении микроциркуляции. Плазмаферез показан при недостаточном эффекте базисной кортикостероидной терапии или в случаях ограниченной возможности ее проведения (например, у больных сахарным диабетом, тяжелой артериальной гипертонией, язвенной болезнью). Предложены различные режимы проведения плазмафереза. Хорошие результаты получены при проведении курса из 3 – 4 плазмаферезов объемом 700 – 800 мл с интервалом в 5 – 7 дней.
Эффект лечения при хорошей его переносимости значительно увеличивается при сочетании плазмафереза с малыми дозами (10 – 15 мг/сут) кортикостероидов.
Пребывание больных саркоидозом в стационаре ограничивается сроком их обследования для установления диагноза и оценки переносимости назначенного лечения (обычно от 1 до 1,5 мес). Курс разгрузочно-диетической терапии и инвазивные методы лечения также необходимо проводить в клинике. Лечение продолжают в амбулаторных условиях. При удовлетворительном самочувствии больных и хорошей переносимости лечения больным не противопоказана трудовая деятельность.
Течение саркоидоза в большинстве случаев благоприятное: у 20% пациентов происходит спонтанная регрессия, у половины после курса лечения не наблюдается рецидивов. Рецидивирующее течение отмечено у 25%, а прогрессирующее – только у 5% больных.
На протяжении многих лет обследование и наблюдение за больными саркоидозом в нашей стране проводили преимущественно на базе противотуберкулезных учреждений. В соответствии с активностью заболевания больных саркоидозом относят к одной из трех подгрупп VIII группы диспансерного учета противотуберкулезных диспансеров. Подгруппу VIII-А составляют больные с впервые выявленным активным саркоидозом. Их обследование, включающее врачебный осмотр, рентгенографию, клинический анализ крови и спирографию, повторяют каждые 3 мес в течение первого года и каждые 6 мес в течение второго года наблюдения. В подгруппу VIII-Б включают больных с рецидивами и прогрессирующим течением саркоидоза.
Больных этой подгруппы, получающих кортикостероидную терапию, наблюдают ежеквартально. Больных VIII-В подгруппы (с неактивным саркоидозом) наблюдают 1 раз в год. При отсутствии рецидивов на протяжении 2 лет они могут быть сняты с учета, однако возможность рецидивов саркоидоза после многолетней ремиссии делает целесообразным более длительное наблюдение больных в подгруппе VIII-В. Пациенты с внелегочными локализациями саркоидоза нуждаются также в наблюдении специалистов соответствующего профиля.
Таким образом несмотря на то, что этиология саркоидоза остается неустановленной, и многие нерешенные вопросы требуют дальнейшего изучения этого заболевания, диагностика и лечение саркоидоза разработаны достаточно хорошо, чтобы обеспечить больным удовлетворительный уровень качества жизни.
Использованная литература:
1. Илькович М.М., Новикова Л.Н., Лучкевич В.С. Саркоидоз органов ды- хания/ Руководство для врачей.- СПб., 1996.
2. Диагностика и лечение саркоидоза органов дыхания /Методические рекомендации.- М., 1994.
3. Диагностика, клиника и лечение саркоидоза легких.- Л. :Медицина, 1978.
4. Рабухин А.Е., Доброхотова М.И., Тонитрова Н.С. Саркоидоз. – М., 1975.
5. Саркоидоз/ Под ред.
А.Г.Хоменко, О.Швайгера.- 1982.
6. Струков А.И., Кауфман О.Я. Гранулематозные болезни.- М., 1988.
.
Саркоидоз | Пульмонология | Заболевания
Саркоидоз – системное заболевание, поражающее внутренние органы человека, преимущественно легкие, и характеризующееся образованием гранулём. Это ограниченные участки воспаленных тканей, которые по форме напоминают плотный узелок. Заболевание не является инфекционным, то есть оно не может передаваться от носителя к людям, с которыми он имеет контакт.
По своей природе заболевание является полиэтиологичным, в развитии могут иметь значение наследственный фактор, контакт с летучими лекарствами или химикатами, пылью.
Симптомы и диагностика
Симптомы саркоидоза зависят от стадии заболевания. В порядке нарастания клиническая картина может включать в себя:
- увеличение внутригрудных лимфатических узлов;
- интерстициальные изменения, проявляющиеся в средних и нижних отделах лёгких;
- диффузный фиброз в лёгких.
Симптомами поражения легких могут выступать боли в груди, сухой кашель (или с выделением мокроты), одышка, слабость. Хрипы прослушиваются редко, может наблюдаться небольшое повышение температуры тела. Заболевание также может протекать бессимптомно и выявиться случайно при проведении флюорографии органов грудной клетки.
Для подтверждения диагноза пульмонолог отправляет пациента на рентгенографию или компьютерную томографию органов грудной клетки. Назначается лабораторное обследование, подтверждающее характерное для саркоидоза воспаление. Может дополнительно потребоваться проведение бронхоскопии с биопсией, УЗИ сердца для исключения поражения миокарда, УЗИ органов брюшной полости и почек для исключения поражения саркоидозом печени, почек, селезёнки.
Методики лечения
Лечение саркоидоза зависит от стадии заболевания. Так, при 1 и 2 стадиях назначаются противовоспалительные и антиоксидантные препараты.
Вопрос о назначении глюкокортикостероидов рассматривается при 3 стадии. Дозировка препаратов и длительность лечения определяется пульмонологом и зависит напрямую от клинической картины и степени поражения органов. При поражении саркоидозом печени, почек, селезёнки, лимфатических узлов решается вопрос о назначении глюкокортикостероидов или антиметаболитов (метотрексата).
Для диагностики и лечения саркоидоза в Липецке можно обратиться к пульмонологам клиники Андромеда. Очень важно как можно раньше поставить правильный диагноз, поскольку часто заболевание протекает бессимптомно и обнаруживается лишь при плановом флюорографическом осмотре. При отсутствии своевременного лечения возможно развитие осложнений, например, дыхательной недостаточности, эмфиземы, легочного сердца.
Саркоидоз: Симптомы,Стадии,Лечение | Doc.ua
Саркоидоз – это мультисистемное заболевание с неопределенной этиологией. Именно поэтому до конца не найдены методы лечения и возможность профилактики. Рассмотрены некоторые теории происхождения саркоидоза. Встречаются случаи, когда члены семьи болеют этим заболеванием, что может свидетельствовать о возможной наследственной предрасположенности. Хотя вероятно и влияние окружающей среды и неблагоприятных условий жизни. Также существует теория, в которой предполагается, что возбудителями саркоидоза выступают грибы, простейшие, гистоплазма, спирохеты и другие микроорганизмы. В таком случае возможны заражения от носителя заболевания к здоровому человеку с пониженными иммунными функциями. Также есть гипотеза, что саркоидоз – это одна из разновидностей иммунных заболеваний. Не доказано, что саркоидоз – заразное (контагиозное) заболевание. Именно поэтому считают, что оно не передается здоровым людям от носителя.
Болезнь саркоидоз может проявить себя в любой части организма.
Симптомы
К заболеванию саркоидоз, симптомы которого до конца не изучены, принято относить такие проявления, как отдышка и кашель, вызванные обструкцией бронхов или фиброзом легочной ткани, увеличение лимфоузлов – периферических и внутригрудных.
Также могут проявляться на коже различные поражения, такие как бляшки, подкожные узелки и пр. У четверти больных проявляется в виде воспаления сосудистой оболочки глаза – увеита, общее недомогание и повышенная температура тела и пр.
Существует несколько вариантов течения заболевания:
- острое течение заболевания, которое, как правило, быстро излечивается. Часто силами имунной системы. Если не вылечить в течение шести месяцев, возрастает вероятность перехода в хроническое течение;
- хроническое – бессимптомное и вялотекущее, медленно прогрессирующее развитие легочной недостаточности, что связано с развитием в поврежденных тканях фиброзных изменений;
- рефрактерное – течение заболевания невозможно прекратить.
Саркоидоз кожи проявляет себя подкожными узелками, узловатой эритемой красноватого и коричневатого цвета. Как правило, эти высыпания происходят на верхней части тела, что и приводит пациента к врачу.
Саркоидоз лимфоузлов выражает себя увеличением шейных, паховых, локтевых и подмышечных лимфоузлов. При заболевании забрюшинных лимфоузлов может наблюдаться боль в животе и нарушение в деятельности ЖКТ. Размер воспаленного узла может достигать больших размеров, при этом кожа над ними остается неповрежденной и неизмененной.
Саркоидоз легких, который также называют саркоидозом Бека – это заболевание дыхательной системы, в которое привлечены легкие, трахеобронхиальные, бронхопульмональные, внутригрудные лимфатические узлы.
Статистика утверждает, что саркоидоз легких, наиболее распространен среди работников сельского хозяйства, работников мельниц, химического производств, почтовых служащих, пожарных и работников здравоохранения. Также количество заболевших саркоидозом значительно больше среди людей, которые курят, чем у тех, кто никогда не курил.
Стадии
Принято подразделять саркоидоз легких на три стадии:
- первую стадию называют начальной внутригрудной лимфожелезистой формой саркоидоза.
Проявляется увеличением бронхопульмональных, иногда бифуркационных, трахеобронхиальных, паратрахеальных лимфоузлов. Чаще всего, увеличение происходит ассиметрично с двух сторон; - вторую стадию принято называть медиастинально-легочной формой саркоидоза. В этой фазе происходит двусторонняя диссеминация (милиарная или очаговая), инфильтрация ткани легких с поражением внутригрудных лимфатических узлов;
- третья стадия представляет легочную форму саркоидоза. В ней ярко выражены проявления фиброза или пневмосклероза ткани легких. Надо учесть отсутствие увеличения внутригрудных лимфоузлов. При активном развитии болезни возникают сливные конгломераты, на фоне которых происходит нарастание пневмосклероза и эмфиземы.
Также существует деление по клинико-рентгенологическим формам и расположению пораженных участков:
- саркоидоз легких;
- саркоидоз легких, а также внутригрудных лимфоузлов;
- саркоидоз внутригрудных лимфоузлов;
- саркоидоз лимфатических узлов;
- саркоидоз дыхательной системы. К нему относятся и поражения в других органах;
- саркоидоз распространен во всем организме с большим количеством пораженных органов.
Диагностика
При подозрении на саркоидоз диагностика включает в себя сбор анамнеза и клинических данных. Совместимость различных и, казалось бы, никак не связанных между собой заболеваний может служить основанием для дальнейших и более глубоких исследований, в список которых необходимо ввести общий анализ крови, биохимический анализ крови, рентгенографию легких, реакцию Квейма, компьютерную томографию и (или) МРТ, бронхоскопию с биопсией с дальнейшим его гистологическим исследованием.
Лечение
Лечение саркоидоза легких назначают в зависимости от фазы заболевания.
При острой фазе достаточно применения симптоматической терапии, как правило, используют антиоксидантные и нестероидные противовоспалительные препараты. При необходимости и при ярко выраженном болевом синдроме применяют кортикостероидные гормональные препараты.
Обязательно регулярное обследование у фтизиатра. Не реже, чем в 3–6 месяцев – для корректировки лечения. Саркоидоз, лечение которого проводят во время этой фазы, как правило, полностью излечим.
При хроническом прогрессирующем течении заболевания саркоидоз терапия предусматривает длительный курс приема стероидных препаратов, иммунодепрессантов, противовоспалительных препаратов и антиоксидантов. При прохождении комбинированного курса лечения необходимо чередовать препараты.
Необходимо диспансерное наблюдение у фтизиатра.
Саркоидоз легких, симптомы которого сохраняются, даже при назначении соответственного лечения не поддается терапии.
В более тяжелых случаях, которые не поддаются терапии, используют аппаратный способ очистки крови – плазмафарез. В последней стадии необходима пересадка легких.
ПрофилактикаТочных рекомендаций касательно профилактики осложнений саркоидоза на данный момент нет из-за нехватки информации о причинах возникновения заболевания.
Есть общие рекомендации, которые помогут поддерживать организм в отличном состоянии:
- здоровый образ жизни с умеренными физическими нагрузками и полноценным, разнообразным рациональным питанием;
- поддерживать иммунную систему, избегать инфекционных, респираторных и вирусных заболеваний;
- очистить воздух в помещении, где находится человек. Избегать различных видов пыли, включая металлическую пыль;
- рекомендовано прекратить курение;
- обязательно регулярное наблюдение у пульмонолога. Посещение врача должно быть не реже, чем раз в полгода с обязательным проведением рентгенографии и функциональным исследованием легких.
ПРОГНОСТИЧЕСКИЙ АЛГОРИТМ ТЕЧЕНИЯ САРКОИДОЗА ЛЕГКИХ И ВНУТРИГРУДНЫХ ЛИМФОУЗЛОВ | Терпигорев
1. Чучалин АГ, ред. Саркоидоз. Учебно-методическое пособие для слушателей послевузовского и дополнительного профессионального образования.
Казань: КГМУ; 2010. 58 с. (Chuchalin AG, editor. Sarcoidosis. Guidance manual for the trainees of the faculties of postgraduate and continuing professional education. Kazan’: KGMU; 2010. 58 p. Russian).
2. Визель АА, ред. Саркоидоз: от гипотезы к практике. Казань: ФЭН, Академия наук РТ; 2004. 348 c. (Vizel’ AA, editor. Sarcoidosis: from hypothesis to practice. Kazan’: FEN, Akademiya nauk RT; 2004. 348 p. Russian).
3. Степанян ИЭ, Озерова ЛВ. Саркоидоз орга- нов дыхания. Русский медицинский журнал. 1998;6(4):221–7. (Stepanyan IE, Ozerova LV. [Pulmonary sarcoidosis]. Russkiy meditsinskiy zhurnal. 1998;6(4):221–7. Russian).
4. Визель ИЮ. Саркоидоз: возможность спонтанной ремиссии. Вестник современной клинической медицины. 2012;5(2):54–8. (Vizel’ IYu. [Sarcoidosis: the possibility of spontaneous remission]. Vestnik sovremennoy klinicheskoy meditsiny. 2012;5(2):54–8. Russian). 5.
5. Борисов СЕ, Сычева МГ. Сравнительная характеристика различных схем медикаментозного лечения саркоидоза органов дыхания. Проблемы туберкулеза. 1995;(1):56. (Borisov SE, Sycheva MG. [The comparison of different pharmacotherapy algorithms for pulmonary sarcoidosis]. Problemy tuberkuleza. 1995;(1):56. Russian).
6. Statement on sarcoidosis. Joint Statement of the American Thoracic Society (ATS), the European Respiratory Society (ERS) and the World Association of Sarcoidosis and Other Granulomatous Disorders (WASOG) adopted by the ATS Board of Directors and by the ERS Executive Committee, February 1999. Am J Respir Crit Care Med. 1999;160(2):736–55.
7.
Judson MA. The treatment of pulmonary sarcoidosis. Respir Med. 2012;106(10):1351–61.
8. Lynch JP 3rd, Ma YL, Koss MN, White ES. Pulmonary sarcoidosis. Semin Respir Crit Care Med. 2007;28(1):53–74.
Саркоидоз полон загадок
Долгое время о саркоидозе — системном заболевании, которое в первую очередь поражает легкие, но может распространяться также на кожу, селезенку, печень, сердце и другие органы, — ничего толком не знали. Скажем, болеют им чаще люди героических профессий — пожарные, военные, а также учителя, работники вредных производств и программисты. Где связь? Одно из самых загадочных заболеваний тем и интересно, что пока не открылось врачам в полной мере нигде в мире. Заведующая кафедрой фтизиопульмонологии БГМУ, кандидат медицинских наук, доцент Галина Бородина — единственный специалист в нашей стране, глубоко занимающийся исследованием саркоидоза. Сейчас и как врач, и как ученый она пишет уже докторскую диссертацию, научным руководителем которой стал директор РНПЦ пульмонологии и фтизиатрии член–корреспондент Национальной академии наук Геннадий Гуревич. Саркоидоз легких можно диагностировать по рентгенограмме Ежегодно в Беларуси регистрируется около 800 новых случаев заболевания. Так что труд Галины Львовны — это бесценная помощь и врачам, которые пока недостаточно владеют темой, и пациентам, которые часто живут в плену предрассудков, даже путая саркоидоз с саркомой, хотя они абсолютно никак не связаны. Нет, саркоидоз протекает доброкачественно, не относится к тяжелым заболеваниям и чаще всего вовсе не требует лечения. Но эту болезнь надо продолжать исследовать прицельно, уверена доктор Бородина: интерес к теме во всем мире растет, и наша страна уже достигла здесь значимых успехов:— С туберкулезом все понятно — мы знаем, как его лечить (хотя есть определенные проблемы, например, касающиеся устойчивости палочки Коха к лекарствам).
По саркоидозу вопросов в разы больше. Многое нам уже удалось установить. Например, что болеют саркоидозом чаще всего городские жители и молодые люди 30 — 35 лет, но средний возраст вновь выявленных пациентов постоянно увеличивается — все чаще диагноз ставится зрелым женщинам. И если раньше мы вообще не видели внелегочных проявлений саркоидоза, то теперь активно диагностируем. Что касается лечения, то исследования показали, что назначение кортикостероидов — а именно с их помощью долгое время лечили саркоидоз — способствует развитию обострений.
Главной тайной саркоидоза доктор Бородина считает то, что до сих пор непонятно его происхождение. Одна из версий — его вызывают микроорганизмы:
— Лет 15 назад на первой полосе одной шведской газеты опубликовали сенсационный материал: якобы найдены бактерии–возбудители. Думаю, пациенты очень обрадовались, ведь инфекции успешно лечатся антибиотиками. Но, увы, это открытие не подтвердилось дальнейшими исследованиями. Хотя антибактериальная терапия подчас действительно дает неплохие результаты при саркоидозе кожи. С другой стороны, предполагают, что спусковым крючком для болезни могут быть факторы окружающей среды или аутоантигены — молекулы в клетках, которые распознаются как чужеродные.
А главная на сегодня задача, по мнению Галины Львовны, — добиться взаимодействия врачей разных специальностей: офтальмологов, кардиологов, ревматологов, пульмонологов.
.. Ведь саркоидоз может задеть любой орган. Более того, все чаще выявляются именно внелегочные формы заболевания. Если прежде их обнаруживали только у каждого шестого пациента, то сегодня — почти у трети. На кафедре фтизиопульмонологии БГМУ студенты–медики как раз специально обучаются многим важным нюансам — это поможет им в работе с пациентами заподозрить недуг. Кстати, именно первичное звено сегодня ведет такого рода пациентов, а не фтизиатры, как раньше (считалось, что саркоидоз могут запустить измененные микобактерии туберкулеза). С одной стороны, вполне логично — больные саркоидозом и туберкулезом не должны обследоваться в одном диспансере, потому что контакт с палочкой Коха для первых опасен, особенно на фоне лечения кортикостероидами. С другой же стороны, нагрузка на терапевтов и так достаточно велика, а опыт в лечении болезни они только нарабатывают. Ученые с этим помогут.
КАК УЗНАТЬ САРКОИДОЗ?
На рентгенограмме видны увеличенные внутригрудные лимфоузлы. Легочная ткань поражена мелкими бугорками — небольшими очажками. Это гранулемы, которые со временем могут как полностью исчезнуть, так и преобразоваться в рубцовую ткань. Более детально оценить положение помогает компьютерная томография. А еще ПЭТ: томографы в основном ищут отдаленные метастазы при раке, но та же идея позволяет находить и очаги саркоидоза по всему телу. Очень важно это для оценки активности заболевания, когда врачам кажется, будто оно уже отступило, а на самом деле очаги воспаления еще есть и не только в легких, но и, например, в лимфоузлах брюшной полости. Поскольку под маской саркоидоза часто скрываются туберкулез, лимфогранулематоз, лимфома, идиопатический легочный фиброз и другие грозные болезни, для точной диагностики необходимо взять у пациента участок ткани на исследование. Иногда это происходит во время бронхоскопии, а в последнее время — чаще всего путем торакоскопии (через разрез в грудной клетке). Без этого начинать лечение не следует.БУДЬТЕ В КУРСЕ
• Острое начало заболевания говорит о том, что, скорее всего, оно бесследно исчезнет и больше никогда не вернется.
Если же симптомы развиваются постепенно, то даже после длительной ремиссии может возникнуть рецидив.
• Болеют обычно люди 30 — 35 лет. Мужчины в более раннем возрасте. Некурящие заболевают чаще. Саркоидоз нередко возникает или обостряется после родов. У детей саркоидоз бывает очень редко (0,1 — 0,3 случая на 100 тысяч населения), но протекает нетипично.
• Саркоидоз встречается у представителей практически всех этнических групп, но чаще всего у афроамериканцев и в Скандинавских странах.
• Иногда заболевание развивается внезапно и доставляет массу неудобств, например, при типичном для него синдроме Лефгрена: на голенях внезапно появляются красные болезненные выступающие пятна (узловатая эритема), беспокоит высокая температура, а суставы ног отекают и болят. А для редкого синдрома Хеерфордта–Вальденстрема характерны поражение глаз, увеличение околоушных лимфоузлов, паралич лицевого нерва и лихорадка.
• «Смерть от саркоидоза — исключение», — замечает Галина Бородина. Хотя у нее был пациент с болезнью в терминальной стадии. Трансплантации легкого и комплекса сердце — легкое в нашей стране тогда еще не проводились, и он отправился в Европу, объехал множество центров с целью попасть в лист ожидания пересадки. В итоге эмигрировал в Австралию, но, увы, так и не дождался трансплантации — развилось осложнение, и молодой человек умер. «Всегда думаю о том, что сегодня у нас в стране ему бы обязательно помогли», — говорит врач.
• Часто болезнь протекает волнообразно — то ремиссия, то рецидив. Как тот самый Чеширский кот из «Алисы в Стране чудес» — исчезнет, а затем появится снова. В результате в легких образуется фиброзная ткань, и пациент просто не может нормально дышать. Тогда поможет только пересадка.КСТАТИ
Есть предположение, что Максимилиан Робеспьер, один из наиболее влиятельных деятелей Великой французской революции, болел саркоидозом. Посмертные маски Робеспьера сохранились среди тех, которые было поручено снимать скульптору Марии Тюссо с голов известных людей, приговоренных к гильотине.
И на фоне следов от оспы на его лице имелись другие повреждения, очень похожие на саркоидоз кожи. А подробные записи его лечащего врача позволили предположить, что революционер страдал тяжелой генерализованной формой заболевания с поражением глаз, носа, печени. Вероятно, и молодой Моцарт страдал саркоидозом: в письмах его отца сохранилось описание типичной картины острого начала саркоидоза — красные пятна на голенях.
МЕДИЦИНСКИЙ КАЛЕЙДОСКОП
Осторожнее с лакрицей
Лакричные конфеты могут подкосить сердце. Столь неожиданное предупреждение вынесло FDA — управление по санитарному надзору за качеством пищевых продуктов и медикаментов США. Оказалось, лакрица содержит глицирризин — вещество, переизбыток которого способен снизить уровень калия в крови. Отсюда угроза учащения пульса, подъема давления и даже спутанности сознания. Для появления этих симптомов достаточно съедать всего 50 г в день этого модного лакомства. Одно хорошо: отказ от конфет сразу снимает все проблемы. Впрочем, опасна только натуральная лакрица, ее заменители — анисовое масло, например, — совершенно безвредны.
Почему нельзя шлепать детей
Ученые Мичиганского университета еще раз подтвердили аксиому: силовые методы в воспитании детей — это тупик. Даже легкие шлепки негативны для психики. И, по сути, мало чем отличаются от физического насилия. Об этом свидетельствуют результаты опроса 8 тысяч человек в возрасте от 19 до 97 лет. Вспоминая, как часто их наказывали в детстве, 55% признались, что получали по «мягкому месту» (причем мужчины чаще, чем женщины). При этом все, кого регулярно шлепали, были более подвержены депрессии и другим психическим расстройствам по сравнению с «небитыми» сверстникам
Автор: Инна КАБЫШЕВА
Фото: АРТУРА ПРУПАСА
Советская Белоруссия, 2 февраля 2018
Прогрессирующий саркоидоз легких
Авторы: Е.А. Меренкова, к.
мед.н., ГУ «Национальный институт фтизиатрии и пульмонологии им. Ф.Г. Яновского НАМН Украины», г. Киев
Прогрессирующий саркоидоз легких (Advanced pulmonary sarcoidosis) наблюдается не менее чем у 5-6% всех больных саркоидозом органов дыхания [1-4]. Если из общего числа больных исключить случаи саркоидоза I стадии (изолированная прикорневая лимфаденопатия), то частота прогрессирующего саркоидоза у больных с поражением паренхимы легких (II и III стадия) возрастает до 12-15% [5, 6].
Прогрессирующий саркоидоз легких длительное время может протекать с минимальными клиническими проявлениями, и лишь на этапе развития распространенного фиброза легких с грубыми нарушениями архитектуры легких с формированием тракционных бронхоэктазов и стенозов воздухопроводящих путей (IV стадия – Еnd-stage sarcoidosis) развивается тяжелая респираторная недостаточность [3].
Одной из причин прогрессирующего течения саркоидоза является поздняя диагностика и, как следствие, отсутствие специфической терапии. Наиболее часто это обусловлено постановкой ошибочного диагноза туберкулеза легких и проведением длительной противотуберкулезной терапии. По нашим данным [7], частота ошибочного диагноза диссеминированного туберкулеза легких у больных саркоидозом III стадии достигает 40%.
Ниже представлено описание клинического случая прогрессирующего саркоидоза легких, развившегося вследствие грубой диагностической ошибки.
Клинический случай № 1
Пациентка Р., 1977 года рождения, направлена в Национальный институт фтизиатрии и пульмонологии им. Ф.Г. Яновского НАМН Украины (НИФП НАМНУ) для уточнения диагноза и определения тактики лечения.
Больная жаловалась на одышку при ходьбе на расстояние до 50 м по ровной местности, периодическое чувство жжения за грудиной при физической нагрузке, отечность голеней и стоп в вечернее время, выраженную общую слабость и утомляемость.
Анамнез заболевания.
В 2003 году появились общая слабость, быстрая утомляемость. При осмотре гинекологом выявлена киста левого яичника. После детального обследования был установлен диагноз: высокодифференцированная аденокарцинома матки с распространением на цервикальный канал. В октябре 2003 года выполнена операция пангистерэктомии, проведен курс химиотерапии.
В феврале 2009 года при профилактической флюорографии органов грудной полости был выявлен диссеминированный процесс в легких. С учетом данных анамнеза была назначена биопсия легких, от которой больная отказалась.
В марте 2009 года пациентке проведена компьютерная томография органов грудной полости (КТ ОГП). Заключение: диссеминированный процесс в легких; увеличение лимфатических узлов средостения. Больше данных о наличии лимфогенного диссеминированного туберкулеза в фазе инфильтрации.
На рисунке 1, а представлен аксиальный срез томограммы на уровне правой легочной артерии.
Несмотря на низкое качество изображения, полученного с рентгеновской пленки, на рисунке присутствуют как минимум два высокоспецифичных КТ-признака саркоидоза: двухсторонняя прикорневая лимфаденопатия и распределение узелковой диссеминации вдоль бронхососудистых пучков с образованием четкообразных утолщений [4, 8]. Вместе с тем больной был установлен ошибочный диагноз диссеминированного туберкулеза легких, назначена противотуберкулезная терапия, которая была отменена только через 1,5 (!) года в связи с отсутствием положительного эффекта.
Следуя рекомендациям фтизиатров, пациентка ежегодно проходила рентгеновское обследование, результаты которого трактовались как отсутствие динамики патологических изменений.
Существенное ухудшение самочувствия отмечает с июня 2016 года: усилилась одышка, стали беспокоить периодические боли за грудиной при физической нагрузке, появилась отечность голеней и стоп в вечернее время.
Анамнез жизни. В детстве росла и развивалась нормально. Никогда не курила. Профессиональных вредностей не было.
Проживает в зоне радиологического контроля. Аллергическая реакция в виде ангионевротического отека на пенициллины. Сведений о хронических заболеваниях легких у родственников нет. Сопутствующих заболеваний нет.
Объективно: общее состояние средней степени тяжести. Кожа и видимые слизистые оболочки бледные, без высыпаний. Периферические лимфатические узлы не увеличены. Масса тела – 65 кг, рост – 169 см. Температура тела – 36,5°C. Частота дыхания (ЧД) – 17/мин. Частота сердечных сокращений (ЧСС) – 84 уд/мин. Артериальное давление (АД) – 107/76 мм рт. ст. Дыхание ослабленное везикулярное, над нижними отделами легких трескучие хрипы. Тоны сердца ритмичные, приглушены. Живот мягкий, безболезненный при пальпации. Печень не увеличена. Пастозность голеней и стоп.
Компьютерная томография высокого разрешения – КТВР (рис. 1, б). Билатерально в легких, больше в верхних отделах, определяется значительное усиление и сетчато-ячеистая деформация легочного рисунка за счет интерстициального фиброза, расширение и деформация бронхов в виде цилиндрических бронхоэктазов, участков ограниченного пневмофиброза (в прикорневых зонах). Расширены ветви легочной артерии до 4-го порядка. Внутригрудные лимфатические узлы не увеличены, некоторые с кальцинатами. Трахея и крупные бронхи проходимы. В плевральных полостях жидкость не определяется.
Заключение: саркоидоз органов дыхания, IV стадия.
Спирометрия: жизненная емкость легких (VC) – 46,1% должной величины; форсированная VC (FVC) – 47,0%; объем форсированного выдоха за первую секунду (FEV1) – 45,3%; индекс Генслера (FEV1/FVC) – 83,5% (умеренное снижение вентиляционной функции легких по рестриктивному типу).
Диффузионная способность легких: DLCO – 27,5% (резко снижена).
Эхокардиография: признаки легочной гипертензии.
Результаты биохимического анализа крови без особенностей. Общий анализ крови: лейкопения (3,1×109/л), лимфопения (15,8%), признаки компенсаторного эритроцитоза (эритроциты – 5,28×1012/л), скорость оседания эритроцитов (СОЭ) – 24 ммоль/л.
Больной установлен клинический диагноз: саркоидоз органов дыхания, ІV стадия, респираторная недостаточность (MRC3), хроническое легочное сердце.
Пациентке назначено симптоматическое лечение: фуросемид, L-аргинина аспартат, триметазидин, комбинированный препарат ацетилсалициловой кислоты и гидроксида магния.
Поздняя диагностика саркоидоза и, как следствие, отсутствие специфической терапии в данном случае связаны с низким профессиональным уровнем врачей, что является распространенным явлением, но вместе с тем относится к разряду решаемых проблем. Более серьезной причиной развития прогрессирующего саркоидоза легких является резистентность к лечению глюкокортикостероидами (ГКС).
Резистентность к ГКС-терапии целесообразно подразделяется на абсолютную и относительную [9].
К случаям абсолютной резистентности относятся: 1) больные с признаками прогрессирования саркоидоза по данным клинико-функционального обследования и КТВР через 3 мес лечения метилпреднизолоном (МП) по схеме, представленной в Унифицированном клиническом протоколе «Саркоидоз» [10]: МП в дозе 0,4 мг/кг/сут в течение 1-го месяца с последующим снижением дозы до 0,2 мг/кг/сут к концу 3-го месяца; 2) пациенты с отсутствием признаков регрессии через 6 мес лечения по схеме: МП в течение первых 3 мес терапии в указанном выше режиме, МП в течение последующих 3 мес в дозе 0,2 мг/кг/сут в сочетании с гидроксихлорохином (ГХ) по 200 мг 2 р/сут. Таким образом, абсолютная резистентность означает отсутствие какого-либо положительного эффекта при использовании адекватных доз препаратов и режимов терапии.
Относительная резистентность к ГКС-терапии констатируется в случаях прогрессирования или стабилизации процесса при снижении дозы МП до поддерживающей (0,1 мг/кг/сут) при наличии признаков регрессии на этапах стартовой терапии при использовании МП в первоначально более высоких дозах.
В случаях наличия противопоказаний, серьезных побочных действий и резистентности к ГКС-терапии назначаются препараты второй линии, основное место среди которых занимают иммуносупрессанты: метотрексат (МТХ), азатиоприн и лефлуномид [10].
В отделении интерстициальных заболеваний легких НИФП НАМНУ нами было обследовано 185 больных саркоидозом с поражением паренхимы легких: 80 мужчин (43,2%) и 105 женщин (56,8%) в возрасте от 20 до 67 лет (42,3±0,8 года). У 173 (93,5%) больных была установлена II стадия заболевания, III стадия – у 12 (6,5%). У всех пациентов диагноз саркоидоза органов дыхания был верифицирован результатами КТВР.
При отборе больных строго придерживались двух принципов: в исследование включались пациенты только с впервые выявленным саркоидозом без какой-либо предшествующей специфической терапии; важным критерием отбора, позволяющим с максимальной возможностью исключить больных с длительно текущим процессом, являлось отсутствие КТ-признаков интерстициального фиброза легких.
В таблице представлено распределение больных в зависимости от состава фармакотерапии. ГКС-терапия (МП) и иммуносупрессивная терапия (МТХ) проводились в соответствии с положениями Унифицированного клинического протокола «Саркоидоз» [10].
Как видно из таблицы, наиболее частой причиной назначения МТХ являлась резистентность к ГКС-терапии (32 больных, или 17,3%). При этом у 9 пациентов отмечалась абсолютная, у 23 – относительная резистентность.
Клиническое наблюдение № 2 демонстрирует случай прогрессирующего саркоидоза легких, обусловленного резистентностью не только к ГКС-терапии, но и к иммуносупрессивной терапии.
Клинический случай № 2
Пациент С., 1988 года рождения, направлен на консультацию в НИФП НАМНУ с жалобами на сухой кашель, повышенную утомляемость, потливость, общую слабость.
Анамнез заболевания. В 2011 году пациенту по данным КТ ОГП установлен диагноз саркоидоза органов дыхания I стадии. Лечение проводилось хлорохином (делагил) по 250 мг 2 р/сут в течение 6 мес. Рентгенологический контроль результатов лечения не проводился. Со слов больного, жалоб в момент постановки диагноза и после завершения терапии не было.
В декабре 2013 года появился сухой кашель.
При рентгенологическом исследовании выявлена двухсторонняя мелкоочаговая диссеминация, увеличение прикорневых лимфатических узлов билатерально. Пациенту был назначен МП по 24 мг/сут в течение 1 мес с последующим снижением дозы по 2 мг в 2 нед до полной отмены (в августе 2014 года). Общая длительность ГКС-терапии составила 7 мес. На фоне терапии перестал беспокоить кашель. Рентгенологический контроль по неизвестным причинам не проводился.
В феврале 2015 года после переохлаждения повысилась температура тела до 38 °C, появился сухой кашель, стала беспокоить одышка при физической нагрузке. Больной был госпитализирован в стационар по месту жительства. В результате проведенного обследования (общеклинические методы, КТ ОГП, бронхоскопия) был установлен диагноз: внебольничная пневмония средней доли правого легкого, нетяжелое течение; саркоидоз органов дыхания, II стадия. После проведения антибактериальной терапии был назначен МП 32 мг/сут, который пациент начал принимать 24 февраля 2015 года.
Анамнез жизни. В раннем возрасте рос и развивался нормально. Никогда не курил. Профессиональных вредностей нет и не было. Аллергологический анамнез не отягощен. Сопутствующих заболеваний нет. Сведений о хронических заболеваниях легких у родственников нет.
Объективно: общее состояние пациента удовлетворительное. Гиперстеник. Кожа и видимые слизистые оболочки без высыпаний. Периферические лимфатические узлы не увеличены. Вес – 100 кг, рост – 180 см. Температура тела – 36,8°C. ЧД – 19/мин. ЧСС – 84 уд/мин. АД – 134/80 мм рт. ст. Дыхание везикулярное. Тоны сердца ритмичные, приглушены. Живот мягкий, безболезненный при пальпации. Печень выступает из-под реберной дуги на 2-4 см, край безболезненный при пальпации. Отеков нет.
Визит 1. КТВР ОГП от 06.03.2015 года (рис. 2, a – правое легкое, аксиальный срез на уровне бифуркации трахеи; на всех последующих рисунках представлены идентичные срезы, позволяющие объективно оценить динамику процесса): в средних отделах левого легкого – немногочисленные мелкие узелки, справа – мелкие узелки в большом количестве, единичные – более крупные; участок консолидации в S4 справа; значительно увеличены бронхопульмональные лимфатические узлы с обеих сторон, паратрахеальные справа, бифуркационные, парааортальные.
Заключение: саркоидоз, ІІ стадия.
Проведена фибробронхоскопия: признаки перибронхиального сдавления бронхов обоих легких с сужением просвета до ІІ степени. Взята биопсия слизистой оболочки бронхов и паренхимы легких.
Результаты гистологического исследования биоптата: длительно существующий саркоидоз с явлениями фиброза предшествующих гранулем.
Ультразвуковое исследование органов брюшной полости: признаки умеренной гепатомегалии, солевого диатеза.
Бодиплетизмография: TLC – 95,1%; RV – 115,3%; RV/TLC – 117,1%; VC – 89%; FEV1 – 90,3%; FVC – 93,2%; FEV1/FVC – 81,4%.
Диффузионная способность легких: DLCO – 100,1%.
Кальций крови – 1,30 ммоль/л.
Газовый состав крови: РаO2 – 67 мм рт. ст.; РаCO2 – 39 мм рт. ст.; SaO2 – 93%.
Результаты клинических и биохимических анализов крови без особенностей. СОЭ не увеличена.
Больному установлен клинический диагноз: саркоидоз органов дыхания, ІІ стадия.
Пациенту было назначено лечение: МП по 32 мг/сут в течение 1-го месяца с постепенным снижением дозы до 16 мг/сут к концу 3-го месяца.
Визит 2 (26 мая 2015 года). Жалобы на сухой кашель, общую слабость, повышенную утомляемость. Переносимость терапии хорошая, нежелательных явлений не было.
Данные физикального обследования прежние.
КТВР ОГП от 26.05.2015 года (рис. 2, б) – без существенной динамики.
Клинический диагноз: саркоидоз органов дыхания, ІІ стадия, фаза стабилизации.
В соответствии с Унифицированным протоколом «Саркоидоз» [10] пациенту было рекомендовано продолжить терапию МП по 16 мг/сут без снижения дозы, к лечению добавить ГХ 200 мг 2 р/сут.
Визит 3 (21 августа 2015 года). Отмечает уменьшение кашля, однако продолжает беспокоить общая слабость, повышенная утомляемость. Переносимость терапии хорошая: нежелательных явлений не было.
Данные физикального обследования без изменений.
КТВР ОГП от 21.08.2015 года (рис. 2, в) – без динамики.
Кальций крови – 1,24 ммоль/л.
Бодиплетизмография: TLC – 94,7%; RV – 103,4%; RV/TLC – 105,2%; VC – 92,1%; FEV1 – 90%; FVC – 92,3%; FEV1/FVC – 81,81% – без динамики.
DLCO 91,6% – в пределах нормы, однако несколько снижена по сравнению с визитом 1.
Диагноз: саркоидоз органов дыхания, ІІ стадия, фаза стабилизации.
В связи с отсутствием каких-либо положительных изменений в течение болезни на протяжении 6 мес ГКС-терапии, усиленной ГХ на визите 2, больному была назначена (согласно рекомендациям WASOG [11]) комбинированная терапия МТХ по 10 мг/нед и МП по 12 мг/сут в сочетании с фолиевой кислотой по 5 мг/нед и мониторингом аланинаминотрансферазы (АЛТ), креатинина и клеточного состава крови каждые 4 нед.
Визит 4 (12 ноября 2015 года). Жалобы на сухой кашель, общую слабость. Переносимость терапии удовлетворительная: нежелательных явлений не было. Данные лабораторных анализов в пределах нормы.
КТВР ОГП от 12.11.2015 года (рис. 3, г): увеличение плотности узелковой диссеминации в прикорневых зонах – прогрессирование процесса.
В связи с тем, что максимальный эффект МТХ обычно развивается через 6 мес его применения, терапия была усилена только увеличением дозы МП до 16 мг/сут.
Визит 5 (15 февраля 2016 года). Жалобы на сухой кашель, общую слабость. Переносимость терапии удовлетворительная: нежелательных явлений не было. Данные лабораторных анализов в пределах нормы.
КТВР ОГП от 15.02.2016 года (рис. 3, д): увеличились признаки прогрессирования процесса – в прикорневой зоне наблюдается образование участка консолидации.
Рекомендовано увеличить дозу МТХ до 15 мг/нед, продолжить прием МП по 16 мг/сут.
Визит 6 (26 июля 2016 года). Жалобы на сухой кашель, общую слабость. Переносимость терапии удовлетворительная: нежелательных явлений не было. Данные лабораторных анализов в пределах нормы.
КТВР ОГП от 26.07.2016 года (рис. 4, э): отмечается незначительная регрессия процесса – уменьшение зоны консолидации в правой прикорневой области.
Продолжено лечение МТХ по 15 мг/нед в сочетании с МП по 16 мг/сут.
Визит 7 (1 ноября 2016 года). Жалобы на редкий сухой кашель, общую слабость. Переносимость терапии удовлетворительная: нежелательных явлений не было. Данные лабораторных анализов в пределах нормы, незначительное повышение уровня АЛТ до 52 Ед/л (норма – 0-40 Ед/л).
КТВР ОГП от 01.11.2016 года (рис. 4, е): без существенной динамики.
Бодиплетизмография: TLC – 87,0%; RV – 106,3%; RV/TLC – 117,4%; VC – 81,2%; FEV1 – 75,6%; FVC – 77,8%; FEV1/FVC – 81,37%: снижение показателей по сравнению с предыдущими визитами.
DLCO 87,4% – в пределах нормы, снижение по сравнению с предыдущими визитами.
В связи с тем, что отсутствует положительная динамика в течении саркоидоза, МТХ был отменен, рекомендовано постепенное снижение дозы МП по 2 мг в 2 нед до полной отмены. Назначено лечение лефлуномидом (20 мг/сут) – иммуносупрессантом, отличающимся от МТХ механизмом фармакодинамического действия. Рекомендован мониторинг AЛT, креатинина и клеточного состава крови каждые 4 нед. Повторная консультация в НИФП НАМНУ – через 3 мес.
Заключение
Клинические наблюдения демонстрируют два случая прогрессирующего саркоидоза легких, один из которых является следствием отсутствия специфической терапии в связи с поздней диагностикой заболевания, а другой – результатом абсолютной резистентности к ГКС-терапии.
Прогрессирующий саркоидоз легких длительное время может протекать с минимальными клиническими проявлениями (случай № 2) и лишь на этапе развития распространенного фиброза легких развивается тяжелая респираторная недостаточность (случай № 1).
Учитывая полученные нами данные о достаточно высокой (17,3%) частоте резистентности к ГКС-терапии у больных с впервые выявленным саркоидозом с поражением паренхимы легких, представленные наблюдения, надеемся, в определенной мере помогут развеять миф о саркоидозе как о доброкачественном гранулематозе легких.
Литература
- Nagai S. Clinical courses and prognoses of pulmonary sarcoidosis / S. Nagai, M. Shigematsu, K. Hamada, T. Izumi // Curr. Opin. Pulm. Med. – 1999. – Vol. 5. – P. 293-298.
- Moller D.R. Pulmonary fibrosis of sarcoidosis. New approaches, old ideas / D.R. Moller // Am. J. Respir. Cell. Mol. Biol. – 2003. – Vol. 21 (3 Suppl). – Р. 37-41.
- Patel D.C. Advanced («End-Stage») Pulmonary Sarcoidosis / D.C. Patel, M. Budev, D.A. Culver // Pulmonary sarcoidosis. M.A. Judson Editor. – Humana Press – brand of Springer, 2014. – P. 79-110.
- Саркоидоз органов дыхания / Под ред. В.К. Гаврисюка. – Киев, 2015. – 192 с.
- Chappell A.G. Sarcoidosis: a long-term follow up study / A.G. Chapell, W.Y. Cheung, H.A. Hutchings // Sarcoidosis Vasc. Diffuse Lung Dis. – 2000. – Vol. 17. – P. 167-173.
- Гаврисюк В.К. Саркоидоз органов дыхания: эпидемиология, структура больных, результаты лечения / В.К. Гаврисюк, Е.А. Меренкова, Г.Л. Гуменюк и др. // Укр. терапевт. журн. – 2014. – № 2. – С. 95-100.
- Очерки клинической пульмонологии / Под ред. В.К. Гаврисюка. – Киев, 2016. – 336 с.
- Veltkamp M. The pulmonary manifestations of sarcoidosis / M. Veltkamp, J.C. Grutters // Pulmonary sarcoidosis. M.A. Judson Editor. – Humana Press – brand of Springer, 2014. – P. 19-40.
- Гаврисюк В.К. Возможности глюкокортикостероидной терапии и показания к применению иммуносупрессантов у больных впервые выявленным саркоидозом с поражением легких / В.К. Гаврисюк, Е.А. Меренкова, Г.Л. Гуменюк и др. // Укр. пульмонол. журн. – 2016. – № 3. – С. 21-23.
- Уніфікований клінічний протокол первинної, вторинної (спеціалізованої) та третинної (високоспеціалізованої) медичної допомоги «Саркоїдоз» / Наказ МОЗ України № 634 від 08.09.2014.
- Cremers J.P. Multinational evidence-based World Association of Sarcoidosis and Other Granulomatous Disorders recommendations for the use of methotrexate in sarcoidosis: integrating systematic literature research and expert opinion of sarcoidologists worldwide / J.
P. Cremers, M. Drent, A. Bast et al. // Curr. Opin. Pulm. Med. – 2013. – Vol. 19. – P. 545-561.
Управление саркоидозом в клинической практике
Abstract
Саркоидоз — системное заболевание неизвестной причины с очень разнообразными проявлениями, исходами, серьезностью и необходимостью лечения. Хотя некоторые проявления могут быть очень типичными для многих пациентов, они неспецифичны, общие ассоциации с другими заболеваниями иногда бывают гораздо более частыми или вводящими в заблуждение, что может быть причиной значительной задержки и часто нескольких консультаций перед диагностикой саркоидоза. может быть подтверждено.Это особенно актуально, когда на первый план выходят легочные проявления. Диагноз основывается на трех хорошо известных критериях. В клинической практике эти критерии нелегко внедрить, особенно врачами, не имеющими опыта в области саркоидоза, что может привести к риску заниженного или избыточного диагноза. Важно квалифицировать представление в соответствии с диагнозом саркоидоз. Однако часто бывает нелегко классифицировать презентацию как типичную против совместимую или совместимую против несовместимую.Прежде чем рассматривать любую другую гипотезу, необходимы дальнейшие исследования. Важно обнаружить события и определить, указывают ли они на вспышку саркоидоза. В конце концов, лечение должно быть привязано к правильным показаниям. Оценка эффективности и безопасности лечения имеет решающее значение. Чтобы решить такие проблемы, мы приводим пять ярких примеров, которые это иллюстрируют.
Abstract
Показ характерных случаев — лучший способ проиллюстрировать множественные условия, с которыми нужно иметь дело при управлении саркоидозом. http: // ow.ly / 10A5Yv
Введение
Саркоидоз — системное гранулематозное заболевание неизвестной причины, характеризующееся очень разнообразными проявлениями и отсутствием какого-либо единственного критерия, позволяющего поставить окончательный диагноз [1–3].
Более того, саркоидоз также может иметь потенциальные различия в зависимости от исхода, тяжести и потребности в терапии [2, 4, 5]. Несмотря на то, что некоторые клинические проявления могут убедительно свидетельствовать о саркоидозе ( например, синдром Лёфгрена) [6], типичные кожные или глазные проявления могут привести к быстрой диагностике как минимум одной трети симптомов пациента.Это часто может быть неспецифическим и иметь общие ассоциации с более частыми заболеваниями, в результате чего диагноз откладывается на месяцы или годы [7]. Иногда редкие вводящие в заблуждение проявления, хотя и находятся в сфере проявлений саркоидоза, могут привести к тому, что саркоидоз будет упущен из диапазона возможных диагнозов врачами, неопытными в распознавании саркоидоза, особенно у пожилых пациентов [8-14]. Во время исхода могут возникнуть другие проблемы с диагнозом, т.е. — это новые проявления висцеральной локализации, специфичные для саркоидоза или сопутствующих заболеваний, оказывающие значительное влияние на терапевтические решения? Еще одна трудность может возникнуть при обострении легочных проявлений: выявить ли это истинное обострение болезни или другую причину? На этот вопрос может быть трудно ответить, поэтому требуется соответствующая оценка и обсуждение [15, 16].Оценка результата (ухудшение или нет) или реакции на какое-либо лечение (или отсутствие ответа) также может быть трудной, но это важно для принятия решения о том, как спланировать дальнейшее лечение.
Диагностические критерии саркоидоза хорошо известны, но их трудно применять в повседневной жизни: иногда бывает сложно определить, совместимо или противоречиво представление. Более того, решения о терапии часто основываются на таких критериях, как прогрессирование, что заслуживает обсуждения; в последнее время по этой теме опубликованы очень интересные статьи [15, 16].
Таким образом, мы представляем пять символических случаев, чтобы проиллюстрировать некоторые часто встречающиеся ситуации в клинической практике, которые поднимают вопросы относительно первоначального положительного диагноза саркоидоза, в дополнение к диагностике событий во время наблюдения и лечения.
Случай 1
Обследовали 52-летнюю женщину европеоидной расы в связи с случайным обнаружением объемной латеротрахеальной лимфаденопатии справа при рентгенографии грудной клетки в 1992 году в контексте инсулиннезависимого сахарного диабета и артериальной гипертензии.Не было никаких указаний на какое-либо другое поражение внутренних органов, кроме обнаружения значительного увеличения (на 80%) лимфоцитов CD4 + (до 51%) в бронхоальвеолярном лаваже. Неказеозные гранулемы были обнаружены медиастиноскопией, и несколько тестов на Mycobacterium tuberculosis дали отрицательный результат. Сначала был рассмотрен диагноз саркоидоз. Никакого лечения не потребовалось, и был назначен повторный визит. Более того, из-за стойкости обширной лимфаденопатии средостения, пациент позже был направлен в центр третичного саркоидоза в 2012 году.Единственными событиями в период с 1992 по 2012 год были ишемическая болезнь сердца, излеченная четырехкратным коронарным шунтированием, микроангиопатия сетчатки и потребность в инсулине. Пациент был в хорошем состоянии при нормальном физикальном обследовании. Биологические тесты сыворотки, включая ангиотензинпревращающий фермент (АПФ), были нормальными, за исключением того, что наблюдались повышенный уровень глюкозы и низкий уровень γ-глобулина. Концентрация IgG в сыворотке составляла 0,32 г · дл -1 , IgA 0,04 г · дл -1 и IgM 0,011 г · дл -1 .Компьютерная томография высокого разрешения (HRCT) выявила объемные паратрахеальные и межтрахеобронхиальные лимфатические узлы при отсутствии внутригрудных лимфатических узлов и легочной инфильтрации (рис. 1). Интересно, что больной не был подвержен инфекциям. Тесты на аутоантитела были отрицательными. Затем был рассмотрен окончательный диагноз общего вариабельного гранулематоза, связанного с иммунным дефицитом, и саркоидоз в конечном итоге был исключен.
РИСУНОК 1 Компьютерная томография грудной клетки с высоким разрешением: a) средостенная лимфаденопатия b) без внутригрудной лимфаденопатии (случай 1).
Случай 2
48-летний мужчина европеоидной расы был направлен в наше отделение по поводу прогрессирующего ухудшения одышки при физической нагрузке, сухого кашля и боли в груди, которые начались 4 месяца назад. Пациент имел в анамнезе гастроэзофагеальный рефлюкс, лечившийся эзомепразолом, а также бывший курильщик с 20-летним анамнезом. Он работал оператором метро в Париже, Франция. В 2005 году он подвергся воздействию значительного количества пыли из-за ремонта дома. При физикальном обследовании пациент был в хорошем состоянии, имел признаки бибазилярных инспираторных хрипов при аускультации грудной клетки без скрипов, пальцевых ударов или внелегочных симптомов.Рентгенография грудной клетки показала двустороннюю внутригрудную лимфаденопатию с диффузной легочной инфильтрацией. КТГ грудной клетки выявила увеличенные двусторонние внутригрудные и средостенные лимфатические узлы с преобладающим диффузным помутнением матового стекла и лимфатическим распределением микронодулей с расширением фиссура (рис. 2). ЭКГ, холтеровское мониторирование и эхокардиограмма в норме, офтальмологическое обследование. Подсчет клеток крови пациента, тесты функции печени и почек, кальций сыворотки и электрофорез белков плазмы не выявили каких-либо отклонений, кроме лимфопении (0.94 × 10 9 лимфоцитов на л). Серологический тест на ВИЧ оказался отрицательным. Его сывороточный уровень АПФ был повышен до 160 U · L -1 (нормальный <41 U · L -1 ). Биопсия малой слюнной железы не информативна. Пациенту была сделана гибкая бронхоскопия, и бронхоальвеолярный лаваж показал общее количество клеток 140 000 клеток · мл -1 , с 52% лимфоцитов, 40% макрофагов, 5% нейтрофилов и 1% эозинофилов. Соотношение CD4 / CD8 Т-лимфоцитов составляло 4,2. Эндобронхиальная биопсия слизистой оболочки показала неспецифическое воспаление, а трансбронхиальная биопсия легких выявила не некротизирующие эпителиоидные гранулемы.Тесты легочной функции выявили ограничительную картину: общая емкость легких 4,61 л, что соответствует 71% от прогнозируемого значения; форсированная жизненная емкость легких (ФЖЕЛ) 2,39 л, что соответствует 65% от прогнозируемого значения; и сниженная диффузионная способность легких по монооксиду углерода ( D LCO ), соответствующая 62% от прогнозируемого значения.
6-минутная прогулка составила 595 м без десатурации кислородом. В целом, эти находки позволили подтвердить диагноз саркоидоз.
Компьютерная томография грудной клетки с высоким разрешением: преобладающие диффузные помутнения матового стекла, связанные с лимфатическим распределением микронодулей с фиссуральным распространением и двусторонней внутригрудной лимфаденопатией (случай 2).
Случай 3
Некурящей 34-летней женщине в 2011 году был поставлен диагноз саркоидоз. Оба ее родителя были родом из Вест-Индии. В ее медицинском анамнезе были отмечены злокачественная анемия и гастрит, поэтому она получала ежемесячные внутримышечные инъекции B12.Клинические проявления начались с постоянным кашлем. Рентгенография грудной клетки показала двустороннюю внутригрудную лимфаденопатию и диффузные легочные микронузлы. Поражения грудной клетки HRCT были типичными для саркоидоза. Уровень АПФ в сыворотке был в три раза выше верхней границы нормального диапазона. Гистологические неказеозные эпителиоидные гранулемы наблюдались при эндобронхиальной биопсии, связанные с лимфоцитозом при бронхоальвеолярном лаваже с соотношением CD4 / CD8 6,46. Биопсия печени выполнена из-за бессимптомного холестаза средней степени тяжести.Патологический анализ подтвердил локализацию саркоидоза. Был поставлен диагноз грудного саркоидоза 2 стадии с поражением печени. С июля 2011 г. пациент начал получать преднизон 40 мг в сутки (2/3 мг · кг -1 ). 2 месяца спустя у нее случился обморок, и саркоидоз-специфическая локализация не могла быть исключена с помощью магнитно-резонансной томографии сердца. Результаты ЭКГ в покое, эхокардиографии и холтеровского монитора были нормальными, а вероятность сердечного саркоидоза считалась промежуточной.В этом случае поливисцерального саркоидоза и из-за увеличения веса на 15 кг от стероидной терапии в мае 2012 года был начат азатиоприн (150 мг в день). Благоприятный результат позволил сократить лечение; позже азатиоприн был прекращен, в сентябре 2013 года.
В апреле 2015 года она получала преднизон 8 мг в день в течение 6 месяцев, когда она была госпитализирована в отделение неотложной помощи по поводу утомляемости, тахикардии, острой боли в животе и диареи. И УЗИ брюшной полости, и рентгенография грудной клетки были нормальными.Анализы крови выявили повышение общего уровня кальция в сыворотке до 2,88 ммоль · л -1 (нормальный диапазон 2,15-2,50 ммоль · л -1 ) и 3,08 ммоль · л -1 для уровней кальция в сыворотке с поправкой на альбумин. . Пациент был направлен в отделение внутренней медицины, и физикальное обследование показало зоб щитовидной железы. Клинические симптомы и уровень кальция в плазме улучшились при внутривенной инфузии физиологического раствора. Диагностическая оценка, выполненная для понимания гиперкальциемии, представлена в таблице 1.Основные результаты: нормальный электрофорез сывороточного белка, отсутствие холестаза в печени, умеренное повышение уровня АПФ (51 МЕ · л -1 , верхний предел 41 МЕ · л -1 ), отсутствие гиперкальциурии (0,001 ммоль · кг — 1 за 24 ч), низкие уровни паратироидного гормона в плазме (9,4 нг · л −1 , нормальный диапазон 15–65 нг · л −1 ), нормальное количество лимфоцитов (1920 на мм 3 ), ниже нормальные уровни 25-гидрокси- и 1,25-дигидроксивитамина D3 в плазме. Кроме того, уровни тиреотропного гормона (ТТГ) в плазме не определялись, а уровни тироксина в плазме были чрезвычайно высокими и составляли 100 пмоль · л -1 .Примечательно, что 4 месяца назад уровень ТТГ в плазме был нормальным. Таким образом, тиреотоксикоз стал рациональным объяснением клинических симптомов пациента при поступлении. Аутоиммунный тиреотоксикоз был подтвержден наличием антител к рецептору ТТГ и антител к тироидной пероксидазе у этого пациента, у которого уже была выявлена злокачественная анемия. Не было доказательств активности саркоидоза, который мог вызвать гиперкальциемию; Согласно результатам, гиперкальциемия была связана с болезнью Грейвса.
Лечение карбимазолом было начато без изменения суточной дозы преднизона.Уровень кальция в сыворотке крови нормализовался в течение первого месяца лечения. В этом случае, после подтверждения диагноза саркоидоз, возникновение значительной гиперкальциемии привело к рассмотрению болезни Грейвса как источника этого метаболического события, в котором саркоидоз не участвовал.
Случай 4
В январе 2012 года в нашу поликлинику поступила 41-летняя женщина с симптомами кашля, хрипов, частой бессонницы, ночного гипергидроза и утомляемости у годовалого возраста.Из-за астмы в детстве, лечение ингаляционным сальбутамолом не улучшилось. Пациент родился во Французской Вест-Индии и работал помощником по уходу на дому. У нее не было в анамнезе лекарственной, пищевой или сезонной аллергии. Однако она была активным курильщиком, выкуривая половину пачки сигарет в день, и в совокупности курила в течение 15 лет. Физикальное обследование показало одышку функционального класса II Нью-Йоркской кардиологической ассоциации (NYHA), нормальную сердечно-легочную аускультацию, отсутствие периферических лимфатических узлов, а также гепатомегалию или спленомегалию.Рентгенография грудной клетки выявила двустороннюю внутригрудную лимфаденопатию и двусторонние легочные инфильтраты (стадия 2) (рисунок 3a). КТГ грудной клетки подтвердила двустороннюю внутригрудную лимфаденопатию и лимфаденопатию средостения, выявив типичные перилимфатические микронодули и несколько областей консолидации. Признаков паренхиматозного фиброза не было. Признаков внегрудных проявлений не было, ЭКГ покоя была нормальной. При гибкой бронхоскопии бронхиальное дерево имело нормальный вид, в то время как биопсия слизистой оболочки бронхов показала неказеозные гранулемы.Количество клеток в бронхоальвеолярном лаваже составляло 494 000 клеток · мм –3 с 54% пигментированных макрофагов, 42% лимфоцитов (соотношение CD4 / CD8 2,26) и 4% нейтрофилов. Уровень кальция в сыворотке был в норме. Уровень С-реактивного белка был слегка увеличен до 22 мг · л -1 .
Количество лимфоцитов в крови было нормальным (1448 лимфоцитов на мм 3 ). Уровень АПФ в сыворотке был в три раза выше верхней границы нормального диапазона. Тесты функции легких на исходном уровне были ненормальными при ФЖЕЛ 2,57 л (66% от прогноза) и объеме форсированного выдоха за 1 с (ОФВ 1 ) 2.11 л (66% прогноз) без значительного улучшения после приема бронходилататора (+160 мл, 8%) (рисунок 4). D LCO не измерялся. Лечение преднизоном началось в феврале 2012 г. в дозе 0,5 мг · кг -1 преднизона на кг, , то есть 30 мг в день. Пациент значительно прибавил в весе с 62 до 81 кг. Таким образом, в июле 2012 года был введен азатиоприн в качестве стероидсберегающего средства. Наконец, через 2 месяца пациентка отменила преднизон самостоятельно, продолжая принимать только азатиоприн.В феврале 2013 г. клинических улучшений при постоянной радиологической и биологической активности не наблюдалось. Метотрексат (10 мг перорально два раза в неделю) и гидроксихлорохин (400 мг · день –1 ) заменили азатиоприн. Это лечение было эффективным, и через 4 месяца наблюдалось клиническое, рентгенологическое и улучшение уровня АПФ в плазме. Однако анализы крови печени показали повышение уровня аспартата и аланинаминотрансферазы в пять раз выше верхней границы нормального диапазона, в то время как пациент дополнительно принимал парацетамол.Анализы крови нормализовались после отмены всех препаратов. Были восстановлены метотрексат в более низкой дозе (10 мг в неделю) и гидроксихлорохин. В мае 2014 года появились кожные саркоидные папулы и узелки туловища, ознобленная волчанка и саркоидные бляшки на коже черепа. Биопсия абдоминального поражения подтвердила неказеозные эпителиоидные гранулемы; поэтому дозировка метотрексата была увеличена до 15 мг в неделю. Опять же, анализы крови печени выявили отклонения от нормы трансаминазы, которые в четыре раза превышают верхний предел нормального диапазона.Пациент отказался от возобновления лечения преднизоном и следовал только гидрохлорохину в дозе 400 мг в день.
В октябре 2014 г. поступила жалоба на усиление одышки и ознобенной волчанки. Рентгенография грудной клетки (рисунок 3b) показала двустороннюю внутригрудную лимфаденопатию и лимфаденопатию средостения, а также двусторонние инфильтраты с потерей объема правого легкого. Значительное снижение ФЖЕЛ было отмечено при тестировании функции легких (рис. 4). Таким образом, в декабре 2014 г. пациентка получила три пульса метилпреднизолона (по 500 мг).Месяц спустя, в январе 2015 года, не было никакого клинического или радиологического улучшения, и ФЖЕЛ по-прежнему был серьезно нарушен при дозе 1,82 л (прогноз 47%). Ее сывороточный уровень АПФ в четыре раза превышал верхнюю границу нормального диапазона. Было начато лечение инфликсимабом: пациент получил 5 мг · кг -1 на 0-й неделе, 2-й неделе и затем каждые 4 недели. Через 4 недели состояние ознобенной волчанки, поражений кожи головы и туловища начало улучшаться. Эти улучшения кожи предшествовали прогрессивному уменьшению одышки, улучшению легочной функции (рис. 4) и исчезновению двусторонних легочных инфильтратов и лимфаденопатии на рентгенограмме грудной клетки (рис. 3с).КТГ грудной клетки подтвердила наличие признаков фиброза с бронхоэктазами в верхних долях и деформацией фиссура, которые ранее не присутствовали в КТР 2012 г.
Рентгенография грудной клетки: а) связь легочной инфильтрации и двусторонней внутригрудной лимфаденопатии; б) повышенная инфильтрация; в) улучшение (случай 4).
РИСУНОК 4Развитие тестов функции легких (случай 4). ФЖЕЛ: форсированная жизненная емкость легких; D LCO : диффузионная способность легких по окиси углерода.
Случай 5
В 1992 году саркоидоз был диагностирован у 35-летнего мужчины европеоидной расы в соответствии с рекомендованными критериями. Был фиброз легких, связанный с активными поражениями, увеитом и холестазом печени. Его лечили стероидами, но из-за остеопороза и пороговой дозы преднизона выше 10 мг · день -1 , пациент получил комбинацию стероидов с метотрексатом, а позднее с азатиоприном в качестве кортикостероидсберегающего средства.
Отсутствие эффективности и непереносимость обоих иммунодепрессантов привело к их отмене.Затем заболевание контролировалось одним преднизоном со стабильной легочной функцией (FVC> 90% от прогноз; и FEV 1 и D LCO > 70% от предела, соответственно). В октябре 2003 г. подозрение на обострение легочного саркоидоза при стабильном лечении привело к расследованию. Клинические проявления включали продуктивный кашель и усиление одышки при физической нагрузке. Других общих симптомов не наблюдалось, физикальное обследование было нормальным, и КТ грудной клетки не показала изменений.Тестирование функции легких выявило значительное ухудшение (> 10% до потери FVC и FEV 1 ) (рисунок 5). Множественные кислотоустойчивые бациллы были обнаружены с помощью фиброскопии бронхов и несколько анализов мокроты были сделаны в течение трех дней подряд. Бактериальные культуры выявили инфекцию Mycobacterium kansasii . Была проведена антимикобактериальная обработка, направленная против M. kansasii , что привело к значительным клиническим и функциональным улучшениям с полным выздоровлением (рис. 5).Результат был отмечен стабильностью состояния легких и появлением в 2014 г. кардиальной локализации с предсердно-желудочковой блокадой 1 типа (интервал PR 270 мс), связанной со значительным поглощением позитронов [ 18 F] фтордезоксиглюкозы через перегородку. томография (FDG-PET) с использованием кардиологического протокола с дальнейшим контролем сердечных аномалий на ЭКГ и FDG-PET, благодаря увеличению дозы преднизона до 30 мг / день -1 . Во время последнего визита в 2015 году пациент был в хорошем состоянии с саркоидозом под контролем и продолжал принимать преднизон в дозе 10 мг в день -1 .Таким образом, этот случай иллюстрирует давний случай саркоидоза, у которого подозрение на обострение легочного поражения привело к открытию нетуберкулезной микобактериальной инфекции и ее последующему лечению.
Развитие тестов функции легких (случай 5).
Стрелка: диагностика микобактериальной инфекции и начало антимикобактериального лечения. ФЖЕЛ: форсированная жизненная емкость легких; FEV 1 : объем форсированного выдоха за 1 с; D LCO : диффузионная способность легких по окиси углерода.
Обсуждение
Основные клинические проблемы, связанные с саркоидозом: во-первых, как надежно подтвердить диагноз; во-вторых, как лучше всего идентифицировать события, происходящие во время последующего наблюдения, особенно новые события, и понять, являются ли они конкретными; и в-третьих, подтверждение прогрессирования и механизмов прогрессирования, и, в конечном итоге, как определить терапевтический ответ. Каждый из этих пунктов подробно описан в литературе [1–3], но не всегда легко применить в повседневной практике.Таким образом, цель данной статьи состояла в том, чтобы описать присущие им проблемы, с которыми они столкнулись, на примере характерных случаев, и тем самым проиллюстрировать наилучшее клиническое обоснование для предотвращения ошибок, которых можно избежать.
Во-первых, мы сосредоточились на положительном диагнозе саркоидоза на презентации с обсуждением двух случаев с внутригрудными проявлениями: лимфаденопатия и легочная инфильтрация. Хорошо известно, что саркоидоз зависит от 1) клинических и рентгенологических проявлений, 2) доказательств неказеозной гранулемы и 3) отсутствия доказательств альтернативного заболевания.Таким образом, первое условие для диагностики саркоидоза — это соответствие типичным или последовательным клиническим и радиологическим проявлениям. В то время как некоторые типичные проявления, такие как синдром Лёфгрена [6], синдром Хеерфордта и двусторонняя внутригрудная лимфаденопатия у пациента с увеитом или без клинических проявлений [17, 18], легко идентифицировать. Может быть сложнее определить, могут ли другие проявления быть типичными или противоречивыми. Случай 1 — пример первоначальной неправильной диагностики саркоидоза.Здесь следовало рассмотреть два элемента.
Что наиболее важно, радиологические проявления были очень необычными для саркоидоза, несмотря на типичную гистопатологию, и при отсутствии каких-либо клинических симптомов диагноз саркоидоза не должен был быть поставлен. При саркоидозе грудная лимфаденопатия почти всегда является обычным явлением и, как описано несколькими группами [17, 18], лимфаденопатия левого и правого корня сердца наблюдается в 97% случаев. Отсутствие двусторонней внутригрудной лимфаденопатии, при которой только средостенная лимфаденопатия появляется на любом изображении грудной клетки, очень необычно для саркоидоза и поэтому требует соответствующего поиска альтернативных диагнозов.Существует несколько причин неказеозных гранулематозных заболеваний, представленных лимфатическими узлами средостения. Помимо туберкулеза и гистоплазмоза, которые могут присутствовать без казеозного компонента, следует рассмотреть другие гипотезы, такие как общий вариабельный иммунодефицит, гранулематозные поражения, связанные с прошлой или сопутствующей карциномой и лимфомами [19, 20]. Иногда внутригрудная лимфаденопатия может быть односторонней при обращении, но обычно в последующие месяцы она становится двусторонней. Первоначально электрофорез белков крови не проводился, но это исследование относится к диагностическим [21].Заметная гипогаммаглобулинемия с уровнем сывороточного IgG 0,32 г · дл -1 , уровнем сывороточного IgA 0,04 г · дл -1 и уровнем сывороточного IgM 0,011 г · дл -1 , несовместима с диагнозом саркоидоз для уровень гамма-глобулинов в сыворотке крови повышен или нормален. Это указывало на то, что диагноз — общий вариабельный гранулематоз, связанный с иммунодефицитом. Этот диагноз может быть поставлен, несмотря на отсутствие в анамнезе повторных инфекций или аутоиммунных проявлений.Интересно, что в недавней статье Bouvry et al . [19] показали, что при общем вариабельном гранулематозе, связанном с иммунодефицитом, радиологические проявления часто нетипичны для саркоидоза с отсутствием двусторонней внутригрудной лимфаденопатии в большинстве случаев, несмотря на частую внутригрудную лимфаденопатию.
Этот случай иллюстрирует два урока: во-первых, очень важно проанализировать особенности грудных лимфаденопатий, поскольку они типичны для большинства пациентов с подтвержденным саркоидозом [10], хотя присутствуют у 70% пациентов в целом.Во-вторых, электрофорез сывороточного протеина является обязательным при обследовании саркоидоза [21]. Случай 2 показывает, как анализировать радиологическую легочную инфильтрацию с точки зрения диагностики саркоидоза. В этом случае преобладало матовое стекло диффузного типа. В этом контексте, различные альтернативные диагнозы были бы более возможными, чем саркоидоз, включая гиперчувствительный пневмонит, лекарственные заболевания легких, заболевания легких, связанные с соединительной тканью, десквамативные интерстициальные заболевания легких или даже инфекцию Pneumocystis jiroveci у пациентов с ослабленным иммунитетом.Однако было показано, что некоторые элементы, особенно связанные с фоновыми признаками КТВР, могут быть очень полезны для различения дифференциальных диагнозов [22]. Таким образом, наличие лимфатических микронодулей, особенно фиссуральных микронодулей, лимфаденопатии или билатеральных легочных масс, убедительно указывает на саркоидоз во время их проявления [22]. Таким образом, в случае 2, поскольку были очевидны неказеозные гранулемы и альтернативные диагнозы были исключены, диагноз саркоидоз может быть подтвержден.
Иногда и диагноз, и терапевтические проблемы являются сложными, и это может произойти при последующем наблюдении, как показано в случаях 3 и 4. В случае 3 была уверенность в отношении положительного диагноза саркоидоз. Однако возникновение значительной гиперкальциемии во время наблюдения, несмотря на то, что это не было редким осложнением саркоидоза, казалось парадоксальным, последующее лечение было значительными дозами стероидов (30 мг · день -1 ) в отсутствие кальция и витаминов. Добавка D.Более того, до начала стероидной терапии у пациента не было гиперкальциемии. В случае саркоидоза гиперкальциемия может встречаться у 5-10% пациентов, особенно у мужчин европеоидной расы старше 40 лет, летом, на добавках кальция или витамина D, или в связи с саркоидозом почек [23-25].
Саркоидоз — хорошо известная причина гиперкальциемии из-за гиперсекреции кальцитриола, но не было доказано ни одного из состояний, часто связанных с гиперкальциемией из-за саркоидоза или повышенным уровнем кальцитриола [23].Более того, преднизон эффективно предотвращает всасывание кальция в кишечнике, когда гиперкальциемия является следствием саркоидоза. Таким образом, в этом случае в первую очередь необходимо исследовать сопутствующую причину гиперкальциемии, например, первичный гиперпаратиреоз [26]. В нашем случае в конечном итоге была показана другая причина, например, болезнь Грейвса. Тиреотоксикоз — хорошо известная причина гиперкальциемии [27, 28]. Таким образом, было показано правильное лечение, то есть лечения болезни Грейвса, а не усиление лечения саркоидоза, что сделало возможной нормализацию уровня кальция в сыворотке.Случай 4 иллюстрирует несколько моментов, касающихся лечения пациентов с саркоидозом: решение о лечении, побочные эффекты лечения, ответ на лечение или резистентность. Первоначально лечение преднизоном, обычное лечение первой линии при отсутствии каких-либо противопоказаний, было начато в соответствии с рекомендациями в контексте одышки функционального класса II по NYHA и потери FVC при биологически активном саркоидозе. Быстрое и значительное увеличение веса привело к снижению стероидной терапии и назначению азатиоприна, которого было недостаточно.Хотя метотрексат в дозе 20 мг в неделю –1 в сочетании с гидроксихлорохином был эффективен, он также был ответственным за выраженный цитолиз с отменой метотрексата. В конце концов, при явном прогрессировании одышки, ухудшении легочной функции и обострении кожи, терапия третьей линии инфликсимабом была назначена с медленным, но заметным ответом на кожном и легочном уровнях. Особая осторожность требуется в отношении не только терапевтического ответа, но и нежелательных явлений.Этот случай был особенно трудным: недостаточный ответ на несколько лекарств, серьезные побочные эффекты, по крайней мере, с двумя разными лекарствами и, в конечном итоге, обращение к терапии противоопухолевым фактором некроза-α.
Согласно симптомам, рентгенографии и функции легких, болезнь значительно прогрессировала. По данным Judson et al. [15] и Zappala et al. [16], иногда бывает трудно доказать прогрессирование легочного поражения. По данным визуализации и легочной функции не всегда может быть согласованное прогрессирование.Согласие между наблюдателями относительно оценки тенденции заболевания по данным рентгенографии грудной клетки далеко от идеала [29]. Было показано, что легочная функция и, в частности, ФЖЕЛ лучше всего коррелируют с результатом, как показано в исследовании Zappala et al. [15].
В случае 5 положительный диагноз саркоидоза был подтвержден, когда болезнь находилась на продвинутой стадии с фиброзом легких, который наблюдается у 5% пациентов при обращении [30, 31]. Заболевание все еще оставалось таким же активным, как и в ряде случаев с саркоидным фиброзом легких [30].В то время как заболевание было стабильным при лечении, некоторые подсказки повышали вероятность обострения саркоидоза, в дополнение к кашлю и значительному снижению FVC и FEV 1 > 10% до пред. Однако было показано, особенно на стадии 4, что при наличии обострения легких необходимо обсудить основной механизм, либо связанное состояние, такое как дополнительная инфекция по сравнению с , истинное обострение саркоидоза [32, 33]. ]. В представленном случае два элемента требовали расследования: во-первых, возникновение события у пациента с контролируемым заболеванием с длительным стабильным лечением [5, 34]; во-вторых, понятие основного заболевания 4 стадии при длительном лечении кортикостероидами / иммунодепрессантами.Диагноз дополнительной инфекции, вызванной M. kansasii , был подтвержден, и при соответствующей антимикобактериальной терапии без какой-либо модификации лечения саркоидоза симптомы были облегчены, а легочная функция восстановилась. Было критически важно избежать ошибочного диагноза, который привел бы к неуместному увеличению лечения саркоидоза и прогрессированию инфекции.
Этот случай иллюстрирует важность рассмотрения всех возможных механизмов ухудшения состояния у пациентов с легочным саркоидозом, прежде чем инкриминировать конкретное обострение, особенно на стадии 4 и у пациентов с бронхоэктазами [32, 33].
Ограничения этой статьи связаны с широким спектром лечения саркоидоза, отсюда и выбор для рассмотрения очень практических ситуаций, которые могут упустить из виду некоторые важные вопросы. Мы сделали выбор, чтобы подчеркнуть многие важные повседневные вопросы, касающиеся лечения саркоидоза (рис. 6). Мы сосредоточили внимание на важности наилучшей квалификации клинико-радиологической картины: типичное против совместимых против несовместимых.Мы не рассматривали доказательства гранулематозных поражений, хотя это важный момент. Гранулемы должны быть неказистой формы без исключения. Часто для постановки диагноза достаточно одного положительного образца. Наиболее подходящие биопсии касаются поверхностных поражений (кожа, соединительные или периферические лимфатические узлы) или бронхоскопических образцов (слизистая оболочка бронхов, трансбронхиальная биопсия легких или эндобронхиальная трансбронхиальная пункционная аспирация под контролем средостения или внутригрудной лимфаденопатии) [35–37].Эта последняя процедура позволяет сэкономить ~ 90% медиастиноскопий, показанных для подтверждения саркоидоза [37]. Мы разработали лишь отдельные аспекты, касающиеся необходимости исключения других причин гранулематоза. Поиск этих причин ориентирован на воздействие (инфекции, бериллий, и т.д. ) в дополнение к представлению болезни. Еще один важный момент, который мы не рассмотрели, — это диагноз внегрудной локализации. Важным моментом является то, что новые проявления во время саркоидоза могут быть вызваны исключительно саркоидозом как таковым и / или другими причинами.Всемирная ассоциация саркоидоза и других гранулематозных заболеваний недавно опубликовала инструменты для висцеральной локализации [38, 39].
Мы не рассматривали стойкие инвалидизирующие симптомы, такие как усталость, невропатия мелких волокон, когнитивная дисфункция, депрессия и ухудшение качества жизни, которые могут быть главными для многих пациентов с саркоидозом [40–45]. Мы не рассматривали новые биомаркеры [46] или ФДГ-ПЭТ, который используется только при определенных обстоятельствах [47, 48]. В настоящее время основное применение FDG-PET: 1) помощь в поиске места для биопсии в сложных случаях, 2) исследование сердечного саркоидоза [48], 3) поиск активных легочных поражений при запущенном фиброзном легочном саркоидозе и 4) поиск для метаболической активности у пациентов со стойкими симптомами инвалидности и нормальными биомаркерами, i.е. сывороточный АПФ или сывороточный интерлейкин-2 [49–51].
Алгоритм диагностики и лечения зарегистрированных случаев. HRCT: компьютерная томография высокого разрешения; BHL: двусторонняя внутригрудная лимфаденопатия; PFT: исследование функции легких; МРТ: магнитно-резонансная томография; ПЭТ: позитронно-эмиссионная томография. # : количество клеток крови, креатинин крови, кальций в крови, кальций в суточной моче, аспартатаминотрансфераза, аланинаминотрансфераза, щелочная фосфатаза, γ-глутамилтрансфераза, электрофорез сывороточного белка и ангиотензин-превращающий фермент; ¶ : показаниями для HRCT были 1) атипичные клинические и / или рентгенологические данные, 2) нормальная рентгенография грудной клетки, но клиническое подозрение на саркоидоз, и 3) выявление легочных осложнений.
Благодарность
Авторы выражают признательность Нале Шологу за улучшение английского языка статьи.
Сноски
Конфликт интересов: Раскрытие информации можно найти вместе с онлайн-версией этой статьи на сайте err.ersjournals.com
Происхождение: Отправленная статья, экспертная оценка
- Поступила 23 февраля 2016 г.

- Принято 7 апреля 2016 г.
Статьи ERR имеют открытый доступ и распространяются в соответствии с условиями некоммерческой лицензии Creative Commons Attribution 4.0.
Саркоидоз: основы практики, история вопроса, патофизиология
Арай Ю., Саул Дж. П., Альбрехт П., Хартли Л. Х., Лилли Л. С., Коэн Р. Дж. И др. Модуляция вегетативной сердечной деятельности во время и сразу после тренировки. Am J Physiol . 1989, январь 256 (1, часть 2): h232-41. [Медлайн].
Shetler K, Marcus R, Froelicher VF, Vora S, Kalisetti D, Prakash M. Восстановление сердечного ритма: проверка и методологические вопросы. Джам Колл Кардиол .2001 декабрь 38 (7): 1980-7. [Медлайн].
Baltzan M, Mehta S, Kirkham TH, Cosio MG. Рандомизированное испытание пролонгированной терапии хлорохином при запущенном легочном саркоидозе. Am J Respir Crit Care Med . 1999 Июль 160 (1): 192-7. [Медлайн].
Zic JA, Horowitz DH, Arzubiaga C, King LE Jr. Лечение кожного саркоидоза хлорохином. Обзор литературы. Arch Dermatol . 1991 июл.127 (7): 1034-40. [Медлайн].
Demeter SL. Саркоидоз миокарда невосприимчив к стероидам. Лечение циклофосфамидом. Сундук . 1988 июль 94 (1): 202-3. [Медлайн].
Доти Д.Д., Мазур Д.Е., Джадсон М.А. Лечение резистентного к кортикостероидам нейросаркоидоза коротким курсом циклофосфамида. Сундук . 2003 ноябрь 124 (5): 2023-6. [Медлайн].
Muller-Quernheim J, Kienast K, Held M, Pfeifer S, Costabel U.Лечение хронического саркоидоза схемой азатиоприна / преднизолона.
Евро Респир J . 1999 14 ноября (5): 1117-22. [Медлайн].
Катария Ю.П. Хлорамбуцил при саркоидозе. Сундук . 1980 июл.78 (1): 36-43. [Медлайн].
Йорк Э.Л., Ковитавонгс Т., Мэн С.Ф., Ребак А.С., Спроул Б.Дж. Циклоспорин и хронический саркоидоз. Сундук . 1990 Октябрь 98 (4): 1026-9. [Медлайн].
Доти Д.Д., Мазур Д.Е., Джадсон М.А.Лечение саркоидоза инфликсимабом. Сундук . 2005 Март 127 (3): 1064-71. [Медлайн].
Йи А.М., Почапин МБ. Лечение осложненного саркоидоза инфликсимабом противоопухолевым фактором некроза альфа. Энн Интерн Мед. . 2001 г. 3 июля. 135 (1): 27-31. [Медлайн].
Баумэн Р.П., Джадсон М.А., Тейрстайн А.С., Моллер Д.Р., Нижний Э.Е. Талидомид при хроническом саркоидозе. Сундук . 2002 Июль 122 (1): 227-32. [Медлайн].
Fazzi P, Manni E, Cristofani R, Cei G, Piazza S, Calabrese R, et al. Талидомид для улучшения кожного и легочного саркоидоза у пациентов, резистентных к кортикостероидам или с противопоказаниями к ним. Биомед Фармакотер . 2012 июн.66 (4): 300-7. [Медлайн].
Russell E, Luk F, Manocha S, Ho T, O’Connor C, Hussain H. Долгосрочное наблюдение за эффективностью инфликсимаба при легочном и внелегочном саркоидозе, резистентном к традиционной терапии. Семенной ревматоидный артрит . 2013 16 января [Medline].
Натан С.Д. Трансплантация легких: рекомендации по направлению к специалистам по конкретному заболеванию. Сундук . 2005 Март 127 (3): 1006-16. [Медлайн].
Mota PC, Morais A, Palmares C, Beltrao M, Melo N, Santos AC и др.Диагностическая ценность экспрессии CD103 в бронхоальвеолярных лимфоцитах при саркоидозе. Респир Мед . 2012 июл.106 (7): 1014-20. [Медлайн].
Забель П., Энциан П., Далхофф К., Шлаак М. Пентоксифиллин в лечении саркоидоза. Am J Respir Crit Care Med . 1997 Май. 155 (5): 1665-9. [Медлайн].
Ogisu N, Sato S, Kawaguchi H, Sugiura Y, Mori T., Niimi T. и др. Повышенный уровень растворимых антигенов HLA класса I в сыворотке и жидкости бронхоальвеолярного лаважа у пациентов с саркоидозом. Intern Med . 2001 марта 40 (3): 201-7. [Медлайн].
Hunninghake GW, Crystal RG. Механизмы гипергаммаглобулинемии при легочном саркоидозе. Сайт повышенной продукции антител и роли Т-лимфоцитов. Дж. Клин Инвест . 1981, январь, 67 (1): 86-92. [Медлайн].
Кунитаке Р., Кувано К., Йошида К., Маэяма Т., Кавасаки М., Хагимото Н. и др. KL-6, сурфактантный белок A и D в жидкости бронхоальвеолярного лаважа пациентов с легочным саркоидозом. Дыхание . 2001. 68 (5): 488-95. [Медлайн].
Миёси С., Хамада Х., Кадоваки Т., Хамагучи Н., Ито Р., Ирифуне К. и др. Сравнительная оценка сывороточных маркеров при легочном саркоидозе. Сундук . 2010 июн.137 (6): 1391-7. [Медлайн].
Факко М., Кабрелле А., Терамо А., Оливьери В., Гноато М.
, Теолато С. и др. Саркоидоз — мультисистемное заболевание Th2 / Th27. Грудь . 2011 Февраль 66 (2): 144-50. [Медлайн].
Сверрилд А., Бэкер В., Кивик К.О., Каприо Дж., Милман Н., Свендсен ЦБ.Наследственность при саркоидозе: исследование близнецов на основе реестра. Грудь . 2008 Октябрь 63 (10): 894-6. [Медлайн].
Cox CE, Davis-Allen A, Judson MA. Саркоидоз. Med Clin North Am . 2005 июль 89 (4): 817-28. [Медлайн].
Jordan HT, Stellman SD, Prezant D, Teirstein A, Osahan SS, Cone JE. Саркоидоз диагностирован после 11 сентября 2001 года у взрослых, пострадавших от катастрофы Всемирного торгового центра. Дж. Оккуп Энвирон Мед .2011 Сентябрь 53 (9): 966-74. [Медлайн].
Крелл В., Бурбонне Дж. М., Капур Р., Самавати Л. Влияние курения и пола на легочную функцию и клинические особенности саркоидоза. Легкое . 2012 Октябрь 190 (5): 529-36. [Медлайн].
Нарди А., Брилле П. Я., Летумелин П., Жирар Ф., Браунер М., Узунхан Ю. и др. Саркоидоз IV стадии: сравнение выживаемости с общей популяцией и причины смерти. Евро Респир J . 2011 декабрь38 (6): 1368-73. [Медлайн].
Swigris JJ, Olson AL, Huie TJ, Fernandez-Perez ER, Solomon J, Sprunger D. Связанная с саркоидозом смертность в Соединенных Штатах с 1988 по 2007 год. Am J Respir Crit Care Med . 2011 г. 1. 183 (11): 1524-30. [Медлайн].
Takase H, Shimizu K, Yamada Y, Hanada A, Takahashi H, Mochizuki M. Подтверждение международных критериев диагностики саркоидоза глаза, предложенных на первом международном семинаре по саркоидозу глаза. Jpn J Ophthalmol .
2010 ноябрь 54 (6): 529-36. [Медлайн].
Кодзима К., Маруяма К., Инаба Т., Нагата К., Ясухара Т., Йонеда К. и др. Отношение CD4 / CD8 в стекловидном теле имеет высокую диагностическую ценность при саркоидозе. Офтальмология . 2012 ноябрь 119 (11): 2386-92. [Медлайн].
Herbort CP, Rao NA, Mochizuki M. Международные критерии диагностики глазного саркоидоза: результаты первого Международного семинара по глазному саркоидозу (IWOS). Ocul Immunol Inflamm . 2009 май-июнь. 17 (3): 160-9. [Медлайн].
Herbort CP, Rao NA, Mochizuki M. Международные критерии диагностики глазного саркоидоза: результаты первого Международного семинара по глазному саркоидозу (IWOS). Ocul Immunol Inflamm . 2009 май-июнь. 17 (3): 160-9. [Медлайн].
Бетенский Б.П., Чабрунн С.М., Задо Е.С., Гольдберг Л.Р., Марчлински Ф.Э., Гарсия ФК и др. Долгосрочное наблюдение за пациентами с сердечным саркоидозом и имплантированными кардиовертерами-дефибрилляторами. Ритм сердца . 2012 июн.9 (6): 884-91. [Медлайн].
Йодогава К., Сейно Ю., Охара Т., Такаяма Х., Като Т., Мизуно К. Влияние кортикостероидной терапии на желудочковые аритмии у пациентов с сердечным саркоидозом. Ann Неинвазивный электрокардиол . 2011 Апрель 16 (2): 140-7. [Медлайн].
Schuller JL, Olson MD, Zipse MM, Schneider PM, Aleong RG, Wienberger HD, et al. Электрокардиографические характеристики пациентов с легочным саркоидозом, указывающие на поражение сердца. Дж Кардиоваск Электрофизиол . 2011 22 ноября (11): 1243-8. [Медлайн].
Yasutake H, Seino Y, Kashiwagi M, Honma H, Matsuzaki T.
, Takano T. Выявление сердечного саркоидоза с использованием сердечных маркеров и интегрированного обратного рассеяния миокарда. Инт Дж. Кардиол . 10 июля 2005 г. 102 (2): 259-68. [Медлайн].
Bihan H, Christozova V, Dumas JL, Jomaa R, Valeyre D, Tazi A, et al. Саркоидоз: клинические, гормональные и магнитно-резонансные проявления (МРТ) гипоталамо-гипофизарного заболевания у 9 пациентов и обзор литературы. Медицина (Балтимор) . 2007 сентябрь 86 (5): 259-68. [Медлайн].
Инуи Н., Мураяма А., Сасаки С., Суда Т., Чида К., Като С. и др. Корреляция между экспрессией гена 25-гидроксивитамин D3 1 альфа-гидроксилазы в альвеолярных макрофагах и активностью саркоидоза. Am J Med . 2001 15 июня. 110 (9): 687-93. [Медлайн].
Горачи А., Фаджиолини А., Мартинуччи М., Калосси С., Росси С., Сантомауро Т. и др. Качество жизни, беспокойство и депрессия при саркоидозе. Общая психиатрическая больница . 2008 сен-окт. 30 (5): 441-5. [Медлайн].
Нижний EE, Harman S, Baughman RP. Двойное слепое рандомизированное исследование дексметилфенидата гидрохлорида для лечения усталости, связанной с саркоидозом. Сундук . 2008 май. 133 (5): 1189-95. [Медлайн].
Рамос-Казальс М., Мана Дж., Нарди Н., Брито-Зерон П., Ксаубет А., Санчес-Тапиас Дж. М. и др. Саркоидоз у пациентов с хронической инфекцией вируса гепатита С: анализ 68 случаев. Медицина (Балтимор) . 2005 Март 84 (2): 69-80. [Медлайн].
Миёси С., Хамада Х., Кадоваки Т., Хамагучи Н., Ито Р., Ирифуне К. и др. Сравнительная оценка сывороточных маркеров при легочном саркоидозе. Сундук . 2010 июн.137 (6): 1391-7. [Медлайн].
Kavathia D, Buckley JD, Rao D, Rybicki B, Burke R. Повышенные уровни 1,25-дигидроксивитамина D связаны с длительным лечением саркоидоза. Респир Мед .2010 апр. 104 (4): 564-70. [Медлайн].
Cremers J, Drent M, Driessen A, Nieman F, Wijnen P, Baughman R, et al. Аномалии печеночных тестов при саркоидозе. Eur J Гастроэнтерол Hepatol . 2012 24 января (1): 17-24. [Медлайн].
Стэнтон К.М., Ганигара М., Корте П. и др. Использование магнитно-резонансной томографии сердца в диагностике сердечного саркоидоза. Сердце легкого Circ . 2017 26 ноября (11): 1191-1199. [Медлайн].
Дэвис К.В., Таскер А.Д., Пэдли С.П., Дэвис Р.Дж., Глисон Ф.В.Захват воздуха при саркоидозе на компьютерной томографии: корреляция с функцией легких. Клин Радиол . 2000 марта. 55 (3): 217-21. [Медлайн].
Mostard RL, Voo S, van Kroonenburgh MJ, Verschakelen JA, Wijnen PA, Nelemans PJ, et al. Оценка воспалительной активности с помощью F18 FDG-PET / CT при стойком симптоматическом саркоидозе. Респир Мед . 2011 декабрь 105 (12): 1917-24. [Медлайн].
Teirstein AS, Machac J, Almeida O, Lu P, Padilla ML, Iannuzzi MC.Результаты 188 сканирований позитронно-эмиссионной томографии всего тела у 137 пациентов с саркоидозом. Сундук . 2007 декабрь 132 (6): 1949-53. [Медлайн].
Ахмадиан А., Павар С., Говендер П., Берман Дж., Руберг, Флорида, Миллер Э. Ответ поглощения ФДГ на иммуносупрессивную терапию на ФДГ ПЭТ / КТ визуализации при сердечном саркоидозе. Дж Nucl Cardiol . 2017 24 апреля (2): 413-424. [Медлайн].
Ardic I, Kaya MG, Yarlioglues M, Dogdu O, Buyukoglan H, Kalay N. Нарушение индекса восстановления сердечного ритма у пациентов с саркоидозом. Сундук . 2011 Январь 139 (1): 60-8. [Медлайн].
Тризолини Р., Тинелли С., Канчеллиери А., Пайоли Д., Алифано М., Боарон М. и др. Трансбронхиальная пункционная аспирация при саркоидозе: результаты и предикторы положительного аспирата. J Thorac Cardiovasc Surg . 2008 апр. 135 (4): 837-42. [Медлайн].
Шорр А.Ф., Торрингтон К.Г., Гнатюк О.В. Эндобронхиальная биопсия при саркоидозе: проспективное исследование. Сундук . 2001 июл.120 (1): 109-14. [Медлайн].
Оки М., Сака Х, Китагава С., Когуре И., Мурата Н., Итихара С. и др. Проспективное исследование эндобронхиальной трансбронхиальной пункционной аспирации лимфатических узлов под контролем УЗИ по сравнению с трансбронхиальной биопсией легочной ткани для диагностики саркоидоза. J Thorac Cardiovasc Surg . 2012 июн. 143 (6): 1324-9. [Медлайн].
Moodley YP, Dorasamy T, Venketasamy S, Naicker V, Lalloo UG. Корреляция соотношения CD4: CD8 и уровней альфа фактора некроза опухоли (TNF) в индуцированной мокроте с жидкостью бронхоальвеолярного лаважа при легочном саркоидозе. Грудь . 2000 августа 55 (8): 696-9. [Медлайн]. [Полный текст].
Fireman E, Topilsky I., Greif J, Lerman Y, Schwarz Y, Man A, et al. Сравнение индуцированной мокроты с бронхоальвеолярным лаважем для оценки пациентов с саркоидозом и негранулематозным интерстициальным заболеванием легких.
Респир Мед . 1999 ноябрь 93 (11): 827-34. [Медлайн].
McKinzie BP, Bullington WM, Mazur JE, Judson MA. Эффективность короткого курса терапии низкими дозами кортикостероидов при обострениях острого легочного саркоидоза. Am J Med Sci . 2010 Январь 339 (1): 1-4. [Медлайн].
Pietinalho A, Tukiainen P, Haahtela T., Persson T., Selroos O. Раннее лечение саркоидоза II стадии улучшает 5-летнюю легочную функцию. Сундук .2002, январь, 121 (1): 24–31. [Медлайн].
Баумэн Р.П., Барни Дж. Б., О’Хара Л., Нижний Восток. Ретроспективное пилотное исследование, изучающее использование геля Acthar у пациентов с саркоидозом. Респир Мед . 2016, январь 110: 66-72. [Медлайн].
Baughman RP, Sweiss N, Keijsers R et al. Репозиторий кортикотропина при хроническом легочном саркоидозе. Легкое . 2017 Июнь 195 (3): 313-322. [Медлайн]. [Полный текст].
Lower EE, Baughman RP.Длительный прием метотрексата при саркоидозе. Arch Intern Med . 1995 24 апреля. 155 (8): 846-51. [Медлайн].
Callejas-Rubio JL, Lopez-Perez L, Ortego-Centeno N. Лечение саркоидоза ингибиторами фактора некроза опухоли альфа. Ther Clin Risk Manag . 2008 декабрь 4 (6): 1305-13. [Медлайн]. [Полный текст].
Erckens RJ, Mostard RL, Wijnen PA, Schouten JS, Drent M. Adalimumab успешно применяется у пациентов с саркоидозом и рефрактерным хроническим неинфекционным увеитом. Офтальмол Грэфес Арч Клин Эксперимент . 2012 май. 250 (5): 713-20. [Медлайн]. [Полный текст].
Милман Н.
, Граудал Н., Лофт А., Мортенсен Дж., Ларсен Дж., Баслунд Б. Эффект адалимумаба, ингибитора ФНО-α, у пациентов с упорным саркоидозом: проспективное обсервационное исследование с использованием FDG-PET. Clin Respir J . 2012 Октябрь 6 (4): 238-47. [Медлайн].
Arcasoy SM, Christie JD, Pochettino A, Rosengard BR, Blumenthal NP, Bavaria JE, et al.Характеристики и исходы пациентов с саркоидозом, которым назначена трансплантация легких. Сундук . 2001 Сентябрь 120 (3): 873-80. [Медлайн].
Саркоидоз — Консультант по пульмонологии
Что нужно знать каждому врачу:
Саркоидоз — редкое (частота 10-40 / 100000) полиорганная гранулематозная болезнь неизвестной этиологии. Хотя обычно поражаются легкие, прикорневые и средостенные лимфатические узлы, поражается любая система органов. Проявления заболевания зависят от продолжительности заболевания, локализации и степени поражения органов, а также активности гранулематозного процесса.Учитывая разнообразные проявления заболевания, пациенты могут обращаться к клиницистам разных специальностей.
Болезнь поражает все этнические группы и немного чаще встречается у женщин. Примерно у 70 процентов людей болезнь вылечится примерно за два года, но у 30 процентов может развиться хроническое заболевание. У афроамериканцев прогноз хуже, чем у американцев европейского происхождения.
Классификация по клиническим проявлениям:
Из-за вовлечения в заболевание нескольких органов у пациентов могут быть неспецифические конституциональные проявления, симптомы, связанные с вовлечением конкретных органов, как описано ниже, или и то, и другое (1).Примерно у одной трети пациентов наблюдаются неспецифические конституциональные симптомы в виде субфебрильной температуры, утомляемости, недомогания или потери веса.
Легочный саркоидоз — наиболее частое проявление саркоидоза, так как легкие и / или грудные и средостенные узлы поражаются примерно у 90 процентов пациентов.
Одышка, сухой кашель и боль в груди являются наиболее частыми легочными симптомами. Легочные осложнения, которые могут развиться, включают рестриктивное или, реже, обструктивное заболевание легких, легочный фиброз, полостное заболевание легких или легочную гипертензию.Легочный саркоидоз традиционно классифицируется с помощью рентгенограмм грудной клетки (см. Раздел о визуализирующих исследованиях ниже).
Поражение сердца является второй ведущей причиной смерти пациентов с саркоидозом в США и наблюдается примерно у 5 процентов пациентов. Это может проявляться в виде атриовентрикулярной блокады сердца высокой степени, летальных желудочковых аритмий или сердечной недостаточности. Субклиническое поражение сердца было обнаружено примерно у 25-50 процентов пациентов при аутопсии.
Поражение кожи, которое может возникнуть у 25 процентов людей, может проявляться в виде пятнисто-папулезных или узловых поражений. Поражение лица известно как ознобленная волчанка и чаще встречается при хроническом саркоидозе. Узловатая эритема — негранулематозное поражение голеней, которое обычно чаще встречается у европейцев, чем у американцев, и обычно представляет собой острый саркоидоз как часть синдрома Лофгрена.
Глазные поражения встречаются у 11-83 процентов людей и могут поражать все части глаза, причем увеит является наиболее частым проявлением.
Неврологическое поражение, которое может возникнуть у 5 процентов людей, может затрагивать периферическую или центральную нервную систему. Паралич лицевого нерва, поражения гипоталамуса и гипофиза часто встречаются при неврологических поражениях.
Поражение печени является частым (до 80 процентов), но редко тяжелым. Наиболее частым проявлением являются легкие отклонения при тестировании функции печени.
Опорно-двигательный участие также часто (~ 50 процентов) и наиболее часто вовлекает колени, лодыжки, локти, запястья и мелкие суставы рук и ног.Деформация суставов встречается редко.
Эндокринные проявления могут возникать у 10 процентов людей, обычно проявляясь в виде гиперкальциемии или гиперкальциурии, которые могут привести к нефрокальцинозу.
Вовлечение гипоталамуса и гипофиза также может привести к дисфункции щитовидной железы и надпочечников.
Гранулематозное поражение почек встречается редко. Внегрудные лимфатические узлы могут быть поражены у 20 процентов людей, при этом шейные лимфатические узлы являются наиболее частым участком. Поражение селезенки также бывает частым, но редко тяжелым.Иногда может происходить поражение костного мозга. Поражение слюны обычно затрагивает околоушные железы. Поражение желудочно-кишечного тракта встречается менее чем у 1 процента пациентов и обычно затрагивает пищевод или желудок. Поражение репродуктивных органов может происходить как у мужчин, так и у женщин.
Выявлено два клинических синдрома: синдром Лофгрена и синдром Хеерфордта. Синдром Лофгрена проявляется остро и характеризуется узловатой эритемой, отеком лодыжек, лихорадкой и двусторонней внутригрудной лимфаденопатией и лимфаденопатией средостения.Поражение околоушных желез, лицевого нерва и передний увеит, наряду с лихорадкой, получили название синдрома Хеерфордта.
Вы уверены, что у вашего пациента саркоидоз? Что вы должны ожидать найти?
Диагноз саркоидоз устанавливается, когда клинико-рентгенологические данные подтверждаются гистологическими находками неказеозных гранулем при биопсии ткани и исключаются альтернативные гранулематозные процессы. В особых обстоятельствах, таких как обнаружение двусторонней внутригрудной лимфаденопатии у бессимптомного человека, синдрома Лофгрена и синдрома Хеерфордта, диагноз саркоидоза может быть поставлен только на основании клинико-рентгенологических данных.
Диагноз сердечного саркоидоза заслуживает особого упоминания. Есть два разных пути, по которым может быть установлен сердечный саркоидоз.
1. Гистологический диагноз ткани миокарда: для этого требуется обнаружение неказеозных гранулем при прямой биопсии миокарда.
2. Клинический диагноз на основе инвазивных и неинвазивных исследований: Это требует гистологической диагностики внесердечного саркоидоза либо с клиническим заболеванием сердца, как описано выше, либо с расширенной неинвазивной визуализацией сердца, соответствующей поражению миокарда, как описано ниже.
Осторожно: есть другие заболевания, которые могут имитировать саркоидоз.
Поскольку саркоидоз — болезнь неизвестной этиологии, необходимо исключить другие причины гранулематозных заболеваний, включая микобактериальные заболевания, грибковые заболевания и другие инфекционные гранулематозные заболевания. Кроме того, гранулематозное поражение может проявляться в реакциях гиперчувствительности и в ответ на опухолевые заболевания или инородные тела. Иммунодефициты, такие как гипогаммаглобулинемия или хроническая гранулематозная болезнь, которые возникают из-за нейтрофильных нарушений, также должны быть исключены.Всегда следует исключать лимфому как причину увеличения лимфатических узлов.
Как и / или почему у пациента развился саркоидоз?
Как и почему у пациентов развивается саркоидоз, неизвестно. Хотя пик заболеваемости приходится на возраст 35-45 лет, около трети пациентов могут поступать после 55 лет. Подростки также могут иметь саркоидоз, но саркоидоз у детей младше 10 лет обычно связан с синдромом Блау.
В то время как саркоидоз может встречаться во всех расовых и этнических группах, заболеваемость выше у афроамериканцев и у женщин ирландского и итальянского происхождения.Соотношение вовлеченности женщин и мужчин составляет примерно 2: 1, что особенно верно для пожилых людей. Сообщалось о сезонных колебаниях, так как большинство случаев регистрируется весной. Были показаны различия в проявлениях заболевания: более высокая частота поражения сердца и глаз у лиц японского происхождения, узловатая эритема у северных европейцев и поражение нескольких органов у афроамериканцев.
Семейная кластеризация саркоидоза была использована для подтверждения как генетической, так и экологической причины саркоидоза.Исследования близнецов показали, что конкордантность саркоидоза гораздо чаще встречается среди монозиготных, чем среди дизготных близнецов, что подтверждает генетическую предрасположенность.
В пользу экологической причины свидетельствует наблюдение кластеров случаев саркоидоза среди пожарных, сотрудников службы экстренного реагирования Всемирного торгового центра и военнослужащих ВМС США с особыми категориями должностей. Воздействие биоаэрозолей или микробиологических агентов также может быть связано с саркоидозом.
Генетические ассоциации с саркоидозом были отмечены в полногеномных ассоциативных исследованиях, предполагающих, что саркоидоз связан с множественными небольшими или умеренными генетическими эффектами.Гены HLA класса II имеют сильнейшую связь с саркоидозом; эта ассоциация может иметь значение, поскольку эти гены представляют антигены окружающей среды Т-лимфоцитам. Самая сильная связь была отмечена с HLA-DRB1 * 0301 и узловатой эритемой у северных европейцев. Эти люди также имеют повышенную экспрессию специфической для Т-клеток антигенной цепи AV2S3, предполагая, что специфический антиген может быть связан с этой формой саркоидоза.
Иммунологические исследования саркоидоза показали, что существует олигоклональный Т-клеточный ответ, предполагающий специфическую стимуляцию антигеном.Было показано, что количество лимфоцитов CD4 увеличивается в месте активности заболевания, и наблюдается увеличение цитокинов Th2 (TNF и gINF). Однако увеличение цитокинов Th2 может переключиться на фенотип Th3 при фиброзном саркоидозе.
Исследования этиологических триггеров саркоидоза были сосредоточены на микобактериальных антигенах и пропионибактериальных организмах. Нуклеиновые кислоты микобактерий были обнаружены в тканях некоторых пациентов с саркоидозом, а микобактериальные белки (mKatG, ESAT-6, микобактериальная супероксиддисмутаза A, антиген 85A и белок теплового шока 70) могут вызывать ответ Th2 в 50% случаев. пациенты с саркоидозом.ДНК пропионибактерий была обнаружена в более чем 90 процентах тканей саркоидоза в Японии и Европе, но высокие показатели выздоровления (~ 60%) также были обнаружены в контроле. Специфические Т-клеточные ответы на пропионибактериальные антигены при саркоидозе не были продемонстрированы, хотя в некоторых случаях кожного саркоидоза были эффективны антибиотики против пропионибактерий.
Остается неясным, являются ли эти агенты причиной определенных подгрупп саркоидоза.
Какие люди подвержены наибольшему риску развития саркоидоза?
Взрослые в возрасте от двадцати до пятидесяти имеют наибольший риск развития саркоидоза.Афроамериканцы и женщины итальянского или ирландского происхождения также подвержены повышенному риску развития саркоидоза. Некурящие подвержены риску развития саркоидоза, поскольку ряд исследований показал, что курение связано с защитой от саркоидоза.
Какие лабораторные исследования следует заказать для постановки диагноза и как интерпретировать результаты?
Хотя исследования крови не могут быть использованы для подтверждения диагноза саркоидоз, несколько анализов крови рекомендованы как часть первоначальной оценки пациентов с саркоидозом и заслуживают обсуждения.
Все пациенты с подозрением на саркоидоз должны иметь общий анализ крови (CBC), биохимический анализ сыворотки, включая кальций, аланинаминотрансферазу, аспартатаминотрансферазу, щелочную фосфатазу, креатинин и азот мочевины крови (BUN). Из них наиболее частыми аномалиями являются легкая анемия хронического заболевания (от 4 до 20 процентов пациентов), лейкопения (до 40 процентов), повышенная щелочная фосфатаза и гиперкальциемия (до 10 процентов). Механизм гиперкальциемии связан с нарушением регуляции выработки кальцитриола макрофагами гранулемы.
Ангиотензинпревращающий фермент (АПФ), продуцируемый клетками комплекса гранулем, отражает общее бремя гранулемы в организме при заболевании. Хотя это может помочь в диагностике саркоидоза, оно не является ни чувствительным, ни специфичным для постановки диагноза саркоидоз. Одно исследование продемонстрировало чувствительность 57 процентов, специфичность 90 процентов, положительную прогностическую ценность 90 процентов и отрицательную прогностическую ценность только 60 процентов.
Другие анализы крови, которые могут быть ненормальными у пациентов с саркоидозом, включают повышение скорости оседания эритроцитов и c-реактивного белка (CRP).
Как и ACE, эти тесты не являются ни чувствительными, ни специфичными.
Все пациенты с недавно диагностированным или подозреваемым саркоидозом должны также пройти тест на высвобождение гамма-интерферона (IGRA) или туберкулиновую кожную пробу как для исключения микобактерий туберкулеза как причины гранулематозной болезни, так и до начала иммуносупрессивной терапии саркоидоза.
Какие визуализационные исследования будут полезны для постановки или исключения диагноза саркоидоз?
Из-за частого поражения легких рентген грудной клетки может быть наиболее важным скрининговым тестом при подозрении на саркоидоз.Рентген грудной клетки также может быть первым тестом, предлагающим диагноз саркоидоз. Результаты рентгенограммы грудной клетки при саркоидозе классически делятся на 5 стадий:
Стадия 0: без лимфаденопатии и инфильтратов
Стадия I: только двусторонняя внутригрудная лимфаденопатия
Стадия II: двусторонняя внутригрудная лимфаденопатия и диффузные ретикулонодулярные помутнения
Стадия III: только ретикулонодулярный узор
IV стадия: фиброз
Легочные инфильтраты у пациентов с саркоидозом обычно имеют преобладание в средней и верхней зоне.Как обсуждается ниже, эти рентгенографические стадии также имеют прогностическое и терапевтическое значение. КТ грудной клетки может быть нормальным или показывать множество аномалий, включая аденопатию, утолщение вдоль бронховаскулярных пучков, узловатость, фиброз или фиброзно-полостное заболевание.
Позитронно-эмиссионная томография (ПЭТ) с фтор-дезоксиглюкозой (ФДГ) может использоваться для определения области активного воспаления для биопсии ткани.
Два визуализирующих теста, МРТ сердца (МРТ) и ПЭТ с ФДГ, могут быть использованы для диагностики сердечного саркоидоза, как описано выше.Пятнистый захват на специальном ПЭТ сердца и положительное увеличение гадолиния на МРТ подтверждают диагноз.
Какие неинвазивные легочные диагностические исследования будут полезны для постановки или исключения диагноза саркоидоз?
Не существует неинвазивных тестов, которые могут исключить диагноз саркоидоз. Исследования легочной функции могут быть нормальными, показывать рестриктивный процесс с пониженным фактором переноса (Dlco) или иногда могут показывать признаки заболевания или обструкции мелких дыхательных путей.Исследования физических упражнений могут показать признаки снижения насыщения кислородом, но только в тяжелых случаях.
Офтальмологическое обследование, которое должно проводиться у всех пациентов с подозрением или подтвержденным диагнозом саркоидоз, может обнаружить конъюнктивит, закупорку слезной поляны и / или передний и задний увеит.
Какие диагностические процедуры будут полезны при постановке или исключении диагноза саркоидоз?
При наличии совместимой клинической картины биопсия ткани для исключения инфекционных и неопластических заболеваний и демонстрации неказеозной гранулемы — лучшее средство для подтверждения диагноза саркоидоз.При наличии биопсии кожных поражений, конъюнктивальных узелков, увеличенных периферических лимфатических узлов или увеличенных слезных или околоушных желез предпочтительнее внутригрудная биопсия из-за менее инвазивного характера процедуры. Заметным исключением является узловатая эритема, биопсия которой не следует проводить для подтверждения заболевания, поскольку неказеозные гранулемы отсутствуют.
Однако часто внегрудной участок для биопсии недоступен, и требуется внутригрудная биопсия. Золотым стандартом диагностики является хирургическая биопсия легкого и медиастиноскопия шейки матки.Из-за высокой диагностической эффективности, приближающейся к 90% у тщательно отобранных пациентов эндоскопического доступа, состоящего из комбинации эндобронхиальной биопсии (EBB), трансбронхиальной биопсии легкого (TBLB) и трансбронхиальной игольной аспирации под ультразвуковым контролем (EBUS-TBNA), хирургические подходы являются обычно не требуется.
Характерные данные бронхоальвеолярного лаважа (БАЛ) могут помочь в диагностике саркоидоза. Преобладание лимфоцитов более 15 процентов на клеточном дифференциале БАЛ очень чувствительно (> 90 процентов), но неспецифично для саркоидоза.Соотношение CD4: CD8 лимфоцитов более 3,5 имеет чувствительность 53% и специфичность 94% для диагностики.
Эндомиокардиальная биопсия не чувствительна для диагностики сердечного саркоидоза и дает положительный результат только в 30% случаев.
Какие патологические / цитологические / генетические исследования будут полезны при постановке или исключении диагноза саркоидоз?
Диагноз саркоидоз наиболее надежен при наличии совместимого клинического состояния и наличии неказеозных гранулем при биопсии.Следует провести специальные окрашивания и посевы, чтобы исключить бактериальные, грибковые и микобактериальные инфекции, и не должно быть никаких признаков опухолевого процесса. На сегодняшний день генетические исследования не помогли поставить или исключить диагноз саркоидоз.
Если вы решите, что у пациента саркоидоз, как лечить пациента?
После подтверждения диагноза саркоидоз следующий шаг включает оценку степени заболевания, тяжести заболевания, активности болезни и ее влияния на пациента.Степень поражения органов следует определять путем сбора полного анамнеза для выявления легочных, сердечных, глазных, неврологических или системных симптомов. Затем пациенту следует пройти полное физическое обследование для выявления поражения органов (например, поражения кожи, гепатоспленомегалия, неврологические признаки, аденопатия, легочные хрипы, нарушения сердечного ритма и любые признаки сердечной недостаточности). Всех пациентов следует направлять к офтальмологу, чтобы исключить поражение глаз.
Минимальные лабораторные исследования для оценки степени и тяжести заболевания должны включать рентгенологическое исследование грудной клетки и исследование функции легких (спирометрия, объемы легких и Dlco) для выявления поражения легких, ЭКГ для поражения сердца, общий анализ крови для выявления поражения костного мозга или селезенки и комплексная метаболическая панель для выявления поражения почек, печени или эндокринной системы.Затем всех пациентов следует наблюдать с интервалами от 3 до 6 месяцев для мониторинга вовлечения новых органов и активности заболевания. Исследование ACCESS показало, что вовлечение новых органов было отмечено у 25 процентов пациентов в течение двух лет. Если есть значительное поражение органов или ослабляющие симптомы, приписываемые саркоидозу, следует рассмотреть возможность лечения иммунодепрессантами.
За исключением возможности спленэктомии при тяжелом поражении селезенки, которое не подействовало на терапию, операция не играет роли в лечении саркоидоза.Показания к медикаментозной терапии обычно зависят от пораженного органа, тяжести поражения и наличия прогрессирующего заболевания.
Показания для лечения легочного саркоидоза включают симптоматическое заболевание, прогрессирующее заболевание и тяжелое заболевание. Все пациенты со значительными симптомами, связанными с саркоидозом, должны быть рассмотрены для лечения. При отсутствии симптомов ухудшение функции легких, такое как снижение общей емкости легких, форсированная жизненная емкость или диффузионная емкость, или рентгенологическое прогрессирование, такое как новые легочные инфильтраты или ретикулярные фиброзные изменения, являются показаниями для начала терапии.
Преднизон или его эквивалент обычно начинают с 20-40 мг / день и постепенно снижают в течение 6-12 месяцев. Ингаляционные стероиды можно использовать для пациентов с кашлем, вызванным бронхиальным саркоидозом, и пациентам с реактивным синдромом дыхательных путей. Метотрексат, азатиоприн и лефлуномид успешно применялись в качестве стероидсберегающих препаратов, когда пациенты не переносили кортикостероидную терапию или болезнь рецидивировала с постепенным снижением дозы кортикостероидов и при необходимости хронической иммуносупрессии.В редких случаях монокональные антитела против TNF использовались у пациентов с легочным саркоидозом. При тяжелой, фиброзной, терминальной стадии болезни возможна трансплантация легких.
Пациенты с сердечным саркоидозом могут страдать от сердечной блокады, внезапных аритмий или сердечной недостаточности. Если у пациента есть сердечные симптомы (учащенное сердцебиение, боль в груди или одышка) или аномальная ЭКГ, дальнейшее обследование сердечного саркоидоза должно включать холтеровский монитор, эхокардиограмму сердца и МРТ сердца или сканирование 18-FDG PET.Картирование сердца может быть полезно для определения риска внезапной аритмии у пациента. Из-за риска внезапной смерти следует привлечь электрофизиолога и рассмотреть возможность использования AICD, если есть подтверждение значительного поражения сердца. ИКД-кардиостимулятор обычно устанавливается, если у пациента имеется значительная блокада сердца.
Проба иммуносупрессии обычно рекомендуется пациентам с диагнозом кардиосаркоидоз. Первоначально предпочтительным препаратом является преднизон, но нет никаких доказательств того, что дозы более 30 мг в день более эффективны, чем дозы менее 30 мг в день.Метотрексат и азатиоприн используются при непереносимости преднизона. Кроме того, плаквенил может иметь некоторую полезность при сердечном саркоидозе. Антитела против TNF были успешными в отдельных сообщениях, но их следует избегать при наличии тяжелой сердечной недостаточности (EF <30%), и в этом случае трансплантация сердца может быть успешной.
Поражение глаза часто можно лечить с помощью стероидных глазных капель, если поражение поражено только передним отделом. Заднее поражение следует лечить системными стероидами или внутриглазными инъекциями стероидов, но метотрексат и азатиоприн использовались у пациентов с непереносимостью стероидов.Моноклональные антитела против TNF использовались у людей с тяжелой устойчивой болезнью.
Поражение периферических или черепных нервов при саркоидозе часто не нуждается в лечении, иначе это ответит на короткий курс стероидов. С другой стороны, поражение ЦНС часто связано с длительным приемом высоких доз стероидов, при этом доза и продолжительность лечения зависят от остроты и тяжести поражения. Острые, тяжелые синдромы часто лечат с помощью внутривенных пульсовых стероидов по 1 грамму в день в течение 3-5 дней с последующим снижением дозы стероидов.Этих пациентов часто лечат метотрексатом, азатиоприном или микофенатмофитилом в качестве стероидсберегающих средств. Моноклональные антитела против TNF оказались наиболее полезными для этой подгруппы пациентов, а также сообщалось о некотором применении плаквенила. Тяжелое поражение ЦНС при саркоидозе — редкое и разрушительное осложнение болезни.
Поражение кожи при саркоидозе часто не требует лечения, за исключением случаев, когда это важно с косметической точки зрения. Узловатая эритема, которая обычно имеет хороший прогноз, хорошо поддается нестероидной противовоспалительной терапии или короткому курсу стероидов.В отличие от этого, ознобленную волчанку очень трудно лечить, и системные стероиды, метотрекст и азатиоприн применялись с ограниченным успехом. Недавно было показано, что моноклональные антитела против TNF могут быть полезны при этом синдроме.
Гиперкальциемия при саркоидозе часто реагирует на низкие дозы кортикостероидов. Из-за низкой токсичности плаквенил может быть особенно полезен при этом синдроме.
Риски лечения саркоидоза значительны. Побочные эффекты кортикостероидов, которые зависят от дозы и продолжительности действия, включают: гипергликемию, гипертонию, значительное увеличение веса, надпочечниковую недостаточность, инфекцию, задержку жидкости, панкреатит, катаракту, миопатию, синдром Кушинга, гипокалиемический алкалоз, бессонницу, депрессию, остеопороз, ишемический некроз бедра, угри, изжога, тошнота или ломкость кожи.Даже стероидсберегающие препараты могут быть связаны с недостаточностью костного мозга, токсичностью для печени, легочным фиброзом и повышенным риском неоплазии.
Каков прогноз для пациентов с рекомендованным лечением?
Естественное течение саркоидоза изменчиво. Семьдесят процентов пациентов могут спонтанно исчезнуть без приема лекарств, в то время как у 30 процентов может наступить прогресс. Течение индивидуального пациента предсказать сложно. Пациенты с узловатой эритемой обычно имеют хороший прогноз, в то время как прогноз пациентов с поражением сердца или ЦНС обычно плохой.Поражение нескольких органов также имеет худший прогноз. Пациенты с тяжелым поражением органов также реже, чем другие пациенты, излечивают свое заболевание.
Таким образом, врач сталкивается со значительной проблемой: осторожное ожидание может привести к спонтанному разрешению, но оно также несет в себе риск развития необратимого фиброза у пациента. Раннее лечение может вызвать значительные побочные эффекты, связанные с терапией кортикостероидами или стероидсберегающими препаратами, когда пациенты могли вылечиться спонтанно без них.Лечение должно быть адаптировано для каждого отдельного пациента, так как нет исследований, документирующих долгосрочные положительные эффекты лечения саркоидоза. В то время как краткосрочная, клинически значимая польза может быть достигнута, пациенты должны постоянно находиться под наблюдением, чтобы гарантировать надлежащий ответ и чтобы польза от лекарства перевешивала побочные эффекты.
Какие еще соображения существуют для пациентов с саркоидозом?
Несмотря на генетическую связь с саркоидозом, генетическое консультирование не рекомендуется, потому что риск заболевания родственником первой степени родства невелик (~ 1% у американцев европейского происхождения и ~ 10% у афроамериканцев).
Copyright © 2017, 2013 ООО «Поддержка принятия решений в медицине». Все права защищены.
Ни один спонсор или рекламодатель не участвовал, не одобрял и не платил за контент, предоставляемый Decision Support in Medicine LLC. Лицензионный контент является собственностью DSM и защищен авторским правом.
Произошла ошибка при настройке вашего пользовательского файла cookie
Произошла ошибка при настройке вашего пользовательского файла cookieЭтот сайт использует файлы cookie для повышения производительности.Если ваш браузер не принимает файлы cookie, вы не можете просматривать этот сайт.
Настройка вашего браузера для приема файлов cookie
Существует множество причин, по которым cookie не может быть установлен правильно. Ниже приведены наиболее частые причины:
- В вашем браузере отключены файлы cookie. Вам необходимо сбросить настройки своего браузера, чтобы он принимал файлы cookie, или чтобы спросить вас, хотите ли вы принимать файлы cookie.
- Ваш браузер спрашивает вас, хотите ли вы принимать файлы cookie, и вы отказались.Чтобы принять файлы cookie с этого сайта, нажмите кнопку «Назад» и примите файлы cookie.
- Ваш браузер не поддерживает файлы cookie. Если вы подозреваете это, попробуйте другой браузер.
- Дата на вашем компьютере в прошлом. Если часы вашего компьютера показывают дату до 1 января 1970 г., браузер автоматически забудет файл cookie. Чтобы исправить это, установите правильное время и дату на своем компьютере.
- Вы установили приложение, которое отслеживает или блокирует установку файлов cookie.Вы должны отключить приложение при входе в систему или проконсультироваться с системным администратором.
Почему этому сайту требуются файлы cookie?
Этот сайт использует файлы cookie для повышения производительности, запоминая, что вы вошли в систему, когда переходите со страницы на страницу. Чтобы предоставить доступ без файлов cookie потребует, чтобы сайт создавал новый сеанс для каждой посещаемой страницы, что замедляет работу системы до неприемлемого уровня.
Что сохраняется в файлах cookie?
Этот сайт не хранит ничего, кроме автоматически сгенерированного идентификатора сеанса в cookie; никакая другая информация не фиксируется.
Как правило, в файлах cookie может храниться только информация, которую вы предоставляете, или выбор, который вы делаете при посещении веб-сайта. Например, сайт не может определить ваше имя электронной почты, пока вы не введете его. Разрешение веб-сайту создавать файлы cookie не дает этому или любому другому сайту доступа к остальной части вашего компьютера, и только сайт, который создал файл cookie, может его прочитать.
Симптомы, стадии, причины, диагностика и лечение
Саркоидоз — воспалительное заболевание, поражающее несколько органов тела, но в основном легкие и лимфатические узлы. У людей с саркоидозом в определенных органах тела образуются аномальные массы или узелки (называемые гранулемами), состоящие из воспаленных тканей. Эти гранулемы могут изменить нормальную структуру и, возможно, функцию пораженного органа (ов).
Каковы симптомы саркоидоза?
Симптомы саркоидоза могут сильно различаться, в зависимости от того, какие органы поражены.Большинство пациентов изначально жалуются на стойкий сухой кашель, утомляемость и одышку. Другие симптомы могут включать:
- Нежные красноватые бугорки или пятна на коже.
- Красные и слезящиеся глаза или помутнение зрения.
- Опухшие и болезненные суставы.
- Увеличенные и болезненные лимфатические узлы в области шеи, подмышек и паха.
- Увеличенные лимфатические узлы в груди и вокруг легких.
- Хриплый голос.
- Боль в руках, ногах или других костных областях из-за образования кист (аномального мешкообразного разрастания) в костях.
- Камнеобразование в почках.
- Увеличенная печень.
- Развитие аномальных или пропущенных сердечных сокращений (аритмия), воспаление оболочки сердца (перикардит) или сердечная недостаточность.
- Воздействие на нервную систему, включая потерю слуха, менингит, судороги или психические расстройства (например, слабоумие, депрессию, психоз).
У некоторых людей симптомы могут начаться внезапно и / или сильно и исчезнуть в течение короткого периода времени. Другие могут вообще не иметь внешних симптомов, даже если поражены органы.У других могут быть симптомы, которые появляются медленно и незаметно, но длятся или повторяются в течение длительного периода времени.
Кто заболел саркоидозом?
Саркоидоз чаще всего возникает в возрасте от 20 до 40 лет, женщины диагностируются чаще, чем мужчины. Заболевание в 10-17 раз чаще встречается у афроамериканцев, чем у кавказцев. Люди скандинавского, немецкого, ирландского или пуэрториканского происхождения также более подвержены заболеванию. По оценкам, до четырех человек из 10 000 в США.С. болеет саркоидозом.
Что вызывает саркоидоз?
Точная причина саркоидоза неизвестна. Это может быть тип аутоиммунного заболевания, связанного с аномальным иммунным ответом, но неизвестно, что вызывает этот ответ. Как саркоидоз распространяется от одной части тела к другой, все еще изучается.
Как диагностируется саркоидоз?
Не существует единого способа диагностировать саркоидоз, поскольку все симптомы и лабораторные результаты могут возникать при других заболеваниях.По этой причине ваш врач внимательно изучит вашу историю болезни и осмотрит вас, чтобы определить, есть ли у вас саркоидоз. Основные инструменты, которые ваш врач будет использовать для диагностики саркоидоза, включают:
- Рентген грудной клетки для поиска помутнения (легочные инфильтраты) или увеличения лимфатических узлов (лимфаденопатия).
- HRCT сканирование (КТ высокого разрешения) для более детального изучения легких и лимфатических узлов, чем при рентгенографии грудной клетки.
- Тесты легочной функции (дыхания) для измерения того, насколько хорошо работают легкие.
- Бронхоскопия для осмотра бронхов и извлечения биопсии (небольшого образца ткани) для поиска гранулем и получения материала для исключения инфекции. При бронхоскопии небольшая трубка (бронхоскоп) проводится по трахее (дыхательное горло) в бронхи (дыхательные пути) легких.
Как лечится саркоидоз?
Нет лекарства от саркоидоза, но болезнь может вылечиться сама по себе со временем. Многие люди с саркоидозом имеют легкие симптомы и не нуждаются в лечении.Лечение, когда оно необходимо, проводится для уменьшения симптомов и поддержания надлежащего рабочего состояния пораженных органов.
Продолжение
Лечение обычно делится на две категории — поддержание надлежащей практики здоровья и лечение от наркозависимости. Хорошие медицинские практики включают:
- Регулярные осмотры у вашего лечащего врача
- Соблюдение сбалансированной диеты с разнообразными свежими фруктами и овощами
- Ежедневное употребление достаточного количества жидкости
- Получение от шести до восьми часов сна каждый ночь
- Регулярные упражнения и контроль веса
- Отказ от курения
Медикаментозное лечение используется для облегчения симптомов и уменьшения воспаления пораженных тканей.Чаще всего используется пероральный кортикостероид преднизон. Усталость и постоянный кашель обычно уменьшаются при лечении стероидами. Если вам прописаны стероиды, вам следует регулярно посещать врача, чтобы он мог контролировать заболевание и побочные эффекты лечения. Другие варианты лечения включают метотрексат ( Отрексуп, Ревматрекс), гидроксихлорохин (Плаквенил) и другие препараты.
Что может случиться по мере прогрессирования болезни?
У многих людей с саркоидозом болезнь появляется ненадолго, а затем исчезает, даже если человек даже не подозревает, что он болен.У 20-30% людей есть необратимые повреждения легких. Для небольшого числа людей саркоидоз — хроническое заболевание. У некоторых людей заболевание может привести к ухудшению состояния пораженного органа. В редких случаях саркоидоз может быть фатальным. Смерть обычно наступает в результате осложнений со стороны легких, сердца или мозга.
Окончательный диагноз — Дело 886
Окончательный диагноз — Дело 886ОКОНЧАТЕЛЬНАЯ ДИАГНОСТИКА
Саркоидоз
ОБСУЖДЕНИЕ
Саркоидоз — мультисистемное воспалительное заболевание.Часто проявляется неказеозными гранулемами, преимущественно в легких и внутригрудных лимфатических узлах. Проявления и последствия саркоидоза значительно различаются у разных людей. Примерно 50% пациентов предъявляют жалобы со стороны легких, от одышки до кашля или боли в груди, 45% жалуются на системные жалобы, такие как анорексия и лихорадка, а у остальных 5% симптомы отсутствуют. 1 Классические легочные, глазные и дерматологические проявления саркоидоза — это проявления болезни, которые обычно приходят на ум, когда думают об этой сущности.Однако до 5% пациентов с саркоидозом могут иметь сердечные проявления, которые могут варьироваться от относительно доброкачественных случайных находок до опасных для жизни, в зависимости от локализации и степени гранулематозного воспаления.
Наиболее частым осложнением сердечного саркоидоза является полная блокада сердца. Первоначально у пациентов может развиться блокада сердца первой степени из-за поражений атриовентрикулярного узла или пучка Гиса, но они могут прогрессировать до полной блокады сердца, которая часто проявляется в виде эпизодов обморока. 2, 3 Гистологическая оценка миокарда, которую можно провести с помощью биопсии миокарда или увидеть при вскрытии, выявляет неказеозные гранулемы.
Учитывая наличие у пациента нескольких эпизодов обморока, данные ЭКГ как правой ножки пучка Гиса, так и левой передней фасцикулярной блокады, а также гистологическая оценка миокарда, демонстрирующая неказеозные гранулемы вблизи ткани узла AV, полную сердечную блокаду, вторичную по отношению к саркоидозу, в сочетании с пациентом. тяжелое ранее существовавшее атеросклеротическое сердечно-сосудистое заболевание, скорее всего, является причиной его смерти.
Второе наиболее частое сердечное проявление саркоидоза — желудочковые аритмии. Они могут проявляться в виде устойчивых или прерывистых преждевременных сокращений желудочков или желудочковой тахикардии. Гранулемы в миокарде становятся очагами аномального автоматизма. Они также могут нарушать активацию и восстановление желудочков, что приводит к рецидивирующим аритмиям. В дополнение к дефектам проводимости, сердечный саркоидоз также может привести к кардиомиопатии и застойной сердечной недостаточности.
Внезапная сердечная смерть из-за блокады проводимости или желудочковых тахиаритмий — частая причина смерти пациентов с сердечным саркоидозом. 4, 5 Важно оценить пациентов с известным системным саркоидозом на предмет изменений ЭКГ, указывающих на аритмию или нарушения проводимости.
Текущие рекомендации, разработанные в 2006 году для диагностики сердечного саркоидоза, требуют либо:
- Гистологический диагноз саркоидоза при биопсии миокарда и гистологический или клинический диагноз экстракардиального саркоидоза 6
- Гистологический или клинический диагноз экстракардиального саркоидоза плюс три основных критерия или один основной критерий и три второстепенных критерия 6
- Основные критерии: развитая атриовентрикулярная блокада, базальное истончение межжелудочковой перегородки или фракция выброса левого желудочка Незначительные критерии: аномальные результаты ЭКГ (блокада правой ножки пучка Гиса, преждевременные желудочковые комплексы, желудочковая тахикардия, отклонение оси или аномальные зубцы Q), аномальная эхокардиограмма (желудочковая аневризма или утолщение стенки или аномалии движения стенки) или дефекты перфузии при сканировании таллия или технеция
Вмешательства при сердечном саркоидозе включают агрессивный контроль воспаления для предотвращения дальнейшего фиброза миокарда.Кортикостероиды использовались эмпирически для предотвращения дальнейшего гранулематозного воспаления миокарда и до сих пор используются в качестве основного лечения сердечного саркоидоза. В дополнение к иммуносупрессии, внутрисердечные устройства и кардиостимуляторы использовались для борьбы с возможностью внезапной смерти из-за желудочковых тахиаритмий или блокады проводимости, поскольку на них приходится более половины смертей при сердечном саркоидозе. 7
Хотя прогноз для всех пациентов с сердечным саркоидозом не совсем ясен, пациенты с симптоматическими сердечными проявлениями болезни в дополнение к легочным данным имеют повышенную заболеваемость и смертность и нуждаются в агрессивном лечении саркоидоза.
СПИСОК ЛИТЕРАТУРЫ
- Баумэн Р.П., Тейрштейн А.С., Джадсон М.А. и др. Клинические характеристики пациентов в исследовании случай-контроль саркоидоза. Am J Respir Crit Care Med. 2001; 164 (10 Pt 1): 1885-9.
- Chapelon-abric C, De zuttere D, Duhaut P, et al. Сердечный саркоидоз: ретроспективное исследование 41 случая. Медицина (Балтимор). 2004; 83 (6): 315-34.
- Yoshida Y, Morimoto S, Hiramitsu S, Tsuboi N, Hirayama H, Itoh T. Частота сердечного саркоидоза у японских пациентов с атриовентрикулярной блокадой высокой степени.Am Heart J. 1997; 134 (3): 382-6.
- Шедель Х., Кирстен Д., Шмидт А, Шмидт Х., Штраус Х. Дж. Саркоидный порок сердца — результаты последующих исследований. Eur Heart J. 1991; 12 Suppl D: 26-7.
- Джадсон М.А., Бауман Р.П., Тейрштейн А.С., Террин М.Л., Йегер Х. Определение вовлечения органов в саркоидоз: инструмент, предложенный ACCESS. ACCESS Research Group. Этиологическое исследование саркоидоза «случай-контроль». Sarcoidosis Vasc Diffuse Lung Dis. 1999; 16 (1): 75-86.
- Соэдзима К., Яда Х.Обследование и ведение пациентов с очевидным или субклиническим сердечным саркоидозом: с акцентом на связанные с ним нарушения сердечного ритма. J Cardiovasc Electrophysiol. 2009; 20 (5): 578-83.
- Винтерс С.Л., Коэн М., Гринберг С. и др. Устойчивая желудочковая тахикардия, связанная с саркоидозом: оценка основной сердечной анатомии и предполагаемая полезность запрограммированной желудочковой стимуляции, лекарственной терапии и имплантируемого устройства для борьбы с тахикардией. J Am Coll Cardiol.1991; 18 (4): 937-43.
Предоставлено Michelle Stram, MD и Jeffrey Nine, MD
Поздний диагноз рака легких из-за неправильного диагноза как обострения саркоидоза: отчет о болезни | BMC Pulmonary Medicine
Baughman RP, Teirstein AS, Judson MA, Rossman MD, Yeager H Jr, Bresnitz EA, et al. Клинические характеристики пациентов в исследовании случай-контроль саркоидоза. Am J Respir Crit Care Med.2001. 164 (10 Pt 1): 1885–189.
CAS Статья Google Scholar
Яннуцци М.С., Рыбицки Б.А., Тейрштейн А.С. Саркоидоз. N Engl J Med. 2007. 357 (21): 2153–65.
CAS Статья Google Scholar
Валейре Д., Прассе А, Нуньес Х., Узунхан Ю., Брилле П.Й., Мюллер-Кернхейм Дж. Саркоидоз. Ланцет. 2014. 383 (9923): 1155–67.
Артикул Google Scholar
Heinle R, Chang C. Диагностические критерии саркоидоза. Autoimmun Rev.2014; 13 (4–5): 383–7.
CAS Статья Google Scholar
Ямасава Х., Исии Й., Китамура С. Сочетание саркоидоза и рака легких. Отчет о четырех случаях. Дыхание. 2000. 67 (1): 90–3.
CAS Статья Google Scholar
Bouros D, Hatzakis K, Labrakis H, Zeibecoglou K.Связь злокачественных новообразований с заболеваниями, вызывающими интерстициальные легочные изменения. Грудь. 2002. 121 (4): 1278–89.
Артикул Google Scholar
Сато Й., Сасано С., Ояма К., Сакураба М., Онуки Т., Нитта С. Рак легкого, связанный с саркоидозом. Jpn J Thorac Cardiovasc Surg. 2003. 51 (1): 21–4.
Артикул Google Scholar
Иидзима Ю., Сугияма Ю., Савахата М., Накаяма М., Бандо М.Клинические особенности легочного саркоидоза, осложненного раком легкого. Intern Med. 2017; 56 (15): 1957–60.
Артикул Google Scholar
McNeill M, Zanders TB, Morris MJ. 49-летний мужчина с одновременным диагнозом рака легких, саркоидоза и множественной аденопатии на позитронно-эмиссионной томографии. Грудь. 2009. 135 (2): 546–9.
Артикул Google Scholar
Li Z, Li X, Song Z, Liu J, Dong M, Shi T и др. Саркоидоз, ошибочно диагностированный как злокачественная опухоль: описание случая. Мир J Surg Oncol. 2015; 13: 333.
Артикул Google Scholar
Свейдан А.Дж., Сингх Н.К., Стейн А., Таниос М. Узловой саркоидоз, маскирующийся под рак. Clin Med Insights Circ Respir Pulm Med. 2017; 11: 1179548417703123.
Артикул Google Scholar
Rigatto M, de Medeiros N. Диафрагмальное трепетание. Отчет о случае и обзор литературы. Am J Med. 1962; 32: 103–9.
CAS Статья Google Scholar
Асклинг Дж., Грюневальд Дж., Эклунд А., Хиллердал Дж., Экбом А. Повышенный риск рака после саркоидоза. Am J Respir Crit Care Med. 1999; 160 (5 Pt 1): 1668–72.
CAS Статья Google Scholar
Le Jeune I, Gribbin J, West J, Smith C, Cullinan P, Hubbard R. Заболеваемость раком у пациентов с идиопатическим фиброзом легких и саркоидозом в Великобритании. Respir Med. 2007. 101 (12): 2534–40.
Артикул Google Scholar
Сакула А. Бронхиальная карцинома и саркоидоз. Br J Рак. 1963; 17: 206–12.
CAS Статья Google Scholar
Suen JS, Forse MS, Hyland RH, Chan CK.Синдром злокачественного саркоидоза. Грудь. 1990. 98 (5): 1300–2.
CAS Статья Google Scholar
Reich JM, Mullooly JP, Johnson RE. Анализ связи саркоидоза, связанного со злокачественными новообразованиями. Грудь. 1995. 107 (3): 605–13.
CAS Статья Google Scholar
Сирсхольм Н., Вестбо Дж., Вискум К. Риск злокачественных новообразований у пациентов с легочным саркоидозом.Грудная клетка. 1997. 52 (10): 892–4.
CAS Статья Google Scholar
Карас В.Е., Диллард Т., Бейкер Т., Плюсс Дж. Сосуществование саркоидоза и злокачественного новообразования. Саут Мед Дж. 2003; 96 (9): 918–22.
Артикул Google Scholar
Накадзима Т., Ясуфуку К., Куросу К., Такигучи Ю., Фудзивара Т., Чиё М. и др. Роль EBUS-TBNA в диагностике саркоидоза — сравнение с другими методами бронхоскопической диагностики.Respir Med. 2009. 103 (12): 1796–800.
Артикул Google Scholar
Эвисон М., Кросби П.А., Моррис Дж., Мартин Дж., Барбер П.В., Бутон Р. Исследование пациентов с изолированной средостенной и внутригрудной лимфаденопатией, перенесших EBUS-TBNA. BMJ Open Respir Res. 2014; 1 (1): e000040.
Артикул Google Scholar
Agarwal R, Aggarwal AN, Gupta D. Эффективность и безопасность традиционной трансбронхиальной пункционной аспирации при саркоидозе: систематический обзор и метаанализ.Respir Care. 2013. 58 (4): 683–93.
PubMed Google Scholar
Tyan CC, Machuca T, Czarnecka K, Ko HM, da Cunha SG, Boerner SL, et al. Проведение эндобронхиальной трансбронхиальной иглы под контролем УЗИ для диагностики изолированной средостенной и внутригрудной лимфаденопатии. Дыхание. 2017; 94 (5): 457–64.
Артикул Google Scholar
Эрнст А., Эберхардт Р., Красник М., Херт Ф.Дж.Эффективность эндобронхиальной трансбронхиальной иглы под контролем УЗИ из прикорневых лимфатических узлов для диагностики и определения стадии рака. J Thorac Oncol. 2009. 4 (8): 947–50.


2. Рентгенограмма грудной клетки больного саркоидозом внутригрудных лимфатических узлов и легких.
Проявляется увеличением бронхопульмональных, иногда бифуркационных, трахеобронхиальных, паратрахеальных лимфоузлов. Чаще всего, увеличение происходит ассиметрично с двух сторон;
P. Cremers, M. Drent, A. Bast et al. // Curr. Opin. Pulm. Med. – 2013. – Vol. 19. – P. 545-561.