КТ или рентген легких: что лучше?
При пневмониях, туберкулезе и даже в рамках профилактического скрининга пациентам назначается КТ или рентген легких.
В чем разница между этими методами обследования? Когда лучше делать КТ легких, а когда рентгенографию? Подробнее рассмотрим в этой статье.
Чем отличается КТ от рентгена легких?
Компьютерная томография — это современный метод лучевой диагностки различных заболеваний, в основе которого лежит рентгенография. . Метод был разработан и предложен учеными, лауреатами Нобелевской премии Г. Хаунсфилдом и А. Кормаком в 1972 году. Классическая рентгенография была изобретена в 1896 году, чаще всего она применялась в стоматологии и для исследования легких, поскольку на рубеже XIX-XX вв. смертность от пневмонии, туберкулеза и астмы была крайне велика.
Ключевое отличие цифрового рентгена от компьютерной томографии легких — траектория прохождения рентгеновских лучей и техника визуализации.
В процессе обычной рентгенографии Х-лучи проходят через исследуемый участок тела перпендикулярно всего один раз, поэтому рентгенограмма представляет собой двухмерное однослойное изображение. Рентген легких — наиболее доступное по цене исследование, которое часто назначается в первую очередь, если у пациента есть признаки пневмонии, туберкулеза, обструктивной болезни легких, опухолей. Проблема данного вида диагностики заключается в том, что, например, при пневмонии на рентгене достоверно можно определить только поражение легких III и IV степени, а тени от крупных органов могут затенять другие ткани.
Сканы КТ отличаются более высокой четкостью изображений и информативностью. В ходе компьютерной томографии рентгеновская трубка вместе с чувствительными датчиками совершает несколько оборотов по спиральной траектории, сканируя исследуемую область. Аппарат КТ делает множество сканов толщиной до 1 мм, на основании которых воссоздается трехмерная модель легких, сосудов, органов и костей грудной клетки в высоком разрешении.
Высокая четкость изображения при компьютерной томографии связана с техникой проведения диагностики и физическими свойствами излучения. Рентген обладает 20% коэффициентом ослабления, в то время как томография – коэффициентом 0,5%, а следовательно и более высокой разрешающей способностью.
И рентгенографию, и компьютерную томографию можно делать с контрастированием. Рентгенография или КТ легких с контрастом поможет визуализировать сосуды и опухоли. Однако первичная дифференциация новообразований на доброкачественные и онкогенные возможна только в рамках КТ, что также связано с качеством изображений.
Поскольку рентгенограмма грудной клетки в сущности представляет 1 снимок, а томограмм делают множество, то и излучение при КТ легких выше из-за многократной экспозиции. В среднем, за одну процедуру рентгена легких пациент получает 0,1 мЗв облучения, во время КТ легких – 2,5 мЗв.
В специализированном центре КТ «Ами» процедура проходит на аппарате нового поколения Siemens Somatom go.Now со сниженной лучевой нагрузкой.
Что лучше: КТ или рентген легких?
КТ легких и рентгенография назначаются при воспалении легких, туберкулезе, бронхиальной астме. Оба исследования показывают состояние легких, бронхов, трахеи, средостения. И на КТ, и на рентгене выявляют опухоли, инородные предметы в полости легких и дыхательных путях. Как и компьютерная томография, рентген показывает скопления жидкости в альвеолах или фиброз (поражение легких при пневмонии), наличие эмфиземы (хронический бронхит курильщика), отек и саркоидоз легких (гранулемы и узловые новообразования легких).
Однако большинство медиков склоняются к мнению, что если есть возможность сделать КТ легких вместо рентгена, то лучше исследовать органы грудной клетки именно так. Во-первых, врач точно не пропустит заболевание или опухоль в начальной стадии. Во-вторых, после КТ легких уже нет необходимости в дополнительном уточняющем обследовании (кроме лабораторной диагностики, поскольку инфекционные, вирусные и бактериальные агенты-возбудители определяют с помощью анализа биологического материала). В-третьих, небольшие кальцификаты, деструкции и опухоли видны только на сканах КТ.
Согласно докладам Всемирной организации здравоохранения, рак легких по-прежнему представляет угрозу для жизни и здоровья миллионов людей. Поэтому пациентам старше 40 лет, особенно попадающим в группу риска, рекомендован ежегодный профилактический скрининг. Флюорография и рентген считаются традиционным методом профилактики, однако лучше всего для этой цели подойдет низкодозная компьютерная томография легких.
Плюсы рентгена легких
- Низкая цена обследования.
- Облучение около 0,1 мЗв.
- Аппаратами для рентгена оснащены многие медицинские учреждения.
Минусы рентгена легких
- Малая информативность.
- Низкая специфичность.
- Двухмерные снимки, подозрительные участки могут быть закрыты тенями органов.
- Не показывает пневмонии, опухоли и другие патологии легких на ранних стадиях. Также для обследования лимфатических узлов более информативна КТ.
Невозможно дать первичную оценку новообразованиям, дифференцировать их на доброкачественные и онкогенные.- Есть вероятность получения неполной картины.
Плюсы КТ легких
- Трехмерное (пространственное) изображение легких, исчерпывающая информативность.
- Показывает заболевания и патологии легких на ранних стадиях.
- Ранняя диагностика рака легких.

- Врач может первично дифференцировать новообразования.
- Назначается при атипичном течении заболеваний, в качестве уточняющего метода обследования после рентгена.
Минусы КТ легких
- Более высокая цена.
- Более высокая доза ионизирующего излучения.
- Сравнительно невысокая распространенность медицинских центров, оснащенных томографами.
Что информативнее: КТ легких или рентген?
Компьютерная томография – наиболее современный и информативный рентгенологический метод обследования. На сканах в трех проекциях визуализируются мягкие ткани, внутренние органы, кости и сосуды. Двухмерная рентгенография дает более общее представление о состоянии легких, однако иногда этого достаточно для последующего успешного лечения пациента.
Не опасно ли делать КТ легких после рентгена?
Ионизирующее (рентгеновское) излучение не полезно для человека, а в избыточном количестве вызывает радиационный синдром и может стать «спусковым механизмом» для развития онкологических заболеваний у пациентов, предрасположенных к ним.
Однако, чтобы избежать дополнительной лучевой нагрузки, наиболее целесообразно сразу сделать КТ легких, не прибегая к рентгену.
Что лучше делать при воспалении легких: КТ или рентген?
Назначить КТ или рентген легких при пневмонии сможет только врач после изучения симптомов, лабораторных анализов, индивидуальной клинической картины пациента. Наличие жидкости или гноя в альвеолах, а также фиброз визуализируется и на рентгенограмме и на сканах КТ. Однако традиционного рентгена при пневмонии I-II степени может быть недостаточно, в то время как на КТ она видна более определенно как «матовые стекла». При атипичной пневмонии и при коронавирусе рекомендуется сделать КТ легких.
Можно ли сделать КТ легких вместо рентгена?
Да, КТ легких может заменить рентген. Однако врач, назначающий то или иное исследование, всегда учитывает индивидуальные особенности пациента, например, сколько рентгенологических исследований уже было проведено в течение года, нет ли противопоказаний к КТ. Также ионизирующее излучение вредно для беременных женщин и плода, поэтому в этом случае при пневмонии предпочтительнее МРТ легких.
Текст подготовил
Котов Максим Анатольевич, главный врач центра КТ «Ами», кандидат медицинских наук, доцент. Стаж 21 год
- The American Cancer Society medical and editorial content team. Key Statistics for Lung Cancer, 2020.
- Eva-Christina Schliewert , Kara M Lascola, Robert T O’Brien, Stuart C Clark-Price, Pamela A Wilkins, Jonathan H Foreman, Mark A Mitchell, Susan K Hartman, Kevin H Kline. Comparison of radiographic and computed tomographic images of the lungs in healthy neonatal foals, 2015.

- Eva-Christina Schliewert , Kara M Lascola, Robert T O’Brien, Stuart C Clark-Price, Pamela A Wilkins, Jonathan H Foreman, Mark A Mitchell, Susan K Hartman, Kevin H Kline. Comparison of radiographic and computed tomographic images of the lungs in healthy neonatal foals, 2015.
- Sokolov V.A., V.M. Kartashov, A.I. Piven’, S.Iu. Krasnoborova, L.V. Blinova, A.V. Savel’ev. X-ray longitudinal and computed tomography in the diagnosis of peripheral tumor-like formations of the lungs, 1997.
- Струтынский А.В., Юдин А.Л., Семенов Д.В., Афанасьева Н.И., Семенов В.А. Опыт применения компьютерной томографии высокого разрешения легких в диагностике и оценке результатов лечения внебольничной пневмонии, 2011.
- Котов М.А. Опыт применения компьютерной томографии в диагностике заболеваний органов дыхания у детей / Материалы X Невского радиологического Форума (НРФ-2018). – СПб., 2018, Лучевая диагностика и терапия. 2018. № 1 (9). — С. 149.
- Министерство Здравоохранения РФ.
Временные методические рекомендации. Профилактика, диагностика и лечение новой коронавирусной инфекции COVID-19, версия 8, 2020. - Британский Королевский Радиологический Колледж, Федеральное государственное бюджетное учреждение здравоохранения «Клиническая больница №122 им. Л. Г. Соколова ФМБА России». Информация для пациентов, которым планируется выполнение компьютерной томографии.
- Всемирная Организация Здравоохранения / Информационные бюллетени: рак, 2018.
Рентген легких при пневмонии — обязательный этап диагностики
Рентгенография легких — наиболее информативный способ диагностики, используемый для постановки точного диагноза при разных заболеваниях дыхательной системы, в том числе и пневмонии.
Основные признаки пневмонии для проведения рентгена:
- повышение температуры тела до 38-39°С;
- одышка;
- сильный кашель с отхождением мокроты;
- хрипы в грудной клетке.

Такие признаки характерны и для острого бронхита и иных воспалительных процессов, поэтому только рентген позволит показать наличие пневмонии, определить патологические изменения и составить общую картину заболевания.
При пневмонии делают рентген или флюорографию?
Для точной диагностики пневмонии делают именно рентген, флюорография не сможет достаточно четко визуализировать состояние легочной ткани, поставить точный диагноз.
Флюорографию в основном делают в профилактических целях, а рентген непосредственно при лечении и диагностике патологических изменений.
Как выглядит пневмония на рентгене?
Первый признак пневмонии — затемнение легочной ткани с неровными контурами, образование очагов от 3 до 12 мм, тени различной интенсивности окраски, изменение рисунка органа, жидкость в полости плевры.
Первая стадия болезни продолжается до 72 часов и проявляется ухудшением общего состояния здоровья и образованием жидкости в альвеолах, размытостью крайних точек и увеличением корней органа.
Затем легочная ткань будет уплотняться, сформируются темные пятна со светлыми полосами. Уже при регенерации тканей на последних стадиях пневмонии будут четко видны крупные затемненные элементы рисунка органа.
Поэтому при пневмонии необходимо несколько раз (как минимум 3 раза) сделать рентген легких как взрослым, так и детям.
Причина пневмонии: вирусы или бактерии
Образование пневмонии могут спровоцировать как бактерии, так и вирусы, при этом общая картина течения болезни схожа.
Если сделать рентген при бактериальной пневмонии, то можно будет увидеть:
- множество очагов различных размеров;
- размытые контуры затемненных областей органа;
- общее затемнение легких из-за присутствия жидкости в плевральной полости.
На рентгене при вирусной и коронавирусной пневмонии можно будет рассмотреть следующие патологические изменения:
- затемненная область вокруг бронхов;
- утолщение междолевых перегородок;
- увеличение перебронхиальных узлов;
- в области корней легких будут ярко выражены сосуды.

Но чтобы со 100% точностью определить вирусная или бактериальная пневмония у пациента, необходимо сдать общий анализ крови, чтобы отследить количество лейкоцитов и лимфоцитов, а также мокроты.
Если пневмонию вызвали бактерии, то будет назначено антибактериальное лечение, при вирусной — противовирусные препараты.
Рентген покажет правостороннюю пневмонию у взрослых и детей, а также различные нарушения, патологические изменения, позволит в минимальные сроки поставить точный диагноз, отследить эффективность назначенной терапевтической схемы.
Рентген грудной клетки — Клиника Мэйо
Обзор
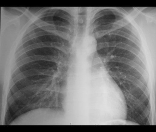
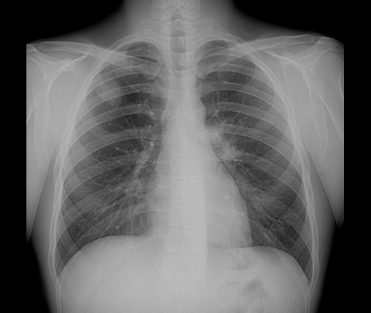
Рентген грудной клетки
Рентген грудной клетки
Рентген грудной клетки помогает выявить проблемы с сердцем и легкими. Рентгенограмма грудной клетки слева в норме. На изображении справа показано образование в правом легком.
Рентген грудной клетки позволяет получить изображения сердца, легких, кровеносных сосудов, дыхательных путей, костей грудной клетки и позвоночника.
Рентген грудной клетки также может выявить жидкость в легких или вокруг них или воздух, окружающий легкое.
Если вы обратитесь к врачу или в отделение неотложной помощи с болью в груди, травмой груди или одышкой, вам, как правило, сделают рентген грудной клетки. Изображение помогает врачу определить, есть ли у вас проблемы с сердцем, коллапс легкого, пневмония, сломанные ребра, эмфизема, рак или любое другое заболевание.
Некоторым людям делают серию рентгенограмм грудной клетки, чтобы отслеживать, улучшается или ухудшается состояние здоровья.
Продукты и услуги
Для чего это делается
Рентген грудной клетки является распространенным видом обследования. Рентген грудной клетки часто входит в число первых процедур, которые вы должны сделать, если ваш врач подозревает заболевание сердца или легких. Рентген грудной клетки также можно использовать, чтобы проверить, как вы реагируете на лечение.
Рентгенография органов грудной клетки может выявить многие внутренние органы, в том числе:
- Состояние ваших легких.
Рентген грудной клетки может выявить рак, инфекцию или скопление воздуха в пространстве вокруг легкого, что может вызвать коллапс легкого. Они также могут показать хронические заболевания легких, такие как эмфизема или кистозный фиброз, а также осложнения, связанные с этими состояниями. - Проблемы с легкими, связанные с сердцем. Рентген грудной клетки может показать изменения или проблемы в легких, связанные с проблемами с сердцем. Например, жидкость в легких может быть результатом застойной сердечной недостаточности.
- Размер и контур вашего сердца. Изменения размера и формы сердца могут указывать на сердечную недостаточность, наличие жидкости вокруг сердца или проблемы с сердечным клапаном.
- Кровеносные сосуды. Поскольку очертания крупных сосудов рядом с сердцем — аорты и легочных артерий и вен — видны на рентгеновских снимках, они могут выявить аневризмы аорты, другие проблемы с кровеносными сосудами или врожденный порок сердца.

- Отложения кальция. Рентген грудной клетки может определить наличие кальция в сердце или кровеносных сосудах. Его присутствие может указывать на жиры и другие вещества в сосудах, повреждение сердечных клапанов, коронарных артерий, сердечной мышцы или защитной оболочки, окружающей сердце. Обызвествленные узелки в легких чаще всего возникают из-за старой, разрешившейся инфекции.
- Переломы. Переломы ребер или позвоночника или другие проблемы с костями можно увидеть на рентгенограмме грудной клетки.
- Послеоперационные изменения. Рентген грудной клетки полезен для наблюдения за вашим восстановлением после операции на груди, например, на сердце, легких или пищеводе. Ваш врач может осмотреть любые линии или трубки, которые были размещены во время операции, чтобы проверить наличие утечек воздуха и областей скопления жидкости или воздуха.
- Кардиостимулятор, дефибриллятор или катетер.
У кардиостимуляторов и дефибрилляторов есть провода, прикрепленные к сердцу, которые помогают контролировать частоту сердечных сокращений и ритм. Катетеры представляют собой небольшие трубки, используемые для доставки лекарств или для диализа. Рентген грудной клетки обычно делается после размещения таких медицинских устройств, чтобы убедиться, что все расположено правильно.
Дополнительная информация
- Аневризма брюшной аорты
- Стенокардия
- Сибирская язва
- Аневризма аорты
- Регургитация аортального клапана
- Aortic valve stenosis
- ARDS
- Asbestosis
- Atrial flutter
- Bladder cancer
- Breast cancer
- Broken heart syndrome
- Bronchiolitis
- Burns
- Cardiogenic shock
- Cardiomyopathy
- Chest pain
- Coarctation of the aorta
- Врожденные пороки сердца у детей
- Врожденные пороки сердца у взрослых
- Диабетический кетоацидоз
- Дилатационная кардиомиопатия
- Dressler syndrome
- Ebstein anomaly
- Eisenmenger syndrome
- Emphysema
- Endocarditis
- Endometrial cancer
- Enlarged breasts in men (gynecomastia)
- Enlarged heart
- Epiglottitis
- Eye melanoma
- Granulomatosis with polyangiitis
- Heart приступ
- Болезнь сердца
- Шумы в сердце
- Синдром Горнера
- Гиперкальциемия
- Кожный зуд (зуд)
- Legionnaires’ disease
- Liver cancer
- Merkel cell carcinoma
- Mesothelioma
- Mitral valve disease
- Mitral valve prolapse
- Mitral valve regurgitation
- Mitral valve stenosis
- Multisystem inflammatory syndrome in children (MIS-C)
- Миокардит
- Открытый артериальный проток (ОАП)
- Воронкообразная грудная клетка
- Перикардиальный выпот
- Перикардит
- Плеврит
- Pneumonitis
- Pneumothorax
- Pulmonary edema
- Pulmonary embolism
- Pulmonary fibrosis
- Pulmonary hypertension
- Recurrent breast cancer
- Respiratory syncytial virus (RSV)
- Sjogren’s syndrome
- Sudden cardiac arrest
- Swollen lymph nodes
- Тетрада Фалло
- Аневризма грудной аорты
- Транспозиция магистральных артерий
- Регургитация трехстворчатого клапана
- Туберкулез
- Фибрилляция желудочков
- Дефект межжелудочковой перегородки (ДМЖП)
- Коклюш
- Опухоль Вильмса
Записаться на прием в вашу клинику Mayobox
9 9008
Зарегистрируйтесь бесплатно и будьте в курсе последних научных достижений, советов по здоровью и актуальных тем, связанных со здоровьем, таких как COVID-19, а также экспертных знаний по управлению здоровьем.
Нажмите здесь для предварительного просмотра по электронной почте.
Чтобы предоставить вам самую актуальную и полезную информацию, а также понять, какая информация полезна, мы можем объединить вашу электронную почту и информацию об использовании веб-сайта с другая информация о вас, которой мы располагаем. Если вы пациент клиники Майо, это может включать защищенную информацию о здоровье. Если мы объединим эту информацию с вашей защищенной медицинской информации, мы будем рассматривать всю эту информацию как информацию и будет использовать или раскрывать эту информацию только так, как указано в нашем уведомлении о практики конфиденциальности. Вы можете отказаться от получения сообщений по электронной почте в любое время, нажав на ссылка для отписки в письме.
Риски
Вас может беспокоить радиационное облучение при рентгенографии грудной клетки, особенно если вы делаете ее регулярно.
Но количество радиации от рентгена грудной клетки низкое — даже ниже, чем то, которому вы подвергаетесь через естественные источники радиации в окружающей среде.
Несмотря на то, что польза от рентгена перевешивает риск, вам могут выдать защитный фартук, если вам нужно сделать несколько снимков. Сообщите своему врачу, если вы беременны или можете быть беременны. Процедура может быть выполнена таким образом, чтобы защитить брюшную полость от радиации.
Как вы готовитесь
Перед рентгеном грудной клетки вы обычно раздеваетесь до пояса и надеваете смотровой халат. Вам также нужно будет снять украшения выше талии, так как и одежда, и украшения могут затенять рентгеновские снимки.
Что вы можете ожидать
Во время процедуры ваше тело располагается между аппаратом, производящим рентгеновские лучи, и пластиной, которая создает изображение в цифровом виде или с помощью рентгеновской пленки. Вас могут попросить переместиться в разные положения, чтобы получить обзор как спереди, так и сбоку вашей груди.
Во время просмотра спереди вы стоите у пластины, держите руки вверх или в стороны и поворачиваете плечи вперед. Рентгенолог может попросить вас сделать глубокий вдох и задержать дыхание на несколько секунд. Задержка дыхания после вдоха помогает четче показать сердце и легкие на изображении.
Во время просмотра сбоку вы поворачиваетесь, кладете одно плечо на тарелку и поднимаете руки над головой. Вас снова могут попросить сделать глубокий вдох и задержать дыхание.
Рентген обычно безболезненный. Вы не чувствуете никаких ощущений, когда излучение проходит через ваше тело. Если вам трудно стоять, вы можете пройти обследование сидя или лежа.
Результаты
Рентген грудной клетки дает черно-белое изображение, на котором видны органы грудной клетки. Структуры, которые блокируют излучение, кажутся белыми, а структуры, пропускающие излучение, кажутся черными.
Ваши кости кажутся белыми, потому что они очень плотные. Ваше сердце также выглядит как более светлая область.
Ваши легкие наполнены воздухом и блокируют очень мало излучения, поэтому на изображениях они выглядят как более темные области.
Рентгенолог — врач, обученный интерпретации рентгеновских снимков и других визуализирующих исследований — анализирует изображения в поисках подсказок, которые могут указать на сердечную недостаточность, наличие жидкости вокруг сердца, рак, пневмонию или другое заболевание.
Ваш лечащий врач обсудит с вами результаты, а также то, какое лечение или другие анализы или процедуры могут быть необходимы.
Персонал клиники Мэйо
Связанные продукты
Продукты и услуги
Пневмония — радиология.эксперт
Избранное
Термины:
- Инфильтрат = аномальная нечеткая плотность в легких.
- Консолидация = наполненные воздухом альвеолы замещаются жидкостью, кровью, гноем, слизью, отеком или другим веществом.
- Пневмония (инфекция легких) = инфекция (воздух заменен гноем) альвеол, следовательно, форма консолидации.

На практике вышеуказанные термины часто используются как синонимы. Две характеристики пневмонии обсуждаются ниже.
Силуэт знака
Анатомические границы видны на рентгеновском снимке из-за различий в способности поглощать рентгеновские лучи. Степень поглощения определяет плотность (= белизна) . Например. кость обладает более высокой поглощающей способностью, чем жир, и поэтому имеет более плотный внешний вид (см. рис. 15 ).
Рис. 15. Рентгеновские плотности.
Сердце поглощает больше рентгеновских лучей, чем легкие; это создает анатомический контур сердца. Если две структуры имеют одинаковую плотность, их будет трудно различить. Пример: при отеке легких (следствие: повышенное поглощение рентгеновских лучей в легких) контур сердца/купол диафрагмы будет труднее различить из-за отсутствия разницы в плотности. Это явление, потеря рентгенографического контура, называется силуэтным признаком (рис.
16).
Нажмите, чтобы увидеть наложение
Рис. 16. Ретрокардиальная консолидация левой нижней доли. Медиальная сторона левой гемидиафрагмы более не очерчена резко (признак силуэта). Консолидация также создает ограниченную потерю объема; левая половина диафрагмы смещена в краниальную сторону (ателектаз).
Знак «Силуэт» может встречаться в разных местах. Каждая локализация сама по себе связана с определенной патологией доли легкого.
Краткое описание долей легкого + расположение знака силуэта (рис. 17) :
- Левая нижняя доля: левая полудиафрагма + нисходящая аорта
- Левая верхняя доля: дуга аорты
- Lingula: контур левой половины сердца
- Правая нижняя доля: правая гемидиафрагма
- Средняя доля: контур правых отделов сердца
- Правая верхняя доля: правая паратрахеальная
Рисунок 17. Расположение знака силуэта (желтые пунктирные линии) в различных долях легкого.
RUL = правая верхняя доля, ML = средняя доля, RLL = правая нижняя доля, LUL = левая верхняя доля, LLL = левая нижняя доля.
Воздушная бронхограмма
Трахея и два главных бронха хорошо видны на рентгенограмме грудной клетки из-за разницы в абсорбционной способности воздуха и жира средостения. Ближе к периферии наполненные воздухом бронхи имеют тонкие стенки и окружены заполненными воздухом альвеолами. В результате периферические бронхи не видны на рентгенограмме грудной клетки (знак силуэта!) . Линейные линии, видимые на нормальной рентгенограмме грудной клетки, представляют собой сосуды; эти заполненные жидкостью структуры хорошо контрастируют с окружающим воздухом.
Резюме: на обычной рентгенограмме грудной клетки анатомические границы периферических бронхов не видны. Однако из-за патологических изменений иногда удается различить бронхи. Когда альвеолы заполнены жидкостью (кровью, гноем, слизью, отеком, клетками) , а не воздухом, между альвеолами и бронхами возникает разница в плотности.





Рентген грудной клетки может выявить рак, инфекцию или скопление воздуха в пространстве вокруг легкого, что может вызвать коллапс легкого. Они также могут показать хронические заболевания легких, такие как эмфизема или кистозный фиброз, а также осложнения, связанные с этими состояниями.
У кардиостимуляторов и дефибрилляторов есть провода, прикрепленные к сердцу, которые помогают контролировать частоту сердечных сокращений и ритм. Катетеры представляют собой небольшие трубки, используемые для доставки лекарств или для диализа. Рентген грудной клетки обычно делается после размещения таких медицинских устройств, чтобы убедиться, что все расположено правильно.