Стадии рака лёгких. Booking Health
Выезд на лечение в Германию сейчас возможен!
Оформляем срочные медицинские визы для въезда в Германию!
Обращайтесь, мы знаем все про доступные авиарейсы по всему миру!
Рак легких – это первая по частоте причина смертности от онкологических заболеваний среди мужчин. Болезнь трудно лечится и в большинстве случаев поздно диагностируется. На каждой из стадий рака эффективны свои методики лечения – от роботизированных вмешательств до протонной терапии и применения иммунотерапевтических препаратов.
Содержание
- Что такое рак легких?
- Метастазы при раке легких
- Симптомы метастатического рака
- Принципы стадирования
- Начальные стадии рака легких
- Рак легких 2 степени
- Что такое рак легких 3 степени?
- Рак легких 4 степени
- Специализированные клиники и стоимость лечения
- Услуги Booking Health
- Стоимость хирургического лечения рака легких в разных странах
Что такое рак легких?
Одним из наиболее опасных онкозаболеваний является рак легких.
Что это такое? Это злокачественная опухоль, которая быстро увеличивается в размерах и дает метастазы. Мы с вами хорошо знаем, что вызывает рак легких – это, в первую очередь, курение. Об этом говорится в рекламе сигарет и даже написано на самой пачке. Тем не менее, люди продолжают курить и погибать от опасного злокачественного новообразования.
Немногие знают, что такое рак в легких на самом деле. Большинство людей думают, что опухоль растет из легочной ткани. На самом деле то, что называют раком легкого, по сути является злокачественным новообразованием бронхов. Именно из эпителия слизистой оболочки бронхиального дерева развивается опухоль. По гистологическому строению различают мелкоклеточный рак легких и немелкоклеточный рак легкого (включая плоскоклеточный рак легкого).
Особенности заболевания:
- Неблагоприятный прогноз. При раке легких около 50% пациентов не проживут и 1 года после постановки диагноза.
- Поздняя диагностика.
Особенно в случае периферического рака легких, когда он растет из мелких бронхов. Симптомов практически нет, либо они незначительны. Появляется кашель, но его курильщик воспринимает без особой настороженности, как проявление хронического бронхита. Болевым синдромом рак легких не сопровождается, что тоже становится причиной поздней диагностики заболевания. В легочной ткани чувствительные нервные окончания отсутствуют, поэтому боль появляется только после того, как опухоль дорастет до плевры. - Быстрое метастазирование. Легкие отвечают за насыщение крови кислородом. Поэтому они очень хорошо кровоснабжаются. Обилие лимфатических и кровеносных сосудов приводит к тому, что рак легких метастазирует очень быстро.
Метастазы при раке легких
Один из самых актуальных вопросов о раке легкого: на какой стадии рака легких появляются метастазы? Они формируются на 2 стадии в ближайших лимфоузлах. Рак легких с метастазами в отдаленных органах и тканях – это уже 4 стадия рака легких.
Существует три пути метастазирования опухоли:
- Гематогенный
- Лимфогенный
- Имплантационный
Раньше всего реализуется лимфогенный путь. Пульмональные лимфоузлы расположены в легочной ткани, в местах деления сегментарных бронхов. Бронхо-пульмональные – в воротах легких. Еще одна группа лимфоузлов, куда рак легких дает метастазы, – это трахеобронхиальные и бифуркационные. Находятся они в месте, где трахея делится на два главных бронха: правый и левый. Вдоль трахеи также располагаются паратрахеальные лимфоузлы. В дальнейшем метастазы рака легкого идут в околопищеводные лимфоузлы, вызывая клиническую картину опухоли пищевода. Появляется дисфагия – пища не проходит через пищевод.
При раке легкого метастазы также распространяются гематогенным путем – через кровь. С наибольшей вероятностью они появляются в печени, куда метастазирует рак легких у 42% пациентов (данные получены по результатам аутопсий). В почках метастазы обнаруживаются у 16% людей, погибших в результате этого онкозаболевания.
У 15% больных выявляются метастатические поражения костей и надпочечников. Нередко диагностируется рак легких с метастазами в головной мозг. Вторичные опухоли также могут быть обнаружены в костном мозге.
Как бы странно это ни звучало, но рак легкого метастазы дает и в легкие. Они обнаруживаются у 24% пациентов по данным аутопсий. Как уже было сказано, заболевание, несмотря на его название, первично развивается из слизистой оболочки бронха. Но в дальнейшем по кровеносным сосудам метастазы могут распространяться в легочную ткань. Появляются множественные очаги канцероматоза.
Наконец, осталось выяснить, куда метастазирует рак легкого имплантационным путем. Образование постепенно увеличивается в размерах и распространяется на плевру. Это оболочка, которая окружает легкие снаружи. В результате рака легкого с метастазами в плевре развивается канцероматоз плевры и раковый плеврит.
Симптомы метастатического рака
Нередко первые симптомы, которые появляются при онкопатологии, обусловлены именно тем, куда рак легких дает метастазы.
Чаще всего клиника рака легких обусловлена появлением метастатических очагов в средостении. Опухоль метастазирует в лимфоузлы, которые быстро увеличиваются в размерах и сдавливают окружающие органы и ткани. Такая форма заболевания называется медиастинальной. Иногда метастазы рака легких поражают лимфоузлы вокруг верхней полой вены. Тогда наблюдаются отечность лица, одышка, цианоз (посинение) кожи, венозная сеть на грудной стенке.
Онкология легких с метастатическим поражением центральной нервной системы проявляется очаговыми симптомами. Могут возникать парезы, параличи, нарушения речи, зрения и других функций, в зависимости от расположения дочерних опухолей. Всех пациентов после обнаружения новообразования в легких обследуют с целью выявления метастазов в головном мозге. Большинство из них страдают от симптомов, связанных с поражением мозга, но в 10% случаев появление метастатических очагов в центральной нервной системе никак не отражается на состоянии пациента. Это связано с их расположением в «немых» участках головного мозга.
Орган, в который чаще всего метастазирует рак легких, — это печень. При её поражении наблюдается боль в правом подреберье. Может развиться желтуха, асцит (скопление жидкости в брюшной полости), появляется венозная сетка на животе. Клинические признаки зависят от локализации метастатических очагов и их размера. Со временем они приводят к развитию печеночной недостаточности. Нередко кровотечение из сосудов печени становится непосредственной причиной смерти при раке легкого. Такой исход более вероятен, если первичная опухоль имеет относительно небольшие размеры.
Принципы стадирования
Стадии рака легкого устанавливаются, исходя из трех параметров:
- Основная опухоль
- Ближайшие метастатические очаги
- Отдаленные метастазы
Они обозначаются буквами Т, N и М соответственно. Ниже рассмотрим основные обозначения, использующиеся при формировании диагноза и определения стадии рака легких.
Первичная опухоль
- Тх – обнаружены опухолевые клетки, но само новообразование не определяется, либо его оценка невозможна.

- Т0 – первичная опухоль отсутствует (заболевание вполне может манифестировать с появления метастатических опухолей, в то время как первичное новообразование остается очень маленьким и незаметным).
- Тis – рак на месте (не выходит за пределы бронха).
- Т1 – новообразование в легких имеет размеры не более 3 см, не выступает за пределы легочной паренхимы и не прорастает в плевру, по данным бронхоскопии не распространяется дальше долевого бронха.
- Т2 – новообразование имеет размеры больше 3 см, поражен главный бронх, наблюдается распространение опухоли на висцеральную плевру. Может присутствовать ателектаз – это спадение доли легкого, когда альвеолы не наполняются воздухом и не расправляются.
- Т3 – новообразование любых размеров распространяется на грудную клетку, диафрагму, средостение, плевру или сердечную сумку. Т3 также может определяться при ателектазе всего легкого или поражении главного бронха, когда опухоль находится меньше чем в 2 сантиметрах от киля трахеи (места её разделения).

- Т4 – диагностируется, когда опухоль прорастает в пищевод, сердце, магистральные кровеносные сосуды, трахею, позвоночник, отдаленные доли легкого, либо если развивается метастатический плеврит.
Регионарные метастазы
- Nх – не известно, имеются ли ближайшие метастазы
- N0 – обследование больного проведено, и метастазы отсутствуют
- N1 – присутствует метастатическое поражение прикорневых или интрапульмональных лимфоузлов
- N2 – поражены нижние трахео-бронхиальные лимфоузлы или узлы средостения, но только на стороне локализации первичного новообразования
- N3 – присутствуют метастазы рака легкого в надключичные или прикорневые лимфатические узлы на любой стороне относительно основной опухоли
Отдаленные метастазы
- Мх – не известно, присутствуют ли метастазы в отдаленных органах и тканях
- М0 – метастатических очагов нет
- М1 – обнаружены дальние метастазы
Начальные стадии рака легких
Принято считать, что у рака легкого 4 стадии.
Однако, если учесть, что начальных стадий у рака легких не одна, а три, то всего их шесть:
Скрытый рак. Обозначается как ТхN0М0. Это означает, что первичная опухоль не выявлена. Но смывы бронхов и их цитологический анализ показали присутствие атипичных клеток в исследуемом материале.
Стадия 0. Обозначается как ТisN0М0. Рак обнаружен. Но первичная опухоль ограничена слизистой бронха и не распространяется на паренхиму лёгких. Это благоприятная форма заболевания. Другое название – компенсированный рак. Это означает, что опухоль не может расти, потому что организм сдерживает её увеличение в размерах. На этой стадии новообразование может пребывать 5-10 лет и больше. Но диагностируется эта стадия рака легких крайне редко. Симптомов у больного нет. Соответственно, повода обследоваться тоже нет.
1 стадия. Рак легких первой стадии характеризуется отсутствием любых метастазов: как ближних, так и отдаленных. Подразделяется на две подстадии: А и В.
Отличаются они тем, что на подстадии А отмечается первичная опухоль Т1, в то время как для рака легких 1 стадии В характерно наличие новообразования Т2.
Рак легких 2 степени
2 стадия рака легких характеризуется появлением метастатических поражений близрасположенных лимфатических узлов. Но отдаленных очагов метастазирования еще нет.
По международной классификации рак легких 2 стадии подразделяется на такие же подстадии — А и В, что и рак 1 стадии. Уже на 2 стадии рак может иметь достаточно большие размеры, что оборачивается неблагоприятным прогнозом для жизни пациента. Но если первичное новообразование отвечает критериям Т3, то вторая степень диагностируется только при отсутствии регионарных очагов метастазирования. Если же они появляются, диагностируют рак легких 3 степени.
Что такое рак легких 3 степени?
Рак легких 3 стадии отличается от предыдущей стадии наличием регионарных метастазов. Размер опухоли может быть разным Т1, Т2 или Т3. Но если на второй стадии показатель регионарного метастазирования может быть только N1, что означает наличие метастазов только в прикорневых или внутрилегочных лимфоузлах на стороне поражения, то рак легкого 3 стадии в основном имеет обозначение N2.
То есть, регионарные метастатические очаги могут также обнаруживаться в узлах средостения или трахео-бронхиальных лимфатических узлах.
3 стадия рака легких делится на две подстадии: А или В. Подстадия А соответствует критериям регионарного метастазирования N2 или N1, если первичная опухоль соответствует Т3. Подстадия В диагностируется, если новообразование достигает значения Т4, но еще не имеет отдаленных метастатических очагов. Или если регионарное метастазирование соответствует показателю N3.
Рак легких 4 степени
Последняя стадия рака легких характеризуется очень просто. В ней нет никаких подстадий. Не важно, сколько и где присутствует регионарных метастазов. Не имеют значения размер и расположение первичной опухоли. Рак легких 4 стадии диагностируется, если присутствуют отдаленные метастазы – это основной и единственный критерий. Всех больных тщательно обследуют для оценки возможности проведения операции при раке легких. Радикальное лечение возможно, только если новообразование ограничено грудной клеткой.
В противном случае 4 стадия рака легких считается неоперабельной.
Пациентам назначают такие обследования для выявления отдаленных метастазов:
- Сцинтиграфию костей
- При отсутствии технической возможности – рентгенографию тех костей, где наблюдается болезненность
- МРТ или КТ головного мозга
Рак легких 4 стадии оперировать нет смысла. Все отдаленные метастазы удалить невозможно. Ведь для этого пришлось бы оперировать головной мозг, печень, удалять фрагменты костей и т.д. Но даже если обнаружен только один метастатический очаг, рак легкого 4 стадии все равно не лечится хирургическим способом. Ведь с высокой долей вероятности есть и другие отдаленные метастазы, которые либо не выявлены, либо не могут быть выявлены из-за микроскопического размера. Но со временем они увеличатся, поэтому радикальное лечение рака легких на последней стадии не проводят. Оно лишь продлевает страдания больного, но не увеличивает продолжительность его жизни.
Тем не менее, лечение рака легких 4 степени проводится при помощи лучевой терапии и химиопрепаратов. Это позволяет немного увеличить продолжительность жизни пациента – на несколько месяцев, а иногда даже на несколько лет.
Сколько живут при раке легких с метастазами, зависит от качества проведенного лечения, гистологического типа и локализации опухоли. Исходя из этих параметров, а также в зависимости от расположения метастатических очагов, показатели пятилетней выживаемости колеблются от 1 до 10%.
Специализированные клиники и стоимость лечения
Лечение рака легких проводится в отделениях пульмонологии крупных университетских клиник. Это дает возможность привлечь к терапевтическому процессу мультидисциплинарную команду специалистов и добиться успешных результатов лечения. Вот некоторые из таких клиник:
- Клиника Св. Винцентиуса – академическая клиника университета Фрайбург, Отделение пульмонологии
- Университетская клиника Гейдельберг, Отделение кардиологии, ангиологии и пульмонологии
- Университетская клиника Ахен, Отделение кардиологии, пульмонологии и ангиологии
- Университетская клиника им.
Гете Франкфурт-на-Майне, Отделение гастроэнтерологии, гепатологии, пульмонологии, аллергологии, эндокринологии и диабетологии - Университетская клиника Йена, Отделение кардиологии, ангиологии, пульмонологии и интенсивной терапии
Ориентировочная стоимость основных методов лечения рака легкого:
- Торакотомия с сегментарной резекцией опухоли при раке легкого – от 16 112 евро
- Видеоассистированная торакоскопическая (VATS) лобэктомия – от 24 005 евро
- Лобэктомия роботом da Vinci – от 28 510 евро
- Лечение рака легкого методом расширенной пневмонэктомии – от 21 330 евро
- Лечение рака легких методом эмболизации сосудов опухоли – от 5 118 евро
- Лечение рака легкого методом лучевой терапии – от 15 800 евро
- Лечение рака легкого методом протонной терапии – от 44 325 евро
- Лечение рака легкого методом химиотерапии – от 2 265 евро
- Пульмонологическая реабилитация – от 708 евро в день
Если до начала лечения нужно уточнить диагноз или более точно определить стадию рака, то проводится расширенная диагностика.
Услуги Booking Health
Как показывает статистика выживаемости, гораздо лучшие результаты лечения рака легких, включая рак легких 4 стадии, отмечаются в странах с высоким уровнем развития медицины. Многие люди предпочитают лечиться в Германии. В этой стране доступны современные методы радикального и консервативного лечения, позволяющие продлить жизнь пациенту и повысить её качество.
Но на этапе организации поездки на лечение пациенты сталкиваются с немалым количеством сложностей. Вот некоторые из них:
- Они не знают, какую клинику выбрать, чтобы получить лучшие результаты лечения.
- Нет адекватной информации о стоимости лечебных услуг.
- Трудно связаться с администрацией клиники – на запрос могут ответить через месяц или не ответить вовсе. А ведь рак легкого очень быстро прогрессирует, и помощь нужно получить как можно раньше.
- Языковой барьер препятствует комфортному общению с администрацией и медперсоналом клиники.
- При самостоятельном поиске переводчика, существует риск нанять человека, не владеющего медицинской терминологией.
Он может неправильно перевести медицинскую документацию. Это обернется в лучшем случае необходимостью проведения дополнительных диагностических процедур, а в худшем – неправильно выбранной тактикой лечения. - Пациенту приходится беспокоиться о таких моментах, как оформление визы, бронирование авиабилетов, поиск и бронирование гостиницы неподалеку клиники, трансфер из аэропорта в медицинское учреждение и т.д.
Компания Booking Health может взять все эти вопросы на себя. Мы поможем получить приглашение от клиники и поехать на лечение в Германию в максимально короткие сроки. Переведем медицинскую документацию, встретим вас в немецком аэропорту и доставим в клинику, предоставим переводчика, обеспечим любые условия проживания в Германии, решим все возникающие организационные вопросы.
Стоимость хирургического лечения рака легких в разных странах:
| Стоимость | |
|---|---|
| Германия | от 23 100 евро |
| Израиль | от 20 600 евро |
| Турция | от 18 700 евро |
Кроме того, обращение к нам позволит вам выбрать лучшую клинику и забронировать программу лечения по доступной цене.
У нас прямые договора со всеми крупными немецкими медучреждениями, мы предоставим вам страховку, поэтому вы сэкономите до 70% от стоимости медицинских услуг. Воспользовавшись сервисом Booking Health, вы избавитесь от ненужных забот и сможете сосредоточиться только на восстановлении здоровья.
Выбирайте лечение за рубежом и Вы, несомненно, получите отличный результат!
Авторы: Доктор Надежда Иванисова, Доктор Сергей Пащенко
Читайте:
Почему Booking Health – Вопросы и ответы
О преимуществах прохождения химиотерапии в клиниках Германии
Что такое стволовые клетки и их применение
Лечение в Университетской клинике Рехтс дер Изар Мюнхен
Отправить запрос на лечение
Какая продолжительность жизни при раке легких на разных стадиях?
Доктор Вадим Бережной Основатель платформы MediGlobus. Медицинский эксперт, Заведующий отделением врачей-координаторов.
Время чтения – 15 минут
ВОЗ сообщает, что каждый год рак легких диагностируется у более 2 миллионов человек. Это заболевание опасно, так как на первых стадиях проходит бессимптомно, а на последних степенях быстро прогрессирует и тяжело поддается лечению. Несмотря на это, болезнь возможно победить, даже при наличии метастазов. Специалисты MediGlobus собрали статистику выживаемости при раке легких из надежных источников – Американского общества онкологов, Национального института рака, Международной ассоциации изучения рака легких, Американской ассоциации легких. В этой статье вы узнаете сколько живут с раком легких на разных стадиях и какого образа жизни нужно придерживаться, чтобы не допустить рецидива. Читайте статью до конца и при необходимости – обращайтесь за лечением!
Слушать статью:
ПРОГНОЗ ЖИЗНИ НА 0 СТАДИИ РАКА ЛЕГКИХ
На стадии “in situ” раковые клетки присутствуют только в базальной мембране легких.
По классификации TNM рак легких на 0 стадии обозначается как Tis, N0, M0.
Онкология легких 0 степени излечима. Пациентам показана малоинвазивная хирургическая операция – клиновидная резекция. Она значит, что врач удалит небольшой участок пораженной ткани органа.
Выживаемость пациентов с раком легких на 0 стадии составляет 100%. Риск рецидива – низкий, при условии регулярных осмотров и соблюдений рекомендаций врача.
Самая большая сложность для пациентов с этим диагнозом – вовремя обнаружить наличие раковых клеток. На 0 стадии болезнь не проявляет никаких симптомов. Менее 5% людей начинают лечение онкологии на этом этапе.
Как обнаружить рак легких на 0 стадии? Онкологический чекап или генетическое тестирование помогут выявить опухоль на стадии “in situ”. Люди в высокой группе риска должны проходить обследования каждый год. В группу с высоким риском развития рака легких входят активные и пассивные курильщики, работники шахт или текстильных фабрик, жители городов с загрязненным воздухом, а также люди, подвергшиеся радиации.
ЗАПИСАТЬСЯ НА ГЕНЕТИЧЕСКОЕ ТЕСТИРОВАНИЕ
Во время генетического тестирования специалисты проанализируют более 300 генов, мутации которых могут привести к раку легких. Если у вас есть склонность к развитию онкологии, вы сможете начать лечение через 2 месяца и спасти свою жизнь.
Оставить заявку
ПРОДОЛЖИТЕЛЬНОСТЬ ЖИЗНИ ПРИ РАКЕ ЛЕГКИХ 1 СТЕПЕНИ
На 1 стадии у человека обнаруживают раковые клетки только в легких; опухоль не распространяется на лимфоузлы. Существует несколько подтипов рака легких первой стадии: 1a и 1b. По классификации TNM они записываются как T1N0M0 или T2N0M0. Они отличаются размером опухоли.
Пятилетняя выживаемость при раке легких 1 стадии составляет:
Что значит 5-летняя выживаемость?
Этот показатель говорит сколько людей прожили 5 лет. Например, если 5-летняя выживаемость пациентов с раком легких 1 стадии составляет 92%, это значит, что 92% людей с этим диагнозом прожили как минимум 5 лет.
На показатель выживаемости влияют разные факторы: возраст, наличие других заболеваний, предыдущее лечение, образ жизни. Чем более молод пациент, тем лучше его прогнозы. Общая 5-летняя выживаемость пациентов с раком легких 1 степени в зависимости от возраста составляет:
Срок жизни с раком легких у людей, которые никогда не курили больший, чем у курильщиков. Около 70% некурильщиков проживают больше 5 лет без рецидивов после лечения онкологии.
ЗАПИСАТЬСЯ НА ЛЕЧЕНИЕ РАКА ЛЕГКИХ 1 СТЕПЕНИ
На 1 стадии рак легких излечим. Для этого врачи совмещают хирургию с лучевой терапией или химиотерапией. В клиниках за рубежом вы сможете пройти лечение по безопасным протоколам. Оставляйте заявку для записи к онкологу.
Записаться к онкологу
СКОЛЬКО ЖИВУТ ПРИ РАКЕ ЛЕГКИХ 2 СТАДИИ?
На 2 стадии опухоль достигает крупных размеров и может распространиться на дыхательные пути или лимфоузлы. Врачи выделяют две подстадии болезни – 2а и 2b.
По классификации TMN вторая стадия рака легких отмечается как T2bN0M0 или T1aN1M0. На 2 стадии опухоль не метастазирует.
Опухоль в легких на 2 стадии хорошо поддается лечению. 5-летняя выживаемость при раке легкого 2 стадии составляет:
- подтип 2а – опухоль от 4 до 5 см, лимфоузлы не затронуты – 60%; подтип 2b – опухоль от 3 до 4 см, раковые клетки есть в лимфоузлах – 50%.
Продолжительность жизни больных раком легких зависит от пола. Прогнозы для женщин обычно лучше, чем для мужчин. Так, 60% женщин проживают 5 лет со второй стадией рака легких. Среди мужчин, пятилетний порог выживаемости преодолевают только 50% пациентов.
ЗАПИСАТЬСЯ НА ЛЕЧЕНИЕ РАКА ЛЕГКИХ 2 СТЕПЕНИ
Полное излечение опухоли в легких на 2 стадии возможно, однако это требует значительного опыта от доктора. В клиниках Турции, Германии, Израиля, Испании практикуют известные доктора Моше Инбар, Бартоломе Оливер, Фатих Агалар.
С нашей помощью вы можете записаться к настоящему знатоку своего дела.
Записаться к онкологу
ПРОДОЛЖИТЕЛЬНОСТЬ ЖИЗНИ ПРИ РАКЕ ЛЕГКИХ 3 СТАДИИ
На 3 стадии опухоль распространяется на лимфоузлы. Иногда она может поражать второе легкое или соседние доли. Раковые клетки обнаруживаются в бронхе, плевре, диафрагме.
Онкология легких третьей стадии делится на 3 подтипа: 3а, 3b и 3c. Выживаемость при раке легких 3 стадии составляет:
Показатели выживаемости тесно связаны с возможностью хирургического удаления опухоли – на стадиях 3b и 3c это практические невозможно. При неоперабельном раке легких только 13-26% живут больше 5 лет. Опытные врачи при наличии современного оборудования могут провести резекцию в таком сложном случае и это увеличит продолжительность жизни.
ЗАПИСАТЬСЯ НА ЛЕЧЕНИЕ РАКА ЛЕГКИХ 3 СТЕПЕНИ
Операция может увеличить продолжительность жизни при раке легких на 3 стадии. Зарубежные клиники принимают пациентов на лечение и могут вам помочь.
В их распоряжении – роботизированная хирургия Да Винчи и продвинутые методы медикаментозной терапии.
Оставить заявку на операцию
СКОЛЬКО ЖИВУТ С РАКОМ ЛЕГКИХ НА 4 СТАДИИ?
Четвертая стадия рака легких означает, что опухоль метастазировала в мозг, печень, кости и другие органы. Она также делится на два подтипа: 4a и 4b.
Рак легких на последней стадии неизлечим. Врачи могут улучшить самочувствие человека. Однолетняя продолжительность жизни при раке легких 4 стадии составляет:
- стадия 4а – метастазы затронули один орган – 15%; стадия 4b – метастазы в нескольких органах – 1-5%.
Несмотря на неутешительные прогнозы, некоторым пациентам удается прожить несколько лет с этим диагнозом. Этот результат достигается за счет применения продвинутых методов лечения, которые доступны лишь в некоторых клиниках мира. В их число входит иммунотерапия, CAR-T терапия, протонная терапия.
ПОЛУЧИТЬ ПОМОЩЬ В ЛЕЧЕНИИ РАКА ЛЕГКИХ 4 СТАДИИ
Многие клиники отказываются брать на лечение пациентов с метастатическим раком легких. Мы поможем вам найти госпиталь, где врачи предоставят необходимое лечение. С MediGlobus вы можете записаться на таргетную и протонную терапию. С нашей поддержкой вы запишитесь в клинику как можно быстрее. Оставьте свои контакты и мы перезвоним вам в течение 30 минут.
Записаться на лечение
СТАТИСТИКА ВЫЖИВАЕМОСТИ ПРИ РАЗНЫХ ВИДАХ РАКА ЛЕГКИХ
Рак легких делится на 2 вида: мелкоклеточный и немелкоклеточный. Немелкоклеточный рак легких встречается у 85% пациентов. Общая пятилетняя выживаемость людей с диагнозом немелкоклеточного рака легких составляет:
Немелколеточный рак легких делится на 3 типа: аденокарциному, плоскоклеточную карциному и крупноклеточную нейроэндокринную карциному.
ПРОДОЛЖИТЕЛЬНОСТЬ ЖИЗНИ ПРИ АДЕНОКАРЦИНОМЕ
В 50% случаев у людей диагностируют аденокарциному.
5-летняя продолжительность жизни людей с аденокарциномой легких составляет:
ВЫЖИВАЕМОСТЬ ПРИ ПЛОСКОКЛЕТОЧНОМ РАКЕ
Плоскоклеточный рак легких составляет 25% от всей случаев онкологий этого органа. Общая продолжительность жизни пациентов с плоскоклеточным раком легких составляет 24%. Пятилетняя выживаемость по степени распространенности:
ВЫЖИВАЕМОСТЬ ПРИ КРУПНОКЛЕТОЧНОЙ ОПУХОЛИ
Крупноклеточная нейроэндокринная опухоль встречается у 10% пациентов с раком легких. Она агрессивная и требует незамедлительного лечения. Пятилетняя выживаемость пациентов с нейроэндокринным раком легких:
ВЫЖИВАЕМОСТЬ ПРИ МЕЛКОКЛЕТОЧНОМ РАКЕ
Мелкоклеточный рак относительно редкий и встречается у 15% пациентов. Он тяжелее поддается лечению. Пятилетняя выживаемость при мелкоклеточном раке легких составляет:
ПРОЙТИ ЛЕЧЕНИЕ РАКА ЛЕГКОГО
В иностранных клиниках предлагают лечение всех видов опухоли в легких.
Наши врачи-координаторы могут связаться с клиникой и запросить индивидуальную программу лечения вместе с прайсом. Оставляйте свой номер телефона и наш координатор вам перезвонит.
Связаться с координатором
КАКОЙ МЕТОД ЛЕЧЕНИЯ ЛУЧШЕ ВСЕГО ПРОДЛЕВАЕТ ЖИЗНЬ ПАЦИЕНТОВ С РАКОМ ЛЕГКИХ?
Хирургическое удаление опухоли является самым надежным и безопасным методом лечения рака легких. Существует четыре типа операции при этом диагнозе:
На всех стадиях онкологии выживаемость связана с количеством удаленной легочной ткани. Чем большая часть легких сохраняется, тем дольше ожидаемая продолжительность жизни пациента. Количество удаленной ткани зависит от степени распространения опухоли. В зависимости от степени запущенности заболевания, пациенту назначают химиотерапию, радиотерапию или более серьезное лечение.
Тактика лечения рака легких с наилучшей выживаемостью на 0 стадии
При 0 стадии патологии проводят клиновидную резекцию, без химиотерапии или радиотерапии.
Этого достаточно, вылечить пациента и вывести его в 10-летнюю ремиссию или дольше.
Тактика лечения рака легких с наилучшей выживаемостью на 1 стадии
На 1 стадии рака легких рекомендуется лобэктомия для молодых пациентов и пневмонэктомия для людей старше 70 лет. Более 80% пациентов проживают 5 лет и больше после хирургического вмешательства, совмещенного с химиотерапией. Показатель 5-летней выживаемости при клиновидной резекции опухоли в легком на 1 стадии составляет 74%.
Тактика лечения рака легких с наилучшей выживаемостью на 2 стадии
Процент выживаемости после лобэктомии при раке легких составляет 31%, а после пневмонэктомии – 15%. Прием химиотерапии после операции увеличивает продолжительность жизни. 78% пациентов, которые прошли лобэктомию и химиотерапию проживают больше 5 лет. Пятилетняя выживаемость пациентов, которым полностью удалили легкое и провели химиотерапию составляет 62%.
Тактика лечения рака легких с наилучшей выживаемостью на 3 стадии
Сочетание предоперационной химиотерапии и лобэктомии является предпочтительной тактикой лечения.
Около 33% пациентов проживают больше 5 лет после лечения рака легких на стадии 3a. При сочетании неоадъювантной химиотерапии и пневмонкэтомии процент выживаемости составляет 20,7%.
Тактика лечения рака легких с наилучшей выживаемостью на 4 стадии
Проведение операции при 4 степени рака легких бывает невозможно. Традиционное лечение – это сочетание химиотерапии и радиотерапии. Однако в этом случае пятилетняя выживаемость пациентов очень низкая.
Современная зарубежная медицина предлагает альтернативные тактики лечения при помощи таргетной терапии, иммунотерапии и протонной терапии. Они позволяют продлить жизнь людей с метастатическими опухолями в легких.
Выживаемость пациентов после курсов протонной терапии
Протонная терапия – лечение путем облучения опухоли протонами. По сравнению с лучевой терапией она не вызывает сухости во рту и проблем с ЖКТ. 3-летняя выживаемость пациентов с неоперабельным раком легких после протонной терапии составляет 58%.
Этот метод лечения достаточно безопасен для пациентов старше 65 лет.
Выживаемость пациентов после курса таргетной терапии
Препараты таргетной терапии используют вещества, которые способны распознавать раковые клетки и уничтожать их. Успех лечения достигается за счет распознавания генетических мутаций, которые свойственны опухоли. В число наиболее эффективных таргетных препаратов для лечения рака легких входят Тарцева, Ксалкори, Зикадия. Журнал Journal of Thoracic Oncology опубликовал исследование, которое показало, что после курса лечение препаратом Ксалкори, 50% пациентов с опухолью легких 4 стадии прожили больше 5 лет.
Выживаемость пациентов после курса лечения Кейтрудой
Иммунотерапий Кейтрудой считается революционным методом помощи пациентам. Пембролизумаб вдвое увеличивает продолжительность жизни людей с метастатическим немелкоклеточным раком легких. Так, около 32% пациентов прожили больше после курса Кейтруды.
В это время только 16% пациентов преодолели 5-летний порог выживаемости после химиотерапии. Терапия Кейтрудой подходит пациентам с высокой активностью белка PD-L1. Для определения показаний нужно пройти специальное генетическое тестирование.
ПРОЙТИ ЛЕЧЕНИЕ РАКА ЛЕГКИХ
Врачи-координаторы MediGlobus помогут вам записаться на операцию, химиотерапию, радиотерапию, иммунотерапию, протонную терапию или таргетную терапию. Оставьте заявку, чтобы получить помощь специалиста.
Записаться на лечение
КАК ЖИТЬ С РАКОМ ЛЕГКИХ?
Продолжительность жизни после успешного лечения рака легких зависит от образа жизни пациента. Доктор Линн Элдридж предлагает соблюдать такие правила, чтобы продлить жизнь при раке легких:
Резюме
На 0 стадии выживаемость пациентов с немелкоклеточным раком легких составляет 100%. На 1 стадии от 68% до 92% пациентов проживают 5 лет. На 2 стадии этот показатель снижается до 50-60%. При раке легких 3 степени выживаемость пациентов составляет 12-36%.
На 4 стадии от 2% до 15% пациентов преодолевают пятилетний порог выживаемости. Общая выживаемость людей с аденокарциномой составляет 40%; при плоскоклеточном раке – 24%; при крупноклеточных нейроэндокринных опухолях – 36%. При мелкоклеточном раке легких 40% людей проживают 5 лет на 1 стадии, 27% пациентов – при 2 стадии, 16% людей – на 3 степени и только 3% пациентов – на последней стадии. Лобкэтомия является самым предпочтительным методом хирургии при раке легких. В сочетании с химиотерапией она повышает выживаемость пациентов на 47%. Некоторые факторы могут повысить шансы на долгую жизнь. Так, люди, которые никогда не курили, имеют большую выживаемость, а женщины с раком легких живут на 10-20% дольше, чем мужчины. Возраст также важен: пациенты до 50 лет имеют большую продолжительность жизни после лечения, чем люди после 65 лет. Чтобы продлить жизнь после успешной терапии рака легких, нужно бросить курить, посещать врача каждые 3 месяца и сдавать анализы, соблюдать диету, снизить употребление добавок с бета-каротином и сохранять оптимистичный настрой.
Если у вас остались вопросы – свяжитесь с нашими координаторами. Мы проконсультируем вас о методах лечения и посоветуем клинику, подходящую по расположению и бюджету. Мы понимаем, что вам нужна помощь как можно скорее, поэтому отвечаем оперативно. .
Получить бесплатную консультацию
Источники:
- 1. Stages of Lung cancer
- 2. ASCO – Stages of non-small lung cancer
- 3. Lung cancer on zero stage
- 4. Lung cancer on 1 stage
- 5.Lung cancer on 2 stage
- 6. Lung cancer on 3 stage
- 7. Lung cancer on 4 stage
- 8. Life with lung cancer
- 9. Adenocarcinoma survival rate
- 10. Squamous cell carcinoma survival rate
- 11. Large-Cell Neuroendocrine Lung Cancer survival rate
- 12.Small-cell lung cancer survival rate
- 13. Keytruda and lung cancer survival rate
- 14.Proton therapy and lung cancer
Доктор Вадим Бережной
Основатель платформы MediGlobus.
Медицинский эксперт, Заведующий отделением врачей-координаторов.
Работает в сфере медицинского копирайтинга 2 года. Учится на аспирантуре факультета психологии. Автор нескольких научных публикаций в области клинической психологии. Дополнительно изучает физиологию ЦНС, нейропсихологию и психиатрию. В свободное время изучает практики mindfulness и проводит психологические консультации.
Похожие посты
Как работает вирусная терапия — прорыв в лечении рака кожи
Читать дальшеСколько живут с раком легких?
Онкологические заболевания дыхательного аппарата — это наиболее распространенная раковая патология в мире. А конкретно аденокарцинома легкого занимает самый большой сегмент в онкологии по всему земному шару. Именно поэтому вопрос, сколько живут с раком легких, столь актуален и волнует большое количество онкологических больных.
Сразу стоит акцентировать внимание на том факте, что очень точную статистику и конкретные цифры получить представляется затруднительным. Дело в том, что отличаются не только опухоли по виду, но и даже каждый конкретный вид рака у разных людей протекает по-разному, соответственно, прогнозы могут отличаться. И тем не менее, приблизительные цифры по выживаемости есть.
Причины, факторы риска
Рак легких является одной из самых агрессивных форм онкологии, рано метастазирует и никак себя не проявляет на ранних стадиях, сложно поддается терапии. Однако, заболевание имеет высоко верифицированные факторы риска, поэтому в некоторой степени поддается профилактике.
В частности, исследованиями доказано, что в 90% случаев аденокарциномы легкого больные были заядлыми курильщиками табака. Это основная причина, которая повышает риск заболеть в несколько раз. Сотни канцерогенов, содержащихся в табачном дыме, повреждают до 70% всех генов из генома человека и, что важно, только через 5 лет они в большинстве восстанавливаются.
При чем исследованиями доказано, что повреждение ДНК идет уже в первые минуты после вдыхания табачного дыма.
Кроме этого, повышают вероятность заболеть плохая экология, загрязненный воздух, гиподинамия и низкий уровень медицинского обслуживания в стране. Комплекс факторов может привести к тому, что диагностируется рак легких 4 степени. Сколько живут такие пациенты? Рассмотрим детальнее.
Продолжительность жизни при раке легких
В связи с тем, что заболевание протекает очень агрессивно и не имеет специфических начальных признаков, прогноз в основном неблагоприятный. Однако, это в значительной степени коррелирует, в зависимости от индивидуального случая.
Ключевой фактор, от которого зависит выживаемость пациента с раком легких, является стадия, на которой выявлено заболевание и качество оказанного лечения. Так, пятилетняя выживаемость всех видов онкологии на 1й стадии на 80% выше, чем у пациентов с 3 или 4 стадией. Эти же цифры в 2, а иногда и в 3 раза отличаются, если сравнивать лечение рака в странах СНГ и на западе — Европа, Израиль, США.
Не стоит недооценивать инновационные и экспериментальные методы диагностики и лечения. Благодаря многим таким методикам пациенты живут с 4 стадией рака легких, более того, получая симптоматическое лечение, не страдает и качество жизни.
Выживаемость с первой стадией рака легкого
Если заболевание было выявлено на начальной стадии (что бывает достаточно редко), 5-летняя выживаемость пациентов составляет около 60% в странах СНГ и более 85% в Израиле. Как видно, применяются современные методики лечение рака легких в Израиле, в том числе, генная терапия, применение моноклональных антител и молекулярная терапия, могут помочь сохранить пациенту жизнь.
Рак 2 стадии: сколько можно прожить?
На второй стадии аденокарцинома легких выявляется уже намного чаще. Здесь уже присутствуют определенные симптомы и закономерности, проявляются рентгенологические критерии и изменения в анализе крови. Сколько живут при раке легких 2 стадии? Прогноз 5-летней выживаемости в среднем составляет 30-40% в странах бывшего СССР и от 70% в Израиле и США. Цифры, опять же, довольно сильно колеблются.
Очень многое зависит от выбранной тактики лечения, агрессивности конкретной опухоли, наличия метастазов в сторожевых лимфоузлах, которые определяются при диагностике. Стоит отметить, что в Израиле используется позитронно-эмиссионная томография (ПЭТ-КТ), которая позволяет выявить конгломераты в лимфоузлах микро размеров, недоступные другим диагностическим методам.
Продолжительность жизни при раке легких 3 стадии
Третья стадия заболевания уже является довольно запущенной, однако, в отличие от стран СНГ, в Израиле
для онкологов нет нереализуемых задач, и от больных никто не отказывается. Сколько живут при раке легких 3 стадии? В среднем пятилетняя выживаемость в странах третьего мира составляет около 15%, в развитых странах — около 40%.Выживаемость в течение 1 года — в странах СНГ до 30%, в Израиле, Европе и США — около 55%.
Если лечиться в хорошей клинике, используя современные мировые протоколы, высокотехнологичное оборудование, очевидно, что несколько лет можно прожить даже на 3 стадии рака легкого. Кроме этого, качество жизни в случае правильного лечения, будет гораздо выше.
Рак 4 стадии: сколько живут?
В случае обнаружения рака легких на последней, запущенной стадии, прогноз неутешительный. В большинстве ситуаций все, что остается врачу — симптоматическое лечение, облегчение страданий пациента. Сколько живут с раком легких 4 стадии? Здесь статистика разнообразна. В странах СНГ, такие пациенты не доживают до 1 года почти во всех случаях. Это связано с тем, что уже есть метастическое поражение множества ближайших и отдаленных органов, полиорганная недостаточность и системные нарушения.
В странах с развитой медициной, паллиативное лечение и экспериментальная терапия может позволить прожить больным больше года. Продолжительность жизни при раке легких 4 стадии более года — это считается уже огромным достижением врачей и силой воли самого пациента.
Не смотря на пессимистические сценарии, терять надежду на излечение все же не стоит. В Израиле и других развитых странах постоянно идут новые исследования и клинические испытания новых препаратов. Это и таргетные иммунопрепараты и генная модификация клеток и использование моноклональных антител. Бывают ситуации, когда считавшиеся безнадежными больные попадают под программу таких исследований и могут участвовать в такой терапии.
Так, в 2014 году в США было полностью излечено несколько пациентов с 4й стадией рака и массовыми метастазами с помощью экспериментальной методики инъекции модифицированных Т-киллеров (иммунных клеток), которые запрограммировали на борьбу с раковыми клетками.
Основные причины смерти при раке легких
Как умирают при раке легкого? Основные причины три:
- метастазирование опухоли в жизненно важные органы;
- острая дыхательная недостаточность;
- массированное кровотечение из сосудов легких.
Так как аденокарцинома легких метастазирует в плевру, средостение и окружающие ткани — у заболевания может быть масса осложнений, которые также могут повлечь за собой летальных исход, если не будет оказана своевременная помощь.
Сколько осталось жить при метастазах в легкие? Если речь идет не о первичной опухоли в легких, а об метастазах из другого начального очага — здесь прогноз также неутешительный. Независимо от того, где находится первичная опухоль, 1-летняя выживаемость при удаленных метастазах колеблется в районе 30-40%.
Таким образом, выживаемость и прогноз при раке легкого в целом неблагоприятный, однако в значительной степени отличается, в зависимости от ряда факторов. Сколько можно прожить и главное, как, зависит от стадии болезни и от врачей, к которым попал пациент. Поэтому, доверить самое ценное для человека, жизнь, можно лишь грамотным специалистам и клинике с именем.
Убивает тихо и быстро. Что нужно знать об одном симптоме рака лёгкого | ЗДОРОВЬЕ
«До эпохи массового производства сигарет и их широкой доступности рак лёгкого был казуистикой», — говорит заведующий торакальным отделением Свердловского областного онкологического диспансера Максим Руденко.
Скрытое течение
Рада Боженко, «АиФ-Урал»: Максим Сергеевич, правда ли, что рак лёгких занимает лидирующую позицию по смертности?
Максим Руденко: Если брать всех вообще, кто умер от онкологических заболеваний, то среди мужчин рак лёгких как причина смерти стоит на первом месте (среди женщин – рак молочной железы). Этот вид рака вообще больше распространён среди мужчин, поскольку среди них больше курящих.
— То есть курение – фактор риска?
— Начнём с того, что рак лёгкого – собирательное понятие, на самом же деле его видов немало. Так вот, возникновение плоскоклеточного рака лёгкого, растущего из бронхов (его отличительная особенность в том, что он наименее поддаётся лекарственному лечению), обусловлено табакокурением. То есть это не просто фактор риска, это причина заболевания.
Среди всех пациентов, у кого выявлен рак лёгкого, один год переживает всего 50%. У более чем 70% пациентов злокачественное новообразование лёгкого выявляется на третьей и четвёртой стадиях. Тогда как самая высокая выживаемость (от 75 до 90%) регистрируется среди людей, у которых заболевание выявлено на первой стадии, но доля этих пациентов в среднем по России всего 11–12%. Плюс 14% — это вторая стадия, при которой 50% пациентов на фоне лечения переживают пятилетний рубеж.
— Печальная статистика. С чем это связано? С тем, что рак лёгких долго не выдаёт себя очевидными симптомами?
— Совершенно верно, для этого вида рака характерно скрытое течение, на ранней стадии заболевание не имеет выраженных клинических симптомов. Кроме того, это довольно агрессивная опухоль, которая выявляется тогда, когда уже есть либо метастазы, либо распространение в другие органы.
Кроме того, наш диспансер участвует в пилотном проекте по скринингу злокачественных новообразований лёгкого. Кто участвует в скрининге? Группа риска – это, прежде всего, курящие мужчины в возрасте от 45-50 лет или те, которые бросили курить ранее 15 лет назад.
Но выявление выявлением, а всё же лучше всего начать с профилактики рака лёгкого.
А смысл?
— И в чем она состоит?— Однозначно – в отказе от курения! Причем не только активного, но и пассивного.
— Ну да, при этом бросив курить, 15 лет человек всё равно будет числиться в группе риска. В чём тогда смысл?
— Смотрите, после отказа от курения в течение 20 минут происходит снижение артериального давления и частоты сердечных сокращений. В течение 12 часов – снижение уровня оксида углерода в крови до нормального значения. В течение 48 часов восстанавливаются нервные окончания, ощущения запаха и вкуса. Трёх месяцев достаточно для улучшения кровообращения и функции лёгких. Если человек продержался без курения год, риск возникновения ишемической болезни сердца снижается вдвое; если пять лет, риск возникновения инсульта снижается до уровня некурящих людей, плюс значительное снижение риска развития некоторых видов рака (ротовой полости, глотки, мочевого пузыря, шейки матки). За десять лет вдвое снижается риск смерти от рака лёгкого, наблюдается значительное снижение развития рака гортани и поджелудочной железы. А за 15 – риск развития ишемической болезни сердца и обструктивной болезни лёгких. Как видите, причины отказа от курения весьма убедительны. И в этом отношении российское законодательство справедливо ограничивает нас от табачного дыма во многих общественных местах.
— Отказ от курения – единственная мера профилактики рака лёгких?
— Главная, но не единственная. Другими мерами профилактики также не следует пренебрегать. Скажем, стоит стараться избегать воздействия на организм канцерогенов, придерживаться рационального питания: употребление достаточного количества витаминов, бета-каротина, антиоксидантов, витамина Е также снижает риск возникновения рака лёгкого. Но! На фоне отказа от курения. Замечу, что до эпохи массового производства сигарет и их широкой доступности рак лёгкого был казуистикой.
У более чем 70% пациентов злокачественное новообразование лёгкого выявляется на третьей и четвёртой стадиях. Тогда как самая высокая выживаемость (от 75 до 90%).
— Таких исследований пока нет, думаю, судить о воздействии вейпов на организм можно будет позже, когда в поле зрения учёных попадут люди, имеющие многолетний опыт нового на сегодняшний день увлечения. То есть нынешняя молодежь. О результатах будущих исследований сегодня судить сложно, но есть ли смысл рисковать? Бог не дал нам, людям, дымохода, так зачем нам дымить?
— Какие методы лечения рака лёгких сегодня применяются?
— На сегодняшний день самый эффективный метод лечения – это хирургический (он применяется на первой стадии заболевания). Кроме того, используется химеотерапия, лучевые методы лечения и их комбинация.
Хирургическое лечение подразумевает удаление поражённой части лёгкого или всего лёгкого. Понятно, что при удалении доли лёгкого качество жизни не так страдает, как при удалении целого органа – в этом случае, бывает, люди погибают не от развития рака, а от осложнений со стороны сердечно-сосудистой системы, поскольку сердцу сложно работать с одним лёгким. Но мы в отделении торакальной хирургии Свердловского областного онкологического диспансера идём по пути органосохраняющих операций, делаем их всё больше и больше, тем более что сегодня в России и в нашем диспансере активно развивается малоинвазивная хирургия.
— Вернёмся к началу разговора. Я правильно понимаю, что рак лёгких на ранней стадии у человека – это, как правило, случайная находка?
— Совершенно верно. Люди, например, идут делать операцию на глаза или на сердце, и у них выявляется рак лёгкого.
[center_article: 2449011 {title: Статья по теме}]
«Игра» не стоит свеч
— На поздних стадиях рака лёгкого уже появляются его симптомы. Какие?— Специфических симптомов у рака лёгкого нет, они все схожи с симптомами любых лёгочных заболеваний. Допустим, кровохарканье может быть и при туберкулёзе, и при пневмонии (особенно вирусной), и при раке лёгкого. Одышка, повышение температуры также могут быть при банальной пневмонии. Но должна быть онкологическая настороженность. То есть, если пациент входит в группу риска, на эти симптомы следует обратить внимание с точки зрения онкологии. Но это больше касается медиков. А людям при любом длительном кашле следует идти к врачу, который выслушает и сопоставит жалобы, направит на флюорографию.
— Специалисты первичного звена здравоохранения, то есть врачи в поликлиниках, имеют настороженность по отношению к раку?
— Я не могу сказать за каждого конкретного человека. Но мы со своей стороны делаем всё возможное для повышения этой настороженности. Специалисты онкологического диспансера регулярно проводят лекции для первичного звена здравоохранения (есть даже клинические рекомендации по выявлению рака лёгкого для первичного звена), активно используют возможности телемедицины.
— Какие индивидуальные особенности влияют на то, что у одних курящих людей возникает рак лёгкого, а у других нет?
— Наследственная предрасположенность существует при любом онкологическом заболевании, при раке лёгкого в том числе. Если у кого-то в роду кто-то умер от рака лёгкого, я настоятельно рекомендую бросить курить, не стоит с этим «играть».Понимаете, мы не говорим, что если человек курит, то он обязательно заболеет раком лёгкого. Но те, кто болеет, все курят. Думаю, больше половины пациентов не оказались бы в нашем отделении, если бы не курили.
— Мы всё больше говорим про мужчин, а есть ли среди ваших пациентов женщины?
— Конечно. Более того, в последнее время женщин, у которых диагностирован рак лёгких, становится всё больше. Простой пример. Двадцать лет назад, когда я только начинал работать, у нас была одна женская палата, потом появилась необходимость открыть ещё одну, потом ещё…
— Сколько лет было самому молодому вашему пациенту?
— 23 года. И это была девушка.
Рак легких — прогноз выживаемости
Выживаемость в отношении рака легких – это очень серьезная тема. Большинство людей, получивших диагноз «рак легких», понимают, что существует вероятность не пережить это заболевание.
По статистике, приблизительно 25% пациентов с данным диагнозом являются потенциальными кандидатами на полное излечение с точки зрения хирургического вмешательства. У оставшихся 75% больных обнаруживаются неоперабельные опухоли, так как рак уже перешел в позднюю стадию развития или распространился в лимфатические узлы.
Навигация по статье
Как пройти дистанционное лечение рака в Израиле во время эпидемии коронавируса?
Прогноз при операбельных опухолях
Итак, 25% больных приходят к врачу с локализованной опухолью. Это, как правило, рак 1-й или 2-й стадии, при котором заболевание ограничивается пределами легкого. В некоторых случаях патология распространяется в местные – но не отдаленные по сравнению с первичной опухолью – лимфатические узлы. Таким пациентам обычно назначают хирургическую операцию.
Уточнить цену у специалиста
При раке легких могут быть выполнены:
- удаление доли легкого;
- полное удаление легкого.
При небольших опухолях хирург удаляет примерно половину легкого – так называемую «долю». Оперативное вмешательство в данной ситуации носит название «лобэктомия» и подразумевает удаление сегмента легкого, содержащего опухоль, вместе с близрасположенными небольшими лимфатическими узлами.
Около 50% пациентов, перенесших лобэктомию, полностью вылечиваются от рака легких. У другой половины, к сожалению, наблюдается рецидив. Поэтому даже среди 25% пациентов с локализованной опухолью рак рецидивирует примерно у половины больных.
Прогноз при неоперабельном раке легких
75% пациентов с неоперабельными опухолями пройдут курс лечения, включая, к сожалению, лечение достаточно тяжелыми препаратами. Им назначают химиотерапию, облучение радиацией. Примерно у 10% таких больных отмечается длительная выживаемость.
Итак, подавляющее большинство – около 70% – пациентов с раком легких, к сожалению, рано или поздно умирают от этого заболевания. Тем не менее, в последнее время показатели выживаемости возросли. Пусть даже у 70% пациентов выживаемость не превышает 5 лет, общая статистика значительно улучшилась. Сейчас даже больные метастатическим раком легких живут 1 или 2 года. Сейчас достигнута точка в развитии медицины, когда примерно 50% всех пациентов с метастатическим раком легких живут приблизительно 1 год начиная с момента постановки диагноза. Между тем, в прошлом данный показатель составлял лишь 10-20%.
В целом, за последние несколько десятилетий показатели выживаемости увеличились в 2 раза. Хотя рак легких остается тяжелым заболеванием, плохо поддающимся лечению – особенно в случаях, когда хирургическая операция противопоказана или нецелесообразна, – статистика выживаемости значительно улучшилась благодаря изобретению более эффективных методов лечения рака в Израиле.
Как качество препаратов влияет на излечение от рака
Медикаментозное лечение (химиотерапия, таргетная и иммунная терапия) является основным на поздних стадиях рака легких. В этом случае успех лечения зависит главным образом от качества лекарств. Оптимальный вариант — приобрести израильские препараты, соответствующие самым высоким мировым стандартам.
- Подделка медикаментов в Израиле полностью исключена.Законом предусмотрена уголовная ответственность аптеки и фармацевта за продажу некачественного препарата. Израильский Минздрав постоянно организует контрольные закупки лекарств в аптеках.
- В Израиле инновационные лекарства быстро проходят лицензирование.В отличие от некоторых других стран, например США, здесь нет долгой бюрократической процедуры утверждения новых препаратов.
- В Израиле работает крупнейшая фармацевтическая компания – TEVA. Продукцию этой компании используют в 60 странах мира.
Где можно приобрести лекарства израильского производства?
- В Израиле. Пройдя обследование в онкоцентре Ихилов, вы сможете приобрести назначенные вам препараты в израильской аптеке.
- По месту жительства. Онкоцентр предоставляет пациентам медицинские услуги онлайн – в рамках телемедицины. В этом случае вы сможете заказать на дом лекарства, которые выпишет вам израильский онколог после дистанционной консультации.
Узнать правильно ли назначено лечение
5 советов израильского врача по лечению рака легких
- Убедитесь в правильности поставленного вам диагноза.Примерно в 30% случаев у пациентов с постсоветского пространства, которые приезжают в Израиль для лечения рака легких, неправильно определен вид опухоли. Поэтому имеет смысл привезти в израильскую клинику стекла или блоки с материалом биопсии – и израильские патологи выполнят их проверку (ревизию).
- Поинтересуйтесь, показана ли вам ПЭТ-КТ. Это исследование позволяет точно определить распространенность онкологического процесса в легких и обнаружить все очаги опухоли.
- Узнайте, можно ли в вашем случае заменить открытую операцию торакоскопической. Такое вмешательство не требует вскрытия грудной клетки – оно выполняется через небольшие разрезы между ребрами. Это облегчает послеоперационное восстановление пациента. Торакальные хирурги онкоцентра Ихилов имеют большой опыт проведения таких операций.
- Выясните у специалиста, какие новые методы лечения вашего вида опухоли появились в последнее время. Израильские онкологи знают, что инновационные протоколы лечения, включающие таргетные и иммунные препараты, внедряются в клиническую практику постоянно. Такое лечение будет более эффективным и безопасным.
- Если вам назначена дистанционная лучевая терапия, узнайте, есть ли возможность применить технологию IGRT (радиотерапию под визуальным контролем). Этот метод, широко используемый в Израиле, позволяет более точно облучить опухоль, расположенную в движущемся органе – в том числе в легких, которые смещаются при дыхании. В этом случае радиация не повредит окружающие здоровые органы и ткани.
Стоимость лечения рака легких в Израиле
Приведем расценки на некоторые диагностические и лечебные процедуры при раке легких в онкоцентре Ихилов.
| Вид диагностики или лечения | Стоимость |
| Компьютерная томография | 423$ |
| Прием онколога | 511$ |
| Лабораторное исследование на мутацию гена KRAS | 124$ |
| Лабораторное исследование на онкомаркер CEA | 16$ |
| МРТ | 708$ |
| Молекулярный анализ генотипа опухоли | 2844$ |
| Операция по удалению опухоли | 9461$ |
| ПЭТ-КТ | 1533$ |
Бесплатный Онкотест Онкоцентра Ихилов
НачатьПочему стоит лечить рак легкого в Израиле, в онкоцентре Ихилов?
- Персонализированный подход. Лечение рака легких в Израиле проводится с учетом молекулярно-генетического профиля опухоли. Это значит, что протоколы лечения подбираются индивидуально для каждого больного, после тщательной диагностики. В результате каждый пациент получает те препараты, которые наиболее эффективны именно для него.
- Врачи с мировым именем. В онкоцентре Ихилов лечением рака легких занимается профессор Офер Меримский – автор более 200 научных работ, всемирно известный онколог. Он проводит терапию по уникальным авторским протоколам.
- Новейшее оборудование. Онкоцентр располагает современным оборудованием для диагностики и лечения рака легких:
- Электромагнитная навигационная система SuperDimension Bronchus system дает возможность взять биопсию даже из труднодоступных участков легких.
- Линейный ускоритель Novalis TrueBeam STХ позволяет с максимальной точностью облучать опухоли легких высокими дозами радиации, не повреждая здоровые ткани.
В сентябре 2015 года я почувствовала комок в левой груди. Я не паникер, но я знала, что это может значить. У меня была назначена встреча через месяц с моим акушером-гинекологом, поэтому сначала я подумала, что подожду и поговорю об этом со своим врачом.
У меня была маммография всего шесть месяцев назад. Но после изучения информации в интернете, я поняла, что для безопасности нужно встретиться с врачом раньше.
Читать далее…За пять лет до того, как мне поставили диагноз, я тренировалась четыре раза в неделю и была в отличной форме. Друзья заметили, что я сильно похудела, но я просто думала, что это связано с моим активным образом жизни. В это время у меня постоянно были проблемы с желудком. Мои врачи рекомендовали безрецептурные препараты.
В течение месяца у меня также была постоянная диарея. Мои врачи не нашли ничего плохого.
Читать далее…В начале 2016 года я воспользовалась советом врача и сделала колоноскопию. Я никогда этого не делала до этого. Мой доктор показал мужу, и мне изображение толстой кишки. На изображении были видны два полипа. Врач указал на первое место на моей толстой кишке, заверив нас, что беспокоиться не о чем. Затем он указал на другое место и сказал нам, что, по его мнению, есть подозрение на рак. Во время процедуры он сделал биопсию, и ткань была проанализирована.
Читать далее…В 2011 году у меня начался кислотный рефлюкс. Это было неудобно и тревожно, поэтому я пошел к нашему семейному врачу для обследования. Во время визита он спросил меня, когда я в последний раз проверял свой антиген пса, рутинный тест, который многие мужчины делают, чтобы проверить возможные признаки рака простаты. Прошло около трех лет с тех пор, как я делал этот тест, поэтому он добавил его к моему визиту в тот день.
Читать далее…Моя история начинается с онемения. Однажды в 2012 году три пальца на моей левой руке внезапно потеряли чувствительность. Я сразу же записался на прием к врачу. К тому времени, когда врач меня смог принять, уже все прошло, но жена убедила меня все-таки пойти на консультацию. У меня был рентген, чтобы увидеть, есть ли какие-либо признаки повреждения позвоночника, возможно, от вождения грузовика. Когда на пленке появились какие-то…
Читать далее…Зимой 2010 года, когда мне было 30 лет, я почувствовала внезапную боль в правом боку. Боль была резкой и началась без предупреждения. Я сразу же отправилась в ближайшую больницу.
Врач получил результаты моего анализа крови, и он увидел, что мой уровень лейкоцитов был чрезвычайно повышен. Врач и другие, кто видел эти результаты, были встревожены и попросили гинеколога по вызову приехать ко мне сразу же.
Читать далее…Около трех лет я боролся с прерывистым кашлем. Он появлялся зимой и исчезал к весне, а потом я забывал о нем. Но осенью 2014 года это произошло раньше. В октябре моя жена позвонила местному пульмонологу. Первая встреча нам назначили через три месяца.
… В онкоцентре Ихилов мы встретились с торакальным хирургом. Решили полностью удалить узелок. Читать далее…Как начать лечение в Израиле?
Чтобы пройти лечение рака лёгких, вам нужно обратиться в онкологический центр, позвонив по номеру +7-495-777-6953 или +972-3-376-03-58. А также Вы можете оставить заявку на сайте, заполнив нужные поля. Наши консультанты перезвонят вам в течение 2 часов.
Вскоре вы получите план лечения рака лёгких в Израиле с предварительной ценой. Составление данного документа не обязует вас ни к каким действиям и является полностью бесплатным. К тому же нами гарантируется конфиденциальность всей предоставленной информации и соблюдение врачебного этикета.
Онколог с 20-летним стажем. Специализируюсь на подборе препаратов прикрытия, позволяющих нейтрализовать негативное влияние химиотерапии на организм пациента.
Этим болеют тысячи россиян. От болезни не застрахован никто: Наука и техника: Lenta.ru
Услышав диагноз «рак легкого», хочется сдаться и опустить руки. Это заболевание – самая частая причина смерти от онкологического заболевания у мужчин, а у женщин он уступает лишь раку молочной железы. Однако современные методы лечения помогают продлить жизнь пациента на годы, особенно когда опухоль диагностирована на ранних стадиях. «Лента.ру» рассказывает, какие варианты терапии доступны пациентам.
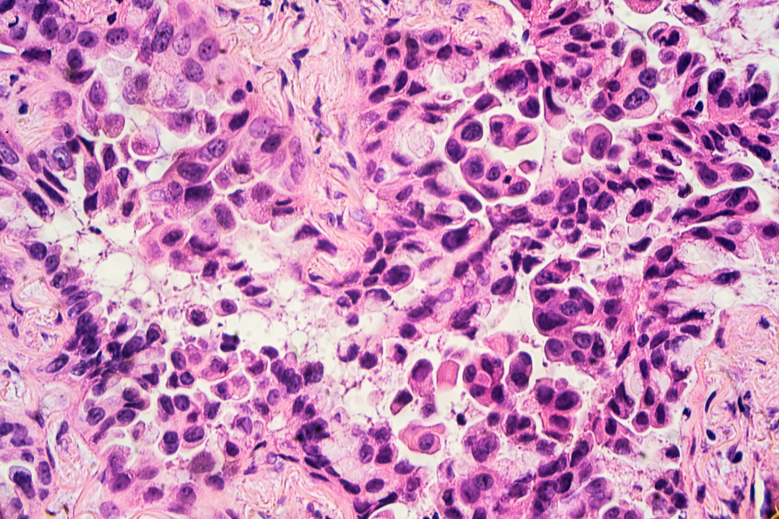
Рак легкого – это злокачественная опухоль, развивающаяся из эпителиальных клеток бронхов разного калибра. Когда клетки эпителия по тем или иным причинам начинают неконтролируемо делиться, возникает злокачественная опухоль, которая постепенно разрастается и вытесняет нормальные клетки эпителия.
Гистологический срез плоскоклеточного рака — одного из подтипов немелкоклеточного рака легкого
Изображение: librepathology.org
Рак легкого делится на типы в зависимости от того, как выглядят вышедшие из-под контроля клетки и какого они размера. Самый распространенный тип — немелкоклеточный рак легкого, который составляет примерно 85 процентов от всех случаев рака легкого.
Цитологическая картина мелкоклеточного рака легкого
Изображение: Wikimedia.org
Другой тип – мелкоклеточный рак легкого – встречается намного реже. Он опасен тем, что его клетки делятся очень быстро. В большинстве случаев такой рак рано распространяется и в другие органы через кровь или лимфу (дает метастазы). Вследствие раннего метастазирования, в том числе, в оба легких, эффективно удалить его хирургическим путем бывает невозможно. Вместе с тем, использование противоопухолевой химиотерапии замедляет рост опухоли, а в ряде случаев приводит к полному излечению; особенно эффективными являются комбинации противоопухолевых препаратов и сочетание лекарственного метода с лучевой терапией.
Немелкоклеточный рак легкого, напротив, более устойчив к химиотерапии, но его бывает легче удалить при помощи операции.
Подходящий метод лечения и эффективность терапии зависят не только от разновидности рака, но и от его стадии. Злокачественные опухоли врачи классифицируют по системе TNM.
Аббревиатура образована по первым буквам слов tumor (опухоль), nodes (лимфатические узлы), metastasis (метастазы). Эти параметры помогают оценить размер опухоли, а также степень ее распространенности. Существует также классификация опухолей по стадиям от I до IV — в зависимости от размера, расположения и наличия метастазов.
В зависимости от стадии рак легкого можно разделить на локализованный (I-II стадии) и распространенный (III-IV стадии).
Избавиться от локализованного немелкоклеточного рака легкого может помочь хирургическая операция, после которой до 60 процентов пациентов проживут минимум пять лет. Нередко больные, которых отказались оперировать по месту обращения, стремятся найти другого хирурга. Они собирают деньги на операцию, выезжают за рубеж, но не учитывают, что операцию можно выполнить далеко не каждому, а иногда оно будет опаснее, чем другие методы лечения. Больным с мелкоклеточным раком легкого удалить опухоль хирургически можно только в том случае, если поражено одно легкое.
После операции больному нередко назначают курс химио- или лучевой терапии на тот случай, если в организме еще остались клетки опухоли. Это снижает вероятность возвращения болезни (рецидива). Такой подход рекомендуется при немелкоклеточном раке легкого, начиная со стадии IIB. На третьей стадии, которая считается условно операбельной, используется комбинированное лечение с применением лучевой или химиотерапии (*).
Лучевая терапия может стать хорошим вариантом для лечения рака легкого в том случае, когда опухоль невозможно удалить хирургическим путем или существует риск операционных осложнений. Но в одиночку этот метод редко справляется, поэтому для усиления действия его сочетают с химиотерапией.
Химиотерапия для немелкоклеточного рака легкого может стать дополнением к хирургической операции. Она может стать и основным способом лечения для пациентов, которым операция по различным причинам не может быть проведена. Лекарства замедляют деление клеток или убивают их. Оба метода помогают продлить жизнь пациентов.
Для мелкоклеточного рака легкого химиотерапия будет основным лечением, зачастую в сочетании с лучевой терапией. Облучение уничтожает опухолевые клетки в лимфатических узлах, если заболевание распространилось и на них (**).
Преимущества лучевой и химиотерапии даются высокой ценой. Качество жизни пациентов ухудшают побочные эффекты: сильные боли, потеря волос, постоянная тошнота, когнитивные нарушения. При лечении страдают не только клетки опухоли, но и здоровые клетки организма. Комбинация этих подходов подойдет только пациентам с удовлетворительным общим состоянием (0-1 балл по шкале ECOG, основанной на степени двигательной активности, по которой определяется функциональный статус). К сожалению, несмотря на все эти жертвы, болезнь отступает далеко не всегда. Поэтому исследователи всего мира десятилетиями вели поиски более эффективных и безопасных методов терапии, при которых здоровые клетки не страдали бы.
Частичное решение данной проблемы было найдено в 1980-х годах. Именно тогда ученые экспериментально доказали, что клетки опухоли можно убивать при помощи лекарств, которые химически связываются со специфической «мишенью» — белками, располагающимися в большей степени на раковых клетках и, в меньшей степени на всех остальных клетках организма. Так появилась таргетная терапия (от английского target — «мишень»).
В борьбе против немелкоклеточного рака легкого применяется несколько типов таргетной терапии: препараты, влияющие на рост кровеносных сосудов, и препараты, воздействующие на специфические белки, которые появляются в клетках из-за генетических нарушений. Эти лекарства могут быть эффективны даже на поздних стадиях, а также в тех случаях, когда другая терапия не помогла или когда болезнь возвращается.
Препараты первого типа нацелены на белок, стимулирующий рост сосудов. Его подавление лишает опухоль питания.
Вторая группа препаратов нацелена на специфические белки, кодируемые генами EGFR, ALK или ROS-1, которые отвечают за деление и рост клеток. Некоторые мутации могут приводить к повышенному синтезу этих белков, из чего следует неконтролируемое деление и развитие опухоли.
Генетические нарушения или мутации, приводящие к избыточному синтезу белков, на которые нацелена таргетная терапия, есть у 10-35 процентов пациентов с немелкоклеточным раком легкого, поэтому данный вид лечения может применяться далеко не у всех больных. Что же делать остальным?
В последнее десятилетие набирает обороты новое направление в медицине — иммуноонкология. Несколько лекарств этого типа уже одобрены для лечения немелкоклеточного рака легкого. Как и в случае с таргетной терапией, важную роль играют белки на поверхности опухолевых клеток или биомаркеры. В одиночку иммуноонкологические препараты могут применяться примерно у одной трети больных, опухолевые клетки которых имеют экспрессию специфических белков на поверхности, но в комбинации с химиотерапией лечение может применяться вне зависимости от этого условия, то есть даже при отсутствии биомаркеров. Иммуноонкологические препараты изменили прогноз при немелкоклеточном раке легкого, поскольку при наличии в опухоли высокой экспрессии специфических белков каждый третий пациент живет более 5 лет (***).
Чтобы понять, как это работает, вспомним об исследованиях Джеймса Эллисона и Тасуку Хондзе, которые получили Нобелевскую премию по физиологии и медицине «за открытие терапии рака при помощи подавления негативной иммунной регуляции» в 2018 году. Что это значит и как это может быть связано с лечением злокачественных опухолей?
Иммунная регуляция — настройка интенсивности, с которой иммунитет реагирует на опасность, будь то бактерия, клетка опухоли или клетка, зараженная вирусом. Эта система похожа на полицию, которая должна охранять порядок в государстве. Если полиция сработает плохо, пропустит и не обезвредит нарушителей, у человека может возникнуть рак. Если же иммунитет будет чересчур строгим, то пострадают невиновные — обычные клетки, которые никому не угрожают. Такой сценарий может привести к аутоиммунным заболеваниям — например, диабету, псориазу, системной красной волчанке.
Нобелевские лауреаты исследовали белки под названием PD-1 и CTLA-4. Эти белки находятся на поверхности Т-клеток, или Т-лимфоцитов (одного из типов иммунных клеток). Оба белка становятся «выключателями» активированных Т-клеток, чтобы они не атаковали нормальные клетки организма. Различие между ними заключается в фазе иммунного ответа, в которой они действуют: CTLA-4 работает в фазу активации Т-лимфоцитов, PD-1 — непосредственно в месте уничтожения патогена (в т.ч., опухолевой клетки). Предотвращение активации PD-1 или CTLA-4 называется подавлением негативной иммунной регуляции.
Подробнее об этом виде терапии – в ролике Национального института здоровья США (на английском)
Эти белки действуют как контрольные точки, которые не дают Т-лимфоцитам вершить расправу слишком опрометчиво. Но если в организме уже развивается злокачественная опухоль, то иммунитет, судя по всему, работал слишком слабо. Поэтому ученые придумали блокировать эти и другие контрольные точки. Если не останавливать Т-клетки, они быстрее заметят нарушения и начнут сами сражаться против опухоли. Эта идея стала революцией в лечении рака и привела к рождению нового направления терапии. Неудивительно, что за нее вручили самую престижную научную награду.
Особенности организма пациентов — от генетики и общего состояния здоровья до вида рака, его распространенности и молекулярного подтипа — делают каждый случай индивидуальным. Врачи принимают решение о тактике лечения, учитывая множество характеристик. Поэтому если вы где-то услышали, что лучше всего от рака легкого помогает химиотерапия, таргетная, иммунотерапия или, наоборот, операция, это еще не значит, что такой подход будет лучшим для вас. Но узнав особенности опухоли, ее распространенность и наличие биомаркеров, можно вместе с лечащим врачом выбрать оптимальный план лечения.
Не всегда рекомендованная схема лечения срабатывает сразу, и приходится переходить на другую. Порой рак возвращается через годы после проведенного с эффектом лечения, и для этих случаев также можно подобрать действенные методы.
Современная медицина быстро движется вперед: вероятность продлить жизнь онкологическим больным есть даже в тех случаях, которые казались безнадежными еще десять лет назад. Но ничто так не повышает шансы на успех, как ранняя диагностика. Поэтому стоит уделять внимание к своему здоровью и регулярно проходить медосмотр: чем быстрее удастся заметить нарушения, тем выше вероятность, что будет поставлен своевременный диагноз. Благодаря этому можно будет обойтись малыми жертвами.
***
Информация предоставлена при поддержке ООО «МСД Фармасьютикалс», 119021, Россия, г. Москва, ул. Тимура Фрунзе, д.11, стр. 1, тел. +7-495-916-70-94
Необходима консультация специалиста здравоохранения.
RU-NON-00117 04.2020
* — Лактионов К.К., Артамонова Е.В., Бредер В.В., Горбунова В.А., Моисеенко Ф.В., Реутова Е.В. и соавт. Практические рекомендации по лекарственному лечению немелкоклеточного рака легкого. Злокачественные опухоли: Практические рекомендации RUSSCO #3s2, 2019 (том 9). С. 32–48.
** — Чубенко В.А., Бычков М.Б., Деньгина Н.В., Кузьминов А.Е., Сакаева Д.Д., Семенова А.И. Практические рекомендации по лекарcтвенному лечению мелкоклеточного рака легкого. Злокачественные опухоли : Практические рекомендации RUSSCO #3s2, 2019 (том 9). С.49–54.
*** — DOI: 10.1200/JCO.19.00934 Journal of Clinical Oncology 37, no. 28 (October 01, 2019) 2518-2527.
Метастатические опухоли легких
Легкие занимают 1-2 место по частоте поражения метастатическими (вторичными) опухолями. Это объясняется наличием в легких обширной и разветвленной сети капилляров (мелких сосудов) и тем, что легкое — первый орган, через который проходит венозная кровь после впадения в вены наиболее крупных лимфатических сосудов.
Частота и характер метастазирования зависят, как правило, от первичной локализации опухоли. Изолированное метастатическое поражение легких встречается в 6-30% случаев. Для некоторых локализаций злокачественных опухолей (саркомы мягких тканей, рак почки, хорионэпителиома матки) легкие являются как бы мишенью и в 60-70% случаев длительное время остаются единственным местом отдаленных метастазов.
Примерно у 1/3 больных с изолированным поражением легких наблюдаются единичные метастазы, которые в 70-90% случаев располагаются на периферии легких и потому могут подвергаться хирургическому или комбинированному лечению. Современные подходы к лечению позволяют добиться у части больных не только положительного эффекта, но и выздоровления. Таким образом, наличие метастазов в легкие не является основанием суждения об инкурабельности (неизлечимости) больного.
Гематогенные (путь распространения опухолевых клеток через кровь) метастазы наиболее характерны при оттоке крови из опухоли в малый круг кровообращения (саркомы, меланома, опухоли области головы и шеи, рак надпочечников, почек, матки, яичек, яичников). Злокачественные опухоли желудочно-кишечного тракта в первую очередь поражают печень, а затем уже легкие.
Лимфогенный (через лимфу) путь метастазирования характерен для опухолей легких, молочной железы, желудка, прямой кишки, поджелудочной железы.
Прогноз (исход) заболевания и тактика лечения зависят от многих факторов, важнейшими из которых являются:
- первичная локализация опухоли,
- стадия заболевания,
- срок до выявления метастазов в легкие по отношению ко времени радикального лечения,
- локализация метастазов,
- наличие или отсутствие легочной симптоматики,
- темп роста метастазов,
- поражение одного или обоих легких,
- число метастазов,
- наличие или отсутствие метастазов в области корня легкого и средостения,
- прорастание в грудную стенку,
- степень чувствительности метастазов к облучению и химиотерапии.
Клиническая картина
Клиническая симптоматика метастатических поражений легких зависит от наличия их связи с крупными бронхами, степени поражения легочной ткани и осложнений. Как и при первичном раке легкого, может наблюдаться кашель и кровохарканье.
Одышка возникает из-за вовлечения в процесс значительной части ткани легкого, при обтурации (закупорке) или сдавлении просвета крупного бронха, приводящего к ателектазу (спадению) доли или сегмента легкого.
Наличие одышки, общей слабости и сухого кашля у онкологического больного при отсутствии явных рентгенологических находок должно настораживать в отношении лимфогенного характера метастазирования.
При распространении опухолевого процесса на плевру, ребра или позвоночник у пациентов появляется боль. Симптомы заболевания могут возникать в результате воспаления вокруг опухоли, ее распада, самопроизвольного проникновения воздуха в плевральную полость, плеврального выпота (жидкости).
Диагностика
На первом этапе проводится рентгенологическое исследование грудной клетки, позволяющее во многих случаях выявить поражение легких. Для большинства гематогенных метастазов характерны четкие очертания, сохраняющиеся в течение длительного времени.
Метастатические узлы имеют различную плотность, которая соответствует плотности первичной опухоли. Так, метастазы хорионкарциномы имеют низкую плотность, метастазы остеогенной саркомы и аденокарциномы легкого способны образовывать костную ткань, а метастазы рака щитовидной железы и молочной железы, а также ободочной кишки — петрификаты (известковые отложения).
Компьютерная томография (КТ) (особенно спиральная) позволяет проводить более раннюю и точную диагностику легочных метастазов, размеры которых не превышают 0,5 см, особенно при их локализации под плеврой (субплеврально).
Магнитно-резонансная томография (МРТ) менее информативна для выявления очагов менее 3мм и показана в тех случаях, когда необходимо уменьшить лучевую нагрузку, например, у детей, и при длительном наблюдении за онкологическими больными.
Всем пациентам, которым планируется операция по поводу метастазов, необходимо проводить КТ грудной клетки и брюшной полости.
Другие методы исследования (УЗИ, КТ головного мозга, радиоизотопное исследование костей, исследование опухолевых маркеров и пунктата костного мозга) направлены на установление истинного распространения опухолевого поражения.
Лечение
При лимфогенном карциноматозе (обсеменении) легких даже раннее выявление не оказывает положительного влияния на исход заболевания. Более половины больных умирает в течение 3 месяцев, и целью исследований является предотвращение ненужных операций по поводу первичной опухоли.
При гематогенных метастазах возможно применение хирургического и комбинированного лечения. До недавнего времени показания к удалению метастазов из легких были строго ограничены. Основными требованиями являлись:
- наличие единичных метастазов,
- отсутствие первичной опухоли и местного рецидива,
- длительный (не менее 1 года) безрецидивный период,
- невысокий темп роста метастазов.
В настоящее время расширены показания к активному хирургическому лечению метастазов и количество операций по поводу метастазов в легкие растет.
Операбельность таких больных составляет от 80 и почти до 100%. Осложнения у первично оперированных больных по поводу метастазов в легкие наблюдаются в 5-12% случаев.
В соответствии с анатомическим расположением опухолевых очагов больным с двухсторонними множественными метастазами можно выполнять двухсторонние торакотомии (одномоментные или последовательные).
Вместо торакотомии возможно выполнение срединной стернотомии (рассечение грудины), которая, по мнению ряда хирургов, является менее травматичной и менее болезненной операцией, позволяющей осуществить полноценный осмотр обоих легких.
При торакоскопическом удалении метастазов, наряду с быстрым выздоровлением, удается избежать некоторых осложнений открытой операции (торакотомии), прежде всего — болей. Недостатком метода является невозможность пальпации (ощупывания) легкого и поэтому неспособность в некоторых случаях выявить очаги поражения размерами до 5 мм, которые видны на КТ.
При появлении новых метастазов повторные оперативные вмешательства технически сложнее и травматичнее. При этом чаще, чем при первичных операциях, выполняется удаление доли или всего легкого, а осложнения составляют до 14%.
Однако у больных с рецидивными и вновь возникшими метастазами повторная операция (особенно в комбинации с химиотерапией) позволяет нередко значительно увеличить продолжительность жизни.
Прогноз
Существенное влияние на прогноз заболевания оказывают:
- интервал от радикального лечения первичной опухоли и выявлением метастазов в легкие: появление метастазов в сроки до 12 месяцев после радикального лечения является неблагоприятным признаком;
- увеличение внутригрудных лимфатических узлов значительно ухудшает прогноз и ставит под сомнение целесообразность операции;
- размеры метастазов, превышающие 5 см, являются неблагоприятным фактором;
- быстрый рост метастазов указывает на неблагоприятный прогноз болезни.
Такие факторы, как пол, проведение лучевой терапии, сторона поражения, методы диагностики, наличие высыпаний на плевре, расположение метастаза на периферии или центрально, мало влияют на исход заболевания.
Как быстро распространяется рак легких? Ваши ответы на часто задаваемые вопросы
Рак легкого — один из самых распространенных видов рака. Перспективы человека с раком легких зависят от типа рака легких, стадии диагноза и общего состояния здоровья.
По данным Национального института рака (NCI), почти 229 000 человек в США получили диагноз рака легких в 2020 году. На рак легкого приходилось более 1 из 8 новых диагнозов рака в том году.
Рак легких локализован, когда он не распространился за пределы легких.Однако со временем он может распространиться на другие части тела. В NCI добавляют, что 5-летняя выживаемость при локализованном раке легких более чем в 10 раз выше, чем при раке легких, распространившемся на отдаленные части тела.
Получить диагноз «рак легких» может быть непросто, и у человека может возникнуть множество вопросов. В этой статье мы рассмотрим, насколько быстро может распространяться рак легких и как это влияет на восприятие человека с этим заболеванием.
Медицинские работники широко классифицируют рак легких как один из двух типов: мелкоклеточный рак легкого (МРЛ) или немелкоклеточный рак легкого (НМРЛ).
Различные типы рака легких растут с разной скоростью.
На НМРЛ приходится около 85% случаев рака легких. SCLC встречается реже, чем NSCLC, но имеет тенденцию к более быстрому распространению. Врачи также склонны диагностировать SCLC в среднем на более поздней стадии.
Рак легких лучше поддается лечению на ранних стадиях, но раннее обнаружение относительно редко. Примерно 57% всех случаев рака легких распространились за пределы грудной клетки к тому времени, когда врач диагностирует это состояние.
Это число увеличивается в случае SCLC.Американское онкологическое общество (ACS) сообщает, что 2 из 3 случаев SCLC уже распространились за пределы легких к моменту постановки диагноза.
По оценкам Американской ассоциации легких, более 12 000 жизней можно было бы спасти за счет усиления скрининга на рак легких у людей с высоким риском заболевания, включая тех, кто курил в анамнезе.
Чтобы узнать, распространился ли рак легких, медицинский работник может заказать такие тесты, как:
- анализы крови
- рентген грудной клетки
- МРТ
- КТ
- ПЭТ-сканирование
- сканирование костей
Эти тесты помогут им определить, локализуется ли рак в легких и грудной клетке или распространился на другие части тела.
На ранних стадиях рак легких может распространяться на близлежащие лимфатические узлы, но оставаться в грудной полости.
Однако со временем рак легких может распространиться на более отдаленные части тела посредством процесса метастазирования. Наиболее частыми местами появления метастазов рака легких в организме являются:
- печень
- кости
- мозг
- надпочечники в почках
Клетки рака легких могут распространяться в близлежащие ткани грудной клетки. или распространяться по телу через кровеносные сосуды или лимфатическую систему.
Внешний вид человека зависит от конкретного типа рака легких, стадии диагноза и общего состояния здоровья.
По данным NCI, общая 5-летняя выживаемость при раке легких в США составляет 20,5%. Это означает, что примерно 1 из 5 человек с раком легких будет жить в течение 5 лет или дольше после постановки диагноза.
Перспективы улучшаются, когда врач диагностирует и лечит рак легких на ранней стадии. В NCI добавляют, что более половины людей, которым поставлен диагноз локализованного рака легких, будут жить в течение 5 лет или дольше после постановки диагноза.
По мере совершенствования стратегий диагностики и лечения все больше людей выживают с этим заболеванием в течение десятилетия или дольше.
Выживаемость при НМРЛ выше, чем при МРЛ.
NSCLC
Согласно отчету ACS, 5-летняя выживаемость среди людей, которым поставили диагноз NSCLC в 2010–2016 гг., Составила:
- 63% для локализованного NSCLC
- 35% для NSCLC, распространившегося на близлежащие ткани
- 7% для НМРЛ, распространившегося на отдаленные части тела
Общая 5-летняя выживаемость для людей с НМРЛ составила 25%.
SCLC
Согласно отчету ACS, 5-летняя выживаемость среди людей, получивших диагноз SCLC в 2010–2016 гг., Составила:
- 27% для локализованного SCLC
- 16% для SCLC, распространившегося на близлежащие ткани
- 3% для SCLC, который распространился на отдаленные части тела
Общая 5-летняя выживаемость для людей с SCLC составила 7%.
Ранняя диагностика и лечение рака легких повышают выживаемость. Без лечения прогноз рака легких оставляет желать лучшего.
Обзор исследований 2013 года показал, что средняя продолжительность жизни людей с НМРЛ, не получающих лечения, составляет немногим более 7 месяцев. Обзор 2012 года показал, что время выживания для нелеченого МРЛ находится в диапазоне 2–4 месяцев.
Специалисты по лечению рака могут помочь ему взвесить потенциальные преимущества и риски лечения. Они могут учитывать следующие факторы:
- какой тип и стадия рака легких у человека
- их возраст и общее состояние здоровья
- их личные предпочтения и цели
Лечение может улучшить выживаемость, но может вызвать побочные эффекты, снижающие качество лечения. жизнь.
Рак легкого — это агрессивная форма рака, которая быстро распространяется. Показатели выживаемости улучшаются, но остаются низкими, особенно при МРЛ.
Ранняя диагностика и лечение повышают шансы человека прожить 5 лет или дольше с раком легких.
Людям, которые курили или когда-то курили, следует спросить врача, подходит ли им скрининг на рак легких.
Диагноз рака легких может быть страшным, но поддержка доступна. Человек может связаться со своей медицинской бригадой, чтобы узнать больше о стратегиях замедления распространения рака легких и улучшить прогноз.
Выживаемость при раке легких | Пятилетняя выживаемость при раке легкого
Показатели выживаемости могут дать вам представление о том, какой процент людей с таким же типом и стадией рака все еще жив в течение определенного времени (обычно 5 лет) после того, как им был поставлен диагноз. Они не могут сказать вам, сколько вы проживете, но они могут помочь вам лучше понять, насколько вероятно, что ваше лечение будет успешным.
Имейте в виду, что показатели выживаемости являются оценочными и часто основываются на предыдущих результатах большого количества людей, у которых был конкретный рак, но они не могут предсказать, что произойдет в конкретном случае человека.Эти статистические данные могут сбивать с толку и вызывать дополнительные вопросы. Поговорите со своим врачом о том, как эти цифры могут быть применимы к вам, поскольку он или она знакомы с вашей ситуацией.
Что такое 5-летняя относительная выживаемость?
Относительный коэффициент выживаемости сравнивает людей с таким же типом и стадией рака с людьми в общей популяции. Например, если относительная 5-летняя выживаемость для конкретной стадии рака легких составляет 60%, это означает, что люди, у которых есть этот рак, в среднем примерно на 60% выше, чем люди, у которых этого рака нет. рак жить не менее 5 лет после постановки диагноза.
Откуда эти числа?
Американское онкологическое общество полагается на информацию из базы данных SEER *, поддерживаемой Национальным институтом рака (NCI), чтобы предоставить статистику выживаемости для различных типов рака.
База данных SEER отслеживает 5-летнюю относительную выживаемость для немелкоклеточного рака легкого (NSCLC) и мелкоклеточного рака легкого (SCLC) в Соединенных Штатах, основываясь на том, как далеко распространился рак. Однако база данных SEER не группирует раковые заболевания по стадиям AJCC TNM (стадия 1, стадия 2, стадия 3 и т. Д.).). Вместо этого он группирует рак на локальные, региональные и отдаленные стадии:
- Локализованный: Нет никаких признаков того, что рак распространился за пределы легкого.
- Региональный: Рак распространился за пределы легкого на близлежащие структуры или лимфатические узлы.
- Отдаленный: Рак распространился на отдаленные части тела, такие как мозг, кости, печень или другое легкое.
5-летняя относительная выживаемость при немелкоклеточном раке легкого
Эти цифры основаны на людях, у которых был диагностирован НМРЛ в период с 2010 по 2016 год.
SEER этап | 5-летняя относительная выживаемость |
Локализованный | 63% |
Региональный | 35% |
Дальний | 7% |
Все ступени SEER вместе | 25% |
5-летняя относительная выживаемость при мелкоклеточном раке легкого
Эти цифры основаны на людях, у которых был диагностирован SCLC в период с 2010 по 2016 год.
SEER этап | 5-летняя относительная выживаемость |
Локализованный | 27% |
Региональный | 16% |
Дальний | 3% |
Все ступени SEER вместе | 7% |
Что такое числа
- Эти цифры относятся только к стадии рака, когда он впервые диагностирован. Они не применяются позже, если рак растет, распространяется или возвращается после лечения.
- Эти числа учитывают не все. Показатели выживаемости сгруппированы в зависимости от того, насколько далеко распространился рак. Но другие факторы, такие как подтип НМРЛ, изменения генов в раковых клетках, ваш возраст и общее состояние здоровья, а также то, насколько хорошо рак реагирует на лечение, также могут повлиять на ваше мировоззрение.
- Люди, которым в настоящее время поставлен диагноз NSCLC или SCLC , могут иметь лучший прогноз, чем показывают эти числа. Лечение со временем улучшилось, и эти цифры основаны на людях, которым был поставлен диагноз и которые лечились по крайней мере пятью годами ранее.
Рак легкого — немелкоклеточный: Статистика
НА ЭТОЙ СТРАНИЦЕ: Вы найдете информацию о количестве людей, которым ежегодно ставится диагноз НМРЛ. Вы также прочтете общую информацию о том, как выжить после болезни. Помните, что выживаемость зависит от нескольких факторов.Используйте меню для просмотра других страниц.
НМРЛ — наиболее распространенный тип рака легких, на который приходится 84% всех диагнозов рака легких.
Приведенная ниже статистика рака легких включает как мелкоклеточный, , так и NSCLC. В этом году примерно у 235 760 взрослых (119 100 мужчин и 116 660 женщин) в Соединенных Штатах будет диагностирован рак легких. Однако с середины 2000-х годов заболеваемость ежегодно снижалась примерно на 2%.
Число новых случаев рака легких у мужчин ежегодно снижается с середины 1980-х годов.У женщин число новых случаев, диагностируемых каждый год, начало снижаться в середине 2000-х годов. Показатели заболеваемости у мужчин снижаются быстрее, чем у женщин.
Чернокожие мужчины примерно на 15% чаще заболевают раком легких, чем белые. Чернокожие женщины на 14% реже заболевают раком легких по сравнению с белыми женщинами. Люди в возрасте 65 лет и старше более подвержены заболеванию. Средний возраст постановки диагноза — 70 лет.
Рак легких является вторым по распространенности раком и ведущей причиной смерти от рака мужчин и женщин.По оценкам, в этом году от этой болезни погибнет 131 880 человек (69 410 мужчин и 62 470 женщин).
На рак легких приходится около 25% смертей от рака. Однако уровень смертности от этой болезни снизился на 54% с 1990 года среди мужчин и на 30% среди женщин с 2002 года. С 2014 по 2018 год уровень смертности мужчин от рака легких снижался на 5% ежегодно. Смертность женщин от рака легких снижалась на 4% в год. Исследования показывают, что это снижение связано с тем, что больше людей бросают курить, больше людей бросают курить, а также благодаря достижениям медицины в диагностике и лечении.
Пятилетняя выживаемость показывает, какой процент людей живет не менее пяти лет после обнаружения рака. Процент означает, сколько из 100. 5-летняя выживаемость для всех людей со всеми типами рака легких составляет 21%. 5-летняя выживаемость для мужчин составляет 17%. 5-летняя выживаемость для женщин составляет 24%. 5-летняя выживаемость при НМРЛ составляет 25% по сравнению с 7% при мелкоклеточном раке легкого.
Однако важно отметить, что выживаемость зависит от нескольких факторов, включая подтип рака легких и стадию болезни.
Для людей с локализованным НМРЛ, что означает, что рак не распространился за пределы легких, общая 5-летняя выживаемость составляет 63%. Для регионарного НМРЛ, что означает, что рак распространился за пределы легкого в близлежащие области, 5-летняя выживаемость составляет около 35%. Когда рак распространился на отдаленные части тела, что называется метастатическим раком легких, 5-летняя выживаемость составляет 7%. Важно отметить, что новые методы лечения, такие как таргетное лечение и иммунотерапия (см. Типы лечения ), позволяют людям с метастатическим раком легких жить дольше, чем когда-либо прежде.
Ежегодно в США от НМРЛ излечиваются десятки тысяч человек. А некоторые пациенты с запущенным раком легких могут жить много лет после постановки диагноза. Иногда пациенты, которым говорят, что их рак легких неизлечим, живут дольше, чем многие, которым говорят, что их рак легких излечим. Важно помнить, что рак легких поддается лечению на любой стадии, и было доказано, что эти методы лечения помогают людям с раком легких жить дольше при лучшем качестве жизни.
Кроме того, важно помнить, что статистика выживаемости людей с НМРЛ является приблизительной. Оценка основана на ежегодных данных, основанных на количестве людей с этим раком в Соединенных Штатах. Также каждые 5 лет специалисты измеряют статистику выживаемости. Таким образом, оценка может не отражать результаты более точной диагностики или лечения, доступного менее чем за 5 лет. Поговорите со своим врачом, если у вас есть какие-либо вопросы по поводу этой информации. Узнайте больше о в статистике .
Статистика адаптирована из публикации Американского онкологического общества (ACS), Cancer Facts & Figures 2021 , веб-сайта ACS и Программы наблюдения, эпидемиологии и конечных результатов (SEER) Национального института рака (источники по состоянию на январь 2021 г.).
Следующий раздел в этом руководстве — Медицинские иллюстрации . Предлагает чертежи частей тела, часто поражаемых НМРЛ. Используйте меню, чтобы выбрать другой раздел для чтения в этом руководстве.
Ожидаемая продолжительность жизни при раке легких 4 стадии
Вопросы о продолжительности жизни часто возникают в первую очередь, когда кому-то ставят диагноз немелкоклеточный рак легкого (НМРЛ) 4 стадии, наиболее запущенную стадию заболевания, при которой рак распространился (метастазировал) из первичной опухоли в отдаленные органы. Среднее время выживания для людей с раком легких 4 стадии составляет около четырех месяцев, что означает, что 50% пациентов будут живы через четыре месяца после постановки диагноза.
Какой бы печальной ни была эта статистика, важно помнить, что у рака легких 4 стадии нет определенного курса. Многие проживут месяцы и даже годы дольше этого.
На время выживания могут влиять несколько факторов, некоторые из которых (например, курение) можно изменить. Новые таргетные методы лечения и иммунотерапия также помогают людям с раком 4 стадии жить дольше, с меньшим количеством побочных эффектов и с лучшим качеством жизни.
Характеристики рака легких 4 стадии
Рак легкого классифицируют по степени тяжести.Определение стадии НМРЛ помогает врачам выбрать наиболее подходящий курс лечения на основе вероятного результата, называемого прогнозом.
Стадия рака легких определяется с помощью системы классификации TNM, которая классифицирует тяжесть заболевания на основе трех условий:
- Размер и степень первичной опухоли (Т)
- Есть ли в ближайших лимфатических узлах раковые клетки (N)
- Произошел ли отдаленный метастаз (M)
При раке легких 4 стадии все три этих состояния имеют место.При этом степень метастазирования может варьироваться в зависимости от прогноза.
По этой причине с выпуском новой системы классификации TNM в 2018 году стадия 4 НМРЛ была разбита на два подэтапа:
- Рак легкого стадии 4а , при котором рак распространился из грудной клетки на противоположное легкое; или к слизистой оболочке легких или сердца; или жидкости вокруг легких или сердца (злокачественный выпот)
- Рак легких стадии 4b , при котором рак распространился на одну область за пределами грудной клетки, включая единственный нерегиональный лимфатический узел
- Стадия 4c рака легкого , при которой рак распространился на одно или несколько мест в одном или нескольких отдаленных органах, таких как мозг, надпочечник, кость, печень или отдаленные лимфатические узлы.
Рак легких 4 стадии неизлечим. Таким образом, лечение направлено на замедление прогрессирования заболевания, минимизацию симптомов и поддержание оптимального качества жизни.
Статистика выживаемости на этапе 4
Ожидаемая продолжительность жизни при раке легких на стадии 4 обычно оценивается с использованием пятилетнего коэффициента выживаемости, который оценивает процент людей, которые проживут по крайней мере пять лет после первоначального диагноза.
Эпидемиологи классифицируют пятилетнюю выживаемость одним из двух способов.
Показатели выживаемости по TNM Stage
Первый подход основан на стадии TNM; статистическое время выживания соответствует стадии заболевания.
| TNM Стадия рака легкого | Среднее выживание |
|---|---|
| M1a | 11,4 месяца |
| M1b | 11,4 месяца |
| M1c | 6,3 месяца |
В отличие от этого, однолетняя выживаемость при раке легких 4 стадии, как сообщалось в одном исследовании, составляла от 15% до 19%, что означает, что эта часть пациентов с метастатическим заболеванием прожила по меньшей мере в год.
Иллюстрация Хетал Ратод, VerywellВыживаемость в зависимости от степени заболевания
Второй метод оценивает выживаемость на основе степени рака в организме. Это подход, используемый программой Национального института рака по надзору, эпидемиологии и конечным результатам (SEER). Система SEER классифицирует рак по одной из трех более широких категорий:
- Локализованный : Рак, ограниченный легкими
- Региональный : Рак, распространившийся на близлежащие лимфатические узлы или структуры
- Отдаленный : Метастатический рак
Согласно системе классификации SEER, отдаленных болезней e и рака стадии 4 являются синонимами.
Единственным недостатком подхода SEER является то, что рак легкого стадии 4a и 4b объединен в одну категорию. Этот обобщенный подход не только дает гораздо более низкую оценку пятилетней выживаемости (5,8%), но и не отражает широкой вариабельности показателей выживаемости на стадии 4, особенно у людей с ограниченными метастазами.
| SEER Стадия при диагностике | Процент (%) Выжившие |
|---|---|
| Локализованный | 59% |
| Региональный | 31.7% |
| Дальний | 5,8% |
| Неустановленный | 8,3% |
Факторы, влияющие на выживаемость
Различия в показателях выживаемости подчеркивают одну ключевую реальность в отношении рака легких 4 стадии: не бывает двух людей с одинаковым заболеванием. Вероятно, больше, чем на любую другую стадию заболевания, выживаемость при раке легкого на стадии 4 зависит от множества факторов, некоторые из которых являются фиксированными (немодифицируемыми), а другие могут быть изменены (модифицируемыми).
Известно семь факторов, влияющих на время выживания людей с НМРЛ 4 стадии.
Иллюстрация Эмили Робертс, VerywellВозраст
Старший возраст связан с худшими результатами у людей с раком легких, независимо от стадии рака легких. Это связано с тем, что люди старше 70 лет часто имеют более слабое общее состояние здоровья и имеют иммунную систему, которая менее способна сдерживать рост опухоли.
Пожилой возраст влияет не только на прогрессирование заболевания, но и на выживаемость.Таким образом, если на момент постановки диагноза вам не исполнилось 50 лет, у вас более чем в два раза больше шансов прожить не менее пяти лет по сравнению с людьми 65 лет и старше.
| Стадия диагностики | Менее 50 | Возраст 50–64 | 65 и старше |
|---|---|---|---|
| Локализованный | 83,7% | 67,4% | 54,6% |
| Региональный | 47,7% | 36.6% | 28,3% |
| Дальний | 11% | 7% | 4,7% |
| Неустановленный | 32,1% | 15,4% | 6% |
По данным SEER, пятилетняя выживаемость для людей с раком легкого 4 стадии составляет 11% для людей моложе 50 лет; этот показатель снижается до 4,7% для лиц 65 лет и старше.
Секс
Мужской пол независимо связан с более неблагоприятными исходами у людей с раком легких в целом.У мужчин не только больше шансов заболеть раком легких, чем у женщин, но и у них больше шансов умереть в результате этого заболевания. Эти факторы способствуют несоответствию общей пяти- и 10-летней выживаемости женщин и мужчин.
| Пол | 5-летняя выживаемость | 10-летняя выживаемость |
|---|---|---|
| Женщины | 19% | 11,3% |
| Мужчины | 13,8% | 7.6% |
| Всего | 16,2% | 9,5% |
Что касается конкретно НМРЛ 4 стадии, мужчины также находятся в генетическом невыгодном положении. По сравнению с женщинами у мужчин меньше шансов иметь «излечимые» генные мутации, то есть те, которые поддаются лечению с помощью новейших целевых методов лечения, используемых для лечения 4 стадии болезни.
Интересно, что мужчины, прописанные таким препаратам, как кейтруда (пембролизумаб), как правило, имеют более низкую общую выживаемость, но более высокую общую выживаемость без прогрессирования, чем женщины.
Состояние производительности
Люди с НМРЛ 4 стадии обычно имеют симптомы. Однако это не означает, что все люди будут одинаково больны или нетрудоспособны. Возможны значительные различия в способности функционировать в повседневной жизни, которую врачи называют статусом работоспособности (PS).
Есть несколько способов измерения PS. Самая распространенная — это оценка PS по шкале Восточной совместной онкологической группы (ECOG), которая оценивает PS по шкале от 0 до 5. По системе ECOG оценка 0 означает, что вы полностью работоспособны, а оценка 5 означает смерть. .
Исследования показывают, что около половины всех людей с диагнозом рака легких 4 стадии будут иметь «хороший» PS, определяемый как оценка ECOG от 0 до 2. Почти все без исключения люди с PS в этом диапазоне будут жить дольше, чем люди с PS из 3, 4 или 5.
Используя шкалу ECOG PS Score, показатели выживаемости при раке легких и время (для всех стадий) распределяются следующим образом.
| Состояние производительности | 5-летняя выживаемость | Среднее значение общей выживаемости |
|---|---|---|
| 0 | 45.9% | 51,5 мес |
| 1 | 18,7% | 15,4 месяца |
| 2 | 5,8% | 6,7 месяцев |
| 3 | 0% | 3,9 месяца |
| 4 | 0% | 2,4 месяца |
| 5 | Не применимо | Не применимо |
Согласно исследованию 2015 года, опубликованному в PLoS One , среди людей с раком легких 4 стадии оценка ECOG, равная 0, означает не менее чем 11-кратное увеличение шестимесячной выживаемости по сравнению с оценкой ECOG, равной 4.
Статус курения
Бросить курить никогда не поздно. Согласно исследованию, опубликованному в Brazilian Journal of Pneumonology , даже среди людей с раком легких 4 стадии отказ от сигарет до начала химиотерапии может увеличить время выживания на целых шесть месяцев.
С учетом сказанного, последствия отказа от курения, а именно отказ от никотина, могут перевесить преимущества для заядлых курильщиков с плохим статусом работоспособности и запущенной стадией болезни 4.
Решение бросить курить в конечном итоге является личным, но это всегда следует обсуждать до начала лечения рака.
Расположение и тип рака легкого
Существует множество различных типов и подтипов НМРЛ, некоторые из которых более агрессивны, чем другие. Три наиболее распространенных типа:
- Аденокарцинома легкого , наиболее распространенная форма заболевания, которое в основном развивается на внешних краях легких
- Плоскоклеточный рак легкого , на который приходится от 25% до 30% случаев рака легкого и развивается в основном в дыхательных путях
- Крупноклеточная карцинома легкого , необычный тип НМРЛ, который может развиваться в любом месте легких и имеет тенденцию быть более агрессивным, чем другие типы
Эти характеристики могут влиять на время выживания у людей с НМРЛ 4 стадии.Более того, расположение опухоли — будь то в дыхательных путях (как в случае с бронхиолоальвеолярной аденокарциномой) или в самих тканях легких — может иметь большое значение в том, как долго человек выживает.
| Стадия 4 NSCLC Тип | Годовая выживаемость | 5-летняя выживаемость |
|---|---|---|
| Бронхиолоальвеолярная аденокарцинома | 29,1% | 4,4% |
| Небронхиолоальвеолярная аденокарцинома | 18% | 1.5% |
| Плоскоклеточный рак легкого | 14,6% | 1,6% |
| Крупноклеточный рак легкого | 12,8% | 1,1% |
Коморбидность
Примерно три из каждых четырех человек с прогрессирующим раком легких имеют другое хроническое заболевание, называемое сопутствующим заболеванием. Наличие одного или нескольких сопутствующих заболеваний не только осложняет лечение рака легких, но и существенно влияет на продолжительность жизни.
В целом, наиболее частыми сопутствующими заболеваниями у людей с раком легких являются хроническая обструктивная болезнь легких, диабет и застойная сердечная недостаточность.
Среди людей с раком легких 4 стадии есть две сопутствующие заболевания, которые самым непосредственным образом влияют на время выживания.
| Коморбидность НМРЛ 4 стадии | Снижение общей выживаемости |
|---|---|
| Застойная сердечная недостаточность | -19% |
| Цереброваскулярные заболевания (например, инсульт, аневризма или сосудистая мальформация) | -27% |
Генетические мутации
В последние годы лечение НМРЛ 4 стадии значительно изменилось с появлением таргетных методов лечения, одобренных специально для лечения метастатического рака легких.
В отличие от традиционных химиотерапевтических препаратов, эти препараты не атакуют все быстро реплицирующиеся клетки. Вместо этого они распознают и атакуют раковые клетки с помощью определенных «излечимых» мутаций. Благодаря этому меньше побочных эффектов для нормальных клеток и меньше побочных эффектов.
Не у всех есть эти генетические мутации, но если они есть, лекарства могут значительно улучшить время выживания. Три наиболее распространенные мутации:
- мутации EGFR , которые отвечают на целевые препараты, такие как иресса (гефитиниб), тарцева (эрлотиниб) и гилотриф (афатиниб)
- Перестройки ALK , которые отвечают на Xalkori (кризотиниб), Zykadia (церитиниб) и Alecensa (алектиниб)
- Мутации ROS1 , которые также отвечают на Xalkori (кризотиниб) и Zykadia (церитиниб), а также на Lorbrena (лорлатиниб) и Розлитрек (энтректиниб)
Влияние этих препаратов на время выживания было впечатляющим.В исследовании 2019 года, опубликованном в журнале Journal of Thoracic Oncology , с 2009 по 2017 год наблюдали 110 человек с НМРЛ 4 стадии, каждый из которых получал ксалкору в качестве терапии первой линии наряду с химиотерапевтическими препаратами.
Согласно исследованию, среднее время выживания для людей, получавших Ксалкори, составляло 6,8 года, что означает, что к тому времени 50% были еще живы. Напротив, только 2% из тех, кто не принимал наркотик, остались живы через пять лет.
Подобные результаты наблюдались у людей с мутациями EGFR или ROS1, хотя эффективность лечения может значительно варьироваться в зависимости от местоположения метастазов.Взаимодействие с другими людьми
Слово Verywell
Рак легких 4 стадии остается серьезным диагнозом, но важно помнить, что это не та болезнь, которая была всего 20 лет назад. Показатели выживаемости постоянно растут, и теперь новые лекарства могут персонализировать лечение способами, о которых раньше никто не слышал.
Постарайтесь не позволять статистике выживания ошеломить вас. Вместо этого узнайте как можно больше о своем конкретном раке и доступных вам вариантах лечения.
Если у вас есть какие-либо сомнения относительно рекомендаций по лечению, не стесняйтесь обратиться за помощью к другому специалисту, в идеале — к специалисту в одном из 71 лечебных центров США, назначенных Национальным институтом рака. Их врачи с большей вероятностью будут руководствоваться текущими стратегиями исследований и лечения.
Спасибо за отзыв!
Ограничение обработанных пищевых продуктов и красного мяса может помочь предотвратить риск рака. В этих рецептах основное внимание уделяется продуктам, богатым антиоксидантами, чтобы лучше защитить вас и ваших близких.Зарегистрируйтесь и получите своего гида!
Зарегистрироваться
Ты в!Спасибо, {{form.email}}, за регистрацию.
Произошла ошибка. Пожалуйста, попробуйте еще раз.
Что вас беспокоит?
Другой Неточный Сложно понять Verywell Health использует только высококачественные источники, в том числе рецензируемые исследования, для подтверждения фактов в наших статьях. Прочтите наш редакционный процесс, чтобы узнать больше о том, как мы проверяем факты и обеспечиваем точность, надежность и надежность нашего контента.Cetin K, Ettinger DS, Hei YJ, O’malley CD. Выживаемость по гистологическому подтипу при немелкоклеточном раке легкого IV стадии на основе данных Программы эпиднадзора, эпидемиологии и конечных результатов. Clin Epidemiol . 2011; 3: 139-48. DOI: 10.2147 / CLEP.S17191
Национальный институт рака. Стадия рака. Обновлено 9 марта 2015 г.
Лим В., Ридж Калифорния, Николсон А.Г., Мирсадраи С. 8-я система классификации TNM рака легкого и клинической стадии: Обзор изменений и клинических последствий. Quant Imaging Med Surg . 2018; 8 (7): 709-18. DOI: 10.21037 / qims.2018.08.02
Kay FU, Kandathil A, Batra K, Saboo SS, Abbara S, Rajiah P. Изменения стадии опухоли, узла, метастазирования рака легкого (8-е издание): обоснование, радиологические данные и клинические последствия. World J Radiol . 2017; 9 (6): 269-79. DOI: 10.4329 / wjr.v9.i6.269
Blandin Knight S, Crosbie PA, Balata H, Chudziak J, Hussell T, Dive C. Прогресс и перспективы раннего выявления рака легких. Открыть Биол . 2017; 7 (9): 170070. DOI: 10.1098 / rsob.170070
Национальные институты здравоохранения. Рак легких и бронхов SEER 5-летняя относительная выживаемость, 2010–2016 гг. По стадиям диагноза и возрасту, для обоих полов, всех рас (включая латиноамериканцев). 2020.
Hong H, Wang Q, Li J, Liu H, Meng X, Zhang H. Старение, рак и иммунитет. J Рак. 2019; 10 (13): 3021-3027. DOI: 10.7150 / jca.30723
Pinto JA, Vallejos CS, Raez LE, et al.Пол и исходы при немелкоклеточном раке легкого: старая прогностическая переменная возвращается при таргетной терапии и иммунотерапии? ESMO Открыть . 2018; 3 (3): e000344. DOI: 10.1136 / esmoopen-2018-000344
Ван Ц., Цяо В., Цзян И и др. Влияние секса на эффективность пациентов, получающих ингибиторы иммунных контрольных точек при распространенном немелкоклеточном раке легкого. Cancer Med . 2019; 8 (8): 4023-31. DOI: 10.1002 / cam4.2280
Келли К.М., Шахрокни А.Выходим за рамки оценок эффективности по Карновскому и ECOG с помощью новых технологий. Дж Онкол . 2016; 2016: 6186543. DOI: 10.1155 / 2016/6186543
Саллум Р.Г., Смит Т.Дж., Дженсен Г.А., Лафата Дж.Э. Выживаемость среди пациентов с немелкоклеточным раком легкого с плохим статусом работоспособности после химиотерапии первой линии. Рак легких . 2012; 77 (3): 545-9. DOI: 10.1016 / j.lungcan.2012.04.019
Као Дж., Голд К.Д., Заррили Дж. И др. Клинические предикторы выживаемости пациентов с раком IV стадии относятся к радиационной онкологии. PLOS ONE . 2015; 10 (7): e0132748. DOI: 10.1371 / journal.pone.0124329
Linhas ARD, Dias MCP, Barroso AMP. Прекращение курения до начала химиотерапии при метастатическом немелкоклеточном раке легкого: влияние на прогноз. J Bras Pneumol . 2018; 44 (5): 436-8. DOI: 10.1590 / s1806-37562017000000323
Zappa C, Mousa SA. Немелкоклеточный рак легкого: современное лечение и будущие достижения. Перевод Lung Cancer Res. 2016; 5 (3): 288-300.DOI: 10.21037 / tlcr.2016.06.07
Islam KM, Jiang X, Anggondowati T, Lin G, Ganti AK. Коморбидность и выживаемость у больных раком легкого. Биомаркеры эпидемиологии рака Предыдущая . 2015; 24 (7): 1079-85. DOI: 10.1158 / 1055-9965.EPI-15-0036
Американское онкологическое общество. Таргетная лекарственная терапия немелкоклеточного рака легкого. Обновлено 10 июня 2020 г.
Пачеко Дж. М., Гао Д., Смит Д. и др. Естественный анамнез и факторы, связанные с общей выживаемостью при немелкоклеточном раке легкого с перестройкой ALK на стадии IV. J Thorac Oncol. Апрель 2019; 14 (4): 691-700. DOI: 10.1016 / j.jtho.2018.12.014
Zhang C, Leighl NB, Wu YL, Zhong WZ. Новые методы лечения немелкоклеточного рака легкого. Дж Гематол Онкол . 2019; 12 (1): 45. DOI: 10.1186 / s13045-019-0731-8
Выживание | Рак легких | Исследования рака, Великобритания
Выживание зависит от множества различных факторов. Никто не может сказать вам точно, сколько вы проживете.Зависит от вашего:
- тип и стадия рака
- уровень физической подготовки
- предыдущее лечение
Это общая статистика, основанная на больших группах пациентов. Помните, они не могут сказать вам, что произойдет в вашем конкретном случае.
Ваш врач может дать вам дополнительную информацию о вашем собственном прогнозе. Вы также можете поговорить об этом с медсестрами отдела исследования рака Великобритании по бесплатному телефону 0808 800 4040 с 9 до 17 часов с понедельника по пятницу.
Выживаемость по стадиям
В Великобритании нет статистических данных по различным стадиям рака легких или отдельным видам лечения. Эти цифры относятся к поэтапной выживаемости в Англии для людей, которым был поставлен диагноз в период с 2013 по 2017 год.
1 этап
Более 55 из 100 человек (более 55%) переживут рак в течение 5 или более лет после постановки диагноза.
2 этап
Около 35 из 100 человек (около 35%) переживут рак в течение 5 или более лет после постановки диагноза.
3 этап
Почти 15 из 100 человек (почти 15%) переживут рак в течение 5 или более лет после постановки диагноза.
Этап 4
Почти 5 из 100 человек (почти 5%) переживут рак в течение 5 или более лет после постановки диагноза.
Выживаемость рака по стадиям на момент диагностики для Англии, 2019
Управление национальной статистики
Эти цифры относятся к людям, диагностированным в Англии в период с 2013 по 2017 год.
Эти статистические данные предназначены для чистой выживаемости. Чистая выживаемость оценивает количество людей, переживших рак, а не количество людей, у которых диагностирован рак, которые еще живы. Другими словами, это выживаемость больных раком с учетом того, что некоторые люди умерли бы от других причин, если бы у них не было рака.
Выживаемость при всех стадиях рака легких
Обычно для людей с раком легких в Англии:
- около 40 из каждых 100 человек (около 40%) выживают после рака в течение 1 года или более после постановки диагноза
- Около 15 из каждых 100 человек (около 15%) переживут рак в течение 5 или более лет после постановки диагноза
- 10 из каждых 100 человек (10%) переживут рак в течение 10 и более лет после постановки диагноза
Выживаемость рака по стадиям на момент диагностики для Англии, 2019
Управление национальной статистики
Эти статистические данные предназначены для чистой выживаемости.Чистая выживаемость оценивает количество людей, переживших рак, а не количество людей, у которых диагностирован рак, которые еще живы. Другими словами, это выживаемость больных раком с учетом того, что некоторые люди умерли бы от других причин, если бы у них не было рака.
Что влияет на выживаемость
Ваш результат зависит от типа рака легких, который у вас есть, а также от стадии рака, когда он был диагностирован. Это означает, насколько он велик и распространился ли он.
Ваше общее состояние здоровья и физическая форма также могут повлиять на выживание. Врачи называют это вашим статусом работоспособности. Оценка 0 означает, что вы можете полностью позаботиться о себе. Оценка 1 означает, что вы можете делать большинство вещей самостоятельно, но вам нужна помощь. Оценки продолжают расти, в зависимости от того, сколько помощи вам нужно. Люди с более высоким баллом могут иметь худшее мировоззрение.
Об этой статистике
Термины 1 год выживания и 5 лет не означают, что вы проживете только 1 или 5 лет.
Управление национальной статистики (ONS) и исследователи собирают информацию о том, что происходит с людьми, больными раком, через годы после их диагноза. 5 лет — это обычная временная точка для измерения выживаемости. Но некоторые люди живут намного дольше этого.
5-летняя выживаемость — это количество людей, которые не умерли от рака в течение 5 лет после постановки диагноза.
Для получения более подробной информации о выживаемости и раке легких
Ожидаемая продолжительность жизни и немелкоклеточный рак легкого 3 стадии
Узнать, что у вас рак легких, может быть очень тяжело.К сожалению, у большинства людей рак легких диагностируется на стадии 3, когда он распространился (метастазировал) за пределы легких. Именно тогда симптомы становятся более заметными. Ожидаемая продолжительность жизни при раке легких действительно зависит от того, насколько агрессивен рак и насколько хорошо вы реагируете на лечение. И важно помнить, что цифры ожидаемой продолжительности жизни при немелкоклеточном раке 3 стадии — это просто цифры, и ситуация каждого человека уникальна.
Немелкоклеточный рак легкого, стадия 3A по сравнению с 3B
Немелкоклеточный рак легкого 3 стадии подразделяется на 3A и 3B.Стадия 3А относится к раку, который распространился на лимфатические узлы грудной клетки, но только на той же стороне, что и пораженное легкое. Стадия 3B относится к раку, который распространился на шею или лимфатические узлы с другой стороны грудной клетки или на другие органы. Хотя рак стадии 3A распространился, его прогноз (исход) лучше, чем рак 3B, потому что он не распространился так далеко.
Как оставаться сильным при раке легких
Ожидаемая продолжительность жизни при раке делится на общую выживаемость через определенное количество лет.Большое исследование более 81000 пациентов с раком легких показало, что от 19% до 24% пациентов со стадией 3A и от 7% до 9% пациентов со стадией 3B были живы через пять лет после того, как им был поставлен диагноз. А по данным Американской ассоциации легких, пятилетняя выживаемость при раке легких в целом составляет 55%, если он диагностирован, когда он все еще ограничен легкими. Однако после того, как он достиг стадии 3 и начал распространяться, пятилетняя выживаемость колеблется от 4% до 16%, в зависимости от того, насколько он распространился.
Факторы, влияющие на ожидаемую продолжительность жизни при раке легких
Насколько успешно лечение немелкоклеточного рака легкого 3 стадии является основным фактором вашего прогноза, но есть и другие факторы, которые могут повлиять на ваш результат, помимо стадии рака:
Расположение и количество метастазов . Если раковые клетки распространились на мозг или печень, прогноз не так хорош, как если бы клетки распространились, например, на кости.
Масса тела. Люди, которые потеряли более 5% своего веса до начала лечения рака, как правило, чувствуют себя хуже, чем люди, которые не потеряли так много веса.
Пол. Женщины, как правило, лучше реагируют на лечение, чем мужчины.
Ранее существовавшая болезнь легких. Если у вас уже есть заболевания, связанные с легкими, такие как пневмония, плевральный выпот или коллапс легкого, вам может быть труднее бороться с раком легких.
Ежедневная активность. У людей, которые способны поддерживать уровень повседневной активности, близкий к нормальному, как правило, прогноз лучше, чем у людей, испытывающих трудности.
Исследователи также обнаружили, что клетки рака легких имеют молекулярные маркеры, определенные последовательности ДНК, которые могут предсказать, насколько хорошо они реагируют на лечение рака и ваш прогноз. Эти молекулярные маркеры также могут указывать на то, какое лечение лучше всего подходит для вашего конкретного случая. Таргетная терапия — это лекарства, которые специально нацелены на определенные маркеры в раковых клетках или генных мутациях, предотвращая размножение опухолевых клеток и останавливая или замедляя прогрессирование рака.
Немелкоклеточный рак легкого 3 стадии — серьезный диагноз, но существуют методы лечения, которые могут помочь продлить вашу жизнь и в то же время обеспечить хорошее качество жизни. Если вам диагностировали рак легких, поговорите со своим врачом о продолжительности вашей жизни и о том, какие виды лечения вам доступны.
Понимание стадийности и степени злокачественности рака легкого
Рак легких — это заболевание, которое развивается в тканях легких, особенно в слизистой оболочке дыхательных путей.Двумя наиболее распространенными типами являются немелкоклеточный рак легкого (НМРЛ) и мелкоклеточный рак легкого (МРЛ).
По данным Американского онкологического общества (ACS),
NSCLC является наиболее распространенным из двух, на него приходится от 80 до 85 процентов всех случаев рака легких.
Врачи часто классифицируют стадии НМРЛ и МРЛ с помощью системы TNM, которая означает:
- T — размер основной опухоли: распространилась ли она на другие органы или ткани поблизости?
- N — узлы: метастазировал ли рак в близлежащие лимфатические узлы?
- M — метастаз: метастазировал ли рак в отдаленные органы, такие как мозг, кости, другое легкое или другие области?
Стадии НМРЛ
Рак НМРЛ подразделяется на следующие шесть стадий, в зависимости от того, когда он был обнаружен:
- Оккультная сцена, или скрытая сцена
- Этап 0
- I этап
- II этап
- III этап
- IV этап
Оккультная сцена
Ни визуализация, ни бронхоскопия не могут обнаружить рак на этой стадии.В результате врачи не могут определить его точное местонахождение. Однако мокрота (слизь из легких) или смывы из бронхов (образец клеток из дыхательных путей) могут выявить наличие раковых клеток. Скорее всего, рак не метастазировал в другие части тела.
Этап 0
Врачи могут обнаружить аномальные клетки в слизистой оболочке дыхательных путей. Они могут стать злокачественными и затронуть соседние здоровые ткани, но не распространились по другим частям тела.
Подтипы НМРЛ стадии 0:
- Аденокарцинома in situ — когда аномальные клетки обнаруживаются в железистой ткани, выстилающей легкие
- Плоскоклеточный рак in situ — когда аномальные клетки обнаруживаются в тканях, выстилающих дыхательные пути.Эти клетки могут стать злокачественными и повлиять на другие близлежащие ткани.
I этап
На этой стадии аномальные клетки превратились в рак.
- Стадия IA: рак поражает только легкое, опухоль размером 3 см или меньше не распространилась на лимфатические узлы или другие области.
- Этап IB:
- В некоторых случаях опухоль рака легких больше 3 см, но меньше 4 см и не метастазирует в лимфатические узлы.
- В других случаях опухоль рака легкого имеет размер 4 см или меньше и соответствует как минимум одному из следующих критериев:
- Рак достиг главного бронха (большого дыхательного пути, соединяющего трахею с легким), но не киля (гребня на дне трахеи, разделяющего отверстия левого и правого главных бронхов).
- Рак достиг самой внутренней ткани, которая окружает легкое.
- Либо часть легкого, либо все легкое разрушено, либо у него пневмонит (состояние, при котором легкое воспаляется).
- Рак не достиг близлежащих лимфатических узлов.
II этап
Случаи II стадии далее подразделяются на два подтипа:
- Стадия IIA: опухоль рака легкого меньше 5 см, но больше 4 см и не метастазирует в лимфатические узлы.Кроме того, рак соответствует хотя бы одному из следующих критериев:
- Рак достиг главного бронха, но не доил.
- Рак достиг самой внутренней ткани, которая окружает легкое.
- Либо часть, либо все легкое разрушено, либо у него пневмонит.
- этап IIB:
- В некоторых случаях опухоль рака легких размером 5 см или меньше достигает лимфатических узлов, расположенных в той же области грудной клетки, что и исходная опухоль, обычно лимфатических узлов в легких или рядом с бронхом.Рак также соответствует как минимум одному из следующих критериев:
- Рак достиг главного бронха, но не доил.
- Рак достиг самой внутренней ткани, которая окружает легкое.
- Либо часть, либо все легкое разрушено, либо у него пневмонит.
- В других случаях рак не достиг лимфатических узлов, но соответствует одному из следующих критериев:
- Опухоль меньше 7 см, но больше 5 см.
- По крайней мере, одна дополнительная опухоль образовалась в той же части легкого, где была обнаружена исходная опухоль.
- Рак достиг по крайней мере одного из следующих показателей:
- Стенка груди
- Внутренняя подкладка грудной стенки
- Ткань, выстилающая внешнюю часть мешка вокруг сердца
- Нерв, контролирующий диафрагму или мышцу между грудной клеткой и брюшной полостью
- В некоторых случаях опухоль рака легких размером 5 см или меньше достигает лимфатических узлов, расположенных в той же области грудной клетки, что и исходная опухоль, обычно лимфатических узлов в легких или рядом с бронхом.Рак также соответствует как минимум одному из следующих критериев:
III этап
Случаи НМРЛ III стадии подразделяются на три подтипа.
- Стадия IIIA:
- В некоторых случаях опухоль рака легких размером 5 см или меньше достигла лимфатических узлов в той же области грудной клетки, где была обнаружена первоначальная опухоль — обычно лимфатические узлы в трахее, аорте сердца или там, где трахея разделяется на бронхи. Кроме того, рак соответствует хотя бы одному из следующих критериев:
- Рак достиг главного бронха, но не доил.
- Рак достиг самой внутренней ткани, которая окружает легкое.
- Либо часть, либо все легкое разрушено, либо у него пневмонит.
- В других случаях рак достиг лимфатических узлов в той же области грудной клетки, где была обнаружена первоначальная опухоль — обычно лимфатические узлы рядом с бронхом или в легком. Кроме того, рак соответствует одному из следующих критериев:
- Опухоль больше 5 см, но меньше 7 см.
- По крайней мере, одна дополнительная опухоль образовалась в той же части легкого, где была обнаружена исходная опухоль.
- Рак достиг по крайней мере одного из следующих показателей:
- Стенка груди
- Внутренняя подкладка грудной стенки
- Ткань, выстилающая внешнюю часть мешка вокруг сердца
- Нерв, контролирующий диафрагму
- В других случаях рак мог достигнуть лимфатических узлов в той же области грудной клетки, что и исходная опухоль — обычно лимфатические узлы рядом с бронхом или в легком.Кроме того, рак соответствует одному из следующих критериев:
- Опухоль рака легкого больше 7 см.
- По крайней мере, одна дополнительная опухоль образовалась в другой доле или другой части легкого, чем то, где была обнаружена исходная опухоль.
- Опухоль рака легкого любого размера и достигла трахеи, киля или пищевода, а также других частей тела.
- В некоторых случаях опухоль рака легких размером 5 см или меньше достигла лимфатических узлов в той же области грудной клетки, где была обнаружена первоначальная опухоль — обычно лимфатические узлы в трахее, аорте сердца или там, где трахея разделяется на бронхи. Кроме того, рак соответствует хотя бы одному из следующих критериев:
- Этап IIIB:
- В некоторых случаях опухоль рака легких составляет 5 см или меньше, и рак достиг лимфатических узлов над ключицей в той же области грудной клетки, что и исходная опухоль, или лимфатических узлов на другой стороне грудной клетки.Рак также соответствует как минимум одному из следующих критериев:
- Рак достиг главного бронха, но не доил.
- Рак достиг самой внутренней ткани, обволакивающей легкое.
- Либо часть, либо все легкое разрушено, либо у него пневмонит.
- В других случаях опухоль легкого любого размера и достигла лимфатических узлов на той же стороне грудной клетки, что и исходная опухоль — обычно лимфатические узлы рядом с аортой или сердцем, трахеей или там, где трахея разделяется на бронхи.Кроме того, рак соответствует одному из следующих критериев:
- По крайней мере, одна дополнительная опухоль образовалась в той же или другой доле легкого, что и исходная опухоль.
- Опухоль рака легких достигла стенки грудной клетки, внутренней оболочки грудной стенки, диафрагмы или нерва, контролирующего диафрагму, среди других мест.
- В некоторых случаях опухоль рака легких составляет 5 см или меньше, и рак достиг лимфатических узлов над ключицей в той же области грудной клетки, что и исходная опухоль, или лимфатических узлов на другой стороне грудной клетки.Рак также соответствует как минимум одному из следующих критериев:
- Этап IIIC:
- Опухоль рака легких любого размера достигла лимфатических узлов на той же или противоположной стороне грудной клетки.Рак также соответствует как минимум одному из следующих критериев:
- По крайней мере, одна дополнительная опухоль образовалась в той же или другой доле легкого.
- Опухоль рака легких достигла стенки грудной клетки, внутренней оболочки грудной стенки, диафрагмы или нерва, контролирующего диафрагму, среди других мест.
- Опухоль рака легких любого размера достигла лимфатических узлов на той же или противоположной стороне грудной клетки.Рак также соответствует как минимум одному из следующих критериев:
IV этап
Случаи НМРЛ IV стадии подразделяются на два подтипа:
- Этап IVA:
Опухоль рака легких любого размера, возможно, достигла лимфатических узлов и соответствует хотя бы одному из следующих критериев:
- По крайней мере, одна опухоль образовалась в легком напротив того места, где образовалась исходная опухоль.
- Рак достиг мешка вокруг сердца или тканей, обволакивающих легкие.
- Рак распространился на жидкость, окружающую сердце или легкие.
- Рак достиг органа, находящегося далеко от легкого, например головного мозга, печени или почки.
- Этап IVB: Рак достиг различных участков, по крайней мере, в одном органе далеко от легкого.

Особенно в случае периферического рака легких, когда он растет из мелких бронхов. Симптомов практически нет, либо они незначительны. Появляется кашель, но его курильщик воспринимает без особой настороженности, как проявление хронического бронхита. Болевым синдромом рак легких не сопровождается, что тоже становится причиной поздней диагностики заболевания. В легочной ткани чувствительные нервные окончания отсутствуют, поэтому боль появляется только после того, как опухоль дорастет до плевры.

Гете Франкфурт-на-Майне, Отделение гастроэнтерологии, гепатологии, пульмонологии, аллергологии, эндокринологии и диабетологии
Он может неправильно перевести медицинскую документацию. Это обернется в лучшем случае необходимостью проведения дополнительных диагностических процедур, а в худшем – неправильно выбранной тактикой лечения.